JavaScript is disabled in your browser. Please enable JavaScript to view this website.
AB238447

Anti-gamma Catenin antibody [EPR17310] - BSA and Azide free

Be the first to review this product! Submit a review

|

(0 Publication)

Rabbit Recombinant Monoclonal gamma Catenin antibody. Carrier free. Suitable for WB, ICC/IF, Flow Cyt (Intra), IHC-P and reacts with Mouse, Rat, Human, Dog samples.

View Alternative Names

CTNNG, DP3, JUP, Junction plakoglobin, Catenin gamma, Desmoplakin III, Desmoplakin-3

8 Images
Flow Cytometry (Intracellular) - Anti-gamma Catenin antibody [EPR17310] - BSA and Azide free (AB238447)
  • Flow Cyt (Intra)

Unknown

Flow Cytometry (Intracellular) - Anti-gamma Catenin antibody [EPR17310] - BSA and Azide free (AB238447)

Intracellular Flow Cytometry analysis of HeLa (human cervix adenocarcinoma) labelling gamma Catenin with purified ab184919 at 1/1000 (red). Cells were fixed with 4% paraformaldehyde and permeabilised with 90% methanol. Alexa Fluor® 488 goat anti-rabbit IgG (1/2000) was used as the secondary antibody. Black - Isotype control, rabbit monoclonal IgG. Blue - Unlabelled control, cells without incubation with primary and secondary antibodies.

This data was developed using the same antibody clone in a different buffer formulation containing PBS, BSA, glycerol, and sodium azide (ab184919).

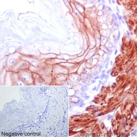
Immunohistochemistry (Formalin/PFA-fixed paraffin-embedded sections) - Anti-gamma Catenin antibody [EPR17310] - BSA and Azide free (AB238447)
  • IHC-P

Supplier Data

Immunohistochemistry (Formalin/PFA-fixed paraffin-embedded sections) - Anti-gamma Catenin antibody [EPR17310] - BSA and Azide free (AB238447)

Immunohistochemical analysis of paraffin-embedded Human skin tissue labeling gamma Catenin with ab184919 at 1/4000 dilution, followed by Goat Anti-Rabbit IgG H&L (HRP) (ab97051) secondary antibody at 1/500 dilution. Cytoplasmic and membrane staining on epithelial cells of Human skin is observed. Counterstained with Hematoxylin.

Negative control : Used PBS instead of primary antibody, secondary antibody is Goat Anti-Rabbit IgG H&L (HRP) (ab97051) at 1/500 dilution.

This data was developed using the same antibody clone in a different buffer formulation containing PBS, BSA, glycerol, and sodium azide (ab184919).

Perform heat mediated antigen retrieval with Tris/EDTA buffer pH 9.0 before commencing with IHC staining protocol.

Immunocytochemistry/ Immunofluorescence - Anti-gamma Catenin antibody [EPR17310] - BSA and Azide free (AB238447)
  • ICC/IF

Supplier Data

Immunocytochemistry/ Immunofluorescence - Anti-gamma Catenin antibody [EPR17310] - BSA and Azide free (AB238447)

Immunofluorescent analysis of 4% paraformaldehyde-fixed, 0.1% Triton X-100 permeabilized HeLa (Human epithelial cells from cervix adenocarcinoma) cells labeling gamma Catenin with ab184919 at 1/250 dilution, followed by Goat anti-rabbit IgG (Alexa Fluor® 488) (ab150077) secondary antibody at 1/500 dilution (green). Confocal image showing cytoplasmic staining on HeLa cells. The nuclear counter stain is DAPI (blue). Tubulin is detected with ab7291 (anti-Tubulin mouse mAb) at 1/1000 dilution and ab150120 (AlexaFluor®594 Goat anti-Mouse secondary) at 1/500 dilution (red).
The negative controls are as follows :
-ve control 1 : ab184919 at 1/250 dilution followed by ab150120 (AlexaFluor®594 Goat anti-Mouse secondary) at 1/500 dilution.
-ve control 2 : ab7291 (anti-Tubulin mouse mAb) at 1/1000 dilution followed by ab150077 (Alexa Fluor®488 Goat Anti-Rabbit IgG H&L) at 1/500 dilution.

This data was developed using the same antibody clone in a different buffer formulation containing PBS, BSA, glycerol, and sodium azide (ab184919).

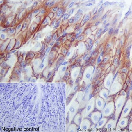
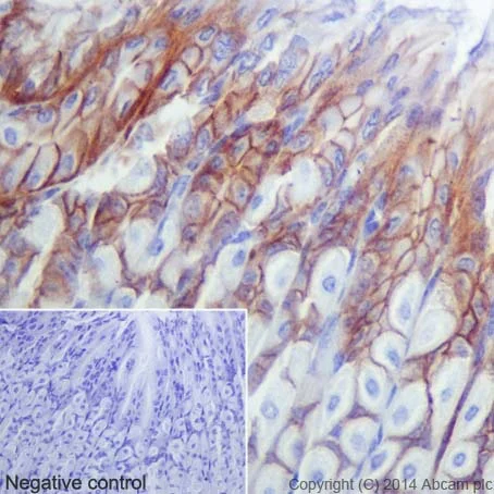
Immunohistochemistry (Formalin/PFA-fixed paraffin-embedded sections) - Anti-gamma Catenin antibody [EPR17310] - BSA and Azide free (AB238447)
  • IHC-P

Supplier Data

Immunohistochemistry (Formalin/PFA-fixed paraffin-embedded sections) - Anti-gamma Catenin antibody [EPR17310] - BSA and Azide free (AB238447)

Immunohistochemical analysis of paraffin-embedded Human prostatic hyperplasia tissue labeling gamma Catenin with ab184919 at 1/4000 dilution, followed by Goat Anti-Rabbit IgG H&L (HRP) (ab97051) secondary antibody at 1/500 dilution. Cytoplasmic and membrane staining on epithelial cells of Human prostate is observed; and smooth muscle cells are also positively stained. Counterstained with Hematoxylin.

Negative control : Used PBS instead of primary antibody, secondary antibody is Goat Anti-Rabbit IgG H&L (HRP) (ab97051) at 1/500 dilution.

This data was developed using the same antibody clone in a different buffer formulation containing PBS, BSA, glycerol, and sodium azide (ab184919).

Perform heat mediated antigen retrieval with Tris/EDTA buffer pH 9.0 before commencing with IHC staining protocol.

Immunohistochemistry (Formalin/PFA-fixed paraffin-embedded sections) - Anti-gamma Catenin antibody [EPR17310] - BSA and Azide free (AB238447)
  • IHC-P

Supplier Data

Immunohistochemistry (Formalin/PFA-fixed paraffin-embedded sections) - Anti-gamma Catenin antibody [EPR17310] - BSA and Azide free (AB238447)

Immunohistochemical analysis of paraffin-embedded mouse stomach tissue labeling gamma Catenin with ab184919 at 1/4000 dilution, followed by Goat Anti-Rabbit IgG H&L (HRP) (ab97051) secondary antibody at 1/500 dilution. Cytoplasmic and membrane staining on epithelial cells of mouse stomach is observed. Counterstained with Hematoxylin.

Negative control : Used PBS instead of primary antibody, secondary antibody is Goat Anti-Rabbit IgG H&L (HRP) (ab97051) at 1/500 dilution.

This data was developed using the same antibody clone in a different buffer formulation containing PBS, BSA, glycerol, and sodium azide (ab184919).

Perform heat mediated antigen retrieval with Tris/EDTA buffer pH 9.0 before commencing with IHC staining protocol.

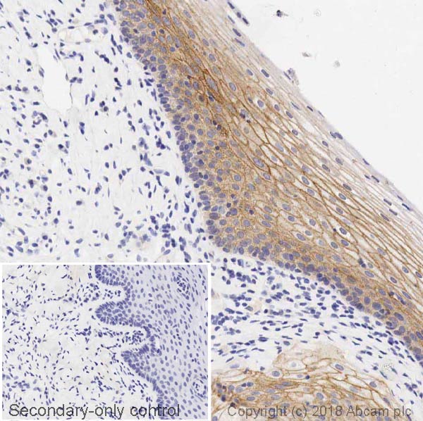
Immunohistochemistry (Formalin/PFA-fixed paraffin-embedded sections) - Anti-gamma Catenin antibody [EPR17310] - BSA and Azide free (AB238447)
  • IHC-P

Supplier Data

Immunohistochemistry (Formalin/PFA-fixed paraffin-embedded sections) - Anti-gamma Catenin antibody [EPR17310] - BSA and Azide free (AB238447)

Immunohistochemical analysis of paraffin-embedded rat skin tissue labeling gamma Catenin with ab184919 at 1/4000 dilution, followed by Goat Anti-Rabbit IgG H&L (HRP) (ab97051) secondary antibody at 1/500 dilution. Membrane and cytoplasmic staining on the epithelial cells of rat skin is observed; and smooth muscle cells are also positively stained. Counterstained with Hematoxylin.

Negative control : Used PBS instead of primary antibody, secondary antibody is Goat Anti-Rabbit IgG H&L (HRP) (ab97051) at 1/500 dilution.

This data was developed using the same antibody clone in a different buffer formulation containing PBS, BSA, glycerol, and sodium azide (ab184919).

Perform heat mediated antigen retrieval with Tris/EDTA buffer pH 9.0 before commencing with IHC staining protocol.

Western blot - Anti-gamma Catenin antibody [EPR17310] - BSA and Azide free (AB238447)
  • WB

Lab

Western blot - Anti-gamma Catenin antibody [EPR17310] - BSA and Azide free (AB238447)

This data was developed using the same antibody clone in a different buffer formulation (ab184919).

Lanes 1-4 : Merged signal (red and green). Green - ab184919 observed at 82 kDa. Red - loading control, ab8245 observed at 37 kDa.

ab184919 Anti-gamma Catenin antibody [EPR17310] was shown to specifically react with gamma Catenin in wild-type HEK293T cells. Loss of signal was observed when knockout cell line ab266272 (knockout cell lysate ab257269) was used. Wild-type and gamma Catenin knockout samples were subjected to SDS-PAGE. ab184919 and Anti-GAPDH antibody [6C5] - Loading Control (ab8245) were incubated overnight at 4°C at 1 in 1000 dilution and 1 in 20000 dilution respectively. Blots were developed with Goat anti-Rabbit IgG H&L (IRDye® 800CW) preadsorbed (ab216773) and Goat anti-Mouse IgG H&L (IRDye® 680RD) preadsorbed (ab216776) secondary antibodies at 1 in 10000 dilution for 1 hour at room temperature before imaging.

All lanes:

Western blot - Anti-gamma Catenin antibody [EPR17310] (<a href='/en-us/products/primary-antibodies/gamma-catenin-antibody-epr17310-ab184919'>ab184919</a>) at 1/1000 dilution

Lane 1:

Wild-type HEK-293T cell lysate at 20 µg

Lane 2:

JUZ knockout HEK-293T cell lysate at 20 µg

Lane 2:

Western blot - Human JUP (gamma Catenin) knockout HEK-293T cell line (<a href='/en-us/products/cell-lines/human-jup-gamma-catenin-knockout-hek-293t-cell-line-ab266272'>ab266272</a>)

Lane 3:

A431 cell lysate at 20 µg

Lane 4:

THP-1 cell lysate at 20 µg

Predicted band size: 82 kDa

Observed band size: 82 kDa

false

Immunocytochemistry/ Immunofluorescence - Anti-gamma Catenin antibody [EPR17310] - BSA and Azide free (AB238447)
  • ICC/IF

Supplier Data

Immunocytochemistry/ Immunofluorescence - Anti-gamma Catenin antibody [EPR17310] - BSA and Azide free (AB238447)

Immunofluorescent analysis of 4% paraformaldehyde-fixed, 0.1% Triton X-100 permeabilized MDCK (Canine kidney cell line) cells labeling gamma Catenin with ab184919 at 1/250 dilution, followed by Goat anti-rabbit IgG (Alexa Fluor® 488) (ab150077) secondary antibody at 1/500 dilution (green). Confocal image showing membranous staining on MDCK cells. The nuclear counter stain is DAPI (blue). Tubulin is detected with ab7291 (anti-Tubulin mouse mAb) at 1/1000 dilution and ab150120 (AlexaFluor®594 Goat anti-Mouse secondary) at 1/500 dilution (red).
The negative controls are as follows :
-ve control 1 : ab184919 at 1/250 dilution followed by ab150120 (AlexaFluor®594 Goat anti-Mouse secondary) at 1/500 dilution.
-ve control 2 : ab7291 (anti-Tubulin mouse mAb) at 1/1000 dilution followed by ab150077 (Alexa Fluor®488 Goat Anti-Rabbit IgG H&L) at 1/500 dilution.

This data was developed using the same antibody clone in a different buffer formulation containing PBS, BSA, glycerol, and sodium azide (ab184919).

Key facts

Host species

Rabbit

Clonality

Monoclonal

Clone number

EPR17310

Isotype

IgG

Carrier free

Yes

Reacts with

Mouse, Rat, Human, Dog

Applications

WB, ICC/IF, Flow Cyt (Intra), IHC-P

applications

Immunogen

The exact immunogen used to generate this antibody is proprietary information.

Reactivity data

{ "title": "Reactivity Data", "filters": { "stats": ["", "Species", "Dilution Info", "Notes"], "tabs": { "all-applications": {"fullname" : "All Applications", "shortname": "All Applications"}, "WB" : {"fullname" : "Western blot", "shortname":"WB"}, "ICCIF" : {"fullname" : "Immunocytochemistry/ Immunofluorescence", "shortname":"ICC/IF"}, "FlowCytIntra" : {"fullname" : "Flow Cytometry (Intracellular)", "shortname":"Flow Cyt (Intra)"}, "IHCP" : {"fullname" : "Immunohistochemistry (Formalin/PFA-fixed paraffin-embedded sections)", "shortname":"IHC-P"} }, "product-promise": { "all": "all", "testedAndGuaranteed": "tested", "guaranteed": "expected", "predicted": "predicted", "notRecommended": "not-recommended" } }, "values": { "Human": { "WB-species-checked": "testedAndGuaranteed", "WB-species-dilution-info": "", "WB-species-notes": "<p></p>", "ICCIF-species-checked": "testedAndGuaranteed", "ICCIF-species-dilution-info": "", "ICCIF-species-notes": "<p></p>", "FlowCytIntra-species-checked": "testedAndGuaranteed", "FlowCytIntra-species-dilution-info": "", "FlowCytIntra-species-notes": "<p></p>", "IHCP-species-checked": "testedAndGuaranteed", "IHCP-species-dilution-info": "", "IHCP-species-notes": "<p></p>" }, "Mouse": { "WB-species-checked": "testedAndGuaranteed", "WB-species-dilution-info": "", "WB-species-notes": "<p></p>", "ICCIF-species-checked": "guaranteed", "ICCIF-species-dilution-info": "", "ICCIF-species-notes": "", "FlowCytIntra-species-checked": "guaranteed", "FlowCytIntra-species-dilution-info": "", "FlowCytIntra-species-notes": "", "IHCP-species-checked": "testedAndGuaranteed", "IHCP-species-dilution-info": "", "IHCP-species-notes": "<p></p>" }, "Rat": { "WB-species-checked": "testedAndGuaranteed", "WB-species-dilution-info": "", "WB-species-notes": "<p></p>", "ICCIF-species-checked": "guaranteed", "ICCIF-species-dilution-info": "", "ICCIF-species-notes": "", "FlowCytIntra-species-checked": "guaranteed", "FlowCytIntra-species-dilution-info": "", "FlowCytIntra-species-notes": "", "IHCP-species-checked": "testedAndGuaranteed", "IHCP-species-dilution-info": "", "IHCP-species-notes": "<p></p>" }, "Dog": { "WB-species-checked": "testedAndGuaranteed", "WB-species-dilution-info": "", "WB-species-notes": "<p></p>", "ICCIF-species-checked": "testedAndGuaranteed", "ICCIF-species-dilution-info": "", "ICCIF-species-notes": "<p></p>", "FlowCytIntra-species-checked": "guaranteed", "FlowCytIntra-species-dilution-info": "", "FlowCytIntra-species-notes": "", "IHCP-species-checked": "guaranteed", "IHCP-species-dilution-info": "", "IHCP-species-notes": "" } } }

Product details

ab238447 is the carrier-free version of ab184919.

Patented technology
Our RabMAb® technology is a patented hybridoma-based technology for making rabbit monoclonal antibodies. For details on our patents, please refer to RabMAb® patents.

What are the advantages of a recombinant monoclonal antibody?
This product is a recombinant monoclonal antibody, which offers several advantages including:

  • - High batch-to-batch consistency and reproducibility
  • - Improved sensitivity and specificity
  • - Long-term security of supply
  • - Animal-free batch production

For more information, read more on recombinant antibodies.

Conjugation ready
Our carrier-free antibodies are typically supplied in a PBS-only formulation, purified and free of BSA, sodium azide and glycerol. This conjugation-ready format is designed for use with fluorochromes, metal isotopes, oligonucleotides, and enzymes, which makes them ideal for antibody labelling, functional and cell-based assays, flow-based assays (e.g. mass cytometry) and Multiplex Imaging applications.

Use our conjugation kits for antibody conjugates that are ready-to-use in as little as 20 minutes with 1 minute hands-on-time and 100% antibody recovery: available for fluorescent dyes, HRP, biotin and gold.

Compatibility
This product is compatible with the Maxpar® Antibody Labeling Kit from Fluidigm, without the need for antibody preparation. Maxpar® is a trademark of Fluidigm Canada Inc.

Properties and storage information

Form
Liquid
Purification technique
Affinity purification Protein A
Storage buffer
pH: 7.2 - 7.4 Constituents: PBS
Shipped at conditions
Blue Ice
Appropriate short-term storage conditions
+4°C
Appropriate long-term storage conditions
+4°C
Storage information
Do Not Freeze

Supplementary information

This supplementary information is collated from multiple sources and compiled automatically.

Gamma Catenin also known as Junction Plakoglobin (JUP) is a protein with a molecular mass of approximately 82 kDa. It plays an important role in cell adhesion mechanisms. This protein is expressed widely in various tissue types prominently in epithelial tissues. Gamma Catenin contributes significantly to the structure of adherens junctions and desmosomes physically connecting cells to one another and stabilizing those connections within tissues.
Biological function summary

Gamma Catenin is an integral component of the armadillo family of proteins and part of desmosomal and adherens junction complexes. It plays an essential role in maintaining the integrity and mechanical strength of tissues. Through interacting with other proteins in these complexes gamma Catenin facilitates cell signaling and communication. It associates with cadherins and catenins including plakophilin and β-catenin to ensure proper cell-cell adhesion and signaling across the cell membrane.

Pathways

Gamma Catenin is involved in the Wnt signaling pathway an important route governing cellular processes such as proliferation differentiation and migration. Gamma Catenin interacts with β-catenin in this pathway influencing transcriptional regulation in the nucleus. It also plays roles in the cadherin-mediated cell adhesion pathway working alongside other proteins like E-cadherin to modulate cell behavior. These pathways highlight its importance in cellular architecture and signaling.

Alterations in gamma Catenin expression or function relate to conditions such as heart diseases specifically arrhythmogenic right ventricular cardiomyopathy and cancer particularly affecting epithelial tissues. In these conditions abnormal gamma Catenin interactions with other junction proteins like desmoplakin and plakophilin contribute to disease progression. These disruptions suggest its potential as a therapeutic target providing insight into disease mechanisms and opportunities for intervention.

Product protocols

For this product, it's our understanding that no specific protocols are required. You can visit:

Target data

Common junctional plaque protein. The membrane-associated plaques are architectural elements in an important strategic position to influence the arrangement and function of both the cytoskeleton and the cells within the tissue. The presence of plakoglobin in both the desmosomes and in the intermediate junctions suggests that it plays a central role in the structure and function of submembranous plaques. Acts as a substrate for VE-PTP and is required by it to stimulate VE-cadherin function in endothelial cells. Can replace beta-catenin in E-cadherin/catenin adhesion complexes which are proposed to couple cadherins to the actin cytoskeleton (By similarity).
See full target information JUP

Product promise

We are committed to supporting your work with high-quality reagents, and we're here for you every step of the way. In the unlikely event that one of our products does not perform as expected, you're protected by our Product Promise.
For full details, please see our Terms & Conditions

Please note: All products are 'FOR RESEARCH USE ONLY. NOT FOR USE IN DIAGNOSTIC OR THERAPEUTIC PROCEDURES'.

For licensing inquiries, please contact partnerships@abcam.com