JavaScript is disabled in your browser. Please enable JavaScript to view this website.
AB199553

Anti-GAPDH antibody [EPR16891] - BSA and Azide free

5

(1 Review)

|

(7 Publications)

Rabbit Recombinant Monoclonal GAPDH antibody. Carrier free. Suitable for Flow Cyt (Intra), ICC/IF, IP, WB, IHC-P and reacts with Human, Mouse, Rat, African green monkey, Chicken, Xenopus tropicalis, Zebrafish samples. Cited in 7 publications.

View Alternative Names

GAPD, CDABP0047, OK/SW-cl.12, GAPDH, Glyceraldehyde-3-phosphate dehydrogenase, Peptidyl-cysteine S-nitrosylase GAPDH

11 Images
Immunocytochemistry/ Immunofluorescence - Anti-GAPDH antibody [EPR16891] - BSA and Azide free (AB199553)
  • ICC/IF

Unknown

Immunocytochemistry/ Immunofluorescence - Anti-GAPDH antibody [EPR16891] - BSA and Azide free (AB199553)

Clone EPR16891 (ab199553) has been successfully conjugated by Abcam. This image was generated using Anti-GAPDH antibody [EPR16891] (Alexa Fluor® 488). Please refer to ab201768 for protocol details.

ab201768 staining GAPDH in HeLa cells. The cells were fixed with 100% methanol (5min), permeabilized with 0.1% Triton X-100 for 5 minutes and then blocked with 1% BSA/10% normal goat serum/0.3M glycine in 0.1% PBS-Tween for 1h. The cells were then incubated overnight at +4°C with ab201768 at 1/200 dilution (shown in green) and ab195889, Mouse monoclonal to alpha Tubulin (Alexa Fluor® 594), at 2µg/ml (shown in red). Nuclear DNA was labelled with DAPI (shown in blue).

Image was taken with a confocal microscope (Leica-Microsystems, TCS SP8).

Immunocytochemistry/ Immunofluorescence - Anti-GAPDH antibody [EPR16891] - BSA and Azide free (AB199553)
  • ICC/IF

Lab

Immunocytochemistry/ Immunofluorescence - Anti-GAPDH antibody [EPR16891] - BSA and Azide free (AB199553)

Immunocytochemistry/immunofluorescence staining of 4% paraformaldehyde fixed; 0.1% triton X 100 permeabilized HeLa (human cervix adenocarcinoma) cells labeling GAPDH with ab181602 at dilution of 1/500. The secondary antibody used was Alexa Fluor® 488; goat anti-rabbit IgG (ab150077) at a dilution of 1/400. Nucleus was counter-stained with DAPI (blue). ab7291, a mouse anti-tubulin antibody (1/500) was used to stain tubulin along with ab150120 (AlexaFluor®594 goat anti-mouse secondary, 1/500). The negative controls are shown in the bottom middle and right hand panels- for negative control 1 primary antibody (ab181602; 1/500) and secondary antibody (ab150120; 1/500) was used. For negative control 2 primary antibody (ab7291; 1/500) and secondary antibody (ab150077; 1/400) was used.

This data was developed using the same antibody clone in a different buffer formulation containing PBS, BSA, glycerol, and sodium azide (ab181602).

Flow Cytometry (Intracellular) - Anti-GAPDH antibody [EPR16891] - BSA and Azide free (AB199553)
  • Flow Cyt (Intra)

Supplier Data

Flow Cytometry (Intracellular) - Anti-GAPDH antibody [EPR16891] - BSA and Azide free (AB199553)

Intracellular flow cytometric analysis of 2% paraformaldehyde-fixed Jurkat (Human T cell leukemia cells from peripheral blood) cells labeling GAPDH with ab181602 at 1/180 dilution (red) compared with a rabbit monoclonal IgG isotype control (black) and an unlabeled control (cells without incubation with primary antibody and secondary antibody; blue). Goat anti rabbit IgG (FITC) at 1/150 dilution was used as the secondary antibody.

This data was developed using the same antibody clone in a different buffer formulation containing PBS, BSA, glycerol, and sodium azide (ab181602).

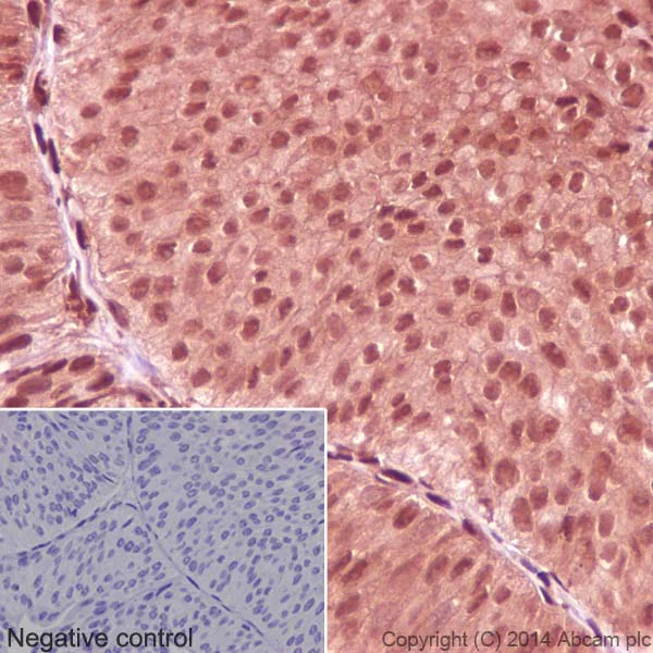
Immunohistochemistry (Formalin/PFA-fixed paraffin-embedded sections) - Anti-GAPDH antibody [EPR16891] - BSA and Azide free (AB199553)
  • IHC-P

Supplier Data

Immunohistochemistry (Formalin/PFA-fixed paraffin-embedded sections) - Anti-GAPDH antibody [EPR16891] - BSA and Azide free (AB199553)

Immunohistochemical analysis of paraffin-embedded human transitional cell carcinoma of bladder tissue labeling GAPDH with ab181602 at 1/2000 dilution, followed by prediluted HRP Polymer for Rabbit/Mouse IgG. Cytoplasmic and nucleus staining on the tumor cells of transitional cell carcinoma of human bladder is observed. Counter stained with Hematoxylin.

Negative control : Using PBS instead of primary ab, secondary ab is prediluted HRP Polymer for Rabbit/Mouse IgG.

This data was developed using the same antibody clone in a different buffer formulation containing PBS, BSA, glycerol, and sodium azide (ab181602).

Perform heat mediated antigen retrieval with Tris/EDTA buffer pH 9.0 before commencing with IHC staining protocol.

Flow Cytometry (Intracellular) - Anti-GAPDH antibody [EPR16891] - BSA and Azide free (AB199553)
  • Flow Cyt (Intra)

Unknown

Flow Cytometry (Intracellular) - Anti-GAPDH antibody [EPR16891] - BSA and Azide free (AB199553)

Clone EPR16891 (ab199553) has been successfully conjugated by Abcam. This image was generated using Anti-GAPDH antibody [EPR16891] (PE). Please refer to ab224004 for protocol details.

Overlay histogram showing HeLa cells stained with ab224004 (red line). The cells were fixed with 80% methanol (5 min) and then permeabilized with 0.1% PBS-Triton X-100 for 15 min. The cells were then incubated in 1x PBS / 10% normal goat serum to block non-specific protein-protein interactions followed by the antibody (ab224004, 1/1000 dilution) for 30 min at 22°C.

Isotype control antibody (black line) was Rabbit IgG (monoclonal) Phycoerythrin (ab209478) used at the same concentration and conditions as the primary antibody. Unlabelled sample (blue line) was also used as a control.

Acquisition of >5,000 events were collected using a 50 mW Yellow/Green laser (561nm) and 586/15 bandpass filter.

This antibody gave a positive signal in HeLa cells fixed with 4% formaldehyde (10 min)/permeabilized with 0.1% PBS-Triton X-100 for 15 min used under the same conditions.

Immunocytochemistry/ Immunofluorescence - Anti-GAPDH antibody [EPR16891] - BSA and Azide free (AB199553)
  • ICC/IF

Unknown

Immunocytochemistry/ Immunofluorescence - Anti-GAPDH antibody [EPR16891] - BSA and Azide free (AB199553)

Clone EPR16891 (ab199553) has been successfully conjugated by Abcam. This image was generated using Anti-GAPDH antibody [EPR16891] (Alexa Fluor® 647). Please refer to ab201272 for protocol details.

ab201272 staining GAPDH in HeLa cells. The cells were fixed with 100% methanol (5min), permeabilized with 0.1% Triton X-100 for 5 minutes and then blocked with 1% BSA/10% normal goat serum/0.3M glycine in 0.1% PBS-Tween for 1h. The cells were then incubated overnight at +4°C with ab201272 at 1/100 dilution (shown in red) and ab195887, Mouse monoclonal to alpha Tubulin (Alexa Fluor® 488), at 2µg/ml (shown in green). Nuclear DNA was labelled with DAPI (shown in blue).

Image was taken with a confocal microscope (Leica-Microsystems, TCS SP8).

Immunoprecipitation - Anti-GAPDH antibody [EPR16891] - BSA and Azide free (AB199553)
  • IP

Supplier Data

Immunoprecipitation - Anti-GAPDH antibody [EPR16891] - BSA and Azide free (AB199553)

GAPDH was immunoprecipitated from 1mg of HeLa (Human epithelial cells from cervix adenocarcinoma) whole cell extract with ab181602 at 1/60 dilution. Western blot was performed from the immunoprecipitate using ab181602 at 1/5000 dilution. Anti-Rabbit IgG (HRP), specific to the non-reduced form of IgG, was used as secondary antibody at 1/1500 dilution. Lane 1 : HeLa whole cell extract.

Lane 2 : PBS instead of HeLa whole cell extract.

Blocking and dilution buffer and concentration : 5% NFDM/TBST.

This data was developed using the same antibody clone in a different buffer formulation containing PBS, BSA, glycerol, and sodium azide (ab181602).

All lanes:

Immunoprecipitation - Anti-GAPDH antibody [EPR16891] - Loading Control (<a href='/en-us/products/primary-antibodies/gapdh-antibody-epr16891-loading-control-ab181602'>ab181602</a>)

Predicted band size: 36 kDa

Observed band size: 36 kDa

false

Immunohistochemistry (Formalin/PFA-fixed paraffin-embedded sections) - Anti-GAPDH antibody [EPR16891] - BSA and Azide free (AB199553)
  • IHC-P

Supplier Data

Immunohistochemistry (Formalin/PFA-fixed paraffin-embedded sections) - Anti-GAPDH antibody [EPR16891] - BSA and Azide free (AB199553)

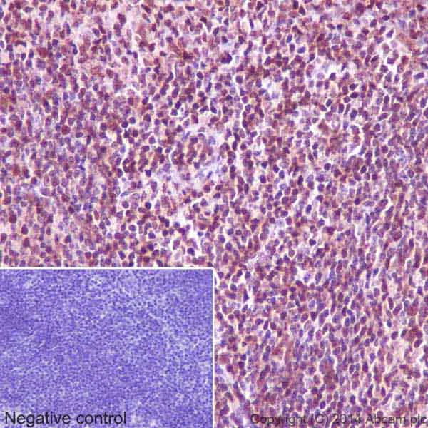
Immunohistochemical analysis of paraffin-embedded rat spleen tissue labeling GAPDH with ab181602 at 1/2000 dilution, followed by prediluted HRP Polymer for Rabbit/Mouse IgG. Nucleus and cytoplasmic staining on lymphocyte of rat spleen is observed. Counter stained with Hematoxylin.

Negative control : Using PBS instead of primary ab, secondary ab is prediluted HRP Polymer for Rabbit/Mouse IgG.

This data was developed using the same antibody clone in a different buffer formulation containing PBS, BSA, glycerol, and sodium azide (ab181602).

Perform heat mediated antigen retrieval with Tris/EDTA buffer pH 9.0 before commencing with IHC staining protocol.

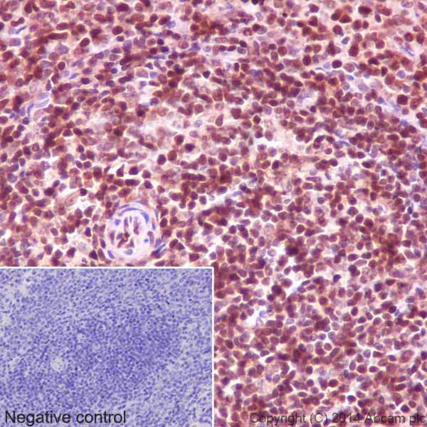
Immunohistochemistry (Formalin/PFA-fixed paraffin-embedded sections) - Anti-GAPDH antibody [EPR16891] - BSA and Azide free (AB199553)
  • IHC-P

Supplier Data

Immunohistochemistry (Formalin/PFA-fixed paraffin-embedded sections) - Anti-GAPDH antibody [EPR16891] - BSA and Azide free (AB199553)

Immunohistochemical analysis of paraffin-embedded mouse spleen tissue labeling GAPDH with ab181602 at 1/2000 dilution, followed by prediluted HRP Polymer for Rabbit/Mouse IgG. Nucleus and cytoplasmic staining on lymphocytes of mouse spleen is observed. Counter stained with Hematoxylin.

Negative control : Using PBS instead of primary ab, secondary ab is prediluted HRP Polymer for Rabbit/Mouse IgG.

This data was developed using the same antibody clone in a different buffer formulation containing PBS, BSA, glycerol, and sodium azide (ab181602).

Perform heat mediated antigen retrieval with Tris/EDTA buffer pH 9.0 before commencing with IHC staining protocol.

Western blot - Anti-GAPDH antibody [EPR16891] - BSA and Azide free (AB199553)
  • WB

Supplier Data

Western blot - Anti-GAPDH antibody [EPR16891] - BSA and Azide free (AB199553)

Blocking and Diluting buffer and concentration : 5% NFDM/TBST

Exposure time : 3 seconds

All lanes:

Western blot - Anti-GAPDH antibody [EPR16891] - BSA and Azide free (ab199553) at 1/100000 dilution

All lanes:

HeLa (Human epithelial cell line from cervix adenocarcinoma) whole cell lysates at 15 µg

Secondary

All lanes:

Western blot - Goat Anti-Rabbit IgG H&L (HRP) (<a href='/en-us/products/secondary-antibodies/goat-rabbit-igg-h-l-hrp-ab97051'>ab97051</a>) at 1/20000 dilution

Predicted band size: 36 kDa

false

Western blot - Anti-GAPDH antibody [EPR16891] - BSA and Azide free (AB199553)
  • WB

Lab

Western blot - Anti-GAPDH antibody [EPR16891] - BSA and Azide free (AB199553)

This data was developed using ab181602, the same antibody clone in a different buffer formulation. Different batches of ab181602 were tested on HeLa (Human cervix adenocarcinoma epithelial cell) lysate at 1.0 µg/ml. 15 µg of lysate was loaded in each lane. Bands observed at 36 kDa.

All lanes:

Western blot - Anti-GAPDH antibody [EPR16891] - Loading Control (<a href='/en-us/products/primary-antibodies/gapdh-antibody-epr16891-loading-control-ab181602'>ab181602</a>)

Predicted band size: 36 kDa

false

  • Unconjugated

    Anti-GAPDH antibody [EPR16891] - Loading Control

  • 421 Alexa Fluor® 405

    Alexa Fluor® 405 Anti-GAPDH antibody [EPR16891]

  • 578 PE

    PE Anti-GAPDH antibody [EPR16891]

  • 519 FITC

    FITC Anti-GAPDH antibody [EPR16891]

  • 665 Alexa Fluor® 647

    Alexa Fluor® 647 Anti-GAPDH antibody [EPR16891]

  • 617 Alexa Fluor® 594

    Alexa Fluor® 594 Anti-GAPDH antibody [EPR16891]

  • HRP

    HRP Anti-GAPDH antibody [EPR16891] - Loading Control

  • 519 Alexa Fluor® 488

    Alexa Fluor® 488 Anti-GAPDH antibody [EPR16891]

Key facts

Host species

Rabbit

Clonality

Monoclonal

Clone number

EPR16891

Isotype

IgG

Carrier free

Yes

Reacts with

Mouse, Rat, Chicken, Human, Zebrafish, African green monkey, Xenopus tropicalis

Applications

ICC/IF, WB, Flow Cyt (Intra), IP, IHC-P

applications

Immunogen

The exact immunogen used to generate this antibody is proprietary information.

Reactivity data

{ "title": "Reactivity Data", "filters": { "stats": ["", "Species", "Dilution Info", "Notes"], "tabs": { "all-applications": {"fullname" : "All Applications", "shortname": "All Applications"}, "FlowCytIntra" : {"fullname" : "Flow Cytometry (Intracellular)", "shortname":"Flow Cyt (Intra)"}, "ICCIF" : {"fullname" : "Immunocytochemistry/ Immunofluorescence", "shortname":"ICC/IF"}, "IP" : {"fullname" : "Immunoprecipitation", "shortname":"IP"}, "WB" : {"fullname" : "Western blot", "shortname":"WB"}, "IHCP" : {"fullname" : "Immunohistochemistry (Formalin/PFA-fixed paraffin-embedded sections)", "shortname":"IHC-P"} }, "product-promise": { "all": "all", "testedAndGuaranteed": "tested", "guaranteed": "expected", "predicted": "predicted", "notRecommended": "not-recommended" } }, "values": { "Human": { "FlowCytIntra-species-checked": "testedAndGuaranteed", "FlowCytIntra-species-dilution-info": "", "FlowCytIntra-species-notes": "<p><a href='/en-us/products/primary-antibodies/rabbit-igg-monoclonal-epr25a-isotype-control-low-endotoxin-azide-free-ab199376'>ab199376</a> - Rabbit monoclonal IgG, is suitable for use as an isotype control with this antibody.</p>", "ICCIF-species-checked": "testedAndGuaranteed", "ICCIF-species-dilution-info": "", "ICCIF-species-notes": "<p></p>", "IP-species-checked": "testedAndGuaranteed", "IP-species-dilution-info": "", "IP-species-notes": "<p></p>", "WB-species-checked": "testedAndGuaranteed", "WB-species-dilution-info": "", "WB-species-notes": "<p></p>", "IHCP-species-checked": "testedAndGuaranteed", "IHCP-species-dilution-info": "", "IHCP-species-notes": "<p></p> Perform heat-mediated antigen retrieval with Tris/EDTA buffer pH 9.0 before commencing with IHC staining protocol." }, "Mouse": { "FlowCytIntra-species-checked": "guaranteed", "FlowCytIntra-species-dilution-info": "", "FlowCytIntra-species-notes": "", "ICCIF-species-checked": "guaranteed", "ICCIF-species-dilution-info": "", "ICCIF-species-notes": "", "IP-species-checked": "guaranteed", "IP-species-dilution-info": "", "IP-species-notes": "", "WB-species-checked": "testedAndGuaranteed", "WB-species-dilution-info": "", "WB-species-notes": "<p></p>", "IHCP-species-checked": "testedAndGuaranteed", "IHCP-species-dilution-info": "", "IHCP-species-notes": "<p></p> Perform heat-mediated antigen retrieval with Tris/EDTA buffer pH 9.0 before commencing with IHC staining protocol." }, "Rat": { "FlowCytIntra-species-checked": "guaranteed", "FlowCytIntra-species-dilution-info": "", "FlowCytIntra-species-notes": "", "ICCIF-species-checked": "guaranteed", "ICCIF-species-dilution-info": "", "ICCIF-species-notes": "", "IP-species-checked": "guaranteed", "IP-species-dilution-info": "", "IP-species-notes": "", "WB-species-checked": "testedAndGuaranteed", "WB-species-dilution-info": "", "WB-species-notes": "<p></p>", "IHCP-species-checked": "testedAndGuaranteed", "IHCP-species-dilution-info": "", "IHCP-species-notes": "<p></p> Perform heat-mediated antigen retrieval with Tris/EDTA buffer pH 9.0 before commencing with IHC staining protocol." }, "African green monkey": { "FlowCytIntra-species-checked": "guaranteed", "FlowCytIntra-species-dilution-info": "", "FlowCytIntra-species-notes": "", "ICCIF-species-checked": "guaranteed", "ICCIF-species-dilution-info": "", "ICCIF-species-notes": "", "IP-species-checked": "guaranteed", "IP-species-dilution-info": "", "IP-species-notes": "", "WB-species-checked": "testedAndGuaranteed", "WB-species-dilution-info": "", "WB-species-notes": "<p></p>", "IHCP-species-checked": "guaranteed", "IHCP-species-dilution-info": "", "IHCP-species-notes": "" }, "Chicken": { "FlowCytIntra-species-checked": "guaranteed", "FlowCytIntra-species-dilution-info": "", "FlowCytIntra-species-notes": "", "ICCIF-species-checked": "guaranteed", "ICCIF-species-dilution-info": "", "ICCIF-species-notes": "", "IP-species-checked": "guaranteed", "IP-species-dilution-info": "", "IP-species-notes": "", "WB-species-checked": "testedAndGuaranteed", "WB-species-dilution-info": "", "WB-species-notes": "<p></p>", "IHCP-species-checked": "guaranteed", "IHCP-species-dilution-info": "", "IHCP-species-notes": "" }, "Fish": { "FlowCytIntra-species-checked": "predicted", "FlowCytIntra-species-dilution-info": "", "FlowCytIntra-species-notes": "", "ICCIF-species-checked": "predicted", "ICCIF-species-dilution-info": "", "ICCIF-species-notes": "", "IP-species-checked": "predicted", "IP-species-dilution-info": "", "IP-species-notes": "", "WB-species-checked": "predicted", "WB-species-dilution-info": "", "WB-species-notes": "", "IHCP-species-checked": "predicted", "IHCP-species-dilution-info": "", "IHCP-species-notes": "" }, "Rabbit": { "FlowCytIntra-species-checked": "predicted", "FlowCytIntra-species-dilution-info": "", "FlowCytIntra-species-notes": "", "ICCIF-species-checked": "predicted", "ICCIF-species-dilution-info": "", "ICCIF-species-notes": "", "IP-species-checked": "predicted", "IP-species-dilution-info": "", "IP-species-notes": "", "WB-species-checked": "predicted", "WB-species-dilution-info": "", "WB-species-notes": "", "IHCP-species-checked": "predicted", "IHCP-species-dilution-info": "", "IHCP-species-notes": "" }, "Xenopus tropicalis": { "FlowCytIntra-species-checked": "guaranteed", "FlowCytIntra-species-dilution-info": "", "FlowCytIntra-species-notes": "", "ICCIF-species-checked": "guaranteed", "ICCIF-species-dilution-info": "", "ICCIF-species-notes": "", "IP-species-checked": "guaranteed", "IP-species-dilution-info": "", "IP-species-notes": "", "WB-species-checked": "testedAndGuaranteed", "WB-species-dilution-info": "", "WB-species-notes": "<p></p>", "IHCP-species-checked": "guaranteed", "IHCP-species-dilution-info": "", "IHCP-species-notes": "" }, "Zebrafish": { "FlowCytIntra-species-checked": "guaranteed", "FlowCytIntra-species-dilution-info": "", "FlowCytIntra-species-notes": "", "ICCIF-species-checked": "guaranteed", "ICCIF-species-dilution-info": "", "ICCIF-species-notes": "", "IP-species-checked": "guaranteed", "IP-species-dilution-info": "", "IP-species-notes": "", "WB-species-checked": "testedAndGuaranteed", "WB-species-dilution-info": "", "WB-species-notes": "<p></p>", "IHCP-species-checked": "guaranteed", "IHCP-species-dilution-info": "", "IHCP-species-notes": "" } } }

Product details

ab199553 is the carrier-free version of ab181602.

Patented technology
Our RabMAb® technology is a patented hybridoma-based technology for making rabbit monoclonal antibodies. For details on our patents, please refer to RabMAb® patents.

What are the advantages of a recombinant monoclonal antibody?
This product is a recombinant monoclonal antibody, which offers several advantages including:

  • - High batch-to-batch consistency and reproducibility
  • - Improved sensitivity and specificity
  • - Long-term security of supply
  • - Animal-free batch production

For more information, read more on recombinant antibodies.

Conjugation ready
Our carrier-free antibodies are typically supplied in a PBS-only formulation, purified and free of BSA, sodium azide and glycerol. This conjugation-ready format is designed for use with fluorochromes, metal isotopes, oligonucleotides, and enzymes, which makes them ideal for antibody labelling, functional and cell-based assays, flow-based assays (e.g. mass cytometry) and Multiplex Imaging applications.

Use our conjugation kits for antibody conjugates that are ready-to-use in as little as 20 minutes with 1 minute hands-on-time and 100% antibody recovery: available for fluorescent dyes, HRP, biotin and gold.

Compatibility
This product is compatible with the Maxpar® Antibody Labeling Kit from Fluidigm, without the need for antibody preparation. Maxpar® is a trademark of Fluidigm Canada Inc.

Properties and storage information

Form
Liquid
Purification technique
Affinity purification Protein A
Storage buffer
pH: 7.2 - 7.4 Constituents: PBS
Shipped at conditions
Blue Ice
Appropriate short-term storage conditions
+4°C
Appropriate long-term storage conditions
+4°C
Storage information
Do Not Freeze

Supplementary information

This supplementary information is collated from multiple sources and compiled automatically.

Glyceraldehyde-3-phosphate dehydrogenase commonly known as GAPDH is an enzyme involved in glycolysis. Its molecular weight (MW) is approximately 36 kDa. The protein is expressed ubiquitously in almost all tissues reflecting its essential role in energy production. GAPDH catalyzes the sixth step of glycolysis converting glyceraldehyde-3-phosphate into 13-bisphosphoglycerate. Due to its stable expression researchers often use GAPDH as a loading control in western blot experiments.
Biological function summary

GAPDH serves important metabolic functions beyond its enzymatic role in glycolysis. It functions as part of a multi-enzyme complex within the cytoplasm which facilitates efficient substrate channeling during glycolysis. Additionally GAPDH has non-glycolytic roles including involvement in nuclear processes like RNA export and DNA repair. Its ubiquitous presence across different cellular compartments indicates its multiple functions beyond metabolic pathways.

Pathways

GAPDH integrates into significant cellular functions like the glycolytic pathway and apoptotic pathways. In glycolysis GAPDH collaborates with enzymes like phosphoglycerate kinase forming a cohesive link in the energy conversion chain. Its participation in apoptotic pathways highlights GAPDH's involvement in cellular death processes interacting with proteins like Bcl-2 to influence apoptosis progression. These roles reinforce its presence in central metabolic and regulatory pathways.

GAPDH has associations with neurodegenerative diseases and cancer. In neurodegenerative disorders such as Alzheimer's disease GAPDH’s altered enzymatic activity is frequently observed influencing cellular energy homeostasis. Moreover overexpression or aberrant regulation of GAPDH relates to cancer cell proliferation and metastasis implicating proteins like p53 in these pathways. The diverse functions and interactions of GAPDH emphasize its importance in both normal cellular function and disease states.

Product protocols

For this product, it's our understanding that no specific protocols are required. You can visit:

Target data

Has both glyceraldehyde-3-phosphate dehydrogenase and nitrosylase activities, thereby playing a role in glycolysis and nuclear functions, respectively (PubMed : 11724794, PubMed : 3170585). Glyceraldehyde-3-phosphate dehydrogenase is a key enzyme in glycolysis that catalyzes the first step of the pathway by converting D-glyceraldehyde 3-phosphate (G3P) into 3-phospho-D-glyceroyl phosphate (PubMed : 11724794, PubMed : 3170585). Modulates the organization and assembly of the cytoskeleton (By similarity). Facilitates the CHP1-dependent microtubule and membrane associations through its ability to stimulate the binding of CHP1 to microtubules (By similarity). Component of the GAIT (gamma interferon-activated inhibitor of translation) complex which mediates interferon-gamma-induced transcript-selective translation inhibition in inflammation processes (PubMed : 23071094). Upon interferon-gamma treatment assembles into the GAIT complex which binds to stem loop-containing GAIT elements in the 3'-UTR of diverse inflammatory mRNAs (such as ceruplasmin) and suppresses their translation (PubMed : 23071094). Also plays a role in innate immunity by promoting TNF-induced NF-kappa-B activation and type I interferon production, via interaction with TRAF2 and TRAF3, respectively (PubMed : 23332158, PubMed : 27387501). Participates in nuclear events including transcription, RNA transport, DNA replication and apoptosis (By similarity). Nuclear functions are probably due to the nitrosylase activity that mediates cysteine S-nitrosylation of nuclear target proteins such as SIRT1, HDAC2 and PRKDC (By similarity).
See full target information GAPDH

Publications (7)

Recent publications for all applications. Explore the full list and refine your search

Photochemistry and photobiology 100:1874-1893 PubMed38504445

2024

Compound collagen peptide powder improves skin photoaging by reducing oxidative stress and activating TGF-β1/Smad pathway.

Applications

Unspecified application

Species

Unspecified reactive species

Kaien Guo,Linxin Zheng,Xin Zeng,Guangchun Huang,Lingling Meng,Yuting Yin

iScience 26:107864 PubMed37766982

2023

Mechanically sensitive HSF1 is a key regulator of left-right symmetry breaking in zebrafish embryos.

Applications

Unspecified application

Species

Unspecified reactive species

Jing Du,Shu-Kai Li,Liu-Yuan Guan,Zheng Guo,Jiang-Fan Yin,Li Gao,Toru Kawanishi,Atsuko Shimada,Qiu-Ping Zhang,Li-Sha Zheng,Yi-Yao Liu,Xi-Qiao Feng,Lin Zhao,Dong-Yan Chen,Hiroyuki Takeda,Yu-Bo Fan

Annals of translational medicine 10:1390 PubMed36660631

2023

Ferroptosis-related genes with post-transcriptional regulation mechanisms in hepatocellular carcinoma determined by bioinformatics and experimental validation.

Applications

Unspecified application

Species

Unspecified reactive species

Renfei Zhu,Cheng Gao,Qiuqi Feng,Haitao Guan,Jianjun Wu,Hrishikesh Samant,Fan Yang,Xuehao Wang

Journal of immunology research 2022:4903333 PubMed35879950

2022

Flavokawain B Weakens Gastric Cancer Progression via the TGF-1/SMAD4 Pathway and Attenuates M2 Macrophage Polarization.

Applications

Unspecified application

Species

Unspecified reactive species

Yongzhao Zhu,Weining Fan,Yuanzhen Wang,Huan Ding,Shaoqi Yang,Fang He

Traffic (Copenhagen, Denmark) 23:158-173 PubMed35076977

2022

Segregation of the membrane cargoes, BACE1 and amyloid precursor protein (APP) throughout the Golgi apparatus.

Applications

Unspecified application

Species

Unspecified reactive species

Lou Fourriere,Ellie Hyun-Jung Cho,Paul A Gleeson

Experimental and therapeutic medicine 22:1038 PubMed34373724

2021

Dexmedetomidine facilitates the expression of nNOS in the hippocampus to alleviate surgery-induced neuroinflammation and cognitive dysfunction in aged rats.

Applications

Unspecified application

Species

Unspecified reactive species

Liangyuan Suo,Mingyu Wang

International journal of oncology 57:707-720 PubMed32582999

2020

Activating transcription factor 3 inhibits endometrial carcinoma aggressiveness via JunB suppression.

Applications

Unspecified application

Species

Unspecified reactive species

Fangyuan Wang,Jingjing Li,Haixia Wang,Fan Zhang,Jin Gao
View all publications

Product promise

We are committed to supporting your work with high-quality reagents, and we're here for you every step of the way. In the unlikely event that one of our products does not perform as expected, you're protected by our Product Promise.
For full details, please see our Terms & Conditions

Please note: All products are 'FOR RESEARCH USE ONLY. NOT FOR USE IN DIAGNOSTIC OR THERAPEUTIC PROCEDURES'.

For licensing inquiries, please contact partnerships@abcam.com