JavaScript is disabled in your browser. Please enable JavaScript to view this website.
AB250240

Anti-gamma Tubulin antibody [EPR13872] - BSA and Azide free

Be the first to review this product! Submit a review

|

(0 Publication)

Rabbit Recombinant Monoclonal Gamma-2-tubulin antibody. Carrier free. Suitable for IHC-P, WB, Flow Cyt (Intra) and reacts with Human samples.

View Alternative Names

Tubulin gamma-2 chain, Gamma-2-tubulin, TUBG2

3 Images
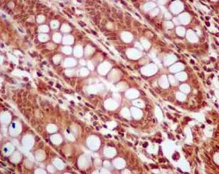
Immunohistochemistry (Formalin/PFA-fixed paraffin-embedded sections) - Anti-gamma Tubulin antibody [EPR13872] - BSA and Azide free (AB250240)
  • IHC-P

Supplier Data

Immunohistochemistry (Formalin/PFA-fixed paraffin-embedded sections) - Anti-gamma Tubulin antibody [EPR13872] - BSA and Azide free (AB250240)

This data was developed using ab180595, the same antibody clone in a different buffer formulation.

Immunohistochemical analysis of paraffin embedded Human colon tissue labeling gamma Tubulin with ab180595 at a 1/100 dilution. Prediluted ImmunoHistoprobe HRP Polymer for Rabbit IgG secondary used. Counterstained with Hematoxylin.

Perform heat mediated antigen retrieval with EDTA buffer pH 9 before commencing with IHC staining protocol.

Flow Cytometry (Intracellular) - Anti-gamma Tubulin antibody [EPR13872] - BSA and Azide free (AB250240)
  • Flow Cyt (Intra)

Supplier Data

Flow Cytometry (Intracellular) - Anti-gamma Tubulin antibody [EPR13872] - BSA and Azide free (AB250240)

This data was developed using ab180595, the same antibody clone in a different buffer formulation.

Intracellular Flow Cytometry analysis of Jurkat cells using ab180595 at a 1/140 dilution (red) or a rabbit monoclonal IgG (negative) (green). Goat anti rabbit IgG (FITC) secondary used at a 1/150 dilution.

Western blot - Anti-gamma Tubulin antibody [EPR13872] - BSA and Azide free (AB250240)
  • WB

Supplier Data

Western blot - Anti-gamma Tubulin antibody [EPR13872] - BSA and Azide free (AB250240)

This data was developed using ab180595, the same antibody clone in a different buffer formulation.

All lanes:

Western blot - Anti-gamma Tubulin antibody [EPR13872] - Centrosome Marker (<a href='/en-us/products/primary-antibodies/gamma-tubulin-antibody-epr13872-centrosome-marker-ab180595'>ab180595</a>) at 1/2000 dilution

Lane 1:

HeLa cell lysate at 20 µg

Lane 2:

Jurkat cell lysate at 20 µg

Lane 3:

A431 cell lysate at 20 µg

Lane 4:

293 cell lysate at 20 µg

Secondary

All lanes:

Goat Anti-Rabbit IgG (H+L) Peroxidase conjugated at 1/1000 dilution

Predicted band size: 51 kDa

false

  • Unconjugated

    Anti-gamma Tubulin antibody [EPR13872] - Centrosome Marker

  • Biotin

    Biotin Anti-gamma Tubulin antibody [EPR13872] - Centrosome Marker

Key facts

Host species

Rabbit

Clonality

Monoclonal

Clone number

EPR13872

Isotype

IgG

Carrier free

Yes

Reacts with

Human

Applications

IHC-P, Flow Cyt (Intra), WB

applications

Immunogen

The exact immunogen used to generate this antibody is proprietary information.

Reactivity data

{ "title": "Reactivity Data", "filters": { "stats": ["", "Species", "Dilution Info", "Notes"], "tabs": { "all-applications": {"fullname" : "All Applications", "shortname": "All Applications"}, "IHCP" : {"fullname" : "Immunohistochemistry (Formalin/PFA-fixed paraffin-embedded sections)", "shortname":"IHC-P"}, "WB" : {"fullname" : "Western blot", "shortname":"WB"}, "FlowCytIntra" : {"fullname" : "Flow Cytometry (Intracellular)", "shortname":"Flow Cyt (Intra)"} }, "product-promise": { "all": "all", "testedAndGuaranteed": "tested", "guaranteed": "expected", "predicted": "predicted", "notRecommended": "not-recommended" } }, "values": { "Human": { "IHCP-species-checked": "testedAndGuaranteed", "IHCP-species-dilution-info": "", "IHCP-species-notes": "<p>For antigen retrieval, heat up to 98 degree C, below boiling, and then let cool for 10-20 minutes.</p>", "WB-species-checked": "testedAndGuaranteed", "WB-species-dilution-info": "", "WB-species-notes": "<p></p>", "FlowCytIntra-species-checked": "testedAndGuaranteed", "FlowCytIntra-species-dilution-info": "", "FlowCytIntra-species-notes": "<p></p>" }, "Mouse": { "IHCP-species-checked": "predicted", "IHCP-species-dilution-info": "", "IHCP-species-notes": "", "WB-species-checked": "predicted", "WB-species-dilution-info": "", "WB-species-notes": "", "FlowCytIntra-species-checked": "predicted", "FlowCytIntra-species-dilution-info": "", "FlowCytIntra-species-notes": "" }, "Rat": { "IHCP-species-checked": "predicted", "IHCP-species-dilution-info": "", "IHCP-species-notes": "", "WB-species-checked": "predicted", "WB-species-dilution-info": "", "WB-species-notes": "", "FlowCytIntra-species-checked": "predicted", "FlowCytIntra-species-dilution-info": "", "FlowCytIntra-species-notes": "" }, "Cow": { "IHCP-species-checked": "predicted", "IHCP-species-dilution-info": "", "IHCP-species-notes": "", "WB-species-checked": "predicted", "WB-species-dilution-info": "", "WB-species-notes": "", "FlowCytIntra-species-checked": "predicted", "FlowCytIntra-species-dilution-info": "", "FlowCytIntra-species-notes": "" }, "Dog": { "IHCP-species-checked": "predicted", "IHCP-species-dilution-info": "", "IHCP-species-notes": "", "WB-species-checked": "predicted", "WB-species-dilution-info": "", "WB-species-notes": "", "FlowCytIntra-species-checked": "predicted", "FlowCytIntra-species-dilution-info": "", "FlowCytIntra-species-notes": "" } } }

Product details

ab250240 is the carrier-free version of ab180595.

Patented technology
Our RabMAb® technology is a patented hybridoma-based technology for making rabbit monoclonal antibodies. For details on our patents, please refer to RabMAb® patents.

What are the advantages of a recombinant monoclonal antibody?
This product is a recombinant monoclonal antibody, which offers several advantages including:

  • - High batch-to-batch consistency and reproducibility
  • - Improved sensitivity and specificity
  • - Long-term security of supply
  • - Animal-free batch production

For more information, read more on recombinant antibodies.

Conjugation ready
Our carrier-free antibodies are typically supplied in a PBS-only formulation, purified and free of BSA, sodium azide and glycerol. This conjugation-ready format is designed for use with fluorochromes, metal isotopes, oligonucleotides, and enzymes, which makes them ideal for antibody labelling, functional and cell-based assays, flow-based assays (e.g. mass cytometry) and Multiplex Imaging applications.

Use our conjugation kits for antibody conjugates that are ready-to-use in as little as 20 minutes with 1 minute hands-on-time and 100% antibody recovery: available for fluorescent dyes, HRP, biotin and gold.

Compatibility
This product is compatible with the Maxpar® Antibody Labeling Kit from Fluidigm, without the need for antibody preparation. Maxpar® is a trademark of Fluidigm Canada Inc.

Properties and storage information

Form
Liquid
Purification technique
Affinity purification Protein A
Storage buffer
pH: 7.2 - 7.4 Constituents: PBS
Shipped at conditions
Blue Ice
Appropriate short-term storage conditions
+4°C
Appropriate long-term storage conditions
+4°C
Storage information
Do Not Freeze

Supplementary information

This supplementary information is collated from multiple sources and compiled automatically.

Gamma-tubulin an important component in the microtubule nucleation process is also known as Gtub or γ-tub. It weighs approximately 48 kDa. Gamma-tubulin is a significant protein inside the centrosome where it plays a role in the formation of microtubule organizing centers. Scientists often find and express it in abundance within rapidly dividing cells both in humans and other eukaryotes. Researchers employ gamma-tubulin staining techniques to visualize its location and understand its function within the centrosome.
Biological function summary

Gamma-tubulin is part of the gamma-tubulin ring complex also known as gamma-TuRC which anchors the microtubule minus ends influencing microtubule stability and organization. This complex functions as a nucleating template for microtubules which are critical for various cell processes including intracellular transport and chromosome separation during cell division. Gamma-tubulin plays an indispensable role in maintaining the correct function of the centrosome an important cellular organelle in cell cycle progression.

Pathways

Gamma-tubulin participates in processes involving cell cycle regulation and mitotic spindle formation. These processes depend heavily on microtubule dynamics and organization. Gamma-tubulin interacts closely with proteins like centrins and pericentrin within these pathways. Such interactions ensure accurate chromosomal segregation during mitosis highlighting its importance in cellular reproduction and stability.

Abnormal gamma-tubulin expression and function relate to conditions like cancer and neurological disorders. Changes in gamma-tubulin levels can affect the centrosome's function and microtubule dynamics leading to cell cycle dysregulation and tumorigenesis. Moreover it interacts with mutated tumor suppressor proteins like p53 further contributing to cancer progression. Scientists continue to study gamma-tubulin's role in these diseases providing insights into new therapeutic targets.

Product protocols

For this product, it's our understanding that no specific protocols are required. You can visit:

Target data

Tubulin is the major constituent of microtubules. The gamma chain is found at microtubule organizing centers (MTOC) such as the spindle poles or the centrosome. Pericentriolar matrix component that regulates alpha/beta chain minus-end nucleation, centrosome duplication and spindle formation (By similarity).
See full target information TUBG2

Product promise

We are committed to supporting your work with high-quality reagents, and we're here for you every step of the way. In the unlikely event that one of our products does not perform as expected, you're protected by our Product Promise.
For full details, please see our Terms & Conditions

Please note: All products are 'FOR RESEARCH USE ONLY. NOT FOR USE IN DIAGNOSTIC OR THERAPEUTIC PROCEDURES'.

For licensing inquiries, please contact partnerships@abcam.com