JavaScript is disabled in your browser. Please enable JavaScript to view this website.
AB315442

Anti-gamma Synuclein/SNCG antibody [EPR26218-79]

  • 20ul selling size
  • RabMAb
  • Recombinant
  • KO Validated
  • What is this?

Be the first to review this product! Submit a review

|

(1 Publication)

Knockout Tested Rabbit Recombinant Monoclonal SYUG antibody. Suitable for WB and reacts with Human, Mouse, Rat, Transfected cell lysate - Human, Transfected cell lysate - Mouse, Recombinant fragment - Human samples. Cited in 1 publication.

View Alternative Names

BCSG1, PERSYN, PRSN, SNCG, Gamma-synuclein, Breast cancer-specific gene 1 protein, Persyn, Synoretin, SR

5 Images
Western blot - Anti-gamma Synuclein/SNCG antibody [EPR26218-79] (AB315442)
  • WB

Supplier Data

Western blot - Anti-gamma Synuclein/SNCG antibody [EPR26218-79] (AB315442)

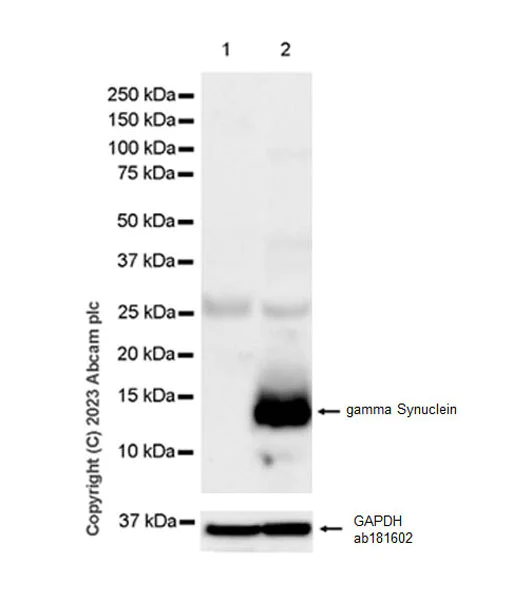
In Western blot, ab315442 was shown to bind specifically to gamma Synuclein. Target of interest was observed at 15 kDa in wild-type HeLa cell lysates (lane 1) with no signal observed at this size in gamma Synuclein knockout cell line (lane 2) (lane 2, knockout cell line ab265623 / knockout cell lysate ab257694).

Blocking and diluting buffer and concentration : 5% NFDM/TBST.

Negative control : HEK-293 (PMID : 12121974).

The identity of the higher MW bands are unknown.

In Western blot, Anti-GAPDH antibody [EPR16891] - Loading Control (ab181602) staining at 1/200000 dilution.

All lanes:

Western blot - Anti-gamma Synuclein/SNCG antibody [EPR26218-79] (ab315442) at 1/1000 dilution

Lane 1:

Wild-type HeLa (human cervix adenocarcinoma epithelial cell) whole cell lysate at 20 µg

Lane 2:

gamma Synuclein/SNCG knockout HeLa whole cell lysate at 20 µg

Lane 3:

SK-BR-3 (human breast adenocarcinoma epithelial cell) whole cell lysate at 20 µg

Lane 4:

HEK-293 (human embryonic kidney epithelial cell) whole cell lysate at 20 µg

Secondary

All lanes:

Western blot - Goat Anti-Rabbit IgG H&L (HRP) (<a href='/en-us/products/secondary-antibodies/goat-rabbit-igg-h-l-hrp-ab97051'>ab97051</a>) at 1/20000 dilution

Observed band size: 15 kDa,36 kDa

false

Exposure time: 180s

Western blot - Anti-gamma Synuclein/SNCG antibody [EPR26218-79] (AB315442)
  • WB

Supplier Data

Western blot - Anti-gamma Synuclein/SNCG antibody [EPR26218-79] (AB315442)

Negative control : liver (PMID : 16596223).

Blocking and diluting buffer and concentration : 5% NFDM/TBST.

The identity of the higher MW bands are unknown.

In Western blot, Anti-GAPDH antibody [EPR16891] - Loading Control (ab181602) staining at 1/200000 dilution.

All lanes:

Western blot - Anti-gamma Synuclein/SNCG antibody [EPR26218-79] (ab315442) at 1/1000 dilution

Lane 1:

Human liver tissue lysate at 20 µg

Lane 2:

Human hypothalamus tissue lysate at 20 µg

Secondary

All lanes:

Goat Anti-Rabbit IgG (HRP) with minimal cross-reactivity with human IgG at 1/2000 dilution

Observed band size: 15 kDa

false

Exposure time: 59s

Western blot - Anti-gamma Synuclein/SNCG antibody [EPR26218-79] (AB315442)
  • WB

Supplier Data

Western blot - Anti-gamma Synuclein/SNCG antibody [EPR26218-79] (AB315442)

Blocking and diluting buffer and concentration : 5% NFDM/TBST.

Negative control : liver (PMID : 16596223).

The identity of the higher MW bands are unknown.

In Western blot, Anti-GAPDH antibody [EPR16891] - Loading Control (ab181602) staining at 1/200000 dilution.

All lanes:

Western blot - Anti-gamma Synuclein/SNCG antibody [EPR26218-79] (ab315442) at 1/1000 dilution

Lane 1:

Mouse hypothalamus tissue lysate at 20 µg

Lane 2:

Mouse liver tissue lysate at 20 µg

Lane 3:

Rat cerebellum tissue lysate at 20 µg

Lane 4:

Rat liver tissue lysate at 20 µg

Secondary

All lanes:

Western blot - Goat Anti-Rabbit IgG H&L (HRP) (<a href='/en-us/products/secondary-antibodies/goat-rabbit-igg-h-l-hrp-ab97051'>ab97051</a>) at 1/20000 dilution

Observed band size: 17 kDa,36 kDa

false

Exposure time: 158s

Western blot - Anti-gamma Synuclein/SNCG antibody [EPR26218-79] (AB315442)
  • WB

Supplier Data

Western blot - Anti-gamma Synuclein/SNCG antibody [EPR26218-79] (AB315442)

Blocking and diluting buffer and concentration : 5% NFDM/TBST.

This antibody does not cross-react with human beta Synuclein and alpha Synuclein.

In Western blot, Anti-6X His tag® antibody [EPR20547] - ChIP Grade (ab213204) staining at 1/5000 dilution.

In Western blot, Anti-alpha + beta Synuclein antibody [EP1646Y] - (ab51252) staining at 1/1000 dilution.

All lanes:

Western blot - Anti-gamma Synuclein/SNCG antibody [EPR26218-79] (ab315442) at 1/1000 dilution

Lane 1:

His-tagged human gamma Synuclein recombinant protein at 10 ng

Lane 2:

His-tagged human beta Synuclein recombinant protein at 10 ng

Lane 3:

His-tagged human alpha Synuclein recombinant protein at 10 ng

Secondary

All lanes:

Western blot - Goat Anti-Rabbit IgG H&L (HRP) (<a href='/en-us/products/secondary-antibodies/goat-rabbit-igg-h-l-hrp-ab97051'>ab97051</a>) at 1/100000 dilution

Observed band size: 14 kDa,20 kDa,19 kDa

false

Exposure time: 59s

Western blot - Anti-gamma Synuclein/SNCG antibody [EPR26218-79] (AB315442)
  • WB

Supplier Data

Western blot - Anti-gamma Synuclein/SNCG antibody [EPR26218-79] (AB315442)

Blocking and diluting buffer and concentration : 5% NFDM/TBST.

In Western blot, Anti-GAPDH antibody [EPR16891] - Loading Control (ab181602) staining at 1/200000 dilution.

In Western blot, Anti-6X His tag® antibody [EPR20547] - ChIP Grade (ab213204) staining at 1/5000 dilution.

All lanes:

Western blot - Anti-gamma Synuclein/SNCG antibody [EPR26218-79] (ab315442) at 1/1000 dilution

Lane 1:

293T cells transfected with an empty vector containing a myc-His-tag®, whole cell lysate at 5 µg

Lane 2:

293T cells transfected with a human gamma Synuclein expression vector containing a myc-His-tag®, whole cell lysate at 5 µg

Lane 3:

293T cells transfected with a mouse gamma Synuclein expression vector containing a myc-His-tag®, whole cell lysate at 5 µg

Secondary

All lanes:

Western blot - Goat Anti-Rabbit IgG H&L (HRP) (<a href='/en-us/products/secondary-antibodies/goat-rabbit-igg-h-l-hrp-ab97051'>ab97051</a>) at 1/20000 dilution

Observed band size: 17 kDa,19 kDa,36 kDa

false

Exposure time: 6s

  • Carrier free

    Anti-gamma Synuclein/SNCG antibody [EPR26218-79] - BSA and Azide free

Key facts

Host species

Rabbit

Clonality

Monoclonal

Clone number

EPR26218-79

Isotype

IgG

Carrier free

No

Reacts with

Human, Mouse, Rat

Applications

WB

applications

Immunogen

The exact immunogen used to generate this antibody is proprietary information.

Reactivity data

{ "title": "Reactivity Data", "filters": { "stats": ["", "Species", "Dilution Info", "Notes"], "tabs": { "all-applications": {"fullname" : "All Applications", "shortname": "All Applications"}, "FlowCytIntra" : {"fullname" : "Flow Cytometry (Intracellular)", "shortname":"Flow Cyt (Intra)"}, "IHCP" : {"fullname" : "Immunohistochemistry (Formalin/PFA-fixed paraffin-embedded sections)", "shortname":"IHC-P"}, "ICCIF" : {"fullname" : "Immunocytochemistry/ Immunofluorescence", "shortname":"ICC/IF"}, "IP" : {"fullname" : "Immunoprecipitation", "shortname":"IP"}, "WB" : {"fullname" : "Western blot", "shortname":"WB"} }, "product-promise": { "all": "all", "testedAndGuaranteed": "tested", "guaranteed": "expected", "predicted": "predicted", "notRecommended": "not-recommended" } }, "values": { "Human": { "FlowCytIntra-species-checked": "notRecommended", "FlowCytIntra-species-dilution-info": "", "FlowCytIntra-species-notes": "<p></p>", "IHCP-species-checked": "notRecommended", "IHCP-species-dilution-info": "", "IHCP-species-notes": "<p></p>", "ICCIF-species-checked": "notRecommended", "ICCIF-species-dilution-info": "", "ICCIF-species-notes": "<p></p>", "IP-species-checked": "notRecommended", "IP-species-dilution-info": "", "IP-species-notes": "<p></p>", "WB-species-checked": "testedAndGuaranteed", "WB-species-dilution-info": "1/1000", "WB-species-notes": "<p></p>" }, "Mouse": { "FlowCytIntra-species-checked": "notRecommended", "FlowCytIntra-species-dilution-info": "", "FlowCytIntra-species-notes": "", "IHCP-species-checked": "notRecommended", "IHCP-species-dilution-info": "", "IHCP-species-notes": "<p></p>", "ICCIF-species-checked": "notRecommended", "ICCIF-species-dilution-info": "", "ICCIF-species-notes": "<p></p>", "IP-species-checked": "notRecommended", "IP-species-dilution-info": "", "IP-species-notes": "<p></p>", "WB-species-checked": "testedAndGuaranteed", "WB-species-dilution-info": "1/1000", "WB-species-notes": "<p></p>" }, "Rat": { "FlowCytIntra-species-checked": "notRecommended", "FlowCytIntra-species-dilution-info": "", "FlowCytIntra-species-notes": "", "IHCP-species-checked": "notRecommended", "IHCP-species-dilution-info": "", "IHCP-species-notes": "<p></p>", "ICCIF-species-checked": "notRecommended", "ICCIF-species-dilution-info": "", "ICCIF-species-notes": "", "IP-species-checked": "notRecommended", "IP-species-dilution-info": "", "IP-species-notes": "", "WB-species-checked": "testedAndGuaranteed", "WB-species-dilution-info": "1/1000", "WB-species-notes": "<p></p>" }, "Recombinant fragment - Human": { "FlowCytIntra-species-checked": "notRecommended", "FlowCytIntra-species-dilution-info": "", "FlowCytIntra-species-notes": "", "IHCP-species-checked": "notRecommended", "IHCP-species-dilution-info": "", "IHCP-species-notes": "", "ICCIF-species-checked": "notRecommended", "ICCIF-species-dilution-info": "", "ICCIF-species-notes": "", "IP-species-checked": "notRecommended", "IP-species-dilution-info": "", "IP-species-notes": "", "WB-species-checked": "testedAndGuaranteed", "WB-species-dilution-info": "1/1000", "WB-species-notes": "<p></p>" }, "Transfected cell lysate - Human": { "FlowCytIntra-species-checked": "notRecommended", "FlowCytIntra-species-dilution-info": "", "FlowCytIntra-species-notes": "", "IHCP-species-checked": "notRecommended", "IHCP-species-dilution-info": "", "IHCP-species-notes": "", "ICCIF-species-checked": "notRecommended", "ICCIF-species-dilution-info": "", "ICCIF-species-notes": "", "IP-species-checked": "notRecommended", "IP-species-dilution-info": "", "IP-species-notes": "", "WB-species-checked": "testedAndGuaranteed", "WB-species-dilution-info": "1/1000", "WB-species-notes": "<p></p>" }, "Transfected cell lysate - Mouse": { "FlowCytIntra-species-checked": "notRecommended", "FlowCytIntra-species-dilution-info": "", "FlowCytIntra-species-notes": "", "IHCP-species-checked": "notRecommended", "IHCP-species-dilution-info": "", "IHCP-species-notes": "", "ICCIF-species-checked": "notRecommended", "ICCIF-species-dilution-info": "", "ICCIF-species-notes": "", "IP-species-checked": "notRecommended", "IP-species-dilution-info": "", "IP-species-notes": "", "WB-species-checked": "testedAndGuaranteed", "WB-species-dilution-info": "1/1000", "WB-species-notes": "<p></p>" } } }

Product details

Patented technology
Our RabMAb® technology is a patented hybridoma-based technology for making rabbit monoclonal antibodies. For details on our patents, please refer to RabMAb® patents.

What are the advantages of a recombinant monoclonal antibody?
This product is a recombinant monoclonal antibody, which offers several advantages including:

  • - High batch-to-batch consistency and reproducibility
  • - Improved sensitivity and specificity
  • - Long-term security of supply
  • - Animal-free batch production

For more information, read more on recombinant antibodies.

Properties and storage information

Form
Liquid
Purification technique
Affinity purification Protein A
Storage buffer
pH: 7.2 - 7.4 Preservative: 0.01% Sodium azide Constituents: PBS, 40% Glycerol (glycerin, glycerine), 0.05% BSA
Shipped at conditions
Blue Ice
Appropriate short-term storage duration
1-2 weeks
Appropriate short-term storage conditions
+4°C
Appropriate long-term storage conditions
-20°C
Aliquoting information
Upon delivery aliquot
Storage information
Avoid freeze / thaw cycle

Supplementary information

This supplementary information is collated from multiple sources and compiled automatically.

Gamma synuclein sometimes referred to as SNCG or gamma-synuclein is a protein with a molecular weight of approximately 13 kDa. It is a member of the synuclein family which also includes alpha and beta synucleins. This protein is highly expressed in the nervous system particularly in the peripheral nervous system and certain regions of the central nervous system. Outside the nervous system gamma synuclein can be found in the retina reproductive tissues and breast tissue among others.
Biological function summary

Gamma synuclein plays a role in modulating neuronal plasticity and may participate in synaptic regulation. It is not known to be a part of a larger protein complex but it interacts with various other proteins influencing neuron differentiation. Although its precise biological functions are not fully characterized studies suggest that gamma synuclein could impact cellular processes like cytoskeletal dynamics and membrane trafficking.

Pathways

The protein gamma synuclein is involved in cellular stress response and neurodegeneration pathways. It is closely related to proteins like alpha synuclein with which it shares structural and functional features. Pathways involving these proteins can influence several processes such as axonal transport and neurotransmitter release. Dysregulation in these pathways often leads to disruptions in cellular homeostasis.

The involvement of gamma synuclein is most notably seen in breast cancer and neurodegenerative diseases such as Alzheimer's disease. Researchers have observed that this protein is overexpressed in various tumors where it might facilitate cancer progression and metastasis. In neurodegeneration interaction with alpha synuclein and tau protein could play a role in the pathogenesis where protein aggregation is a characteristic feature. Understanding its role in these diseases helps in charting possible therapeutic avenues.

Product protocols

For this product, it's our understanding that no specific protocols are required. You can visit:

Target data

Plays a role in neurofilament network integrity. May be involved in modulating axonal architecture during development and in the adult. In vitro, increases the susceptibility of neurofilament-H to calcium-dependent proteases (By similarity). May also function in modulating the keratin network in skin. Activates the MAPK and Elk-1 signal transduction pathway (By similarity).
See full target information SNCG

Publications (1)

Recent publications for all applications. Explore the full list and refine your search

Cell reports. Medicine 6:102052 PubMed40239632

2025

Catalytic neural stem cell exosomes for multi-stage targeting and synergistical therapy of retinal ischemia-reperfusion injury.

Applications

Unspecified application

Species

Unspecified reactive species

Weiqiang Yang,Xiaojun Wang,Diwei Zheng,Jing Feng,Wenjun Kong,Yue Li,Guanghui Ma,Wei Wei,Yong Tao
View all publications

Product promise

We are committed to supporting your work with high-quality reagents, and we're here for you every step of the way. In the unlikely event that one of our products does not perform as expected, you're protected by our Product Promise.
For full details, please see our Terms & Conditions

Please note: All products are 'FOR RESEARCH USE ONLY. NOT FOR USE IN DIAGNOSTIC OR THERAPEUTIC PROCEDURES'.

For licensing inquiries, please contact partnerships@abcam.com