JavaScript is disabled in your browser. Please enable JavaScript to view this website.
AB184919

Anti-gamma Catenin antibody [EPR17310]

4

(1 Review)

|

(16 Publications)

Rabbit Recombinant Monoclonal gamma Catenin antibody. Suitable for WB, ICC/IF, Flow Cyt (Intra), IHC-P and reacts with Mouse, Rat, Human, Dog samples. Cited in 16 publications.

View Alternative Names

CTNNG, DP3, JUP, Junction plakoglobin, Catenin gamma, Desmoplakin III, Desmoplakin-3

14 Images
Immunohistochemistry (Formalin/PFA-fixed paraffin-embedded sections) - Anti-gamma Catenin antibody [EPR17310] (AB184919)
  • IHC-P

Supplier Data

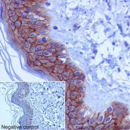
Immunohistochemistry (Formalin/PFA-fixed paraffin-embedded sections) - Anti-gamma Catenin antibody [EPR17310] (AB184919)

Immunohistochemical analysis of paraffin-embedded Human skin tissue labeling gamma Catenin with ab184919 at 1/4000 dilution, followed by Goat Anti-Rabbit IgG H&L (HRP) (ab97051) secondary antibody at 1/500 dilution. Cytoplasmic and membrane staining on epithelial cells of Human skin is observed. Counterstained with Hematoxylin.

Negative control : Used PBS instead of primary antibody, secondary antibody is Goat Anti-Rabbit IgG H&L (HRP) (ab97051) at 1/500 dilution.

Perform heat mediated antigen retrieval with Tris/EDTA buffer pH 9.0 before commencing with IHC staining protocol.

Immunocytochemistry/ Immunofluorescence - Anti-gamma Catenin antibody [EPR17310] (AB184919)
  • ICC/IF

Supplier Data

Immunocytochemistry/ Immunofluorescence - Anti-gamma Catenin antibody [EPR17310] (AB184919)

Immunofluorescent analysis of 4% paraformaldehyde-fixed, 0.1% Triton X-100 permeabilized HeLa (Human epithelial cells from cervix adenocarcinoma) cells labeling gamma Catenin with ab184919 at 1/250 dilution, followed by Goat anti-rabbit IgG (Alexa Fluor® 488) (ab150077) secondary antibody at 1/500 dilution (green). Confocal image showing cytoplasmic staining on HeLa cells. The nuclear counter stain is DAPI (blue). Tubulin is detected with ab7291 (anti-Tubulin mouse mAb) at 1/1000 dilution and ab150120 (AlexaFluor®594 Goat anti-Mouse secondary) at 1/500 dilution (red).
The negative controls are as follows :
-ve control 1 : ab184919 at 1/250 dilution followed by ab150120 (AlexaFluor®594 Goat anti-Mouse secondary) at 1/500 dilution.
-ve control 2 : ab7291 (anti-Tubulin mouse mAb) at 1/1000 dilution followed by ab150077 (Alexa Fluor®488 Goat Anti-Rabbit IgG H&L) at 1/500 dilution.

Immunohistochemistry (Formalin/PFA-fixed paraffin-embedded sections) - Anti-gamma Catenin antibody [EPR17310] (AB184919)
  • IHC-P

Supplier Data

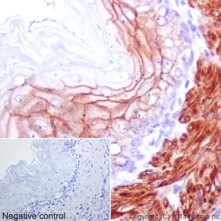
Immunohistochemistry (Formalin/PFA-fixed paraffin-embedded sections) - Anti-gamma Catenin antibody [EPR17310] (AB184919)

Immunohistochemical analysis of paraffin-embedded Human prostatic hyperplasia tissue labeling gamma Catenin with ab184919 at 1/4000 dilution, followed by Goat Anti-Rabbit IgG H&L (HRP) (ab97051) secondary antibody at 1/500 dilution. Cytoplasmic and membrane staining on epithelial cells of Human prostate is observed; and smooth muscle cells are also positively stained. Counterstained with Hematoxylin.

Negative control : Used PBS instead of primary antibody, secondary antibody is Goat Anti-Rabbit IgG H&L (HRP) (ab97051) at 1/500 dilution.

Perform heat mediated antigen retrieval with Tris/EDTA buffer pH 9.0 before commencing with IHC staining protocol.

Flow Cytometry (Intracellular) - Anti-gamma Catenin antibody [EPR17310] (AB184919)
  • Flow Cyt (Intra)

Unknown

Flow Cytometry (Intracellular) - Anti-gamma Catenin antibody [EPR17310] (AB184919)

Intracellular Flow Cytometry analysis of HeLa (human cervix adenocarcinoma) labelling gamma Catenin with purified ab184919 at 1/1000 (red). Cells were fixed with 4% paraformaldehyde and permeabilised with 90% methanol. Alexa Fluor® 488 goat anti-rabbit IgG (1/2000) was used as the secondary antibody. Black - Isotype control, rabbit monoclonal IgG. Blue - Unlabelled control, cells without incubation with primary and secondary antibodies.

Immunohistochemistry (Formalin/PFA-fixed paraffin-embedded sections) - Anti-gamma Catenin antibody [EPR17310] (AB184919)
  • IHC-P

Supplier Data

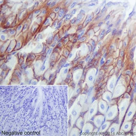
Immunohistochemistry (Formalin/PFA-fixed paraffin-embedded sections) - Anti-gamma Catenin antibody [EPR17310] (AB184919)

Immunohistochemical analysis of paraffin-embedded mouse stomach tissue labeling gamma Catenin with ab184919 at 1/4000 dilution, followed by Goat Anti-Rabbit IgG H&L (HRP) (ab97051) secondary antibody at 1/500 dilution. Cytoplasmic and membrane staining on epithelial cells of mouse stomach is observed. Counterstained with Hematoxylin.

Negative control : Used PBS instead of primary antibody, secondary antibody is Goat Anti-Rabbit IgG H&L (HRP) (ab97051) at 1/500 dilution.

Perform heat mediated antigen retrieval with Tris/EDTA buffer pH 9.0 before commencing with IHC staining protocol.

Immunohistochemistry (Formalin/PFA-fixed paraffin-embedded sections) - Anti-gamma Catenin antibody [EPR17310] (AB184919)
  • IHC-P

Supplier Data

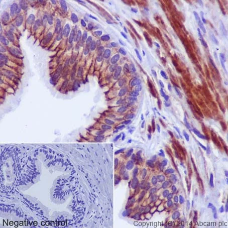
Immunohistochemistry (Formalin/PFA-fixed paraffin-embedded sections) - Anti-gamma Catenin antibody [EPR17310] (AB184919)

Immunohistochemical analysis of paraffin-embedded rat skin tissue labeling gamma Catenin with ab184919 at 1/4000 dilution, followed by Goat Anti-Rabbit IgG H&L (HRP) (ab97051) secondary antibody at 1/500 dilution. Membrane and cytoplasmic staining on the epithelial cells of rat skin is observed; and smooth muscle cells are also positively stained. Counterstained with Hematoxylin.

Negative control : Used PBS instead of primary antibody, secondary antibody is Goat Anti-Rabbit IgG H&L (HRP) (ab97051) at 1/500 dilution.

Perform heat mediated antigen retrieval with Tris/EDTA buffer pH 9.0 before commencing with IHC staining protocol.

Western blot - Anti-gamma Catenin antibody [EPR17310] (AB184919)
  • WB

Supplier Data

Western blot - Anti-gamma Catenin antibody [EPR17310] (AB184919)

Blocking and diluting buffer and concentration = 5% NFDM/TBST

Exposure time = 3 minutes

All lanes:

Anti-cardiac Troponin I antibody (<a href='/en-us/products/unavailable/cardiac-troponin-i-antibody-ab1000'>ab1000</a>) at 1/1000 dilution

All lanes:

HeLa (Human epithelial cells from cervix adenocarcinoma) whole cell lysates at 20 µg

Predicted band size: 82 kDa

Observed band size: 82 kDa

false

Western blot - Anti-gamma Catenin antibody [EPR17310] (AB184919)
  • WB

Lab

Western blot - Anti-gamma Catenin antibody [EPR17310] (AB184919)

Lanes 1-4 : Merged signal (red and green). Green - ab184919 observed at 82 kDa. Red - loading control, ab8245 observed at 37 kDa.

ab184919 Anti-gamma Catenin antibody [EPR17310] was shown to specifically react with gamma Catenin in wild-type HEK293T cells. Loss of signal was observed when knockout cell line ab266272 (knockout cell lysate ab257269) was used. Wild-type and gamma Catenin knockout samples were subjected to SDS-PAGE. ab184919 and Anti-GAPDH antibody [6C5] - Loading Control (ab8245) were incubated overnight at 4°C at 1 in 1000 dilution and 1 in 20000 dilution respectively. Blots were developed with Goat anti-Rabbit IgG H&L (IRDye® 800CW) preadsorbed (ab216773) and Goat anti-Mouse IgG H&L (IRDye® 680RD) preadsorbed (ab216776) secondary antibodies at 1 in 10000 dilution for 1 hour at room temperature before imaging.

All lanes:

Western blot - Anti-gamma Catenin antibody [EPR17310] (ab184919) at 1/1000 dilution

Lane 1:

Wild-type HEK-293T cell lysate at 20 µg

Lane 2:

JUZ knockout HEK-293T cell lysate at 20 µg

Lane 2:

Western blot - Human JUP (gamma Catenin) knockout HEK-293T cell line (<a href='/en-us/products/cell-lines/human-jup-gamma-catenin-knockout-hek-293t-cell-line-ab266272'>ab266272</a>)

Lane 3:

A431 cell lysate at 20 µg

Lane 4:

THP-1 cell lysate at 20 µg

Predicted band size: 82 kDa

Observed band size: 82 kDa

false

Western blot - Anti-gamma Catenin antibody [EPR17310] (AB184919)
  • WB

Supplier Data

Western blot - Anti-gamma Catenin antibody [EPR17310] (AB184919)

Blocking/Dilution buffer : 5% NFDM/TBST.

Exposure time = 5 seconds

All lanes:

Western blot - Anti-gamma Catenin antibody [EPR17310] (ab184919) at 1/1000 dilution

Lane 1:

Hela (Human epithelial cells from cervix adenocarcinoma) whole cell lysates at 20 µg

Lane 2:

Mouse skin lysates at 20 µg

Lane 3:

Rat skin lysates at 20 µg

Secondary

All lanes:

Goat Anti-Rabbit IgG, (H+L),Peroxidase conjugated at 1/1000 dilution

Predicted band size: 82 kDa

Observed band size: 82 kDa

false

Western blot - Anti-gamma Catenin antibody [EPR17310] (AB184919)
  • WB

Supplier Data

Western blot - Anti-gamma Catenin antibody [EPR17310] (AB184919)

Lanes 1-4 : Merged signal (red and green). Green - ab184919 observed at 82 kDa. Red - loading control, ab8245 observed at 37 kDa.

ab184919 Anti-gamma Catenin antibody [EPR17310] was shown to specifically react with gamma Catenin in wild-type HEK293T cells. Loss of signal was observed when knockout cell line ab266272 (knockout cell lysate ab257269) was used. Wild-type and gamma Catenin knockout samples were subjected to SDS-PAGE. ab184919 and Anti-GAPDH antibody [6C5] - Loading Control (ab8245) were incubated overnight at 4°C at 1 in 1000 dilution and 1 in 20000 dilution respectively. Blots were developed with Goat anti-Rabbit IgG H&L (IRDye® 800CW) preadsorbed (ab216773) and Goat anti-Mouse IgG H&L (IRDye® 680RD) preadsorbed (ab216776) secondary antibodies at 1 in 10000 dilution for 1 hour at room temperature before imaging.

All lanes:

Western blot - Anti-gamma Catenin antibody [EPR17310] (ab184919) at 1/1000 dilution

Lane 1:

Wild-type HEK293T cell lysate at 20 µg

Lane 2:

JUP knockout HEK293T cell lysate at 20 µg

Lane 3:

A431 cell lysate at 20 µg

Lane 4:

THP-1 cell lysate at 20 µg

Predicted band size: 82 kDa

Observed band size: 82 kDa

false

Western blot - Anti-gamma Catenin antibody [EPR17310] (AB184919)
  • WB

Supplier Data

Western blot - Anti-gamma Catenin antibody [EPR17310] (AB184919)

Blocking/Dilution buffer : 5% NFDM/TBST.

Exposure time = 15 seconds

All lanes:

Western blot - Anti-gamma Catenin antibody [EPR17310] (ab184919) at 1/1000 dilution

Lane 1:

Human fetal heart lysates at 10 µg

Lane 2:

Human fetal kidney lysates at 10 µg

Secondary

All lanes:

Anti-Rabbit IgG (HRP), specific to the non-reduced form of IgG at 1/1000 dilution

Predicted band size: 82 kDa,89 kDa

Observed band size: 82 kDa,97 kDa

false

Western blot - Anti-gamma Catenin antibody [EPR17310] (AB184919)
  • WB

Supplier Data

Western blot - Anti-gamma Catenin antibody [EPR17310] (AB184919)

Blocking/Dilution buffer : 5% NFDM/TBST.

Exposure time = 3 seconds

All lanes:

Western blot - Anti-gamma Catenin antibody [EPR17310] (ab184919) at 1/10000 dilution

Lane 1:

Human fetal skin lysates at 10 µg

Lane 2:

A431 (Human epidermoid carcinoma) whole cell lysates at 10 µg

Secondary

All lanes:

Anti-Rabbit IgG (HRP), specific to the non-reduced form of IgG at 1/1000 dilution

Predicted band size: 27 kDa,82 kDa

Observed band size: 30 kDa,82 kDa

false

Immunocytochemistry/ Immunofluorescence - Anti-gamma Catenin antibody [EPR17310] (AB184919)
  • ICC/IF

Supplier Data

Immunocytochemistry/ Immunofluorescence - Anti-gamma Catenin antibody [EPR17310] (AB184919)

Immunofluorescent analysis of 4% paraformaldehyde-fixed, 0.1% Triton X-100 permeabilized MDCK (Canine kidney cell line) cells labeling gamma Catenin with ab184919 at 1/250 dilution, followed by Goat anti-rabbit IgG (Alexa Fluor® 488) (ab150077) secondary antibody at 1/500 dilution (green). Confocal image showing membranous staining on MDCK cells. The nuclear counter stain is DAPI (blue). Tubulin is detected with ab7291 (anti-Tubulin mouse mAb) at 1/1000 dilution and ab150120 (AlexaFluor®594 Goat anti-Mouse secondary) at 1/500 dilution (red).
The negative controls are as follows :
-ve control 1 : ab184919 at 1/250 dilution followed by ab150120 (AlexaFluor®594 Goat anti-Mouse secondary) at 1/500 dilution.
-ve control 2 : ab7291 (anti-Tubulin mouse mAb) at 1/1000 dilution followed by ab150077 (Alexa Fluor®488 Goat Anti-Rabbit IgG H&L) at 1/500 dilution.

Western blot - Anti-gamma Catenin antibody [EPR17310] (AB184919)
  • WB

Supplier Data

Western blot - Anti-gamma Catenin antibody [EPR17310] (AB184919)

Blocking and Diluting buffer and concentration : 5% NFDM/TBST

All lanes:

Western blot - Anti-gamma Catenin antibody [EPR17310] (ab184919) at 1/100000 dilution

All lanes:

MDCK (Canine kidney cell line) whole cell lysate at 10 µg

Secondary

All lanes:

Anti-Rabbit IgG (HRP), specific to the non-reduced form of IgG at 1/1000 dilution

Predicted band size: 82 kDa

Observed band size: 82 kDa

false

Exposure time: 1min

  • 519 Alexa Fluor® 488

    Alexa Fluor® 488 Anti-gamma Catenin antibody [EPR17310]

  • Carrier free

    Anti-gamma Catenin antibody [EPR17310] - BSA and Azide free

Key facts

Host species

Rabbit

Clonality

Monoclonal

Clone number

EPR17310

Isotype

IgG

Carrier free

No

Reacts with

Mouse, Rat, Dog, Human

Applications

WB, IHC-P, ICC/IF, Flow Cyt (Intra)

applications

Immunogen

The exact immunogen used to generate this antibody is proprietary information.

Reactivity data

{ "title": "Reactivity Data", "filters": { "stats": ["", "Species", "Dilution Info", "Notes"], "tabs": { "all-applications": {"fullname" : "All Applications", "shortname": "All Applications"}, "WB" : {"fullname" : "Western blot", "shortname":"WB"}, "ICCIF" : {"fullname" : "Immunocytochemistry/ Immunofluorescence", "shortname":"ICC/IF"}, "FlowCytIntra" : {"fullname" : "Flow Cytometry (Intracellular)", "shortname":"Flow Cyt (Intra)"}, "IHCP" : {"fullname" : "Immunohistochemistry (Formalin/PFA-fixed paraffin-embedded sections)", "shortname":"IHC-P"} }, "product-promise": { "all": "all", "testedAndGuaranteed": "tested", "guaranteed": "expected", "predicted": "predicted", "notRecommended": "not-recommended" } }, "values": { "Human": { "WB-species-checked": "testedAndGuaranteed", "WB-species-dilution-info": "1/1000", "WB-species-notes": "<p></p>", "ICCIF-species-checked": "testedAndGuaranteed", "ICCIF-species-dilution-info": "1/250", "ICCIF-species-notes": "<p></p>", "FlowCytIntra-species-checked": "testedAndGuaranteed", "FlowCytIntra-species-dilution-info": "1/1000", "FlowCytIntra-species-notes": "<p></p>", "IHCP-species-checked": "testedAndGuaranteed", "IHCP-species-dilution-info": "1/4000", "IHCP-species-notes": "<p></p>" }, "Mouse": { "WB-species-checked": "testedAndGuaranteed", "WB-species-dilution-info": "1/1000", "WB-species-notes": "<p></p>", "ICCIF-species-checked": "guaranteed", "ICCIF-species-dilution-info": "", "ICCIF-species-notes": "", "FlowCytIntra-species-checked": "guaranteed", "FlowCytIntra-species-dilution-info": "", "FlowCytIntra-species-notes": "", "IHCP-species-checked": "testedAndGuaranteed", "IHCP-species-dilution-info": "1/4000", "IHCP-species-notes": "<p></p>" }, "Rat": { "WB-species-checked": "testedAndGuaranteed", "WB-species-dilution-info": "1/1000", "WB-species-notes": "<p></p>", "ICCIF-species-checked": "guaranteed", "ICCIF-species-dilution-info": "", "ICCIF-species-notes": "", "FlowCytIntra-species-checked": "guaranteed", "FlowCytIntra-species-dilution-info": "", "FlowCytIntra-species-notes": "", "IHCP-species-checked": "testedAndGuaranteed", "IHCP-species-dilution-info": "1/4000", "IHCP-species-notes": "<p></p>" }, "Dog": { "WB-species-checked": "testedAndGuaranteed", "WB-species-dilution-info": "1/1000", "WB-species-notes": "<p></p>", "ICCIF-species-checked": "testedAndGuaranteed", "ICCIF-species-dilution-info": "1/250", "ICCIF-species-notes": "<p></p>", "FlowCytIntra-species-checked": "guaranteed", "FlowCytIntra-species-dilution-info": "", "FlowCytIntra-species-notes": "", "IHCP-species-checked": "guaranteed", "IHCP-species-dilution-info": "", "IHCP-species-notes": "" } } }

Product details

Patented technology
Our RabMAb® technology is a patented hybridoma-based technology for making rabbit monoclonal antibodies. For details on our patents, please refer to RabMAb® patents.

What are the advantages of a recombinant monoclonal antibody?
This product is a recombinant monoclonal antibody, which offers several advantages including:

  • - High batch-to-batch consistency and reproducibility
  • - Improved sensitivity and specificity
  • - Long-term security of supply
  • - Animal-free batch production

For more information, read more on recombinant antibodies.

Properties and storage information

Form
Liquid
Purification technique
Affinity purification Protein A
Storage buffer
pH: 7.2 Preservative: 0.01% Sodium azide Constituents: PBS, 40% Glycerol (glycerin, glycerine), 0.05% BSA
Shipped at conditions
Blue Ice
Appropriate short-term storage duration
1-2 weeks
Appropriate short-term storage conditions
+4°C
Appropriate long-term storage conditions
-20°C
Aliquoting information
Upon delivery aliquot
Storage information
Avoid freeze / thaw cycle

Supplementary information

This supplementary information is collated from multiple sources and compiled automatically.

Gamma Catenin also known as Junction Plakoglobin (JUP) is a protein with a molecular mass of approximately 82 kDa. It plays an important role in cell adhesion mechanisms. This protein is expressed widely in various tissue types prominently in epithelial tissues. Gamma Catenin contributes significantly to the structure of adherens junctions and desmosomes physically connecting cells to one another and stabilizing those connections within tissues.
Biological function summary

Gamma Catenin is an integral component of the armadillo family of proteins and part of desmosomal and adherens junction complexes. It plays an essential role in maintaining the integrity and mechanical strength of tissues. Through interacting with other proteins in these complexes gamma Catenin facilitates cell signaling and communication. It associates with cadherins and catenins including plakophilin and β-catenin to ensure proper cell-cell adhesion and signaling across the cell membrane.

Pathways

Gamma Catenin is involved in the Wnt signaling pathway an important route governing cellular processes such as proliferation differentiation and migration. Gamma Catenin interacts with β-catenin in this pathway influencing transcriptional regulation in the nucleus. It also plays roles in the cadherin-mediated cell adhesion pathway working alongside other proteins like E-cadherin to modulate cell behavior. These pathways highlight its importance in cellular architecture and signaling.

Alterations in gamma Catenin expression or function relate to conditions such as heart diseases specifically arrhythmogenic right ventricular cardiomyopathy and cancer particularly affecting epithelial tissues. In these conditions abnormal gamma Catenin interactions with other junction proteins like desmoplakin and plakophilin contribute to disease progression. These disruptions suggest its potential as a therapeutic target providing insight into disease mechanisms and opportunities for intervention.

Product protocols

For this product, it's our understanding that no specific protocols are required. You can visit:

Target data

Common junctional plaque protein. The membrane-associated plaques are architectural elements in an important strategic position to influence the arrangement and function of both the cytoskeleton and the cells within the tissue. The presence of plakoglobin in both the desmosomes and in the intermediate junctions suggests that it plays a central role in the structure and function of submembranous plaques. Acts as a substrate for VE-PTP and is required by it to stimulate VE-cadherin function in endothelial cells. Can replace beta-catenin in E-cadherin/catenin adhesion complexes which are proposed to couple cadherins to the actin cytoskeleton (By similarity).
See full target information JUP

Publications (16)

Recent publications for all applications. Explore the full list and refine your search

MedComm 6:e70392 PubMed40979216

2025

Gene Therapy Targeting Deficiency Attenuates Cardiac Fibrosis: Insights From Single-Cell Transcriptomics in -Knockout Rats.

Applications

Unspecified application

Species

Unspecified reactive species

Xinyue Ding,Hui Zhang,Xuan Zhao,Nengpin Yin,Shuo Han,Xiao Jin,Tingting Li,Lina Xing,Zhen Qi,Yanan Zhu,Xin Wang,Zongjun Liu

Europace : European pacing, arrhythmias, and cardiac electrophysiology : journal of the working groups on cardiac pacing, arrhythmias, and cardiac cellular electrophysiology of the European Society of Cardiology 27: PubMed40879390

2025

Comprehensive analysis of desmosomal protein remodelling identifies desmocollin-2 as potential biomarker for arrhythmogenic cardiomyopathy.

Applications

Unspecified application

Species

Unspecified reactive species

Jie Ren,Zhenliang Hu,Lingmin Wu,Deniz Akdis,Weiquan Ye,Ardan M Saguner,Mingming Su,Hongbin Dong,Zhongli Chen,Dan Hu,Shengshou Hu,Firat Duru,Liang Chen

Cellular and molecular biology (Noisy-le-Grand, France) 70:99-109 PubMed38372107

2024

TMCO1 regulates cell proliferation, metastasis and EMT signaling through CALR, promoting ovarian cancer progression and cisplatin resistance.

Applications

Unspecified application

Species

Unspecified reactive species

Guangyu Sun,Shan Gong,Suwei Lan,Ying He,Yanhua Sun,Zhengmao Zhang

Journal of the American Heart Association 12:e030478 PubMed37750561

2023

An mTORC1-Dependent Mouse Model for Cardiac Sarcoidosis.

Applications

Unspecified application

Species

Unspecified reactive species

Carlos Bueno-Beti,Clarice X Lim,Alexandros Protonotarios,Petra Lujza Szabo,Joseph Westaby,Mario Mazic,Mary N Sheppard,Elijah Behr,Ouafa Hamza,Attila Kiss,Bruno K Podesser,Markus Hengstschläger,Thomas Weichhart,Angeliki Asimaki

American journal of translational research 15:392-406 PubMed36777848

2023

miR-432 exerts a protective effect against myocardial ischemia/reperfusion injury by activating the β-catenin/HIF-1α pathway and augmenting NRF2-mediated anti-oxidative stress.

Applications

Unspecified application

Species

Unspecified reactive species

Rui-Ying Su,Wei-Yan Tai,Hong-Shan Yin,Xiao-Yong Geng

Disease markers 2022:5045873 PubMed35845134

2022

Human Umbilical Cord Mesenchymal Stem Cell-Derived Extracellular Vesicles Carrying MicroRNA-29a Improves Ovarian Function of Mice with Primary Ovarian Insufficiency by Targeting HMG-Box Transcription Factor/Wnt/-Catenin Signaling.

Applications

Unspecified application

Species

Unspecified reactive species

Tian Gao,Yi Cao,Min Hu,Ying Du

Journal of dental sciences 17:707-717 PubMed35756787

2022

Knockdown of LncRNA NEAT1 inhibits myofibroblast activity in oral submucous fibrosis through miR-760/TPM1 axis.

Applications

Unspecified application

Species

Unspecified reactive species

Wei Li,Bin Cheng

Development (Cambridge, England) 148: PubMed34195802

2021

Early perturbation of Wnt signaling reveals patterning and invagination-evagination control points in molar tooth development.

Applications

Unspecified application

Species

Unspecified reactive species

Rebecca Kim,Tingsheng Yu,Jingjing Li,Jan Prochazka,Amnon Sharir,Jeremy B A Green,Ophir D Klein

BioMed research international 2020:3120458 PubMed33029500

2020

Combined Pharmacotherapy with Alendronate and Desferoxamine Regulate the Bone Resorption and Bone Regeneration for Preventing Glucocorticoids-Induced Osteonecrosis of the Femoral Head.

Applications

Unspecified application

Species

Unspecified reactive species

Hongfeng Sheng,Yangjun Lao,Shuliang Zhang,Weiguo Ding,Di Lu,Bin Xu

Molecular medicine reports 22:3715-3722 PubMed32901867

2020

lncRNA SNHG1 attenuates osteogenic differentiation via the miR‑101/DKK1 axis in bone marrow mesenchymal stem cells.

Applications

Unspecified application

Species

Unspecified reactive species

Jie Xiang,Hai-Qing Fu,Zhun Xu,Wei-Jie Fan,Fei Liu,Bin Chen
View all publications

Product promise

We are committed to supporting your work with high-quality reagents, and we're here for you every step of the way. In the unlikely event that one of our products does not perform as expected, you're protected by our Product Promise.
For full details, please see our Terms & Conditions

Please note: All products are 'FOR RESEARCH USE ONLY. NOT FOR USE IN DIAGNOSTIC OR THERAPEUTIC PROCEDURES'.

For licensing inquiries, please contact partnerships@abcam.com