JavaScript is disabled in your browser. Please enable JavaScript to view this website.
AB128915

Anti-GAPDH antibody [EPR6256] - Loading Control

5

(11 Reviews)

|

(369 Publications)

Anti-GAPDH antibody [EPR6256] - Loading Control (ab128915) is a rabbit monoclonal antibody detecting GAPDH in Western Blot, Flow Cytometry (Intra), IP, IHC-P, ICC/IF. Suitable for African green monkey, Human.

- Biophysical QC for unrivalled batch-batch consistency
- Over 270 publications

View Alternative Names

GAPD, CDABP0047, OK/SW-cl.12, GAPDH, Glyceraldehyde-3-phosphate dehydrogenase, Peptidyl-cysteine S-nitrosylase GAPDH

12 Images
Flow Cytometry (Intracellular) - Anti-GAPDH antibody [EPR6256] - Loading Control (AB128915)
  • Flow Cyt (Intra)

Unknown

Flow Cytometry (Intracellular) - Anti-GAPDH antibody [EPR6256] - Loading Control (AB128915)

Overlay histogram showing HeLa (human epithelial cell line from cervix adenocarcinoma) cells stained with ab128915 (unpurified) (red line). The cells were fixed with 80% methanol (5 min) and then permeabilized with 0.1% PBS-Tween for 20 min. The cells were then incubated in 1x PBS / 10% normal goat serum / 0.3M glycine to block non-specific protein-protein interactions followed by the antibody (ab128915, 1/1000 dilution) for 30 min at 22°C. The secondary antibody used was goat anti-rabbit Alexa Fluor® 488 (H&L) (ab150077) at 1/2000 dilution for 30 min at 22°C. Isotype control antibody (black line) was rabbit IgG (monoclonal) (0.1μg/1x106 cells) used under the same conditions. Unlabelled sample (blue line) was also used as a control. Acquisition of >5,000 events were collected using a 20mW Argon ion laser (488nm) and 525/30 bandpass filter.

Immunocytochemistry/ Immunofluorescence - Anti-GAPDH antibody [EPR6256] - Loading Control (AB128915)
  • ICC/IF

AbReview40420****

Immunocytochemistry/ Immunofluorescence - Anti-GAPDH antibody [EPR6256] - Loading Control (AB128915)

ab128915 (unpurified) staining GAPDH in human HeLa (human epithelial cell line from cervix adenocarcinoma) cells by ICC/IF (Immunocytochemistry/immunofluorescence). Cells were fixed with paraformaldehyde and permeabilized with 0.5% Triton X-100 in PBS. Samples were incubated with primary antibody (1/500 in PBS) for 1 hour at 22°C. An Alexa Fluor® 488-conjugated goat anti-rabbit IgG polyclonal (1/200) was used as the secondary antibody. Counter stained with DAPI.

This image is courtesy of an Abreview submitted by Kirk McManus

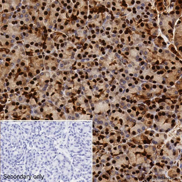
Immunohistochemistry (Formalin/PFA-fixed paraffin-embedded sections) - Anti-GAPDH antibody [EPR6256] - Loading Control (AB128915)
  • IHC-P

Lab

Immunohistochemistry (Formalin/PFA-fixed paraffin-embedded sections) - Anti-GAPDH antibody [EPR6256] - Loading Control (AB128915)

Immunohistochemistry (Formalin/PFA-fixed paraffin-embedded sections) analysis of Human bladder carcinoma tissue sections labeling GAPDH with purified ab128915 at 1/2000 dilution (0.06 µg/ml). Perform heat mediated antigen retrieval using ab93684 (Tris/EDTA buffer, pH 9.0). ImmunoHistoProbe one step HRP Polymer (ready to use) was used as the secondary antibody. Negative control : PBS instead of the primary antibody. Hematoxylin was used as a counterstain.

Flow Cytometry (Intracellular) - Anti-GAPDH antibody [EPR6256] - Loading Control (AB128915)
  • Flow Cyt (Intra)

Unknown

Flow Cytometry (Intracellular) - Anti-GAPDH antibody [EPR6256] - Loading Control (AB128915)

Intracellular Flow Cytometry analysis of HeLa (Human cervix adenocarcinoma epithelial cell) cells labeling GAPDH with purified ab128915 at 1/20 dilution (10μg/ml) (red). Cells were fixed with 4% Paraformaldehyde and permeabilised with 90% Methanol. A Goat anti rabbit IgG (Alexa Fluorr® 488, ab150077) secondary antibody was used at 1/2000. Isotype control - Rabbit monoclonal IgG (Black). Unlabeled control - Cell without incubation with primary antibody and secondary antibody (Blue).

Immunocytochemistry/ Immunofluorescence - Anti-GAPDH antibody [EPR6256] - Loading Control (AB128915)
  • ICC/IF

Lab

Immunocytochemistry/ Immunofluorescence - Anti-GAPDH antibody [EPR6256] - Loading Control (AB128915)

ab128915 (unpurified) staining GAPDH in HeLa (human epithelial cell line from cervix adenocarcinoma) cells. The cells were fixed with 100% methanol (5min) and then blocked in 1% BSA/10% normal goat serum/0.3M glycine in 0.1%PBS-Tween for 1h. The cells were then incubated with ab128915 at 2μg/ml and ab7291 at 1μg/ml overnight at +4°C, followed by a further incubation at room temperature for 1h with an goat anti-rabbit AlexaFluor®488 (ab150081) at 2 μg/ml (shown in green) and goat anti-mouse AlexaFluor®594 (ab150120) at 2 μg/ml (shown in pseudo color red). Nuclear DNA was labelled in blue with DAPI.

Negative controls : 1– Rabbit primary antibody and anti-mouse secondary antibody; 2 – Mouse primary antibody and anti-rabbit secondary antibody. Controls 1 and 2 indicate that there is no unspecific reaction between primary and secondary antibodies used.

Immunocytochemistry/ Immunofluorescence - Anti-GAPDH antibody [EPR6256] - Loading Control (AB128915)
  • ICC/IF

Unknown

Immunocytochemistry/ Immunofluorescence - Anti-GAPDH antibody [EPR6256] - Loading Control (AB128915)

ab128915 (unpurified), at 1/250, staining GAPDH in MCF7 (human breast adenocarcinoma cell line) cells by immunofluorescence.

Immunocytochemistry/ Immunofluorescence - Anti-GAPDH antibody [EPR6256] - Loading Control (AB128915)
  • ICC/IF

Unknown

Immunocytochemistry/ Immunofluorescence - Anti-GAPDH antibody [EPR6256] - Loading Control (AB128915)

Immunocytochemistry/ Immunofluorescence analysis of HeLa (Human cervix adenocarcinoma epithelial cell) cells labeling GAPDH with purified ab128915 at 1/250 dilution (0.4 μg/ml). Cells were fixed in 100% Methanol. Cells were counterstained with ab195889 Anti-alpha Tubulin antibody [DM1A] - Microtubule Marker (Alexa Fluor® 594) at 1/200 (2.5 μg/ml) dilution. Goat anti rabbit IgG (Alexa Fluor® 488, ab150077) was used as the secondary antibody at 1/1000 (2 μg/ml) dilution. DAPI (blue) was used as nuclear counterstain. PBS instead of the primary antibody was used as the secondary antibody only control.

Immunoprecipitation - Anti-GAPDH antibody [EPR6256] - Loading Control (AB128915)
  • IP

Unknown

Immunoprecipitation - Anti-GAPDH antibody [EPR6256] - Loading Control (AB128915)

ab128915 (purified) at 1/20 dilution (0.5ug) immunoprecipitating GAPDH in HeLa whole cell lysates.
Lane 1 : HeLa (Human cervix adenocarcinoma epithelial cell) whole cell lysates 10ug
Lane 2 (+) : ab128915 & HeLa whole cell lysates
Lane 3 (-) : Rabbit monoclonal IgG (ab172730) instead of ab128915 in HeLa whole cell lysates
For western blotting, VeriBlot for IP Detection Reagent (HRP) (ab131366) was used at 1/1000 dilution.
Blocking and diluting buffer : 5% NFDM/TBST.

All lanes:

Immunoprecipitation - Anti-GAPDH antibody [EPR6256] - Loading Control (ab128915)

Predicted band size: 25 kDa,36 kDa

false

Western blot - Anti-GAPDH antibody [EPR6256] - Loading Control (AB128915)
  • WB

Lab

Western blot - Anti-GAPDH antibody [EPR6256] - Loading Control (AB128915)

This blot was produced using 4-20% SDS-PAGE containing 15 μg of HeLa whole cell lysate per lane at 150V for 1hr before being transferred onto a 0.45 μm PVDF membrane at 75V for 1hr. The membrane was then blocked for 1hr using 5% NFDM/TBST, then incubated with ab128915 (1/200,000) at room temperature for 1hr. After being washed three times in TBST, the membrane was incubated with Peroxidase conjugated goat anti-rabbit IgG (H+L) (ab97051) at 1/20,000 dilution for 1hr at room temperature. The membrane was washed three times again. Then the signal was developed using the ECL technique. ab128915 was stored at a range of temperatures (+4°C, +22°C, +37°C) for 1 week before being tested in WB. The image shows the band intensity remains relatively constant across all storage temperatures, demonstrating that antibody activity is not affected.

All lanes:

Western blot - Anti-GAPDH antibody [EPR6256] - Loading Control (ab128915) at 1/200000 dilution

All lanes:

HeLa whole cell lysate at 15 µg with NDFM/TBST

Secondary

All lanes:

Western blot - Goat Anti-Rabbit IgG H&L (HRP) (<a href='/en-us/products/secondary-antibodies/goat-rabbit-igg-h-l-hrp-ab97051'>ab97051</a>) at 1/20000 dilution

false

Exposure time: 60s

Western blot - Anti-GAPDH antibody [EPR6256] - Loading Control (AB128915)
  • WB

Unknown

Western blot - Anti-GAPDH antibody [EPR6256] - Loading Control (AB128915)

Secondary antibody - anti-rabbit HRP (ab6721)

All lanes:

Western blot - Anti-GAPDH antibody [EPR6256] - Loading Control (ab128915) at 1/10000 dilution

Lane 1:

HEK-293T (human epithelial cell line from embryonic kidney transformed with large T antigen) cell lysate at 10 µg

Lane 2:

HeLa (human epithelial cell line from cervix adenocarcinoma) cell lysate at 10 µg

Lane 3:

HepG2 (human liver hepatocellular carcinoma cell line) cell lysate at 10 µg

Lane 4:

HUVEC (human umbilical vein endothelial cell line) cell lysate at 10 µg

Lane 5:

MCF7 (human breast adenocarcinoma cell line) cell lysate at 10 µg

Lane 6:

SH-SY5Y (human neuroblastoma cell line from bone marrow) cell lysate at 10 µg

Secondary

All lanes:

HRP labelled Goat anti-Rabbit IgG at 1/2000 dilution

Predicted band size: 36 kDa

Observed band size: 35 kDa

false

Western blot - Anti-GAPDH antibody [EPR6256] - Loading Control (AB128915)
  • WB

Lab

Western blot - Anti-GAPDH antibody [EPR6256] - Loading Control (AB128915)

All lanes:

Western blot - Anti-GAPDH antibody [EPR6256] - Loading Control (ab128915) at 1/20000 dilution

All lanes:

HepG2 (Human hepatocellular carcinoma epithelial cell) whole cell lysates at 15 µg

Secondary

All lanes:

Western blot - Goat Anti-Rabbit IgG H&L (HRP) (<a href='/en-us/products/secondary-antibodies/goat-rabbit-igg-h-l-hrp-ab97051'>ab97051</a>) at 1/20000 dilution

Predicted band size: 36 kDa

Observed band size: 36 kDa

false

Western blot - Anti-GAPDH antibody [EPR6256] - Loading Control (AB128915)
  • WB

Lab

Western blot - Anti-GAPDH antibody [EPR6256] - Loading Control (AB128915)

All lanes:

Western blot - Anti-GAPDH antibody [EPR6256] - Loading Control (ab128915) at 1/20000 dilution

All lanes:

COS-1 (African green monkey  kidney fibroblast-like) whole cell lysates at 15 µg

Secondary

All lanes:

Western blot - Goat Anti-Rabbit IgG H&L (HRP) (<a href='/en-us/products/secondary-antibodies/goat-rabbit-igg-h-l-hrp-ab97051'>ab97051</a>) at 1/20000 dilution

Predicted band size: 36 kDa

Observed band size: 36 kDa

false

  • Carrier free

    Anti-GAPDH antibody [EPR6256] - BSA and Azide free

  • 660 APC

    APC Anti-GAPDH antibody [EPR6256]

  • 675 PerCP

    PerCP Anti-GAPDH antibody [EPR6256]

  • 665 Alexa Fluor® 647

    Alexa Fluor® 647 Anti-GAPDH antibody [EPR6256]

  • Biotin

    Biotin Anti-GAPDH antibody [EPR6256] - Loading Control

  • HRP

    HRP Anti-GAPDH antibody [EPR6256] - Loading Control

Key facts

Host species

Rabbit

Clonality

Monoclonal

Clone number

EPR6256

Isotype

IgG

Carrier free

No

Reacts with

Human, African green monkey

Applications

WB, IP, IHC-P, Flow Cyt (Intra), ICC/IF

applications

Immunogen

The exact immunogen used to generate this antibody is proprietary information.

Reactivity data

{ "title": "Reactivity Data", "filters": { "stats": ["", "Species", "Dilution Info", "Notes"], "tabs": { "all-applications": {"fullname" : "All Applications", "shortname": "All Applications"}, "IP" : {"fullname" : "Immunoprecipitation", "shortname":"IP"}, "WB" : {"fullname" : "Western blot", "shortname":"WB"}, "ICCIF" : {"fullname" : "Immunocytochemistry/ Immunofluorescence", "shortname":"ICC/IF"}, "FlowCytIntra" : {"fullname" : "Flow Cytometry (Intracellular)", "shortname":"Flow Cyt (Intra)"}, "IHCP" : {"fullname" : "Immunohistochemistry (Formalin/PFA-fixed paraffin-embedded sections)", "shortname":"IHC-P"} }, "product-promise": { "all": "all", "testedAndGuaranteed": "tested", "guaranteed": "expected", "predicted": "predicted", "notRecommended": "not-recommended" } }, "values": { "Human": { "IP-species-checked": "testedAndGuaranteed", "IP-species-dilution-info": "1/10 - 1/100", "IP-species-notes": "<p></p>", "WB-species-checked": "testedAndGuaranteed", "WB-species-dilution-info": "1/10000 - 1/50000", "WB-species-notes": "<p></p>", "ICCIF-species-checked": "testedAndGuaranteed", "ICCIF-species-dilution-info": "1/250 - 1/500", "ICCIF-species-notes": "<p>2.0 μg/ml</p>", "FlowCytIntra-species-checked": "testedAndGuaranteed", "FlowCytIntra-species-dilution-info": "1/20", "FlowCytIntra-species-notes": "<p>For unpurified use at 1/100 - 1/1000. <a href='/en-us/products/primary-antibodies/rabbit-igg-monoclonal-epr25a-isotype-control-ab172730'>ab172730</a> - Rabbit monoclonal IgG, is suitable for use as an isotype control with this antibody.</p>", "IHCP-species-checked": "testedAndGuaranteed", "IHCP-species-dilution-info": "1/2000", "IHCP-species-notes": "<p><strong>For unpurified use at 1/250.</strong></p> Perform heat-mediated antigen retrieval with Tris/EDTA buffer pH 9.0 before commencing with IHC staining protocol." }, "African green monkey": { "IP-species-checked": "guaranteed", "IP-species-dilution-info": "", "IP-species-notes": "", "WB-species-checked": "testedAndGuaranteed", "WB-species-dilution-info": "1/10000 - 1/50000", "WB-species-notes": "<p></p>", "ICCIF-species-checked": "guaranteed", "ICCIF-species-dilution-info": "", "ICCIF-species-notes": "", "FlowCytIntra-species-checked": "guaranteed", "FlowCytIntra-species-dilution-info": "", "FlowCytIntra-species-notes": "", "IHCP-species-checked": "notRecommended", "IHCP-species-dilution-info": "", "IHCP-species-notes": "<p></p>" } } }

Product details

What is this antibody validated in?
Anti-GAPDH antibody [EPR6256] - Loading Control (ab128915) is a rabbit recombinant monoclonal antibody and is validated for use in Western Blot (WB), Flow Cytometry (Intra), Flow Cytometry (Flow Cyt), Immunoprecipitation (IP), Immunohistochemistry (IHC-P), Immunocytochemistry/immunofluorescence (ICC/IF) in African green monkey, Human samples.

What is the molecular weight of GAPDH?
Anti-GAPDH [EPR6256] - Loading Control (ab128915) is often used as a loading control in Western blot. It specifically detects a band for GAPDH (UniProt: P04406) at a molecular weight of 36kDa.

Trusted by the scientific community
Anti-GAPDH [EPR6256] - Loading Control (ab128915) was first used in a scientific publication in 2012 and has been cited over 270 times in peer-reviewed journals.

Reviewed by scientists
Anti-GAPDH [EPR6256] - Loading Control (ab128915) has over 10 independent reviews from customers.

Trial sizes available!
Test your antibody or perform pre-screening before committing to a larger quantity. Sold in 10µl. Discover our selection of trial-size antibodies.

Other related products
We have a range of other formats of antibody clone [EPR6256] also available for your convenience: ab128915, HRP - ab185059, Carrier free - ab186930, Biotin - ab195904, Alexa Fluor® 647 - ab215227, PerCP - ab216377, APC - ab221270

Species reactivity
Mouse: We have preliminary internal testing data to indicate this antibody may not react with this species.
Please contact us for more information.

Patented technology
Our RabMAb® technology is a patented hybridoma-based technology for making rabbit monoclonal antibodies. For details on our patents, please refer to RabMAb® patents.

What are the advantages of a recombinant monoclonal antibody?
This product is a recombinant monoclonal antibody, which offers several advantages including:

  • - High batch-to-batch consistency and reproducibility
  • - Improved sensitivity and specificity
  • - Long-term security of supply
  • - Animal-free batch production

For more information, read more on recombinant antibodies.

Shipping conditions update: ambient shipping

This product will be delivered at ambient temperature instead of chilled – this is by design. Extensive stability testing confirmed that our products are suitable for shipment under ambient conditions and maintain expected quality.

Why the change?

It’s part of our commitment to more sustainable packaging solutions, with ambient deliveries using eco-friendly materials such as recyclable cardboard instead of polystyrene.

What you need to know

  • Ambient shipments come clearly marked on the delivery note.
  • No ice will be included in ambient shipments, but mixed orders (ambient and cold-chain items) will still arrive with ice packs to protect temperature-sensitive products.
  • Warranty coverage remains fully valid, aligned with our validated shipping method.
  • Please store the product as per the datasheet instructions upon receipt.

Find out more - https://www.abcam.com/en-us/support/shipping-storage-support/ambient-shipping

Properties and storage information

Form
Liquid
Purification technique
Affinity purification Protein A
Storage buffer
pH: 7.2 - 7.4 Preservative: 0.01% Sodium azide Constituents: PBS, 40% Glycerol (glycerin, glycerine), 0.05% BSA
Shipped at conditions
Conditional Ambient
Appropriate short-term storage duration
1-2 weeks
Appropriate short-term storage conditions
+4°C
Appropriate long-term storage conditions
-20°C
Aliquoting information
Upon delivery aliquot
Storage information
Avoid freeze / thaw cycle|Stable for 12 months at -20°C

Supplementary information

This supplementary information is collated from multiple sources and compiled automatically.

Glyceraldehyde-3-phosphate dehydrogenase commonly known as GAPDH is an enzyme involved in glycolysis. Its molecular weight (MW) is approximately 36 kDa. The protein is expressed ubiquitously in almost all tissues reflecting its essential role in energy production. GAPDH catalyzes the sixth step of glycolysis converting glyceraldehyde-3-phosphate into 13-bisphosphoglycerate. Due to its stable expression researchers often use GAPDH as a loading control in western blot experiments.
Biological function summary

GAPDH serves important metabolic functions beyond its enzymatic role in glycolysis. It functions as part of a multi-enzyme complex within the cytoplasm which facilitates efficient substrate channeling during glycolysis. Additionally GAPDH has non-glycolytic roles including involvement in nuclear processes like RNA export and DNA repair. Its ubiquitous presence across different cellular compartments indicates its multiple functions beyond metabolic pathways.

Pathways

GAPDH integrates into significant cellular functions like the glycolytic pathway and apoptotic pathways. In glycolysis GAPDH collaborates with enzymes like phosphoglycerate kinase forming a cohesive link in the energy conversion chain. Its participation in apoptotic pathways highlights GAPDH's involvement in cellular death processes interacting with proteins like Bcl-2 to influence apoptosis progression. These roles reinforce its presence in central metabolic and regulatory pathways.

GAPDH has associations with neurodegenerative diseases and cancer. In neurodegenerative disorders such as Alzheimer's disease GAPDH's altered enzymatic activity is frequently observed influencing cellular energy homeostasis. Moreover overexpression or aberrant regulation of GAPDH relates to cancer cell proliferation and metastasis implicating proteins like p53 in these pathways. The diverse functions and interactions of GAPDH emphasize its importance in both normal cellular function and disease states.

Product protocols

For this product, it's our understanding that no specific protocols are required. You can visit:

Target data

Catalyzes the conversion of D-glyceraldehyde 3-phosphate (G3P) into 3-phospho-D-glyceroyl phosphate in glycolysis and the reverse reaction in gluconeogenesis (PubMed : 11724794, PubMed : 3170585). Also shows nitrosylase activity, thereby playing a role in nuclear functions (PubMed : 11724794, PubMed : 3170585). Modulates the organization and assembly of the cytoskeleton (By similarity). Facilitates the CHP1-dependent microtubule and membrane associations through its ability to stimulate the binding of CHP1 to microtubules (By similarity). Component of the GAIT (gamma interferon-activated inhibitor of translation) complex which mediates interferon-gamma-induced transcript-selective translation inhibition in inflammation processes (PubMed : 23071094). Upon interferon-gamma treatment assembles into the GAIT complex which binds to stem loop-containing GAIT elements in the 3'-UTR of diverse inflammatory mRNAs (such as ceruplasmin) and suppresses their translation (PubMed : 23071094). Also plays a role in innate immunity by promoting TNF-induced NF-kappa-B activation and type I interferon production, via interaction with TRAF2 and TRAF3, respectively (PubMed : 23332158, PubMed : 27387501). Participates in nuclear events including transcription, RNA transport, DNA replication and apoptosis (By similarity). Nuclear functions are probably due to the nitrosylase activity that mediates cysteine S-nitrosylation of nuclear target proteins such as SIRT1, HDAC2 and PRKDC (By similarity).
See full target information GAPDH

Publications (369)

Recent publications for all applications. Explore the full list and refine your search

Acta pharmaceutica Sinica. B 15:4751-4771 PubMed41049757

2025

as a super-enhancer-regulated gene drives T-ALL progression HIF1A deubiquitination.

Applications

Unspecified application

Species

Unspecified reactive species

Ling Xu,Zimu Zhang,Juanjuan Yu,Tongting Ji,Jia Cheng,Xiaodong Fei,Xinran Chu,Yanfang Tao,Yan Xu,Pengju Yang,Wenyuan Liu,Gen Li,Yongping Zhang,Yan Li,Fenli Zhang,Ying Yang,Bi Zhou,Yumeng Wu,Zhongling Wei,Yanling Chen,Jianwei Wang,Di Wu,Xiaolu Li,Yang Yang,Guanghui Qian,Hongli Yin,Shuiyan Wu,Shuqi Zhang,Dan Liu,Jun-Jie Fan,Lei Shi,Xiaodong Wang,Shaoyan Hu,Jun Lu,Jian Pan

Signal transduction and targeted therapy 10:275 PubMed40877230

2025

The deacetylases HDAC1/HDAC2 control JAK2-STAT signaling through the ubiquitin ligase SIAH2.

Applications

Unspecified application

Species

Unspecified reactive species

Al-Hassan M Mustafa,Giuseppe Petrosino,Marten A Fischer,Tina M Schnöder,Désirée Gül,Yanira Zeyn,Christoph Hieber,Johanna Lossa,Sabine Muth,Markus P Radsak,Walburgis Brenner,Markus Christmann,Matthias Bros,Florian H Heidel,Oliver H Krämer

RSC medicinal chemistry : PubMed40746443

2025

Investigation of the anticancer efficacy and impact on energy metabolism of dual-core gold(i) complex BGC2a.

Applications

Unspecified application

Species

Unspecified reactive species

Hai-Ling Gao,Wenwen Ding,Zhi-Xin Shen,Qingbin Cui

Nature 646:198-207 PubMed40739344

2025

Transient APC/C inactivation by mTOR boosts glycolysis during cell cycle entry.

Applications

Unspecified application

Species

Unspecified reactive species

Debasish Paul,Derek L Bolhuis,Hualong Yan,Sudipto Das,Xia Xu,Christina C Abbate,Lisa M M Jenkins,Michael J Emanuele,Thorkell Andresson,Jing Huang,John G Albeck,Nicholas G Brown,Steven D Cappell

Nature protocols : PubMed40715744

2025

Expansion of human hepatocytes and their application in three-dimensional culture and genetic manipulation.

Applications

Unspecified application

Species

Unspecified reactive species

Kun Zhang,Xiang Yuan,Shuang Lu,Yajing Shu,Chenhua Wang,Jin Cen,Baihua Wu,Lijian Hui

Nature communications 16:4877 PubMed40419525

2025

Provoking tumor disulfidptosis by single-atom nanozyme via regulating cellular energy supply and reducing power.

Applications

Unspecified application

Species

Unspecified reactive species

Wenxin Yu,Duo Jin,Yajie Zhang,Shenghu Wang,Jiaji Yu,Manman Liu,Yi Dai,Yichen Yin,Junjie Cheng,Yangzhong Liu

Chinese medicine 20:71 PubMed40420092

2025

Evodiamine induces ferroptosis in prostate cancer cells by inhibiting TRIM26-mediated stabilization of GPX4.

Applications

Unspecified application

Species

Unspecified reactive species

Lanlan Li,Jianzhong Lu,Shengjun Fu,Wenyan Li,Ying Wang,Ke Wang,Yan Tao,Shanhui Liu

Archiv der Pharmazie 358:e70009 PubMed40401699

2025

Design and Synthesis of O-Dialkylaminoalkyl Substituted Urolithin Derivatives: DNA Topoisomerase IIα Inhibition With Promising Antiproliferative Activity.

Applications

Unspecified application

Species

Unspecified reactive species

Xintong Li,Xiaochun Zhang,Chan Yin,Chunhua Lu,Yuemao Shen

Cell death discovery 11:249 PubMed40399258

2025

Gene therapy prevents onset of mitochondrial cardiomyopathy in neonatal mice with Ndufs6 deficiency.

Applications

Unspecified application

Species

Unspecified reactive species

Xiaoxian Zhang,Li Huang,Cheng Li,Jinjuan Yang,Fuyu Duan,Qiang Su,Yuelin Zhang,Meng Kou,Xiaoya Zhou,Liyan Guo,Shaoxiang Chen,Yongxia Niu,Ziyue Li,Sihua Ou,Min Zhang,Kenneth King-Yip Cheng,Jianlong Wu,Xiang Xu,Qizhou Lian

Journal of cellular and molecular medicine 29:e70579 PubMed40387631

2025

Effects of Different Doses of Glucosamine Hydrochloride on Cartilage Tissue and Levels of Joint Injury Markers in Knee Osteoarthritis.

Applications

Unspecified application

Species

Unspecified reactive species

Xichun Wang,Bin Hu,Yi Cheng,Wenjie Chen,Muzi Liu
View all publications

Product promise

We are committed to supporting your work with high-quality reagents, and we're here for you every step of the way. In the unlikely event that one of our products does not perform as expected, you're protected by our Product Promise.
For full details, please see our Terms & Conditions

Please note: All products are 'FOR RESEARCH USE ONLY. NOT FOR USE IN DIAGNOSTIC OR THERAPEUTIC PROCEDURES'.

For licensing inquiries, please contact partnerships@abcam.com