JavaScript is disabled in your browser. Please enable JavaScript to view this website.
AB200661

Anti-gamma Catenin antibody [EPR17310-48]

Be the first to review this product! Submit a review

|

(2 Publications)

Rabbit Recombinant Monoclonal gamma Catenin antibody. Suitable for ICC/IF, WB, Flow Cyt (Intra), IHC-P and reacts with Human samples. Cited in 2 publications.

View Alternative Names

CTNNG, DP3, JUP, Junction plakoglobin, Catenin gamma, Desmoplakin III, Desmoplakin-3

7 Images
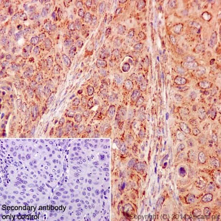
Immunohistochemistry (Formalin/PFA-fixed paraffin-embedded sections) - Anti-gamma Catenin antibody [EPR17310-48] (AB200661)
  • IHC-P

Supplier Data

Immunohistochemistry (Formalin/PFA-fixed paraffin-embedded sections) - Anti-gamma Catenin antibody [EPR17310-48] (AB200661)

Immunohistochemical analysis of paraffin-embedded Human cervix carcinoma tissue labeling gamma Catenin with ab200661 at 1/200 dilution followed by Goat Anti-Rabbit IgG H&L (HRP) (ab97051) secondary antibody at 1/500 dilution.

Cytoplasm staining on Human cervix carcinoma tissue is observed.

Counter stained with Hematoxylin.

Secondary antibody only control : Used PBS instead of primary antibody secondary antibody is Goat Anti-Rabbit IgG H&L (HRP) (ab97051) at 1/500 dilution.

Perform heat mediated antigen retrieval with Tris/EDTA buffer pH 9.0 before commencing with IHC staining protocol.

Immunocytochemistry/ Immunofluorescence - Anti-gamma Catenin antibody [EPR17310-48] (AB200661)
  • ICC/IF

Unknown

Immunocytochemistry/ Immunofluorescence - Anti-gamma Catenin antibody [EPR17310-48] (AB200661)

Immunocytochemistry analysis of Hela (Human cervix adenocarcinoma epithelial cell) labeling gamma Catenin with purified ab200661 at 1/400 dilution. Cells were fixed with 100% methanol. Goat anti rabbit IgG (Alexa Fluor® 488, ab150077) at 1/1000 (2 μg/ml) was used as the secondary antibody. was used as counterstain. Nuclei were stained blue with DAPI.
Negative control : PBS instead of the primary antibody.

Immunohistochemistry (Formalin/PFA-fixed paraffin-embedded sections) - Anti-gamma Catenin antibody [EPR17310-48] (AB200661)
  • IHC-P

Supplier Data

Immunohistochemistry (Formalin/PFA-fixed paraffin-embedded sections) - Anti-gamma Catenin antibody [EPR17310-48] (AB200661)

Immunohistochemical analysis of paraffin-embedded Human kidney tissue labeling gamma Catenin with ab200661 at 1/200 dilution followed by Goat Anti-Rabbit IgG H&L (HRP) (ab97051) secondary antibody at 1/500 dilution.

Cytoplasm staining on Human kidney tissue is observed.

Counter stained with Hematoxylin.

Secondary antibody only control : Used PBS instead of primary antibody secondary antibody is Goat Anti-Rabbit IgG H&L (HRP) (ab97051) at 1/500 dilution.

Perform heat mediated antigen retrieval with Tris/EDTA buffer pH 9.0 before commencing with IHC staining protocol.

Flow Cytometry (Intracellular) - Anti-gamma Catenin antibody [EPR17310-48] (AB200661)
  • Flow Cyt (Intra)

Lab

Flow Cytometry (Intracellular) - Anti-gamma Catenin antibody [EPR17310-48] (AB200661)

Intracellular Flow Cytometry analysis of HeLa cells labelling gamma Catenin (red) with purified ab200661at dilution of 1/40. The secondary antibody used was Alexa Fluorr® 488 goat-anti-rabbit IgG (1/2000). Cells were fixed with 4% paraformaldehyde and permeabilised with 90% methanol. Isotype control antibody was Rabbit monoclonal IgG (black). The blue line shows cells without incubation with primary antibody and secondary antibody.

Western blot - Anti-gamma Catenin antibody [EPR17310-48] (AB200661)
  • WB

Supplier Data

Western blot - Anti-gamma Catenin antibody [EPR17310-48] (AB200661)

Blocking/Dilution buffer : 5% NFDM/TBST.

All lanes:

Western blot - Anti-gamma Catenin antibody [EPR17310-48] (ab200661) at 1/5000 dilution

All lanes:

Human fetal skin lysates at 10 µg

Secondary

All lanes:

Anti-Rabbit IgG (HRP), specific to the non-reduced form of IgG at 1/1000 dilution

Predicted band size: 82 kDa

Observed band size: 82 kDa

false

Exposure time: 5s

Western blot - Anti-gamma Catenin antibody [EPR17310-48] (AB200661)
  • WB

Supplier Data

Western blot - Anti-gamma Catenin antibody [EPR17310-48] (AB200661)

Blocking/Dilution buffer : 5% NFDM/TBST.

All lanes:

Western blot - Anti-gamma Catenin antibody [EPR17310-48] (ab200661) at 1/5000 dilution

Lane 1:

HeLa (Human epithelial cells from cervix adenocarcinoma) whole cell lysate at 10 µg

Lane 2:

T-47D (Human ductal breast epithelial tumor cell line) whole cell lysate at 10 µg

Secondary

All lanes:

Goat Anti-Rabbit IgG, (H+L), Peroxidase conjugated at 1/1000 dilution

Predicted band size: 82 kDa

Observed band size: 82 kDa

false

Exposure time: 5s

Western blot - Anti-gamma Catenin antibody [EPR17310-48] (AB200661)
  • WB

Supplier Data

Western blot - Anti-gamma Catenin antibody [EPR17310-48] (AB200661)

Blocking/Dilution buffer : 5% NFDM/TBST.

All lanes:

Western blot - Anti-gamma Catenin antibody [EPR17310-48] (ab200661) at 1/20000 dilution

Lane 1:

Human fetal heart lysates at 10 µg

Lane 2:

Human fetal kidney lysates at 10 µg

Secondary

All lanes:

Anti-Rabbit IgG (HRP), specific to the non-reduced form of IgG at 1/1000 dilution

Predicted band size: 82 kDa

Observed band size: 82 kDa

false

Exposure time: 3min

  • Carrier free

    Anti-gamma Catenin antibody [EPR17310-48] - BSA and Azide free

Key facts

Host species

Rabbit

Clonality

Monoclonal

Clone number

EPR17310-48

Isotype

IgG

Carrier free

No

Reacts with

Human

Applications

IHC-P, Flow Cyt (Intra), ICC/IF, WB

applications

Immunogen

The exact immunogen used to generate this antibody is proprietary information.

Reactivity data

{ "title": "Reactivity Data", "filters": { "stats": ["", "Species", "Dilution Info", "Notes"], "tabs": { "all-applications": {"fullname" : "All Applications", "shortname": "All Applications"}, "ICCIF" : {"fullname" : "Immunocytochemistry/ Immunofluorescence", "shortname":"ICC/IF"}, "WB" : {"fullname" : "Western blot", "shortname":"WB"}, "FlowCytIntra" : {"fullname" : "Flow Cytometry (Intracellular)", "shortname":"Flow Cyt (Intra)"}, "IHCP" : {"fullname" : "Immunohistochemistry (Formalin/PFA-fixed paraffin-embedded sections)", "shortname":"IHC-P"} }, "product-promise": { "all": "all", "testedAndGuaranteed": "tested", "guaranteed": "expected", "predicted": "predicted", "notRecommended": "not-recommended" } }, "values": { "Human": { "ICCIF-species-checked": "testedAndGuaranteed", "ICCIF-species-dilution-info": "1/400", "ICCIF-species-notes": "<p></p>", "WB-species-checked": "testedAndGuaranteed", "WB-species-dilution-info": "1/5000", "WB-species-notes": "<p></p>", "FlowCytIntra-species-checked": "testedAndGuaranteed", "FlowCytIntra-species-dilution-info": "1/40", "FlowCytIntra-species-notes": "<p></p>", "IHCP-species-checked": "testedAndGuaranteed", "IHCP-species-dilution-info": "1/200", "IHCP-species-notes": "<p></p>" } } }

Product details

Patented technology
Our RabMAb® technology is a patented hybridoma-based technology for making rabbit monoclonal antibodies. For details on our patents, please refer to RabMAb® patents.

What are the advantages of a recombinant monoclonal antibody?
This product is a recombinant monoclonal antibody, which offers several advantages including:

  • - High batch-to-batch consistency and reproducibility
  • - Improved sensitivity and specificity
  • - Long-term security of supply
  • - Animal-free batch production

For more information, read more on recombinant antibodies.

Properties and storage information

Form
Liquid
Purification technique
Affinity purification Protein A
Storage buffer
pH: 7.2 - 7.4 Preservative: 0.01% Sodium azide Constituents: PBS, 40% Glycerol (glycerin, glycerine), 0.05% BSA
Shipped at conditions
Blue Ice
Appropriate short-term storage duration
1-2 weeks
Appropriate short-term storage conditions
+4°C
Appropriate long-term storage conditions
-20°C
Aliquoting information
Upon delivery aliquot
Storage information
Avoid freeze / thaw cycle

Supplementary information

This supplementary information is collated from multiple sources and compiled automatically.

Gamma Catenin also known as Junction Plakoglobin (JUP) is a protein with a molecular mass of approximately 82 kDa. It plays an important role in cell adhesion mechanisms. This protein is expressed widely in various tissue types prominently in epithelial tissues. Gamma Catenin contributes significantly to the structure of adherens junctions and desmosomes physically connecting cells to one another and stabilizing those connections within tissues.
Biological function summary

Gamma Catenin is an integral component of the armadillo family of proteins and part of desmosomal and adherens junction complexes. It plays an essential role in maintaining the integrity and mechanical strength of tissues. Through interacting with other proteins in these complexes gamma Catenin facilitates cell signaling and communication. It associates with cadherins and catenins including plakophilin and β-catenin to ensure proper cell-cell adhesion and signaling across the cell membrane.

Pathways

Gamma Catenin is involved in the Wnt signaling pathway an important route governing cellular processes such as proliferation differentiation and migration. Gamma Catenin interacts with β-catenin in this pathway influencing transcriptional regulation in the nucleus. It also plays roles in the cadherin-mediated cell adhesion pathway working alongside other proteins like E-cadherin to modulate cell behavior. These pathways highlight its importance in cellular architecture and signaling.

Alterations in gamma Catenin expression or function relate to conditions such as heart diseases specifically arrhythmogenic right ventricular cardiomyopathy and cancer particularly affecting epithelial tissues. In these conditions abnormal gamma Catenin interactions with other junction proteins like desmoplakin and plakophilin contribute to disease progression. These disruptions suggest its potential as a therapeutic target providing insight into disease mechanisms and opportunities for intervention.

Product protocols

For this product, it's our understanding that no specific protocols are required. You can visit:

Target data

Common junctional plaque protein. The membrane-associated plaques are architectural elements in an important strategic position to influence the arrangement and function of both the cytoskeleton and the cells within the tissue. The presence of plakoglobin in both the desmosomes and in the intermediate junctions suggests that it plays a central role in the structure and function of submembranous plaques. Acts as a substrate for VE-PTP and is required by it to stimulate VE-cadherin function in endothelial cells. Can replace beta-catenin in E-cadherin/catenin adhesion complexes which are proposed to couple cadherins to the actin cytoskeleton (By similarity).
See full target information JUP

Publications (2)

Recent publications for all applications. Explore the full list and refine your search

MedComm 6:e70205 PubMed40636284

2025

Depletion of Fat Mass and Obesity-Associated Protein (FTO) Drives Heterochromatin Loss via Lysine Acetyltransferase 8 (KAT8)-Mediated Remodeling and Spacing Factor 1 (RSF1) Acetylation in Skin Aging.

Applications

Unspecified application

Species

Unspecified reactive species

Fan Wang,Lei Zhou,Yun Zhong,Yisheng Cai,Xin Meng,Mengting Chen,Rui Mao,Xin Xiao,Caitan Yi,Yi Guo,Hongfu Xie,Yiya Zhang,Ji Li

Cytotechnology 77:5 PubMed39575323

2024

Yinjia pills inhibits the malignant biological behavior of HeLa cells through PKM2-medicated inhibition of JAK/STAT3 pathway.

Applications

Unspecified application

Species

Unspecified reactive species

Ying Shi,Xiaoli Min,Yi Li,Lihua Guo,Zheng Cai,Dongge Li,Xueying Jiang,Ni Feng,Xiaolin Li,Xiaoxia Yang
View all publications

Product promise

We are committed to supporting your work with high-quality reagents, and we're here for you every step of the way. In the unlikely event that one of our products does not perform as expected, you're protected by our Product Promise.
For full details, please see our Terms & Conditions

Please note: All products are 'FOR RESEARCH USE ONLY. NOT FOR USE IN DIAGNOSTIC OR THERAPEUTIC PROCEDURES'.

For licensing inquiries, please contact partnerships@abcam.com