JavaScript is disabled in your browser. Please enable JavaScript to view this website.
AB137822

Anti-gamma Tubulin antibody - Centrosome Marker

Be the first to review this product! Submit a review

|

(3 Publications)

Rabbit Polyclonal Gamma-2-tubulin antibody. Suitable for IHC-P, IP, WB, ICC/IF and reacts with Human, Mouse, Rat samples. Cited in 3 publications. Immunogen corresponding to Recombinant Fragment Protein within Human TUBG2 aa 1-200.

View Alternative Names

Tubulin gamma-2 chain, Gamma-2-tubulin, TUBG2

7 Images
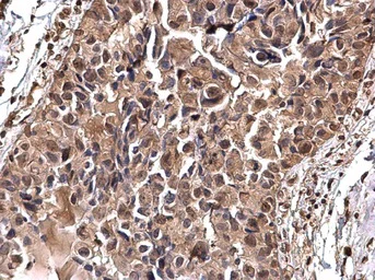
Immunohistochemistry (Formalin/PFA-fixed paraffin-embedded sections) - Anti-gamma Tubulin antibody - Centrosome Marker (AB137822)
  • IHC-P

Supplier Data

Immunohistochemistry (Formalin/PFA-fixed paraffin-embedded sections) - Anti-gamma Tubulin antibody - Centrosome Marker (AB137822)

Immunohistochemical analysis of paraffin-embedded human breast carcinoma tissue stained for gamma Tubulin protein at nucleus on human breast carcinoma with ab137822 at a 1/500 dilution.

Antigen Retrieval : (EDTA based, pH 8.0) buffer, 15min.

Immunocytochemistry/ Immunofluorescence - Anti-gamma Tubulin antibody - Centrosome Marker (AB137822)
  • ICC/IF

Unknown

Immunocytochemistry/ Immunofluorescence - Anti-gamma Tubulin antibody - Centrosome Marker (AB137822)

Immunofluorescence of paraformaldehyde-fixed 293T cells labelling gamma Tubulin using ab137822 at 1/500 dilution. Gamma Tubulin (green) and alpha Tubulin filaments labelled with gamma Tubulin (red).

Immunocytochemistry/ Immunofluorescence - Anti-gamma Tubulin antibody - Centrosome Marker (AB137822)
  • ICC/IF

Supplier Data

Immunocytochemistry/ Immunofluorescence - Anti-gamma Tubulin antibody - Centrosome Marker (AB137822)

Immunofluorescence analysis of HeLa cells fixed in ice-cold MeOH for 5 min labelling gamma Tubulin protein at centrosome using ab137822 at a 1/1000 dilution (Green). alpha Tubulin, stained by alpha Tubulin antibody at a 1/500 dilution (Red). DAPI was used for nuclear staining.

Immunoprecipitation - Anti-gamma Tubulin antibody - Centrosome Marker (AB137822)
  • IP

Supplier Data

Immunoprecipitation - Anti-gamma Tubulin antibody - Centrosome Marker (AB137822)

Immunoprecipitation of gamma Tubulin protein from Jurkat whole cell extracts using 5 µg of gamma Tubulin antibody.
Western blot analysis was performed using gamma Tubulin antibody.

All lanes:

Immunoprecipitation - Anti-gamma Tubulin antibody - Centrosome Marker (ab137822) at 5 µg

Lane 1:

Jurkat whole cell extracts (Input)

Lane 2:

Jurkat whole cell extracts with control IgG (-)

Lane 3:

Jurkat whole cell extracts (+)

Secondary

All lanes:

Anti-Rabbit IgG Antibody

Observed band size: 50 kDa

false

Western blot - Anti-gamma Tubulin antibody - Centrosome Marker (AB137822)
  • WB

Supplier Data

Western blot - Anti-gamma Tubulin antibody - Centrosome Marker (AB137822)

Samples were separated by 10% SDS-PAGE.

All lanes:

Western blot - Anti-gamma Tubulin antibody - Centrosome Marker (ab137822) at 1/1000 dilution

Lane 1:

Jurkat whole cell extracts at 30 µg

Lane 2:

Raji whole cell extracts at 30 µg

Lane 3:

NCI-H929 whole cell extracts at 30 µg

Observed band size: 50 kDa

false

Western blot - Anti-gamma Tubulin antibody - Centrosome Marker (AB137822)
  • WB

Supplier Data

Western blot - Anti-gamma Tubulin antibody - Centrosome Marker (AB137822)

Samples were separated by 10% SDS-PAGE.

All lanes:

Western blot - Anti-gamma Tubulin antibody - Centrosome Marker (ab137822) at 1/1000 dilution

Lane 1:

293T whole cell extracts at 30 µg

Lane 2:

A431 whole cell extracts at 30 µg

Lane 3:

HeLa whole cell extracts at 30 µg

Lane 4:

HepG2 whole cell extracts at 30 µg

Secondary

All lanes:

HRP-conjugated anti-rabbit IgG

Observed band size: 50 kDa

false

Western blot - Anti-gamma Tubulin antibody - Centrosome Marker (AB137822)
  • WB

Supplier Data

Western blot - Anti-gamma Tubulin antibody - Centrosome Marker (AB137822)

Samples were separated by 10% SDS-PAGE.

All lanes:

Western blot - Anti-gamma Tubulin antibody - Centrosome Marker (ab137822) at 1/1000 dilution

Lane 1:

NIH3T3 whole cell extracts at 30 µg

Lane 2:

Rat kidney tissue extracts at 30 µg

Secondary

All lanes:

HRP-conjugated anti-rabbit IgG

Observed band size: 50 kDa

false

Key facts

Host species

Rabbit

Clonality

Polyclonal

Isotype

IgG

Carrier free

No

Reacts with

Mouse, Rat, Human

Applications

ICC/IF, IHC-P, WB, IP

applications

Immunogen

Recombinant Fragment Protein within Human TUBG2 aa 1-200. The exact immunogen used to generate this antibody is proprietary information.

Q9NRH3

Reactivity data

{ "title": "Reactivity Data", "filters": { "stats": ["", "Species", "Dilution Info", "Notes"], "tabs": { "all-applications": {"fullname" : "All Applications", "shortname": "All Applications"}, "IHCP" : {"fullname" : "Immunohistochemistry (Formalin/PFA-fixed paraffin-embedded sections)", "shortname":"IHC-P"}, "IP" : {"fullname" : "Immunoprecipitation", "shortname":"IP"}, "WB" : {"fullname" : "Western blot", "shortname":"WB"}, "ICCIF" : {"fullname" : "Immunocytochemistry/ Immunofluorescence", "shortname":"ICC/IF"} }, "product-promise": { "all": "all", "testedAndGuaranteed": "tested", "guaranteed": "expected", "predicted": "predicted", "notRecommended": "not-recommended" } }, "values": { "Human": { "IHCP-species-checked": "testedAndGuaranteed", "IHCP-species-dilution-info": "1/100 - 1/1000", "IHCP-species-notes": "<p></p>", "IP-species-checked": "testedAndGuaranteed", "IP-species-dilution-info": "1/100 - 1/500", "IP-species-notes": "<p></p>", "WB-species-checked": "testedAndGuaranteed", "WB-species-dilution-info": "1/500 - 1/3000", "WB-species-notes": "<p></p>", "ICCIF-species-checked": "testedAndGuaranteed", "ICCIF-species-dilution-info": "1/100 - 1/1000", "ICCIF-species-notes": "<p>PFA or methanol fixation may provide optimal results depending on sample type.</p>" }, "Mouse": { "IHCP-species-checked": "guaranteed", "IHCP-species-dilution-info": "", "IHCP-species-notes": "", "IP-species-checked": "guaranteed", "IP-species-dilution-info": "", "IP-species-notes": "", "WB-species-checked": "testedAndGuaranteed", "WB-species-dilution-info": "1/500 - 1/3000", "WB-species-notes": "<p></p>", "ICCIF-species-checked": "testedAndGuaranteed", "ICCIF-species-dilution-info": "1/100 - 1/1000", "ICCIF-species-notes": "<p>PFA or methanol fixation may provide optimal results depending on sample type.</p>" }, "Rat": { "IHCP-species-checked": "guaranteed", "IHCP-species-dilution-info": "", "IHCP-species-notes": "", "IP-species-checked": "guaranteed", "IP-species-dilution-info": "", "IP-species-notes": "", "WB-species-checked": "testedAndGuaranteed", "WB-species-dilution-info": "1/500 - 1/3000", "WB-species-notes": "<p></p>", "ICCIF-species-checked": "guaranteed", "ICCIF-species-dilution-info": "", "ICCIF-species-notes": "" }, "Cow": { "IHCP-species-checked": "predicted", "IHCP-species-dilution-info": "", "IHCP-species-notes": "", "IP-species-checked": "predicted", "IP-species-dilution-info": "", "IP-species-notes": "", "WB-species-checked": "predicted", "WB-species-dilution-info": "", "WB-species-notes": "", "ICCIF-species-checked": "predicted", "ICCIF-species-dilution-info": "", "ICCIF-species-notes": "" }, "Dog": { "IHCP-species-checked": "predicted", "IHCP-species-dilution-info": "", "IHCP-species-notes": "", "IP-species-checked": "predicted", "IP-species-dilution-info": "", "IP-species-notes": "", "WB-species-checked": "predicted", "WB-species-dilution-info": "", "WB-species-notes": "", "ICCIF-species-checked": "predicted", "ICCIF-species-dilution-info": "", "ICCIF-species-notes": "" }, "Xenopus laevis": { "IHCP-species-checked": "predicted", "IHCP-species-dilution-info": "", "IHCP-species-notes": "", "IP-species-checked": "predicted", "IP-species-dilution-info": "", "IP-species-notes": "", "WB-species-checked": "predicted", "WB-species-dilution-info": "", "WB-species-notes": "", "ICCIF-species-checked": "predicted", "ICCIF-species-dilution-info": "", "ICCIF-species-notes": "" }, "Xenopus tropicalis": { "IHCP-species-checked": "predicted", "IHCP-species-dilution-info": "", "IHCP-species-notes": "", "IP-species-checked": "predicted", "IP-species-dilution-info": "", "IP-species-notes": "", "WB-species-checked": "predicted", "WB-species-dilution-info": "", "WB-species-notes": "", "ICCIF-species-checked": "predicted", "ICCIF-species-dilution-info": "", "ICCIF-species-notes": "" } } }

Properties and storage information

Form
Liquid
Purification technique
Affinity purification Immunogen
Storage buffer
pH: 7 Preservative: 0.025% Proclin 300 Constituents: PBS, 20% Glycerol (glycerin, glycerine)
Shipped at conditions
Blue Ice
Appropriate short-term storage conditions
+4°C
Appropriate long-term storage conditions
-20°C
Aliquoting information
Upon delivery aliquot
Storage information
Avoid freeze / thaw cycle

Supplementary information

This supplementary information is collated from multiple sources and compiled automatically.

Gamma-tubulin an important component in the microtubule nucleation process is also known as Gtub or γ-tub. It weighs approximately 48 kDa. Gamma-tubulin is a significant protein inside the centrosome where it plays a role in the formation of microtubule organizing centers. Scientists often find and express it in abundance within rapidly dividing cells both in humans and other eukaryotes. Researchers employ gamma-tubulin staining techniques to visualize its location and understand its function within the centrosome.
Biological function summary

Gamma-tubulin is part of the gamma-tubulin ring complex also known as gamma-TuRC which anchors the microtubule minus ends influencing microtubule stability and organization. This complex functions as a nucleating template for microtubules which are critical for various cell processes including intracellular transport and chromosome separation during cell division. Gamma-tubulin plays an indispensable role in maintaining the correct function of the centrosome an important cellular organelle in cell cycle progression.

Pathways

Gamma-tubulin participates in processes involving cell cycle regulation and mitotic spindle formation. These processes depend heavily on microtubule dynamics and organization. Gamma-tubulin interacts closely with proteins like centrins and pericentrin within these pathways. Such interactions ensure accurate chromosomal segregation during mitosis highlighting its importance in cellular reproduction and stability.

Abnormal gamma-tubulin expression and function relate to conditions like cancer and neurological disorders. Changes in gamma-tubulin levels can affect the centrosome's function and microtubule dynamics leading to cell cycle dysregulation and tumorigenesis. Moreover it interacts with mutated tumor suppressor proteins like p53 further contributing to cancer progression. Scientists continue to study gamma-tubulin's role in these diseases providing insights into new therapeutic targets.

Product protocols

For this product, it's our understanding that no specific protocols are required. You can visit:

Target data

Tubulin is the major constituent of microtubules. The gamma chain is found at microtubule organizing centers (MTOC) such as the spindle poles or the centrosome. Pericentriolar matrix component that regulates alpha/beta chain minus-end nucleation, centrosome duplication and spindle formation (By similarity).
See full target information TUBG2

Publications (3)

Recent publications for all applications. Explore the full list and refine your search

Communications medicine 5:129 PubMed40253509

2025

Drug and siRNA screens identify ROCK2 as a therapeutic target for ciliopathies.

Applications

Unspecified application

Species

Unspecified reactive species

Claire E L Smith,Andrew J Streets,Alice V R Lake,Subaashini Natarajan,Sunayna K Best,Katarzyna Szymanska,Magdalena Karwatka,Thomas Stevenson,Rachel Trowbridge,Gary Grant,Sushma N Grellscheid,Richard Foster,Ciaran G Morrison,Georgia Mavria,Jacquelyn Bond,Albert C M Ong,Colin A Johnson

Journal of cellular physiology 239:e31163 PubMed38009273

2023

Primary cilium participates in radiation-induced bystander effects through TGF-β1 signaling.

Applications

Unspecified application

Species

Unspecified reactive species

Pei Qu,Zhiang Shao,Yanan Zhang,Jinpeng He,Dong Lu,Wenjun Wei,Junrui Hua,Wei Wang,Jufang Wang,Nan Ding

Nutrients 15: PubMed37299513

2023

β-Hydroxy-β-methyl Butyrate Regulates the Lipid Metabolism, Mitochondrial Function, and Fat Browning of Adipocytes.

Applications

Unspecified application

Species

Unspecified reactive species

Geyan Duan,Changbing Zheng,Jiayi Yu,Peiwen Zhang,Mengliao Wan,Jie Zheng,Yehui Duan
View all publications

Product promise

We are committed to supporting your work with high-quality reagents, and we're here for you every step of the way. In the unlikely event that one of our products does not perform as expected, you're protected by our Product Promise.
For full details, please see our Terms & Conditions

Please note: All products are 'FOR RESEARCH USE ONLY. NOT FOR USE IN DIAGNOSTIC OR THERAPEUTIC PROCEDURES'.

For licensing inquiries, please contact partnerships@abcam.com