JavaScript is disabled in your browser. Please enable JavaScript to view this website.
AB243906

Anti-gamma H2A.X (phospho S139) antibody [BLR053F]

Be the first to review this product! Submit a review

|

(9 Publications)

Rabbit Recombinant Monoclonal H2A.X phospho S139 antibody. Suitable for IHC-P, ICC, IP, WB, Flow Cyt and reacts with Mouse, Human samples. Cited in 9 publications. Immunogen corresponding to Synthetic Peptide within Human H2AX phospho S139.

View Alternative Names

H2AFX, H2AX, Histone H2AX, H2a/x, Histone H2A.X, H2AS139p, H2AXS139p, H2A.XS139p

9 Images
Immunohistochemistry (Formalin/PFA-fixed paraffin-embedded sections) - Anti-gamma H2A.X (phospho S139) antibody [BLR053F] (AB243906)
  • IHC-P

Supplier Data

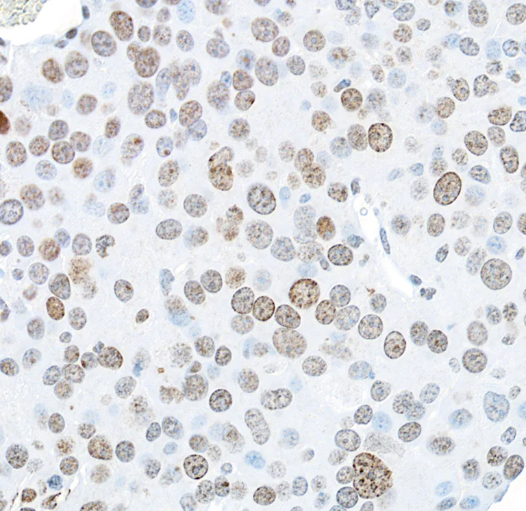
Immunohistochemistry (Formalin/PFA-fixed paraffin-embedded sections) - Anti-gamma H2A.X (phospho S139) antibody [BLR053F] (AB243906)

Immunohistochemical analysis of Formalin-Fixed Paraffin-Embedded human basal cell carcinoma labeling human gamma-H2AX with ab243906, followed by a HRP-conjugated goat anti-rabbit IgG as secondary. Substrate : DAB. Nuclear staining on human basal cell carcinoma is observed. Counter stained with hematoxylin. Epitope retrieval with citrate buffer pH 6.0 for 20 minutes is recommended.

Immunohistochemistry (Formalin/PFA-fixed paraffin-embedded sections) - Anti-gamma H2A.X (phospho S139) antibody [BLR053F] (AB243906)
  • IHC-P

Unknown

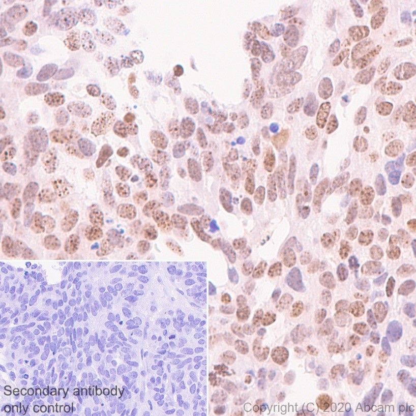
Immunohistochemistry (Formalin/PFA-fixed paraffin-embedded sections) - Anti-gamma H2A.X (phospho S139) antibody [BLR053F] (AB243906)

Formalin-fixed, paraffin-embedded human G203basal cell carcinoma tissue stained for H2A.X (phospho S139) using ab243906 at 1/250 dilution in immunohistochemical analysis. A HRP-conjugated goat anti-rabbit antibody was used as the secondary. DAB staining.

Immunocytochemistry - Anti-gamma H2A.X (phospho S139) antibody [BLR053F] (AB243906)
  • ICC

Unknown

Immunocytochemistry - Anti-gamma H2A.X (phospho S139) antibody [BLR053F] (AB243906)

Formalin-fixed, paraffin-embedded HeLa (human epithelial cell line from cervix adenocarcinoma) cells labeling gamma H2A.X (phospho S139) using ab243906 at 1/100 dilution in ICC analysis. An HRP-conjugated goat-anti rabbit IgG was used as the secondary. DAB staining.

Left panel : Untreated HeLa cells

Right panel : Etoposide treated HeLa cells

Immunohistochemistry (Formalin/PFA-fixed paraffin-embedded sections) - Anti-gamma H2A.X (phospho S139) antibody [BLR053F] (AB243906)
  • IHC-P

Supplier Data

Immunohistochemistry (Formalin/PFA-fixed paraffin-embedded sections) - Anti-gamma H2A.X (phospho S139) antibody [BLR053F] (AB243906)

Immunohistochemistry (Formalin/PFA-fixed paraffin-embedded sections) analysis of human breast carcinoma tissue labelling gamma H2A.X with ab2439064 at 1/100 dilution, and secondary DyLight® 594 conjugated goat anti-rabbit IgG. Counterstain was DAPI.

Heat mediated antigen retrieval performed with citrate buffer pH 6 before commencing with IHC staining protocol.

Flow Cytometry - Anti-gamma H2A.X (phospho S139) antibody [BLR053F] (AB243906)
  • Flow Cyt

Supplier Data

Flow Cytometry - Anti-gamma H2A.X (phospho S139) antibody [BLR053F] (AB243906)

Flow cytometry overlay histogram of 4% formaldehyde fixed etoposide treated HEK293T cells permeabilized with 90% methanol labeling human gamma H2AX with ab243906 at 1 µl per 1 x 10^6 cells (shaded) compared with a Isotype control (unshaded). Secondary antibody details : Goat Anti-Rabbit IgG H&L (DyLight® 488) (ab96883).

Immunoprecipitation - Anti-gamma H2A.X (phospho S139) antibody [BLR053F] (AB243906)
  • IP

Supplier Data

Immunoprecipitation - Anti-gamma H2A.X (phospho S139) antibody [BLR053F] (AB243906)

Gamma H2A.X was immunoprecipitated from 1.0 mg Jurkat (human T cell leukemia cell line from peripheral blood) whole cell lysate with ab243906 at 20 μl per reaction. Western blot was performed on the immunoprecipitate using ab243864 at 1/1000 dilution.

Lane 1 : ab243906 IP in Jurkat (untreated) whole cell lysate.

Lane 2 : ab243906 IP in Jurkat (treated with Etoposide) whole cell lysate.

Lane 3 : rabbit anti-gamma-H2AX antibody IP in Jurkat (untreated) whole cell lysate.

Lane 4 : rabbit anti-gamma-H2AX antibody IP in Jurkat (treated with Etoposide) whole cell lysate

Lane 5 : Control IgG IP in Jurkat (treated with Etoposide) whole cell lysate.

Detection : Chemiluminescence with an exposure time of 3 seconds.

All lanes:

Immunoprecipitation - Anti-gamma H2A.X (phospho S139) antibody [BLR053F] (ab243906)

Predicted band size: 15 kDa

false

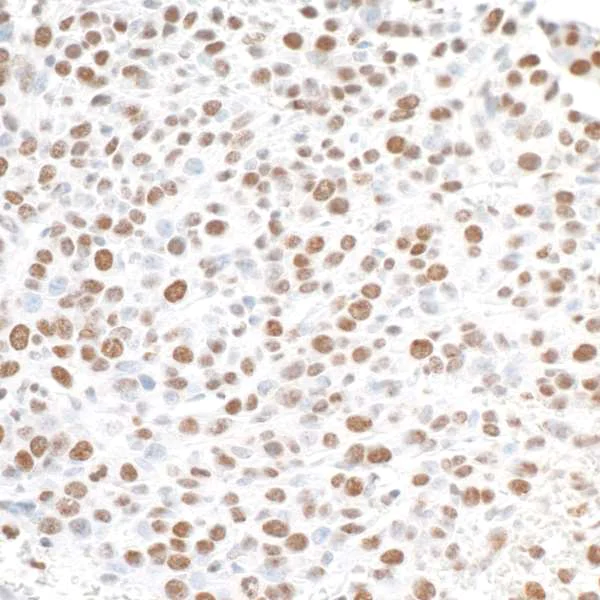
Immunohistochemistry (Formalin/PFA-fixed paraffin-embedded sections) - Anti-gamma H2A.X (phospho S139) antibody [BLR053F] (AB243906)
  • IHC-P

Unknown

Immunohistochemistry (Formalin/PFA-fixed paraffin-embedded sections) - Anti-gamma H2A.X (phospho S139) antibody [BLR053F] (AB243906)

Formalin-fixed, paraffin-embedded mouse CT26 colon carcinoma tissue stained for H2A.X (phospho S139) using ab243906 at 1/250 dilution in immunohistochemical analysis. A HRP-conjugated goat anti-rabbit antibody was used as the secondary. DAB staining.

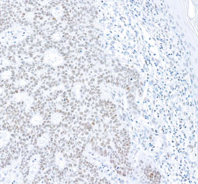
Immunohistochemistry (Formalin/PFA-fixed paraffin-embedded sections) - Anti-gamma H2A.X (phospho S139) antibody [BLR053F] (AB243906)
  • IHC-P

Supplier Data

Immunohistochemistry (Formalin/PFA-fixed paraffin-embedded sections) - Anti-gamma H2A.X (phospho S139) antibody [BLR053F] (AB243906)

Immunohistochemical analysis of Formalin-Fixed Paraffin-Embedded mouse CT26 tumor labeling mouse gamma-H2AX with ab243906, followed by a HRP-conjugated goat anti-rabbit IgG as secondary. Substrate : DAB. Nuclear staining on mouse CT26 tumor is observed. Counter stained with hematoxylin. Epitope retrieval with citrate buffer pH 6.0 for 20 minutes is recommended.

Western blot - Anti-gamma H2A.X (phospho S139) antibody [BLR053F] (AB243906)
  • WB

Unknown

Western blot - Anti-gamma H2A.X (phospho S139) antibody [BLR053F] (AB243906)

Western blot analysis using ab243906 at 1/1000 dilution.

Lane 1 : Jurkat (human T cell leukemia cell line from peripheral blood) (untreated) whole cell lysate (50 μg) .

Lane 2 : Jurkat (Etoposide-treated) whole cell lysate (50 μg).

A HRP-conjugated goat anti-rabbit IgG antibody was used as the secondary.

All lanes:

Western blot - Anti-gamma H2A.X (phospho S139) antibody [BLR053F] (ab243906)

Predicted band size: 15 kDa

false

Key facts

Host species

Rabbit

Clonality

Monoclonal

Clone number

BLR053F

Isotype

IgG

Carrier free

No

Reacts with

Mouse, Human

Applications

WB, ICC, Flow Cyt, IHC-P, IP

applications

Immunogen

Synthetic Peptide within Human H2AX phospho S139. The exact immunogen used to generate this antibody is proprietary information.

P16104

Reactivity data

{ "title": "Reactivity Data", "filters": { "stats": ["", "Species", "Dilution Info", "Notes"], "tabs": { "all-applications": {"fullname" : "All Applications", "shortname": "All Applications"}, "IHCP" : {"fullname" : "Immunohistochemistry (Formalin/PFA-fixed paraffin-embedded sections)", "shortname":"IHC-P"}, "ICC" : {"fullname" : "Immunocytochemistry", "shortname":"ICC"}, "IP" : {"fullname" : "Immunoprecipitation", "shortname":"IP"}, "WB" : {"fullname" : "Western blot", "shortname":"WB"}, "FlowCyt" : {"fullname" : "Flow Cytometry", "shortname":"Flow Cyt"} }, "product-promise": { "all": "all", "testedAndGuaranteed": "tested", "guaranteed": "expected", "predicted": "predicted", "notRecommended": "not-recommended" } }, "values": { "Human": { "IHCP-species-checked": "testedAndGuaranteed", "IHCP-species-dilution-info": "1/100 - 1/500", "IHCP-species-notes": "<p></p> Perform heat-mediated antigen retrieval with citrate buffer pH 6 before commencing with IHC staining protocol.", "ICC-species-checked": "testedAndGuaranteed", "ICC-species-dilution-info": "1/100 - 1/500", "ICC-species-notes": "<p></p>", "IP-species-checked": "testedAndGuaranteed", "IP-species-dilution-info": "", "IP-species-notes": "<p>Use 20μl/mg lysate.</p>", "WB-species-checked": "testedAndGuaranteed", "WB-species-dilution-info": "1/1000", "WB-species-notes": "<p></p>", "FlowCyt-species-checked": "testedAndGuaranteed", "FlowCyt-species-dilution-info": "1 µL for 10^6 Cells", "FlowCyt-species-notes": "<p></p>" }, "Mouse": { "IHCP-species-checked": "testedAndGuaranteed", "IHCP-species-dilution-info": "1/100 - 1/500", "IHCP-species-notes": "<p></p> Perform heat-mediated antigen retrieval with citrate buffer pH 6 before commencing with IHC staining protocol.", "ICC-species-checked": "guaranteed", "ICC-species-dilution-info": "", "ICC-species-notes": "", "IP-species-checked": "guaranteed", "IP-species-dilution-info": "", "IP-species-notes": "", "WB-species-checked": "guaranteed", "WB-species-dilution-info": "", "WB-species-notes": "", "FlowCyt-species-checked": "guaranteed", "FlowCyt-species-dilution-info": "", "FlowCyt-species-notes": "" } } }

Product details

REACH authorisation
Abcam has not and does not intend to apply for the REACH Authorisation of customers' uses of products that contain European Authorisation list (Annex XIV) substances.
It is the responsibility of our customers to check the necessity of application of REACH Authorisation, and any other relevant authorisations, for their intended uses.

This product is sold under License from Bethyl Laboratories, Inc.

Properties and storage information

Form
Liquid
Purification notes
Recombinant antibody was purified from cell culture supernatant.
Storage buffer
pH: 7.8 - 8.6 Preservative: 0.09% Sodium azide Constituents: 98% Borate buffered saline, 0.1% BSA
Shipped at conditions
Blue Ice
Appropriate short-term storage duration
1-2 weeks
Appropriate short-term storage conditions
+4°C
Appropriate long-term storage conditions
+4°C
Aliquoting information
Upon delivery aliquot
Storage information
Avoid freeze / thaw cycle

Supplementary information

This supplementary information is collated from multiple sources and compiled automatically.

Gamma H2A.X also known as phospho H2A.X or γH2A.X is a phosphorylated form of the histone variant H2A.X. It has a molecular weight of about 14 kilodaltons and occurs primarily in they nucleus. When DNA double-strand breaks (DSBs) occur serine 139 in H2A.X undergoes rapid phosphorylation resulting in gamma H2A.X. This modification happens swiftly at the site of damage and gamma H2A.X spreads over a large chromatin area facilitating the recruitment of DNA repair proteins. Gamma H2A.X staining typically evaluated using gamma H2A.X immunofluorescence techniques aids in identifying the presence and extent of DNA damage.
Biological function summary

Gamma H2A.X plays a role in DNA damage response and repair. It does not operate alone; it acts as part of a complex with other repair proteins. The formation of gamma H2A.X foci at DNA damage sites creates a signal attracting repair factors that help maintain genome stability. Its interaction with MDC1 and ATM proteins exemplifies its significant role in orchestrating an effective response to DNA damage. Beyond DNA repair gamma H2A.X influences cell cycle checkpoints permitting cells to pause and repair before proceeding with division.

Pathways

Gamma H2A.X plays a pivotal role in the DNA damage response (DDR) pathway. This pathway is essential for detecting and repairing DNA lesions to uphold genomic integrity. Within the DDR pathway gamma H2A.X is closely associated with proteins such as NBS1 and BRCA1 which assist in repairing double-strand breaks. In addition gamma H2A.X is integral to the ATM-ATR signaling pathway where its activation promotes cell survival following genotoxic stress by signaling for damage repair or triggering apoptosis.

Gamma H2A.X has connections to cancer and neurodegeneration. Aberrant DNA repair pathways often indicated by persistent gamma H2A.X signals correlate with tumor formation and progression. For instance a failure to repair DNA damage effectively can lead to mutations that drive cancer development. Gamma H2A.X also links to neurodegenerative diseases where dysregulated DNA repair contributes to neuronal cell death. Proteins like p53 which regulate cell cycle and apoptosis further connect to gamma H2A.X bridging its role in disease pathogenesis.

Product protocols

For this product, it's our understanding that no specific protocols are required. You can visit:

Target data

The protein expressed by the H2AX gene is a variant histone H2A that replaces conventional H2A in certain nucleosomes, which are responsible for wrapping and compacting DNA into chromatin. This compaction limits DNA accessibility to cellular machineries that require DNA as a template, placing histones at the center of transcription regulation, DNA repair, DNA replication, and chromosomal stability. DNA accessibility is controlled through a complex array of post-translational histone modifications, known as the histone code, and nucleosome remodeling. The H2AX protein is essential for the checkpoint-mediated arrest of cell cycle progression in response to low doses of ionizing radiation and for the efficient repair of DNA double strand breaks (DSBs), particularly when it undergoes C-terminal phosphorylation. This supplementary information is collated from multiple sources and compiled automatically.
See full target information H2AX phospho S139

Publications (9)

Recent publications for all applications. Explore the full list and refine your search

Cell death and differentiation : PubMed40770563

2025

ABCC10-mediated cGAMP efflux drives cancer cell radiotherapy resistance.

Applications

Unspecified application

Species

Unspecified reactive species

Zhengyang Zhang,Jie Gao,Xiang Liao,Zining Zhang,Xiongfeng Cao,Yi Gong,Wenlong Chen,Lirong Zhang,Hsiang-I Tsai,Dongqing Wang,Haitao Zhu

International journal of nanomedicine 20:5593-5610 PubMed40321808

2025

A BiO-TiO Heterojunction for Triple-Modality Cancer Theranostics.

Applications

Unspecified application

Species

Unspecified reactive species

Zhiyu Zheng,Gareth R Williams,Honghua Guo,Yilu Zheng,Mengting Xiu,Yanyan Zhang,Huan Zhang,Kai Wang,Jindong Xia,Yu Wang,Li-Min Zhu

Electrophoresis 45:1408-1417 PubMed38629299

2024

The impact of SOX4-activated CTHRC1 transcriptional activity regulating DNA damage repair on cisplatin resistance in lung adenocarcinoma.

Applications

Unspecified application

Species

Unspecified reactive species

Cheng Ai,Zhenhao Huang,Tenghao Rong,Wang Shen,Fuyu Yang,Qiang Li,Lei Bi,Wen Li

ACS nano 17:24919-24935 PubMed38051272

2023

Pulmonary Toxicity of Boron Nitride Nanomaterials Is Aspect Ratio Dependent.

Applications

Unspecified application

Species

Unspecified reactive species

Luis Augusto Visani de Luna,Thomas Loret,Yilin He,Morgan Legnani,Hazel Lin,Anne Marie Galibert,Alexander Fordham,Sonja Holme,Antonio Esau Del Rio Castillo,Francesco Bonaccorso,Alberto Bianco,Emmanuel Flahaut,Kostas Kostarelos,Cyrill Bussy

Acta pharmacologica Sinica 45:268-281 PubMed37674042

2023

Cell senescence induced by toxic interaction between α-synuclein and iron precedes nigral dopaminergic neuron loss in a mouse model of Parkinson's disease.

Applications

Unspecified application

Species

Unspecified reactive species

Qing-Qing Shen,Xian-Hui Jv,Xi-Zhen Ma,Chong Li,Lin Liu,Wen-Ting Jia,Le Qu,Lei-Lei Chen,Jun-Xia Xie

Cell discovery 9:71 PubMed37433812

2023

Glc7/PP1 dephosphorylates histone H3T11 to regulate autophagy and telomere silencing in response to nutrient availability.

Applications

Unspecified application

Species

Unspecified reactive species

Xinyu Zhang,Qi Yu,Yinsheng Wu,Yuan Zhang,Yi He,Rongsha Wang,Xilan Yu,Shanshan Li

Particle and fibre toxicology 19:62 PubMed36131347

2022

Lung recovery from DNA damage induced by graphene oxide is dependent on size, dose and inflammation profile.

Applications

Unspecified application

Species

Unspecified reactive species

Luis Augusto Visani de Luna,Thomas Loret,Alexander Fordham,Atta Arshad,Matthew Drummond,Abbie Dodd,Neus Lozano,Kostas Kostarelos,Cyrill Bussy

Oncology letters 21:99 PubMed33376532

2020

Oncolytic herpes simplex virus and temozolomide synergistically inhibit breast cancer cell tumorigenesis and .

Applications

Unspecified application

Species

Unspecified reactive species

Jingjing Fan,Hua Jiang,Lin Cheng,Binlin Ma,Renbin Liu

Aging cell 19:e13163 PubMed32475059

2020

Poly (ADP-ribose) polymerase 1 inhibition prevents neurodegeneration and promotes α-synuclein degradation via transcription factor EB-dependent autophagy in mutant α-synucleinA53T model of Parkinson's disease.

Applications

Unspecified application

Species

Unspecified reactive species

Kanmin Mao,Jialong Chen,Honglin Yu,Huihui Li,Yixian Ren,Xian Wu,Yue Wen,Fei Zou,Wenjun Li
View all publications

Product promise

We are committed to supporting your work with high-quality reagents, and we're here for you every step of the way. In the unlikely event that one of our products does not perform as expected, you're protected by our Product Promise.
For full details, please see our Terms & Conditions

Please note: All products are 'FOR RESEARCH USE ONLY. NOT FOR USE IN DIAGNOSTIC OR THERAPEUTIC PROCEDURES'.

For licensing inquiries, please contact partnerships@abcam.com