JavaScript is disabled in your browser. Please enable JavaScript to view this website.
AB215967

Anti-gamma H2A.X (phospho S139) antibody [EP854(2)Y] - BSA and Azide free

Be the first to review this product! Submit a review

|

(17 Publications)

Anti-gamma H2A.X (phospho S139) antibody [EP854(2)Y] - BSA and Azide free (ab215967) is a rabbit recombinant monoclonal antibody in a PBS only buffer for easy conjugation. Suitable for Western Blot, IP, IHC-P, ICC/IF, Dot Blot in Human, Mouse, Rat.

- BSA, sodium azide, and glycerol-free for easy conjugation
- Biophysical QC for unrivalled batch-batch consistency
- Over 10 publications

View Alternative Names

H2AFX, H2AX, Histone H2AX, H2a/x, Histone H2A.X, H2AS139p, H2AXS139p, H2A.XS139p

17 Images
Immunohistochemistry (Formalin/PFA-fixed paraffin-embedded sections) - Anti-gamma H2A.X (phospho S139) antibody [EP854(2)Y] - BSA and Azide free (AB215967)
  • IHC-P

AbReview35291****

Immunohistochemistry (Formalin/PFA-fixed paraffin-embedded sections) - Anti-gamma H2A.X (phospho S139) antibody [EP854(2)Y] - BSA and Azide free (AB215967)

ab81299 staining H2A.X in Human Testis tissue sections by Immunohistochemistry (Formalin/PFA fixed paraffin embedded sections). Tissue was fixed with formaldehyde and blocked with 1% BSA for 10 minutes at 21°C; antigen retrieval was by heat mediation in Citric acid. Samples were incubated with primary antibody (1/50 in TBS) for 2 hours at 21°C. A biotin conjugated Anti-Rabbit IgG (goat polyclonal) was used as the secondary antibody at a 1/250 dilution.

This data was developed using the same antibody clone in a different buffer formulation containing PBS, BSA, glycerol, and sodium azide (ab81299).

This image is courtesy of an Abreview submitted by Carl Hobbs.

Immunocytochemistry/ Immunofluorescence - Anti-gamma H2A.X (phospho S139) antibody [EP854(2)Y] - BSA and Azide free (AB215967)
  • ICC/IF

Unknown

Immunocytochemistry/ Immunofluorescence - Anti-gamma H2A.X (phospho S139) antibody [EP854(2)Y] - BSA and Azide free (AB215967)

Immunocytochemistry/Immunofluorescence analysis of HeLa cells (untreated and treated with H2O2) labelling Histone H2A.X (phospho S139) with ab81299 at 1/250. Cells were fixed with 4% paraformaldehyde and permeabilized with 0.1% Triton X-100. ab150077, an Alexa Fluor® 488-conjugated goat anti-rabbit IgG (1/1000) was used as the secondary antibody. The cells were co-stained with ab7291, a mouse anti-tubulin (1/1000) using ab150120, an Alexa Fluor® 594-conjugated goat anti-mouse IgG (1/1000) as the secondary antibody. Nuclei counterstained with DAPI (blue).

Control 1 : primary antibody (1/250) and secondary antibody, ab150120, an Alexa Fluor® 594-conjugated goat anti-mouse IgG (1/1000).

Control 2 : ab7291 (1/1000) and secondary antibody, ab150077, an Alexa Fluor® 488-conjugated goat anti-rabbit IgG (1/500).

This data was developed using the same antibody clone in a different buffer formulation containing PBS, BSA, glycerol, and sodium azide (ab81299).

Immunohistochemistry (Formalin/PFA-fixed paraffin-embedded sections) - Anti-gamma H2A.X (phospho S139) antibody [EP854(2)Y] - BSA and Azide free (AB215967)
  • IHC-P

Unknown

Immunohistochemistry (Formalin/PFA-fixed paraffin-embedded sections) - Anti-gamma H2A.X (phospho S139) antibody [EP854(2)Y] - BSA and Azide free (AB215967)

Immunohistochemical staining of paraffin embedded human brain with unpurified ab81299 at a working dilution of 1 in 50. The secondary antibody used is a HRP polymer for rabbit IgG. The sample is counter-stained with hematoxylin. Antigen retrieval was perfomed using Tris-EDTA buffer, pH 9.0.

This data was developed using the same antibody clone in a different buffer formulation containing PBS, BSA, glycerol, and sodium azide (ab81299).

Immunocytochemistry/ Immunofluorescence - Anti-gamma H2A.X (phospho S139) antibody [EP854(2)Y] - BSA and Azide free (AB215967)
  • ICC/IF

Unknown

Immunocytochemistry/ Immunofluorescence - Anti-gamma H2A.X (phospho S139) antibody [EP854(2)Y] - BSA and Azide free (AB215967)

Immunofluorescence staining of A549 (Human lung carcinoma cell line) labeling gamma H2A.X (phospho S139) (green) with ab81299.

Cells were fixed in 4% paraformaldehyde for 15 minutes and permeabilized in PBS-0.2% Triton for 10 minutes. After blocked for 1 hour, primary antibody was  diluted in blocking buffer (1/100) and incubated with fixed cells overnight at 4°C. Cells were washed and incubated with secondary antibodies (1/100) for 1 hour at room temperature. All slides were counterstained with 4′,6-diamidino-2-phenylindole (DAPI). Immunofluorescence was performed using confocal laser scanning microscopy (Lecia) or fluorescence microscopy (Olympus).

Dexamethasone, DEX; Cisplatin, DDP.

This data was developed using the same antibody clone in a different buffer formulation containing PBS, BSA, glycerol, and sodium azide (ab81299).

Immunohistochemistry (Formalin/PFA-fixed paraffin-embedded sections) - Anti-gamma H2A.X (phospho S139) antibody [EP854(2)Y] - BSA and Azide free (AB215967)
  • IHC-P

Supplier Data

Immunohistochemistry (Formalin/PFA-fixed paraffin-embedded sections) - Anti-gamma H2A.X (phospho S139) antibody [EP854(2)Y] - BSA and Azide free (AB215967)

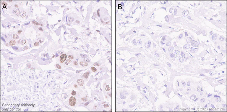
This data was developed using the same antibody clone in a different buffer formulation (ab81299). Immunohistochemical analysis of paraffin-embedded Human cervical carcinoma tissue labeling gamma H2A.X with ab81299 at 1/3000 (0.352 ug/ml). Nuclear staining on human cervical carcinoma without lambda protein phosphatase treatment (image A). No signal was detected when tissues were treated with lambda protein phosphatase (image B). The section was incubated with ab81299 for 15 mins at room temperature. The immunostaining was performed on a Leica Biosystems BOND® RX instrument. Counterstained with Hematoxylin. Secondary antibody only control : Secondary antibody is a ready to use ab209101. Heat mediated antigen retrieval was performed with Citrate buffer (pH 6.0, Epitope Retrieval Solution 1) for 20 mins.

Immunohistochemistry (Formalin/PFA-fixed paraffin-embedded sections) - Anti-gamma H2A.X (phospho S139) antibody [EP854(2)Y] - BSA and Azide free (AB215967)
  • IHC-P

Supplier Data

Immunohistochemistry (Formalin/PFA-fixed paraffin-embedded sections) - Anti-gamma H2A.X (phospho S139) antibody [EP854(2)Y] - BSA and Azide free (AB215967)

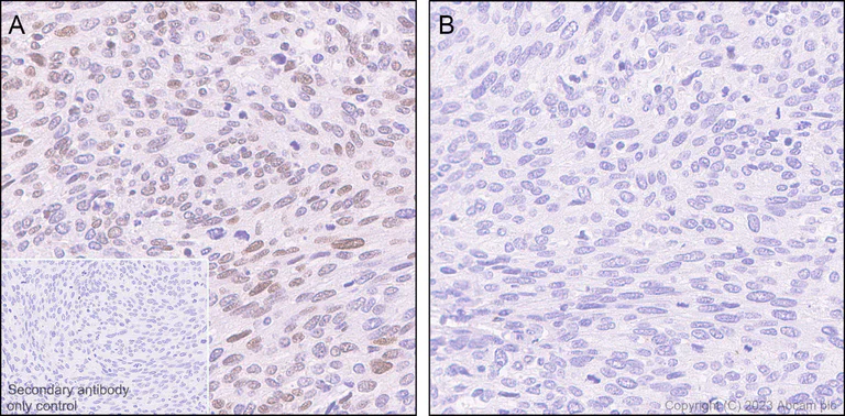
This data was developed using the same antibody clone in a different buffer formulation (ab81299). Immunohistochemical analysis of paraffin-embedded Human breast carcinoma tissue labeling gamma H2A.X with ab81299 at 1/3000 (0.352 ug/ml). Nuclear staining on human breast carcinoma without lambda protein phosphatase treatment (image A). No signal was detected when tissues were treated with lambda protein phosphatase (image B). The section was incubated with ab81299 for 15 mins at room temperature. The immunostaining was performed on a Leica Biosystems BOND® RX instrument. Counterstained with Hematoxylin. Secondary antibody only control : Secondary antibody is a ready to use ab209101. Heat mediated antigen retrieval was performed with Citrate buffer (pH 6.0, Epitope Retrieval Solution 1) for 20 mins.

Immunohistochemistry (Formalin/PFA-fixed paraffin-embedded sections) - Anti-gamma H2A.X (phospho S139) antibody [EP854(2)Y] - BSA and Azide free (AB215967)
  • IHC-P

Unknown

Immunohistochemistry (Formalin/PFA-fixed paraffin-embedded sections) - Anti-gamma H2A.X (phospho S139) antibody [EP854(2)Y] - BSA and Azide free (AB215967)

Immunohistochemical staining of paraffin embedded human brain with purified ab81299 at a working dilution of 1 in 100. The secondary antibody used is a HRP polymer for rabbit IgG. The sample is counter-stained with hematoxylin. Antigen retrieval was perfomed using Tris-EDTA buffer, pH 9.0.

This data was developed using the same antibody clone in a different buffer formulation containing PBS, BSA, glycerol, and sodium azide (ab81299).

Immunocytochemistry/ Immunofluorescence - Anti-gamma H2A.X (phospho S139) antibody [EP854(2)Y] - BSA and Azide free (AB215967)
  • ICC/IF

Lab

Immunocytochemistry/ Immunofluorescence - Anti-gamma H2A.X (phospho S139) antibody [EP854(2)Y] - BSA and Azide free (AB215967)

Clone EP854(2)Y (ab215967) has been successfully conjugated by Abcam. This image was generated using Anti-gamma H2A.X (phospho S139) antibody [EP854(2)Y] (Alexa Fluor® 647). Please refer to ab195189 for protocol details.

ab195189 staining Histone H2A.X in Jurkat cells. The cells were incubated with 25uM ETP for 5 hours (Treated) or solvent-only for control purposes (Non-treated). The cells were fixed with 4% formaldehyde (10 min), permeabilized with 0.1% Triton X-100 for 5 minutes and then blocked with 10% normal goat serum in 0.1% PBS-Tween for 1h. The cells were then incubated overnight at +4°C with ab195189 at 1/200 dilution (shown in red) and ab195887, Mouse monoclonal to alpha Tubulin (Alexa Fluor® 488), at 1/200 dilution (shown in green). Nuclear DNA was labelled with DAPI (shown in blue).
Image was taken with a confocal microscope (Leica-Microsystems, TCS SP8).

Immunocytochemistry/ Immunofluorescence - Anti-gamma H2A.X (phospho S139) antibody [EP854(2)Y] - BSA and Azide free (AB215967)
  • ICC/IF

Lab

Immunocytochemistry/ Immunofluorescence - Anti-gamma H2A.X (phospho S139) antibody [EP854(2)Y] - BSA and Azide free (AB215967)

Clone EP854(2)Y (ab215967) has been successfully conjugated by Abcam. This image was generated using Anti-gamma H2A.X (phospho S139) antibody [EP854(2)Y] (Alexa Fluor® 488). Please refer to ab195188 for protocol details.

ab195188 staining Histone H2A.X in Jurkat cells. The cells were incubated with 25uM ETP for 5 hours (Treated) or solvent-only for control purposes (Non-treated). The cells were fixed with 4% formaldehyde (10 min), permeabilized with 0.1% Triton X-100 for 5 minutes and then blocked with 10% normal goat serum in 0.1% PBS-Tween for 1h. The cells were then incubated overnight at +4°C with ab195188 at 1/50 dilution (shown in green) and ab195889, Mouse monoclonal to alpha Tubulin (Alexa Fluor® 594), at 1/200 dilution (shown in red). Nuclear DNA was labelled with DAPI (shown in blue).
Image was taken with a confocal microscope (Leica-Microsystems, TCS SP8).

Immunohistochemistry (Formalin/PFA-fixed paraffin-embedded sections) - Anti-gamma H2A.X (phospho S139) antibody [EP854(2)Y] - BSA and Azide free (AB215967)
  • IHC-P

Unknown

Immunohistochemistry (Formalin/PFA-fixed paraffin-embedded sections) - Anti-gamma H2A.X (phospho S139) antibody [EP854(2)Y] - BSA and Azide free (AB215967)

Immunohistochemical analysis of formalin/PFA-fixed paraffin-embedded human kidney transitional cell carcinoma using unpurified ab81299 at a dilution of 1/100.

This data was developed using the same antibody clone in a different buffer formulation containing PBS, BSA, glycerol, and sodium azide (ab81299).

Perform heat mediated antigen retrieval with citrate buffer pH 6 before commencing with IHC staining protocol.

Immunoprecipitation - Anti-gamma H2A.X (phospho S139) antibody [EP854(2)Y] - BSA and Azide free (AB215967)
  • IP

Unknown

Immunoprecipitation - Anti-gamma H2A.X (phospho S139) antibody [EP854(2)Y] - BSA and Azide free (AB215967)

ab81299 at 1/40 immunoprecipitating Histone H2A.X (phospho S139) in HepG2 (human hepatocellular carcinoma epithelial) whole cell lysate observed at 15 KDa (lanes 1 and 2).

Lane 1 (input) : HepG2 treated with etoposide and TSA whole cell lysate 10μg

Lane 2 (+) : ab81299 + HepG2 treated with etoposide and TSA whole cell lysate

Lane 3 (-) : Rabbit monoclonal IgG (ab172730) instead of ab81299 in HepG2 treated with etoposide and TSA

For western blotting, ab81299 (Purified) at 1/200 dilution and VeriBlot for IP Detection Reagent (HRP) (ab131366), was used for detection at 1/1000 dilution.

Blocking buffer and concentration : 5% NFDM/TBST.
Diluting buffer and concentration : 5% NFDM /TBST.

This data was developed using the same antibody clone in a different buffer formulation containing PBS, BSA, glycerol, and sodium azide (ab81299).

All lanes:

Immunoprecipitation - Anti-gamma H2A.X (phospho S139) antibody [EP854(2)Y] (<a href='/en-us/products/primary-antibodies/gamma-h2ax-phospho-s139-antibody-ep8542y-ab81299'>ab81299</a>)

Predicted band size: 15 kDa

false

Exposure time: 30s

Western blot - Anti-gamma H2A.X (phospho S139) antibody [EP854(2)Y] - BSA and Azide free (AB215967)
  • WB

Lab

Western blot - Anti-gamma H2A.X (phospho S139) antibody [EP854(2)Y] - BSA and Azide free (AB215967)

This data was developed using ab81299, the same antibody clone in a different buffer formulation.

Western blot : Rabbit Monoclonal [EP854(2)Y] to gamma H2A.X (phospho S139) ab81299 staining at 1/1000 dilution, shown in green; Mouse anti GAPDH (ab8245) loading control staining at 1/20,000 dilution, shown in magenta. A band was observed at 15 kDa in HepG2 Vehicle Control Etoposide (0 uM, 90 min) cell lysates with no signal observed at this size in HepG2 Etoposide treated (100 uM, 90 min) cell line. To generate this image, samples were run on an SDS-PAGE gel then transferred onto a nitrocellulose membrane. Membranes were blocked in 3pc BSA in TBS-0.1 % Tween® 20 (TBS-T) before incubation with primary antibodies overnight at 4 °C. Blots were washed four times in TBS-T, incubated with secondary antibodies for 1 h at room temperature, washed again four times then imaged. Secondary antibodies used were Goat anti-Rabbit 800CW & Goat anti-Mouse 680RD at 1/20,000 dilution.

All lanes:

Western blot - Anti-gamma H2A.X (phospho S139) antibody [EP854(2)Y] (<a href='/en-us/products/primary-antibodies/gamma-h2ax-phospho-s139-antibody-ep8542y-ab81299'>ab81299</a>) at 1/1000 dilution

Lane 1:

HepG2 Vehicle Control Etoposide (0 uM, 90 min) at 20 µg

Lane 2:

HepG2 Etoposide treated (100 uM, 90 min) at 20 µg

Lane 3:

Jurkat Vehicle Control Etoposide (0 uM, 90 min) at 20 µg

Lane 4:

Jurkat Treated Etoposide (100 uM, 90 min) at 20 µg

Lane 5:

Human Brain at 20 µg

Secondary

All lanes:

Goat anti-Rabbit 800CW & Goat anti-Mouse 680RD at 1/20000 dilution

Predicted band size: 15 kDa

Observed band size: 15 kDa

false

Western blot - Anti-gamma H2A.X (phospho S139) antibody [EP854(2)Y] - BSA and Azide free (AB215967)
  • WB

Lab

Western blot - Anti-gamma H2A.X (phospho S139) antibody [EP854(2)Y] - BSA and Azide free (AB215967)

This data was developed using ab81299, the same antibody clone in a different buffer formulation.

Blocking and diluting buffer and concentration : 5% NFDM/TBST.

In Western blot, Anti-GAPDH antibody [EPR16891] - Loading Control (ab181602) staining at 1/1000000 dilution.

In Western blot, Anti-Histone H2A.X antibody [EPR895] - Nuclear Marker (ab124781) staining at 1/2000 dilution.

The identity of the bands between 25kDa and 50kDa are unknown.

All lanes:

Western blot - Anti-gamma H2A.X (phospho S139) antibody [EP854(2)Y] (<a href='/en-us/products/primary-antibodies/gamma-h2ax-phospho-s139-antibody-ep8542y-ab81299'>ab81299</a>) at 1/1000 dilution

Lane 1:

Untreated Jurkat (Human T cell leukemia T lymphocyte) whole cell lysate at 20 µg

Lane 2:

Jurkat treated with 25µM etoposide for 8 hours whole cell lysate at 20 µg

Lane 3:

Jurkat treated with 25µM etoposide for 8 hours whole cell lysate 20µg, then the membrane treated with Alkaline Phosphatase for 1 hour at 20 µg

Secondary

All lanes:

Western blot - Goat Anti-Rabbit IgG H&L (HRP) (<a href='/en-us/products/secondary-antibodies/goat-rabbit-igg-h-l-hrp-ab97051'>ab97051</a>) at 1/20000 dilution

Observed band size: 15 kDa

false

Exposure time: 60s

Western blot - Anti-gamma H2A.X (phospho S139) antibody [EP854(2)Y] - BSA and Azide free (AB215967)
  • WB

Lab

Western blot - Anti-gamma H2A.X (phospho S139) antibody [EP854(2)Y] - BSA and Azide free (AB215967)

This data was developed using the same antibody clone in a different buffer formulation containing PBS, BSA, glycerol, and sodium azide (ab81299). Mouse anti GAPDH was used as a GAPDH loading control.

All lanes:

Western blot - Anti-gamma H2A.X (phospho S139) antibody [EP854(2)Y] (<a href='/en-us/products/primary-antibodies/gamma-h2ax-phospho-s139-antibody-ep8542y-ab81299'>ab81299</a>) at 1/1000 dilution

Lane 1:

HepG2 Vehicle Control Etoposide (0 uM, 90 min) at 20 µg

Lane 2:

HepG2 Etoposide treated (100 uM, 90 min) at 20 µg

Lane 3:

Jurkat Vehicle Control Etoposide (0 uM, 90 min) at 20 µg

Lane 4:

Jurkat Treated Etoposide (100 uM, 90 min) at 20 µg

Lane 5:

Human Brain at 20 µg

Predicted band size: 15 kDa

false

Western blot - Anti-gamma H2A.X (phospho S139) antibody [EP854(2)Y] - BSA and Azide free (AB215967)
  • WB

Lab

Western blot - Anti-gamma H2A.X (phospho S139) antibody [EP854(2)Y] - BSA and Azide free (AB215967)

This data was developed using ab81299, the same antibody clone in a different buffer formulation.

Blocking and diluting buffer and concentration : 5% NFDM/TBST.

In Western blot, Anti-GAPDH antibody [EPR16891] - Loading Control (ab181602) staining at 1/1000000 dilution.

In Western blot, Anti-Histone H2A.X antibody [EPR895] - Nuclear Marker (ab124781) staining at 1/2000 dilution.

The identity of the bands between 20kDa and 75kDa are unknown.

All lanes:

Western blot - Anti-gamma H2A.X (phospho S139) antibody [EP854(2)Y] (<a href='/en-us/products/primary-antibodies/gamma-h2ax-phospho-s139-antibody-ep8542y-ab81299'>ab81299</a>) at 1/1000 dilution

Lane 1:

Untreated PC-12 (Rat adrenal gland pheochromocytoma) whole cell lysate at 20 µg

Lane 2:

PC-12 treated with 3µM etoposide for 1-hour whole cell lysate at 20 µg

Lane 3:

PC-12 treated with 3µM etoposide for 1-hour whole cell lysate 20µg, then the membrane treated with Alkaline Phosphatase for 1 hour at 20 µg

Secondary

All lanes:

Western blot - Goat Anti-Rabbit IgG H&L (HRP) (<a href='/en-us/products/secondary-antibodies/goat-rabbit-igg-h-l-hrp-ab97051'>ab97051</a>) at 1/20000 dilution

Observed band size: 15 kDa

false

Exposure time: 3s

Western blot - Anti-gamma H2A.X (phospho S139) antibody [EP854(2)Y] - BSA and Azide free (AB215967)
  • WB

Lab

Western blot - Anti-gamma H2A.X (phospho S139) antibody [EP854(2)Y] - BSA and Azide free (AB215967)

This data was developed using ab81299, the same antibody clone in a different buffer formulation.

Blocking and diluting buffer and concentration : 5% NFDM/TBST.

In Western blot, Anti-GAPDH antibody [EPR16891] - Loading Control (ab181602) staining at 1/1000000 dilution.

In Western blot, Anti-Histone H2A.X antibody [EPR895] - Nuclear Marker (ab124781) staining at 1/2000 dilution.

The identity of the bands between 37kDa and 50kDa are unknown.

All lanes:

Western blot - Anti-gamma H2A.X (phospho S139) antibody [EP854(2)Y] (<a href='/en-us/products/primary-antibodies/gamma-h2ax-phospho-s139-antibody-ep8542y-ab81299'>ab81299</a>) at 1/1000 dilution

Lane 1:

Untreated NIH/3T3 (Mouse embryonic fibroblast) whole cell lysate at 20 µg

Lane 2:

NIH/3T3 treated with 30µg/ml etoposide for 4 hours, 500ng/ml Trichostatin A(TSA) was then added for additional 4 hours whole cell lysate at 20 µg

Lane 3:

NIH/3T3 treated with 30µg/ml etoposide for 4 hours, 500ng/ml Trichostatin A(TSA) was then added for additional 4 hours whole cell lysate 20µg, then the membrane treated with Alkaline Phosphatase for 1 hour at 20 µg

Secondary

All lanes:

Western blot - Goat Anti-Rabbit IgG H&L (HRP) (<a href='/en-us/products/secondary-antibodies/goat-rabbit-igg-h-l-hrp-ab97051'>ab97051</a>) at 1/20000 dilution

Observed band size: 15 kDa

false

Exposure time: 180s

Dot Blot - Anti-gamma H2A.X (phospho S139) antibody [EP854(2)Y] - BSA and Azide free (AB215967)
  • Dot

Unknown

Dot Blot - Anti-gamma H2A.X (phospho S139) antibody [EP854(2)Y] - BSA and Azide free (AB215967)

Dot blot analysis of Histone H2A.X single phospho peptide pS139 (lane 1) and Histone H2A.X non-phospho peptide (lane 2) with ab81299 at 1/1000. Blocking and diluting buffer was 5% NFDM/TBST. The secondary antibody used was ab97051 Peroxidase conjugated Goat Anti-Rabbit IgG, (H+L) at 1/100,000.

This data was developed using the same antibody clone in a different buffer formulation containing PBS, BSA, glycerol, and sodium azide (ab81299).

  • Unconjugated

    Anti-gamma H2A.X (phospho S139) antibody [EP854(2)Y]

  • 519 Alexa Fluor® 488

    Alexa Fluor® 488 Anti-gamma H2A.X (phospho S139) antibody [EP854(2)Y]

  • 665 Alexa Fluor® 647

    Alexa Fluor® 647 Anti-gamma H2A.X (phospho S139) antibody [EP854(2)Y]

  • HRP

    HRP Anti-gamma H2A.X (phospho S139) antibody [EP854(2)Y]

  • 565 Alexa Fluor® 555

    Alexa Fluor® 555 Anti-gamma H2A.X (phospho S139) antibody [EP854(2)Y]

  • 617 Alexa Fluor® 594

    Alexa Fluor® 594 Anti-gamma H2A.X (phospho S139) antibody [EP854(2)Y]

Key facts

Host species

Rabbit

Clonality

Monoclonal

Clone number

EP854(2)Y

Isotype

IgG

Carrier free

Yes

Reacts with

Mouse, Rat, Human

Applications

IP, ICC/IF, WB, Dot, IHC-P

applications

Immunogen

The exact immunogen used to generate this antibody is proprietary information.

Reactivity data

{ "title": "Reactivity Data", "filters": { "stats": ["", "Species", "Dilution Info", "Notes"], "tabs": { "all-applications": {"fullname" : "All Applications", "shortname": "All Applications"}, "ICCIF" : {"fullname" : "Immunocytochemistry/ Immunofluorescence", "shortname":"ICC/IF"}, "IP" : {"fullname" : "Immunoprecipitation", "shortname":"IP"}, "Dot" : {"fullname" : "Dot Blot", "shortname":"Dot"}, "WB" : {"fullname" : "Western blot", "shortname":"WB"}, "IHCP" : {"fullname" : "Immunohistochemistry (Formalin/PFA-fixed paraffin-embedded sections)", "shortname":"IHC-P"} }, "product-promise": { "all": "all", "testedAndGuaranteed": "tested", "guaranteed": "expected", "predicted": "predicted", "notRecommended": "not-recommended" } }, "values": { "Human": { "ICCIF-species-checked": "testedAndGuaranteed", "ICCIF-species-dilution-info": "", "ICCIF-species-notes": "<p></p>", "IP-species-checked": "testedAndGuaranteed", "IP-species-dilution-info": "", "IP-species-notes": "<p></p>", "Dot-species-checked": "guaranteed", "Dot-species-dilution-info": "", "Dot-species-notes": "", "WB-species-checked": "testedAndGuaranteed", "WB-species-dilution-info": "", "WB-species-notes": "<p></p>", "IHCP-species-checked": "testedAndGuaranteed", "IHCP-species-dilution-info": "", "IHCP-species-notes": "<p></p>" }, "Mouse": { "ICCIF-species-checked": "guaranteed", "ICCIF-species-dilution-info": "", "ICCIF-species-notes": "", "IP-species-checked": "guaranteed", "IP-species-dilution-info": "", "IP-species-notes": "", "Dot-species-checked": "guaranteed", "Dot-species-dilution-info": "", "Dot-species-notes": "", "WB-species-checked": "testedAndGuaranteed", "WB-species-dilution-info": "", "WB-species-notes": "<p></p>", "IHCP-species-checked": "notRecommended", "IHCP-species-dilution-info": "", "IHCP-species-notes": "<p></p>" }, "Rat": { "ICCIF-species-checked": "guaranteed", "ICCIF-species-dilution-info": "", "ICCIF-species-notes": "", "IP-species-checked": "guaranteed", "IP-species-dilution-info": "", "IP-species-notes": "", "Dot-species-checked": "guaranteed", "Dot-species-dilution-info": "", "Dot-species-notes": "", "WB-species-checked": "testedAndGuaranteed", "WB-species-dilution-info": "", "WB-species-notes": "<p></p>", "IHCP-species-checked": "notRecommended", "IHCP-species-dilution-info": "", "IHCP-species-notes": "<p></p>" }, "Sheep": { "ICCIF-species-checked": "predicted", "ICCIF-species-dilution-info": "", "ICCIF-species-notes": "", "IP-species-checked": "predicted", "IP-species-dilution-info": "", "IP-species-notes": "", "Dot-species-checked": "predicted", "Dot-species-dilution-info": "", "Dot-species-notes": "", "WB-species-checked": "predicted", "WB-species-dilution-info": "", "WB-species-notes": "", "IHCP-species-checked": "notRecommended", "IHCP-species-dilution-info": "", "IHCP-species-notes": "" }, "Synthetic peptide": { "ICCIF-species-checked": "notRecommended", "ICCIF-species-dilution-info": "", "ICCIF-species-notes": "", "IP-species-checked": "notRecommended", "IP-species-dilution-info": "", "IP-species-notes": "", "Dot-species-checked": "testedAndGuaranteed", "Dot-species-dilution-info": "", "Dot-species-notes": "<p></p>", "WB-species-checked": "notRecommended", "WB-species-dilution-info": "", "WB-species-notes": "", "IHCP-species-checked": "notRecommended", "IHCP-species-dilution-info": "", "IHCP-species-notes": "" } } }

Product details

What is this antibody validated in?
Anti-gamma H2A.X (phospho S139) antibody [EP854(2)Y] - BSA and Azide free (ab215967) is a rabbit recombinant monoclonal antibody and is validated for use in Western Blot (WB), Immunoprecipitation (IP), Immunohistochemistry (IHC-P), Immunocytochemistry/immunofluorescence (ICC/IF), Dot Blot in Human, Mouse, Rat samples.

What is the molecular weight of gamma H2A.X?
Anti-gamma H2A.X (phospho S139) [EP854(2)Y] - BSA and Azide free (ab215967) specifically detects a band for gamma H2A.X (UniProt: P16104) at a molecular weight of 15kDa.

Trusted by the scientific community
Anti-gamma H2A.X (phospho S139) [EP854(2)Y] - BSA and Azide free (ab215967) was first used in a scientific publication in 2016 and has been cited over 10 times in peer-reviewed journals.

Other related products
We have a range of other formats of antibody clone [EP854(2)Y] also available for your convenience: ab81299, Alexa Fluor® 488 - ab195188, Alexa Fluor® 647 - ab195189, HRP - ab195190, Alexa Fluor® 594 - ab206898, Alexa Fluor® 555 - ab206900, Carrier free - ab215967

Patented technology
Our RabMAb® technology is a patented hybridoma-based technology for making rabbit monoclonal antibodies. For details on our patents, please refer to RabMAb® patents.

What are the advantages of a recombinant monoclonal antibody?
This product is a recombinant monoclonal antibody, which offers several advantages including:

  • - High batch-to-batch consistency and reproducibility
  • - Improved sensitivity and specificity
  • - Long-term security of supply
  • - Animal-free batch production

For more information, read more on recombinant antibodies.

Conjugation ready
Our carrier-free antibodies are typically supplied in a PBS-only formulation, purified and free of BSA, sodium azide and glycerol. This conjugation-ready format is designed for use with fluorochromes, metal isotopes, oligonucleotides, and enzymes, which makes them ideal for antibody labelling, functional and cell-based assays, flow-based assays (e.g. mass cytometry) and Multiplex Imaging applications.

Use our conjugation kits for antibody conjugates that are ready-to-use in as little as 20 minutes with 1 minute hands-on-time and 100% antibody recovery: available for fluorescent dyes, HRP, biotin and gold.

Compatibility
This product is compatible with the Maxpar® Antibody Labeling Kit from Fluidigm, without the need for antibody preparation. Maxpar® is a trademark of Fluidigm Canada Inc.

Properties and storage information

Form
Liquid
Purification technique
Affinity purification Protein A
Storage buffer
pH: 7.2 - 7.4 Constituents: PBS
Shipped at conditions
Blue Ice
Appropriate short-term storage conditions
+4°C
Appropriate long-term storage conditions
+4°C
Storage information
Do Not Freeze

Supplementary information

This supplementary information is collated from multiple sources and compiled automatically.

Gamma H2A.X also known as phospho H2A.X or γH2A.X is a phosphorylated form of the histone variant H2A.X. It has a molecular weight of about 14 kilodaltons and occurs primarily in they nucleus. When DNA double-strand breaks (DSBs) occur serine 139 in H2A.X undergoes rapid phosphorylation resulting in gamma H2A.X. This modification happens swiftly at the site of damage and gamma H2A.X spreads over a large chromatin area facilitating the recruitment of DNA repair proteins. Gamma H2A.X staining typically evaluated using gamma H2A.X immunofluorescence techniques aids in identifying the presence and extent of DNA damage.
Biological function summary

Gamma H2A.X plays a role in DNA damage response and repair. It does not operate alone; it acts as part of a complex with other repair proteins. The formation of gamma H2A.X foci at DNA damage sites creates a signal attracting repair factors that help maintain genome stability. Its interaction with MDC1 and ATM proteins exemplifies its significant role in orchestrating an effective response to DNA damage. Beyond DNA repair gamma H2A.X influences cell cycle checkpoints permitting cells to pause and repair before proceeding with division.

Pathways

Gamma H2A.X plays a pivotal role in the DNA damage response (DDR) pathway. This pathway is essential for detecting and repairing DNA lesions to uphold genomic integrity. Within the DDR pathway gamma H2A.X is closely associated with proteins such as NBS1 and BRCA1 which assist in repairing double-strand breaks. In addition gamma H2A.X is integral to the ATM-ATR signaling pathway where its activation promotes cell survival following genotoxic stress by signaling for damage repair or triggering apoptosis.

Gamma H2A.X has connections to cancer and neurodegeneration. Aberrant DNA repair pathways often indicated by persistent gamma H2A.X signals correlate with tumor formation and progression. For instance a failure to repair DNA damage effectively can lead to mutations that drive cancer development. Gamma H2A.X also links to neurodegenerative diseases where dysregulated DNA repair contributes to neuronal cell death. Proteins like p53 which regulate cell cycle and apoptosis further connect to gamma H2A.X bridging its role in disease pathogenesis.

Product protocols

For this product, it's our understanding that no specific protocols are required. You can visit:

Target data

Variant histone H2A which replaces conventional H2A in a subset of nucleosomes. Nucleosomes wrap and compact DNA into chromatin, limiting DNA accessibility to the cellular machineries which require DNA as a template. Histones thereby play a central role in transcription regulation, DNA repair, DNA replication and chromosomal stability. DNA accessibility is regulated via a complex set of post-translational modifications of histones, also called histone code, and nucleosome remodeling. Required for checkpoint-mediated arrest of cell cycle progression in response to low doses of ionizing radiation and for efficient repair of DNA double strand breaks (DSBs) specifically when modified by C-terminal phosphorylation.
See full target information H2AX phospho S139

Publications (17)

Recent publications for all applications. Explore the full list and refine your search

Nature protocols 16:3802-3835 PubMed34215862

2021

CODEX multiplexed tissue imaging with DNA-conjugated antibodies.

Applications

mIHC

Species

Human

Sarah Black,Darci Phillips,John W Hickey,Julia Kennedy-Darling,Vishal G Venkataraaman,Nikolay Samusik,Yury Goltsev,Christian M Schürch,Garry P Nolan

International journal of molecular sciences 20: PubMed31336611

2019

Smooth Muscle Phenotype in Idiopathic Pulmonary Hypertension: Hyper-Proliferative but not Cancerous.

Applications

Unspecified application

Species

Unspecified reactive species

Frédéric Perros,Pierre Sentenac,David Boulate,Grégoire Manaud,Tom Kotsimbos,Florence Lecerf,Lilia Lamrani,Elie Fadel,Olaf Mercier,Arturo Londono-Vallejo,Marc Humbert,Saadia Eddahibi

The Journal of biological chemistry 289:34378-88 PubMed25336634

2014

Selenoprotein H suppresses cellular senescence through genome maintenance and redox regulation.

Applications

Unspecified application

Species

Unspecified reactive species

Ryan T Y Wu,Lei Cao,Benjamin P C Chen,Wen-Hsing Cheng

EMBO reports 15:1163-74 PubMed25252681

2014

SET8 methyltransferase activity during the DNA double-strand break response is required for recruitment of 53BP1.

Applications

WB, ICC/IF

Species

Unspecified reactive species, Unspecified reactive species

Stanimir Dulev,Johnny Tkach,Sichun Lin,Nizar N Batada

Oncogene 34:1667-78 PubMed24769898

2014

TACC3 deregulates the DNA damage response and confers sensitivity to radiation and PARP inhibition.

Applications

Unspecified application

Species

Human

G-H Ha,J-L Kim,A Petersson,S Oh,M F Denning,T Patel,E-K Breuer

Oncology letters 7:159-163 PubMed24348841

2013

Expression of γH2AX in various gastric pathologies and its association with infection.

Applications

IHC

Species

Human

Chuan Xie,Li-Yao Xu,Zhen Yang,Xi-Mei Cao,Wei Li,Nong-Hua Lu

DNA repair 12:936-46 PubMed24041488

2013

The complexity of DNA double strand breaks is a critical factor enhancing end-resection.

Applications

ICC/IF, WB, WB, ICC/IF

Species

Mouse, Mouse, Human, Human

Hirohiko Yajima,Hiroshi Fujisawa,Nakako Izumi Nakajima,Hirokazu Hirakawa,Penelope A Jeggo,Ryuichi Okayasu,Akira Fujimori

Biochimica et biophysica acta 1833:3093-3103 PubMed23999236

2013

DNA damage response (DDR) induced by topoisomerase II poisons requires nuclear function of the small GTPase Rac.

Applications

Unspecified application

Species

Human

Friedrich Wartlick,Anita Bopp,Christian Henninger,Gerhard Fritz

PLoS genetics 9:e1003667 PubMed23935532

2013

ATM release at resected double-strand breaks provides heterochromatin reconstitution to facilitate homologous recombination.

Applications

ICC/IF

Species

Human

Verena Geuting,Christian Reul,Markus Löbrich

Archives of biochemistry and biophysics 537:5-11 PubMed23811199

2013

Differential responses of SOD1-deficient mouse embryonic fibroblasts to oxygen concentrations.

Applications

Unspecified application

Species

Mouse

Satoshi Tsunoda,Noriko Kibe,Toshihiro Kurahashi,Junichi Fujii
View all publications

Product promise

We are committed to supporting your work with high-quality reagents, and we're here for you every step of the way. In the unlikely event that one of our products does not perform as expected, you're protected by our Product Promise.
For full details, please see our Terms & Conditions

Please note: All products are 'FOR RESEARCH USE ONLY. NOT FOR USE IN DIAGNOSTIC OR THERAPEUTIC PROCEDURES'.

For licensing inquiries, please contact partnerships@abcam.com