JavaScript is disabled in your browser. Please enable JavaScript to view this website.
AB249921

Anti-GANAB antibody [EPR12376] - BSA and Azide free

Be the first to review this product! Submit a review

|

(1 Publication)

Rabbit Recombinant Monoclonal GANAB antibody. Carrier free. Suitable for IHC-P, ICC/IF, WB, Flow Cyt (Intra) and reacts with Human samples. Cited in 1 publication.

View Alternative Names

G2AN, KIAA0088, GANAB, Neutral alpha-glucosidase AB, Alpha-glucosidase 2, Glucosidase II subunit alpha

6 Images
Immunocytochemistry/ Immunofluorescence - Anti-GANAB antibody [EPR12376] - BSA and Azide free (AB249921)
  • ICC/IF

Supplier Data

Immunocytochemistry/ Immunofluorescence - Anti-GANAB antibody [EPR12376] - BSA and Azide free (AB249921)

This data was developed using ab176349, the same antibody clone in a different buffer formulation.

Immunofluorescent staining of HeLa cells labeling GANAB with ab176349 at 1/50 dilution (red). DAPI nuclear staining (blue).

Immunohistochemistry (Formalin/PFA-fixed paraffin-embedded sections) - Anti-GANAB antibody [EPR12376] - BSA and Azide free (AB249921)
  • IHC-P

Supplier Data

Immunohistochemistry (Formalin/PFA-fixed paraffin-embedded sections) - Anti-GANAB antibody [EPR12376] - BSA and Azide free (AB249921)

This data was developed using ab176349, the same antibody clone in a different buffer formulation.

Immunohistochemical analysis of paraffin-embedded Humangastric carcinoma tissue labeling GANAB with ab176349 at 1/50 dilution.

Perform heat mediated antigen retrieval with citrate buffer pH 6 before commencing with IHC staining protocol.

Flow Cytometry (Intracellular) - Anti-GANAB antibody [EPR12376] - BSA and Azide free (AB249921)
  • Flow Cyt (Intra)

Supplier Data

Flow Cytometry (Intracellular) - Anti-GANAB antibody [EPR12376] - BSA and Azide free (AB249921)

This data was developed using ab176349, the same antibody clone in a different buffer formulation.

Intracellular flow cytometric analysis of permeabilized Hela cells labeling GANAB with ab176349 at 1/10 dilution (red) or a rabbit IgG (negative) (green).

Western blot - Anti-GANAB antibody [EPR12376] - BSA and Azide free (AB249921)
  • WB

Supplier Data

Western blot - Anti-GANAB antibody [EPR12376] - BSA and Azide free (AB249921)

This data was developed using ab176349, the same antibody clone in a different buffer formulation.

All lanes:

Western blot - Anti-GANAB antibody [EPR12376] (<a href='/en-us/products/primary-antibodies/ganab-antibody-epr12376-ab176349'>ab176349</a>) at 1/1000 dilution

Lane 1:

HeLa cell lysate at 10 µg

Lane 2:

Human placenta lysate at 10 µg

Lane 3:

A431 cell lysate at 10 µg

Lane 4:

HepG2 cell lysate at 10 µg

Predicted band size: 107 kDa

false

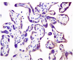
Immunohistochemistry (Formalin/PFA-fixed paraffin-embedded sections) - Anti-GANAB antibody [EPR12376] - BSA and Azide free (AB249921)
  • IHC-P

Supplier Data

Immunohistochemistry (Formalin/PFA-fixed paraffin-embedded sections) - Anti-GANAB antibody [EPR12376] - BSA and Azide free (AB249921)

This data was developed using ab176349, the same antibody clone in a different buffer formulation.

Immunohistochemical analysis of paraffin-embedded Human placenta tissue labeling GANAB with ab176349 at 1/50 dilution.

Perform heat mediated antigen retrieval with citrate buffer pH 6 before commencing with IHC staining protocol.

Western blot - Anti-GANAB antibody [EPR12376] - BSA and Azide free (AB249921)
  • WB

Lab

Western blot - Anti-GANAB antibody [EPR12376] - BSA and Azide free (AB249921)

This data was developed using ab176349, the same antibody clone in a different buffer formulation.

Lane 1 : Wild-type HAP1 cell lysate (20 Âμg)

Lane 2 : GANAB knockout HAP1 cell lysate (20 Âμg)

Lane 3 : HeLa cell lysate (20 Âμg)

Lane 4 : A431 cell lysate (20 Âμg)

Lanes 1 - 4 : Merged signal (red and green). Green - ab176349 observed at 105 kDa. Red - loading control, ab8245, observed at 37 kDa.

ab176349 was shown to specifically react with GANAB when GANAB knockout samples were used. Wild-type and GANAB knockout samples were subjected to SDS-PAGE. ab176349 and ab8245 (loading control to GAPDH) were diluted 1/1000 and 1/10000 respectively and incubated overnight at 4°C. Blots were developed with Goat anti-Rabbit IgG H&L (IRDye® 800CW) preadsorbed ab216773 and Goat anti-Mouse IgG H&L (IRDye® 680RD) preadsorbed ab216776 secondary antibodies at 1/10000 dilution for 1 hour at room temperature before imaging.

All lanes:

Western blot - Anti-GANAB antibody [EPR12376] (<a href='/en-us/products/primary-antibodies/ganab-antibody-epr12376-ab176349'>ab176349</a>)

Predicted band size: 107 kDa

Observed band size: 105 kDa

false

Key facts

Host species

Rabbit

Clonality

Monoclonal

Clone number

EPR12376

Isotype

IgG

Carrier free

Yes

Reacts with

Human

Applications

WB, Flow Cyt (Intra), ICC/IF, IHC-P

applications

Immunogen

The exact immunogen used to generate this antibody is proprietary information.

Reactivity data

{ "title": "Reactivity Data", "filters": { "stats": ["", "Species", "Dilution Info", "Notes"], "tabs": { "all-applications": {"fullname" : "All Applications", "shortname": "All Applications"}, "IHCP" : {"fullname" : "Immunohistochemistry (Formalin/PFA-fixed paraffin-embedded sections)", "shortname":"IHC-P"}, "ICCIF" : {"fullname" : "Immunocytochemistry/ Immunofluorescence", "shortname":"ICC/IF"}, "IP" : {"fullname" : "Immunoprecipitation", "shortname":"IP"}, "WB" : {"fullname" : "Western blot", "shortname":"WB"}, "FlowCytIntra" : {"fullname" : "Flow Cytometry (Intracellular)", "shortname":"Flow Cyt (Intra)"} }, "product-promise": { "all": "all", "testedAndGuaranteed": "tested", "guaranteed": "expected", "predicted": "predicted", "notRecommended": "not-recommended" } }, "values": { "Human": { "IHCP-species-checked": "testedAndGuaranteed", "IHCP-species-dilution-info": "", "IHCP-species-notes": "<p></p> Perform heat-mediated antigen retrieval with citrate buffer pH 6 before commencing with IHC staining protocol.", "ICCIF-species-checked": "testedAndGuaranteed", "ICCIF-species-dilution-info": "", "ICCIF-species-notes": "<p></p>", "IP-species-checked": "notRecommended", "IP-species-dilution-info": "", "IP-species-notes": "<p></p>", "WB-species-checked": "testedAndGuaranteed", "WB-species-dilution-info": "", "WB-species-notes": "<p></p>", "FlowCytIntra-species-checked": "testedAndGuaranteed", "FlowCytIntra-species-dilution-info": "", "FlowCytIntra-species-notes": "<p></p>" } } }

Product details

ab249921 is the carrier-free version of ab176349.

Species reactivity
Mouse, Rat: We have preliminary internal testing data to indicate this antibody may not react with these species.
Please contact us for more information.

Patented technology
Our RabMAb® technology is a patented hybridoma-based technology for making rabbit monoclonal antibodies. For details on our patents, please refer to RabMAb® patents.

What are the advantages of a recombinant monoclonal antibody?
This product is a recombinant monoclonal antibody, which offers several advantages including:

  • - High batch-to-batch consistency and reproducibility
  • - Improved sensitivity and specificity
  • - Long-term security of supply
  • - Animal-free batch production

For more information, read more on recombinant antibodies.

Conjugation ready
Our carrier-free antibodies are typically supplied in a PBS-only formulation, purified and free of BSA, sodium azide and glycerol. This conjugation-ready format is designed for use with fluorochromes, metal isotopes, oligonucleotides, and enzymes, which makes them ideal for antibody labelling, functional and cell-based assays, flow-based assays (e.g. mass cytometry) and Multiplex Imaging applications.

Use our conjugation kits for antibody conjugates that are ready-to-use in as little as 20 minutes with 1 minute hands-on-time and 100% antibody recovery: available for fluorescent dyes, HRP, biotin and gold.

Compatibility
This product is compatible with the Maxpar® Antibody Labeling Kit from Fluidigm, without the need for antibody preparation. Maxpar® is a trademark of Fluidigm Canada Inc.

Properties and storage information

Form
Liquid
Purification technique
Affinity purification
Storage buffer
pH: 7.2 - 7.4 Constituents: PBS
Shipped at conditions
Blue Ice
Appropriate short-term storage conditions
+4°C
Appropriate long-term storage conditions
+4°C
Storage information
Do Not Freeze

Supplementary information

This supplementary information is collated from multiple sources and compiled automatically.

GANAB also known as Glucosidase II alpha subunit or neutral alpha-glucosidase AB is an enzyme with an approximate mass of 110 kDa. It functions as part of the endoplasmic reticulum's quality control system modifying N-linked glycans on newly synthesized glycoproteins. GANAB cleaves glucose residues facilitating proper folding and maturation of glycoproteins. Expression of GANAB occurs mainly in the endoplasmic reticulum of various cell types indicating its broad relevance in cellular protein processing.
Biological function summary

GANAB performs a critical role in the maintenance of glycoprotein quality. It acts as part of the Glucosidase II complex working alongside a beta subunit to continue glycoprotein processing. Through the removal of glucose from N-glycans GANAB aids in the correct protein folding and prevents accumulation of misfolded proteins. This function is essential for the normal function of the endoplasmic reticulum-associated degradation (ERAD) pathway.

Pathways

Proper glycoprotein folding through GANAB activity integrates into the broader ERAD pathway and the unfolded protein response. GANAB's role complements the activities of other glycosylation-related proteins such as calnexin and calreticulin ensuring only correctly folded proteins advance through the secretory pathway. This integrated network maintains cellular homeostasis and prevents stress conditions in the endoplasmic reticulum.

GANAB's dysfunction associates with autosomal dominant polycystic liver disease and familial hyperinsulinism. These connections emphasize the importance of proper glycoprotein modification managed by GANAB. In these conditions alterations in GANAB or its interacting proteins can lead to aberrant cellular functions and consequent pathologies highlighting potential therapeutic targets in GANAB-associated pathways for disease management.

Product protocols

For this product, it's our understanding that no specific protocols are required. You can visit:

Target data

Catalytic subunit of glucosidase II that cleaves sequentially the 2 innermost alpha-1,3-linked glucose residues from the Glc(2)Man(9)GlcNAc(2) oligosaccharide precursor of immature glycoproteins (PubMed : 10929008). Required for PKD1/Polycystin-1 and PKD2/Polycystin-2 maturation and localization to the cell surface and cilia (PubMed : 27259053).
See full target information GANAB

Publications (1)

Recent publications for all applications. Explore the full list and refine your search

Frontiers in cell and developmental biology 9:775642 PubMed35004677

2021

HIF-1α Induces HECTD2 Up-Regulation and Aggravates the Malignant Progression of Renal Cell Cancer Repressing miR-320a.

Applications

Unspecified application

Species

Unspecified reactive species

Dong Lv,Taimin Shen,Juncheng Yao,Qi Yang,Ying Xiang,Zhiwei Ma
View all publications

Product promise

We are committed to supporting your work with high-quality reagents, and we're here for you every step of the way. In the unlikely event that one of our products does not perform as expected, you're protected by our Product Promise.
For full details, please see our Terms & Conditions

Please note: All products are 'FOR RESEARCH USE ONLY. NOT FOR USE IN DIAGNOSTIC OR THERAPEUTIC PROCEDURES'.

For licensing inquiries, please contact partnerships@abcam.com