JavaScript is disabled in your browser. Please enable JavaScript to view this website.
AB226408

Anti-GAPDH antibody [12G11] - Loading Control

0

(1 Review)

|

(5 Publications)

Mouse Monoclonal GAPDH antibody. Suitable for WB, IHC-P, ICC/IF and reacts with Mouse, Human samples. Cited in 5 publications. Immunogen corresponding to Synthetic Peptide within Human GAPDH aa 150-200.

View Alternative Names

GAPD, CDABP0047, OK/SW-cl.12, GAPDH, Glyceraldehyde-3-phosphate dehydrogenase, Peptidyl-cysteine S-nitrosylase GAPDH

6 Images
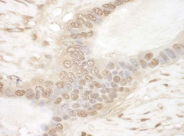
Immunohistochemistry (Formalin/PFA-fixed paraffin-embedded sections) - Anti-GAPDH antibody [12G11] - Loading Control (AB226408)
  • IHC-P

Supplier Data

Immunohistochemistry (Formalin/PFA-fixed paraffin-embedded sections) - Anti-GAPDH antibody [12G11] - Loading Control (AB226408)

Formalin-fixed, paraffin-embedded human ovarian carcinoma tissue stained for GAPDH using ab226408 at 1/20 dilution in immunohistochemical analysis. Detection : DAB staining.

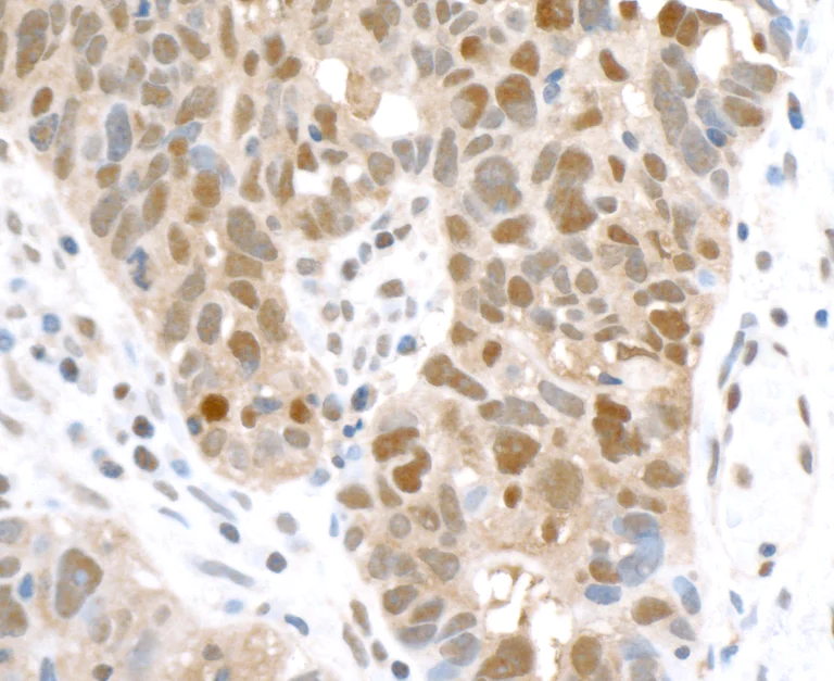
Immunohistochemistry (Formalin/PFA-fixed paraffin-embedded sections) - Anti-GAPDH antibody [12G11] - Loading Control (AB226408)
  • IHC-P

Supplier Data

Immunohistochemistry (Formalin/PFA-fixed paraffin-embedded sections) - Anti-GAPDH antibody [12G11] - Loading Control (AB226408)

Immunohistochemical analysis of Formalin-Fixed Paraffin-Embedded ovarian carcinoma labeling human GAPDH with ab226408, followed by a HRP-conjugated goat anti-rabbit IgG as secondary. Substrate : DAB. Nuclear and cytoplasmic staining on ovarian carcinoma is observed. Counter stained with hematoxylin. Epitope retrieval with citrate buffer pH 6.0 for 20 minutes is recommended.

Immunocytochemistry - Anti-GAPDH antibody [12G11] - Loading Control (AB226408)
  • ICC

Supplier Data

Immunocytochemistry - Anti-GAPDH antibody [12G11] - Loading Control (AB226408)

Immunocytochemical analysis of Formalin-Fixed Paraffin-Embedded HEK293Tcells labeling human GAPDH with ab226408 followed by a HRP-conjugated goat anti-rabbit IgG as secondary. Substrate : DAB. Nuclear and cytoplasmic staining on OVCAR-3 cells is observed. Counter stained with hematoxylin. Epitope retrieval with citrate buffer pH 6.0 for 20 minutes is recommended.

Western blot - Anti-GAPDH antibody [12G11] - Loading Control (AB226408)
  • WB

Supplier Data

Western blot - Anti-GAPDH antibody [12G11] - Loading Control (AB226408)

Cell lysates were prepared using NETN lysis buffer.

All lanes:

Western blot - Anti-GAPDH antibody [12G11] - Loading Control (ab226408) at 1/1000 dilution

Lane 1:

HeLa (human epithelial cell line from cervix adenocarcinoma) whole cell lysate at 50 µg

Lane 2:

HEK-293T (human epithelial cell line from embryonic kidney transformed with large T antigen) whole cell lysate at 50 µg

Lane 3:

Jurkat (human T cell leukemia cell line from peripheral blood) whole cell lysate at 50 µg

Lane 4:

TCMK-1 (mouse kidney epithelial cell line) whole cell lysate at 50 µg

Lane 5:

NIH/3T3 (mouse embryo fibroblast cell line) whole cell lysate at 50 µg

Predicted band size: 36 kDa

true

Exposure time: 3min

Western blot - Anti-GAPDH antibody [12G11] - Loading Control (AB226408)
  • WB

Supplier Data

Western blot - Anti-GAPDH antibody [12G11] - Loading Control (AB226408)

All lanes:

Western blot - Anti-GAPDH antibody [12G11] - Loading Control (ab226408) at 1/1000 dilution

Lane 1:

HeLa whole cell lysate at 50 µg

Lane 2:

Jurkat whole cell lysate at 50 µg

Lane 3:

RKO whole cell lysate at 50 µg

Lane 4:

U2OS whole cell lysate at 50 µg

Lane 5:

GaMG whole cell lysate at 50 µg

Lane 6:

LNCaP whole cell lysate at 50 µg

Lane 7:

MCF-7 whole cell lysate at 50 µg

Lane 8:

K-562 whole cell lysate at 50 µg

Lane 9:

HEK293T whole cell lysate at 50 µg

Lane 10:

Hep-G2 whole cell lysate at 50 µg

Secondary

All lanes:

Western blot - Goat Anti-Rabbit IgG H&L (HRP) (<a href='/en-us/products/secondary-antibodies/goat-rabbit-igg-h-l-hrp-ab97051'>ab97051</a>)

Predicted band size: 36 kDa

Observed band size: 36 kDa

true

Exposure time: 1s

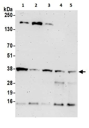
Western blot - Anti-GAPDH antibody [12G11] - Loading Control (AB226408)
  • WB

Supplier Data

Western blot - Anti-GAPDH antibody [12G11] - Loading Control (AB226408)

All lanes:

Western blot - Anti-GAPDH antibody [12G11] - Loading Control (ab226408) at 1/1000 dilution

Lane 1:

EL4 whole cell lysate at 15 µg

Lane 2:

mIMCD-3 whole cell lysate at 15 µg

Lane 3:

RenCa whole cell lysate at 15 µg

Lane 4:

NIH 3T3 whole cell lysate at 15 µg

Lane 5:

TCMK-1 whole cell lysate at 15 µg

Lane 6:

C2C12 whole cell lysate at 15 µg

Lane 7:

A20 whole cell lysate at 15 µg

Lane 8:

Ba/F3 whole cell lysate at 15 µg

Secondary

All lanes:

Western blot - Goat Anti-Rabbit IgG H&L (HRP) (<a href='/en-us/products/secondary-antibodies/goat-rabbit-igg-h-l-hrp-ab97051'>ab97051</a>)

Predicted band size: 35 kDa

Observed band size: 37 kDa

true

Exposure time: 10s

Key facts

Host species

Mouse

Clonality

Monoclonal

Clone number

12G11

Isotype

IgG1

Carrier free

No

Reacts with

Mouse, Human

Applications

IHC-P, WB, ICC/IF

applications

Immunogen

Synthetic Peptide within Human GAPDH aa 150-200. The exact immunogen used to generate this antibody is proprietary information.

P04406

Reactivity data

{ "title": "Reactivity Data", "filters": { "stats": ["", "Species", "Dilution Info", "Notes"], "tabs": { "all-applications": {"fullname" : "All Applications", "shortname": "All Applications"}, "WB" : {"fullname" : "Western blot", "shortname":"WB"}, "IHCP" : {"fullname" : "Immunohistochemistry (Formalin/PFA-fixed paraffin-embedded sections)", "shortname":"IHC-P"}, "ICCIF" : {"fullname" : "Immunocytochemistry/ Immunofluorescence", "shortname":"ICC/IF"} }, "product-promise": { "all": "all", "testedAndGuaranteed": "tested", "guaranteed": "expected", "predicted": "predicted", "notRecommended": "not-recommended" } }, "values": { "Human": { "WB-species-checked": "testedAndGuaranteed", "WB-species-dilution-info": "1/1000", "WB-species-notes": "<p></p>", "IHCP-species-checked": "testedAndGuaranteed", "IHCP-species-dilution-info": "1/20 - 1/50", "IHCP-species-notes": "<p></p>", "ICCIF-species-checked": "testedAndGuaranteed", "ICCIF-species-dilution-info": "1/100 - 1/500", "ICCIF-species-notes": "<p></p>" }, "Mouse": { "WB-species-checked": "testedAndGuaranteed", "WB-species-dilution-info": "1/1000", "WB-species-notes": "<p></p>", "IHCP-species-checked": "guaranteed", "IHCP-species-dilution-info": "", "IHCP-species-notes": "", "ICCIF-species-checked": "guaranteed", "ICCIF-species-dilution-info": "", "ICCIF-species-notes": "" }, "Rat": { "WB-species-checked": "predicted", "WB-species-dilution-info": "", "WB-species-notes": "", "IHCP-species-checked": "predicted", "IHCP-species-dilution-info": "", "IHCP-species-notes": "", "ICCIF-species-checked": "predicted", "ICCIF-species-dilution-info": "", "ICCIF-species-notes": "" }, "Carp": { "WB-species-checked": "predicted", "WB-species-dilution-info": "", "WB-species-notes": "", "IHCP-species-checked": "predicted", "IHCP-species-dilution-info": "", "IHCP-species-notes": "", "ICCIF-species-checked": "predicted", "ICCIF-species-dilution-info": "", "ICCIF-species-notes": "" }, "Chicken": { "WB-species-checked": "predicted", "WB-species-dilution-info": "", "WB-species-notes": "", "IHCP-species-checked": "predicted", "IHCP-species-dilution-info": "", "IHCP-species-notes": "", "ICCIF-species-checked": "predicted", "ICCIF-species-dilution-info": "", "ICCIF-species-notes": "" }, "Cow": { "WB-species-checked": "predicted", "WB-species-dilution-info": "", "WB-species-notes": "", "IHCP-species-checked": "predicted", "IHCP-species-dilution-info": "", "IHCP-species-notes": "", "ICCIF-species-checked": "predicted", "ICCIF-species-dilution-info": "", "ICCIF-species-notes": "" }, "Guinea pig": { "WB-species-checked": "predicted", "WB-species-dilution-info": "", "WB-species-notes": "", "IHCP-species-checked": "predicted", "IHCP-species-dilution-info": "", "IHCP-species-notes": "", "ICCIF-species-checked": "predicted", "ICCIF-species-dilution-info": "", "ICCIF-species-notes": "" }, "Nile tilapia": { "WB-species-checked": "predicted", "WB-species-dilution-info": "", "WB-species-notes": "", "IHCP-species-checked": "predicted", "IHCP-species-dilution-info": "", "IHCP-species-notes": "", "ICCIF-species-checked": "predicted", "ICCIF-species-dilution-info": "", "ICCIF-species-notes": "" }, "Orangutan": { "WB-species-checked": "predicted", "WB-species-dilution-info": "", "WB-species-notes": "", "IHCP-species-checked": "predicted", "IHCP-species-dilution-info": "", "IHCP-species-notes": "", "ICCIF-species-checked": "predicted", "ICCIF-species-dilution-info": "", "ICCIF-species-notes": "" }, "Pig": { "WB-species-checked": "predicted", "WB-species-dilution-info": "", "WB-species-notes": "", "IHCP-species-checked": "predicted", "IHCP-species-dilution-info": "", "IHCP-species-notes": "", "ICCIF-species-checked": "predicted", "ICCIF-species-dilution-info": "", "ICCIF-species-notes": "" }, "Rabbit": { "WB-species-checked": "predicted", "WB-species-dilution-info": "", "WB-species-notes": "", "IHCP-species-checked": "predicted", "IHCP-species-dilution-info": "", "IHCP-species-notes": "", "ICCIF-species-checked": "predicted", "ICCIF-species-dilution-info": "", "ICCIF-species-notes": "" }, "Sheep": { "WB-species-checked": "predicted", "WB-species-dilution-info": "", "WB-species-notes": "", "IHCP-species-checked": "predicted", "IHCP-species-dilution-info": "", "IHCP-species-notes": "", "ICCIF-species-checked": "predicted", "ICCIF-species-dilution-info": "", "ICCIF-species-notes": "" }, "Turkey": { "WB-species-checked": "predicted", "WB-species-dilution-info": "", "WB-species-notes": "", "IHCP-species-checked": "predicted", "IHCP-species-dilution-info": "", "IHCP-species-notes": "", "ICCIF-species-checked": "predicted", "ICCIF-species-dilution-info": "", "ICCIF-species-notes": "" }, "Zebrafish": { "WB-species-checked": "predicted", "WB-species-dilution-info": "", "WB-species-notes": "", "IHCP-species-checked": "predicted", "IHCP-species-dilution-info": "", "IHCP-species-notes": "", "ICCIF-species-checked": "predicted", "ICCIF-species-dilution-info": "", "ICCIF-species-notes": "" } } }

Properties and storage information

Form
Liquid
Purification technique
Affinity purification Immunogen
Purification notes
ab226408 was affinity purified using an epitope specific to GAPDH immobilized on solid support.Purified from TCS.
Storage buffer
pH: 6.8 - 7.4 Preservative: 0.09% Sodium azide Constituents: Tris buffered saline, 0.1% BSA
Shipped at conditions
Blue Ice
Appropriate short-term storage duration
1-2 weeks
Appropriate short-term storage conditions
+4°C
Appropriate long-term storage conditions
+4°C
Aliquoting information
Upon delivery aliquot
Storage information
Avoid freeze / thaw cycle

Supplementary information

This supplementary information is collated from multiple sources and compiled automatically.

Glyceraldehyde-3-phosphate dehydrogenase commonly known as GAPDH is an enzyme involved in glycolysis. Its molecular weight (MW) is approximately 36 kDa. The protein is expressed ubiquitously in almost all tissues reflecting its essential role in energy production. GAPDH catalyzes the sixth step of glycolysis converting glyceraldehyde-3-phosphate into 13-bisphosphoglycerate. Due to its stable expression researchers often use GAPDH as a loading control in western blot experiments.
Biological function summary

GAPDH serves important metabolic functions beyond its enzymatic role in glycolysis. It functions as part of a multi-enzyme complex within the cytoplasm which facilitates efficient substrate channeling during glycolysis. Additionally GAPDH has non-glycolytic roles including involvement in nuclear processes like RNA export and DNA repair. Its ubiquitous presence across different cellular compartments indicates its multiple functions beyond metabolic pathways.

Pathways

GAPDH integrates into significant cellular functions like the glycolytic pathway and apoptotic pathways. In glycolysis GAPDH collaborates with enzymes like phosphoglycerate kinase forming a cohesive link in the energy conversion chain. Its participation in apoptotic pathways highlights GAPDH's involvement in cellular death processes interacting with proteins like Bcl-2 to influence apoptosis progression. These roles reinforce its presence in central metabolic and regulatory pathways.

GAPDH has associations with neurodegenerative diseases and cancer. In neurodegenerative disorders such as Alzheimer's disease GAPDH’s altered enzymatic activity is frequently observed influencing cellular energy homeostasis. Moreover overexpression or aberrant regulation of GAPDH relates to cancer cell proliferation and metastasis implicating proteins like p53 in these pathways. The diverse functions and interactions of GAPDH emphasize its importance in both normal cellular function and disease states.

Product protocols

For this product, it's our understanding that no specific protocols are required. You can visit:

Target data

Has both glyceraldehyde-3-phosphate dehydrogenase and nitrosylase activities, thereby playing a role in glycolysis and nuclear functions, respectively (PubMed : 11724794, PubMed : 3170585). Glyceraldehyde-3-phosphate dehydrogenase is a key enzyme in glycolysis that catalyzes the first step of the pathway by converting D-glyceraldehyde 3-phosphate (G3P) into 3-phospho-D-glyceroyl phosphate (PubMed : 11724794, PubMed : 3170585). Modulates the organization and assembly of the cytoskeleton (By similarity). Facilitates the CHP1-dependent microtubule and membrane associations through its ability to stimulate the binding of CHP1 to microtubules (By similarity). Component of the GAIT (gamma interferon-activated inhibitor of translation) complex which mediates interferon-gamma-induced transcript-selective translation inhibition in inflammation processes (PubMed : 23071094). Upon interferon-gamma treatment assembles into the GAIT complex which binds to stem loop-containing GAIT elements in the 3'-UTR of diverse inflammatory mRNAs (such as ceruplasmin) and suppresses their translation (PubMed : 23071094). Also plays a role in innate immunity by promoting TNF-induced NF-kappa-B activation and type I interferon production, via interaction with TRAF2 and TRAF3, respectively (PubMed : 23332158, PubMed : 27387501). Participates in nuclear events including transcription, RNA transport, DNA replication and apoptosis (By similarity). Nuclear functions are probably due to the nitrosylase activity that mediates cysteine S-nitrosylation of nuclear target proteins such as SIRT1, HDAC2 and PRKDC (By similarity).
See full target information GAPDH

Publications (5)

Recent publications for all applications. Explore the full list and refine your search

Biomolecules & biomedicine 24:505-519 PubMed37902450

2024

Silencing METTL14 alleviates liver injury in non-alcoholic fatty liver disease by regulating mitochondrial homeostasis.

Applications

Unspecified application

Species

Unspecified reactive species

Wei Wang,Jun Yan,Long Han,Zi-Lin Zou,Ai-Lei Xu

Acta biochimica et biophysica Sinica 54:1528-1539 PubMed36239352

2022

knockdown in hippocampal neurons improves memory performance of an Alzheimer's disease mouse model.

Applications

Unspecified application

Species

Unspecified reactive species

Hongyan Cai,Jing Qiao,Siru Chen,Junting Yang,Christian Hölscher,Zhaojun Wang,Jinshun Qi,Meina Wu

Biomedical engineering online 19:8 PubMed32024525

2020

Effects of dynamic radial tensile stress on fibrocartilage differentiation of bone marrow mesenchymal stem cells.

Applications

Unspecified application

Species

Unspecified reactive species

Xuelian Su,Jizeng Wang,Hong Kang,Guangjie Bao,Lin Liu

Frontiers in neurology 10:32 PubMed30778327

2019

Long Noncoding RNA-H19 Contributes to Atherosclerosis and Induces Ischemic Stroke via the Upregulation of Acid Phosphatase 5.

Applications

Unspecified application

Species

Unspecified reactive species

Yujing Huang,Liping Wang,Ying Mao,Guangxian Nan

Oncology letters 16:5946-5952 PubMed30344744

2018

MicroRNA-206 suppresses proliferation and predicts poor prognosis of HR-HPV-positive cervical cancer cells by targeting G6PD.

Applications

Unspecified application

Species

Unspecified reactive species

Jinpeng Cui,Yinghua Pan,Jianhua Wang,Yan Liu,Hongyan Wang,Hongyan Li
View all publications

Product promise

We are committed to supporting your work with high-quality reagents, and we're here for you every step of the way. In the unlikely event that one of our products does not perform as expected, you're protected by our Product Promise.
For full details, please see our Terms & Conditions

Please note: All products are 'FOR RESEARCH USE ONLY. NOT FOR USE IN DIAGNOSTIC OR THERAPEUTIC PROCEDURES'.

For licensing inquiries, please contact partnerships@abcam.com