JavaScript is disabled in your browser. Please enable JavaScript to view this website.
AB157156

Anti-GAPDH antibody - Loading Control

1

(2 Reviews)

|

(17 Publications)

Goat Polyclonal GAPDH antibody. Suitable for WB, IHC-Fr and reacts with Human, Mouse samples. Cited in 17 publications. Immunogen corresponding to Synthetic Peptide within Human GAPDH aa 150-250.

View Alternative Names

GAPD, CDABP0047, OK/SW-cl.12, GAPDH, Glyceraldehyde-3-phosphate dehydrogenase, Peptidyl-cysteine S-nitrosylase GAPDH

2 Images
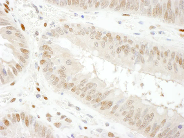
Immunohistochemistry (Frozen sections) - Anti-GAPDH antibody - Loading Control (AB157156)
  • IHC-Fr

Unknown

Immunohistochemistry (Frozen sections) - Anti-GAPDH antibody - Loading Control (AB157156)

Immunohistochemical analysis of frozen sections of human colon carcinoma tissue labelling GAPDH with ab157156 at 1/1000 (1μg/ml). Detection : DAB.

Western blot - Anti-GAPDH antibody - Loading Control (AB157156)
  • WB

Unknown

Western blot - Anti-GAPDH antibody - Loading Control (AB157156)

All lanes:

Western blot - Anti-GAPDH antibody - Loading Control (ab157156) at 1 µg/mL

Lane 1:

293T whole cell lysate at 50 µg

Lane 2:

293T whole cell lysate at 15 µg

Lane 3:

HeLa whole cell lysate at 50 µg

Lane 4:

Jurkat whole cell lysate at 50 µg

Lane 5:

NIH 3T3 whole cell lysate at 50 µg

Predicted band size: 36 kDa

true

Exposure time: 30s

Key facts

Host species

Goat

Clonality

Polyclonal

Isotype

IgG

Carrier free

No

Reacts with

Mouse, Human

Applications

IHC-Fr, WB

applications

Immunogen

Synthetic Peptide within Human GAPDH aa 150-250. The exact immunogen used to generate this antibody is proprietary information.

P04406

Reactivity data

{ "title": "Reactivity Data", "filters": { "stats": ["", "Species", "Dilution Info", "Notes"], "tabs": { "all-applications": {"fullname" : "All Applications", "shortname": "All Applications"}, "WB" : {"fullname" : "Western blot", "shortname":"WB"}, "IHCFr" : {"fullname" : "Immunohistochemistry (Frozen sections)", "shortname":"IHC-Fr"} }, "product-promise": { "all": "all", "testedAndGuaranteed": "tested", "guaranteed": "expected", "predicted": "predicted", "notRecommended": "not-recommended" } }, "values": { "Human": { "WB-species-checked": "testedAndGuaranteed", "WB-species-dilution-info": "1/500 - 1/2500", "WB-species-notes": "<p></p>", "IHCFr-species-checked": "testedAndGuaranteed", "IHCFr-species-dilution-info": "1/500 - 1/2000", "IHCFr-species-notes": "<p>Epitope retrieval with citrate buffer pH 6.0 is recommended for FFPE tissue sections.</p>" }, "Mouse": { "WB-species-checked": "testedAndGuaranteed", "WB-species-dilution-info": "1/500 - 1/2500", "WB-species-notes": "<p></p>", "IHCFr-species-checked": "guaranteed", "IHCFr-species-dilution-info": "", "IHCFr-species-notes": "" }, "Rat": { "WB-species-checked": "predicted", "WB-species-dilution-info": "", "WB-species-notes": "", "IHCFr-species-checked": "predicted", "IHCFr-species-dilution-info": "", "IHCFr-species-notes": "" }, "Caenorhabditis elegans": { "WB-species-checked": "predicted", "WB-species-dilution-info": "", "WB-species-notes": "", "IHCFr-species-checked": "predicted", "IHCFr-species-dilution-info": "", "IHCFr-species-notes": "" }, "Chicken": { "WB-species-checked": "predicted", "WB-species-dilution-info": "", "WB-species-notes": "", "IHCFr-species-checked": "predicted", "IHCFr-species-dilution-info": "", "IHCFr-species-notes": "" }, "Cow": { "WB-species-checked": "predicted", "WB-species-dilution-info": "", "WB-species-notes": "", "IHCFr-species-checked": "predicted", "IHCFr-species-dilution-info": "", "IHCFr-species-notes": "" }, "Drosophila melanogaster": { "WB-species-checked": "predicted", "WB-species-dilution-info": "", "WB-species-notes": "", "IHCFr-species-checked": "predicted", "IHCFr-species-dilution-info": "", "IHCFr-species-notes": "" }, "Guinea pig": { "WB-species-checked": "predicted", "WB-species-dilution-info": "", "WB-species-notes": "", "IHCFr-species-checked": "predicted", "IHCFr-species-dilution-info": "", "IHCFr-species-notes": "" }, "Orangutan": { "WB-species-checked": "predicted", "WB-species-dilution-info": "", "WB-species-notes": "", "IHCFr-species-checked": "predicted", "IHCFr-species-dilution-info": "", "IHCFr-species-notes": "" }, "Pig": { "WB-species-checked": "predicted", "WB-species-dilution-info": "", "WB-species-notes": "", "IHCFr-species-checked": "predicted", "IHCFr-species-dilution-info": "", "IHCFr-species-notes": "" }, "Rabbit": { "WB-species-checked": "predicted", "WB-species-dilution-info": "", "WB-species-notes": "", "IHCFr-species-checked": "predicted", "IHCFr-species-dilution-info": "", "IHCFr-species-notes": "" }, "Sheep": { "WB-species-checked": "predicted", "WB-species-dilution-info": "", "WB-species-notes": "", "IHCFr-species-checked": "predicted", "IHCFr-species-dilution-info": "", "IHCFr-species-notes": "" }, "Turkey": { "WB-species-checked": "predicted", "WB-species-dilution-info": "", "WB-species-notes": "", "IHCFr-species-checked": "predicted", "IHCFr-species-dilution-info": "", "IHCFr-species-notes": "" }, "Xenopus laevis": { "WB-species-checked": "predicted", "WB-species-dilution-info": "", "WB-species-notes": "", "IHCFr-species-checked": "predicted", "IHCFr-species-dilution-info": "", "IHCFr-species-notes": "" }, "Xenopus tropicalis": { "WB-species-checked": "predicted", "WB-species-dilution-info": "", "WB-species-notes": "", "IHCFr-species-checked": "predicted", "IHCFr-species-dilution-info": "", "IHCFr-species-notes": "" }, "Zebrafish": { "WB-species-checked": "predicted", "WB-species-dilution-info": "", "WB-species-notes": "", "IHCFr-species-checked": "predicted", "IHCFr-species-dilution-info": "", "IHCFr-species-notes": "" } } }

Properties and storage information

Form
Liquid
Purification technique
Affinity purification Immunogen
Purification notes
ab157156 was affinity purified using an epitope specific to GAPDH immobilized on solid support.
Storage buffer
pH: 7 - 8 Preservative: 0.09% Sodium azide Constituents: 99% Tris citrate/phosphate
Shipped at conditions
Blue Ice
Appropriate short-term storage conditions
+4°C
Appropriate long-term storage conditions
+4°C

Supplementary information

This supplementary information is collated from multiple sources and compiled automatically.

Glyceraldehyde-3-phosphate dehydrogenase commonly known as GAPDH is an enzyme involved in glycolysis. Its molecular weight (MW) is approximately 36 kDa. The protein is expressed ubiquitously in almost all tissues reflecting its essential role in energy production. GAPDH catalyzes the sixth step of glycolysis converting glyceraldehyde-3-phosphate into 13-bisphosphoglycerate. Due to its stable expression researchers often use GAPDH as a loading control in western blot experiments.
Biological function summary

GAPDH serves important metabolic functions beyond its enzymatic role in glycolysis. It functions as part of a multi-enzyme complex within the cytoplasm which facilitates efficient substrate channeling during glycolysis. Additionally GAPDH has non-glycolytic roles including involvement in nuclear processes like RNA export and DNA repair. Its ubiquitous presence across different cellular compartments indicates its multiple functions beyond metabolic pathways.

Pathways

GAPDH integrates into significant cellular functions like the glycolytic pathway and apoptotic pathways. In glycolysis GAPDH collaborates with enzymes like phosphoglycerate kinase forming a cohesive link in the energy conversion chain. Its participation in apoptotic pathways highlights GAPDH's involvement in cellular death processes interacting with proteins like Bcl-2 to influence apoptosis progression. These roles reinforce its presence in central metabolic and regulatory pathways.

GAPDH has associations with neurodegenerative diseases and cancer. In neurodegenerative disorders such as Alzheimer's disease GAPDH’s altered enzymatic activity is frequently observed influencing cellular energy homeostasis. Moreover overexpression or aberrant regulation of GAPDH relates to cancer cell proliferation and metastasis implicating proteins like p53 in these pathways. The diverse functions and interactions of GAPDH emphasize its importance in both normal cellular function and disease states.

Product protocols

For this product, it's our understanding that no specific protocols are required. You can visit:

Target data

Has both glyceraldehyde-3-phosphate dehydrogenase and nitrosylase activities, thereby playing a role in glycolysis and nuclear functions, respectively (PubMed : 11724794, PubMed : 3170585). Glyceraldehyde-3-phosphate dehydrogenase is a key enzyme in glycolysis that catalyzes the first step of the pathway by converting D-glyceraldehyde 3-phosphate (G3P) into 3-phospho-D-glyceroyl phosphate (PubMed : 11724794, PubMed : 3170585). Modulates the organization and assembly of the cytoskeleton (By similarity). Facilitates the CHP1-dependent microtubule and membrane associations through its ability to stimulate the binding of CHP1 to microtubules (By similarity). Component of the GAIT (gamma interferon-activated inhibitor of translation) complex which mediates interferon-gamma-induced transcript-selective translation inhibition in inflammation processes (PubMed : 23071094). Upon interferon-gamma treatment assembles into the GAIT complex which binds to stem loop-containing GAIT elements in the 3'-UTR of diverse inflammatory mRNAs (such as ceruplasmin) and suppresses their translation (PubMed : 23071094). Also plays a role in innate immunity by promoting TNF-induced NF-kappa-B activation and type I interferon production, via interaction with TRAF2 and TRAF3, respectively (PubMed : 23332158, PubMed : 27387501). Participates in nuclear events including transcription, RNA transport, DNA replication and apoptosis (By similarity). Nuclear functions are probably due to the nitrosylase activity that mediates cysteine S-nitrosylation of nuclear target proteins such as SIRT1, HDAC2 and PRKDC (By similarity).
See full target information GAPDH

Publications (17)

Recent publications for all applications. Explore the full list and refine your search

Insects 16: PubMed40332800

2025

Chitin Deacetylase Gene Family Positively Regulates the Accumulation of Rice Stripe Virus in Fallén (Hemiptera: Delphacidae) Ovaries.

Applications

Unspecified application

Species

Unspecified reactive species

Wenxing Hu,Ao You,Jiao Zhang,Yao Li,Shimin Zuo,Fang Liu,Lu Zhang

Discover oncology 16:523 PubMed40221570

2025

Fulvic acid exhibits antitumor effects in ovarian cancer cells by upregulating cytochrome P450 family 1 subfamily A member 1 expression.

Applications

Unspecified application

Species

Unspecified reactive species

Min Chen,Ming Cheng,Chenchen Shao,Wenwen Liang,Yi Tang,Fangjun Ding

International journal of molecular sciences 25: PubMed39595946

2024

Linking Antibodies Against Apolipoprotein A-1 to Metabolic Dysfunction-Associated Steatohepatitis in Mice.

Applications

Unspecified application

Species

Unspecified reactive species

Sabrina Pagano,Emmanuel Somm,Catherine Juillard,Nicolas Liaudet,Frédérique Ino,Johan Ferrari,Vincent Braunersreuther,François R Jornayvaz,Nicolas Vuilleumier

PLoS pathogens 20:e1012112 PubMed38507423

2024

Polyubiquitylated rice stripe virus NS3 translocates to the nucleus to promote cytosolic virus replication via miRNA-induced fibrillin 2 upregulation.

Applications

Unspecified application

Species

Unspecified reactive species

Lu Zhang,Yao Li,Jens H Kuhn,Kun Zhang,Qisheng Song,Fang Liu

Proceedings of the National Academy of Sciences of the United States of America 120:e2216887120 PubMed36920921

2023

Fragile X mental retardation protein coordinates neuron-to-glia communication for clearance of developmentally transient brain neurons.

Applications

Unspecified application

Species

Unspecified reactive species

Chunzhu Song,Kendal Broadie

Viruses 14: PubMed36298853

2022

Investigation of the Association between the Energy Metabolism of the Insect Vector and Rice Stripe Virus (RSV).

Applications

Unspecified application

Species

Unspecified reactive species

Lu Zhang,Xinyi Li,Yan Chen,Lin Kang,Jiao Zhang,Yao Li,Fang Liu

Reproduction in domestic animals = Zuchthygiene 57 Suppl 5:78-81 PubMed35467055

2022

Changes in aquaporins mRNA expression and liquid storage at 17°C: A potential biomarker of boar sperm quality?

Applications

Unspecified application

Species

Unspecified reactive species

Marina Castany Quintana,Jaume Gardela,Mateo Ruiz-Conca,Manel López-Béjar,Cristina A Martinez,Heriberto Rodríguez-Martinez,Manuel Álvarez-Rodríguez

Frontiers in molecular neuroscience 14:747855 PubMed34776864

2021

Molecular Changes in Prader-Willi Syndrome Neurons Reveals Clues About Increased Autism Susceptibility.

Applications

Unspecified application

Species

Unspecified reactive species

A Kaitlyn Victor,Martin Donaldson,Daniel Johnson,Winston Miller,Lawrence T Reiter

eNeuro 8: PubMed34479980

2021

Beneficial Effects of Transplanted Human Bone Marrow Endothelial Progenitors on Functional and Cellular Components of Blood-Spinal Cord Barrier in ALS Mice.

Applications

Unspecified application

Species

Unspecified reactive species

Svitlana Garbuzova-Davis,Kayla J Boccio,Alexander Llauget,Robert Shell,Surafuale Hailu,Hilmi Mustafa,Jared Ehrhart,Paul R Sanberg,Stanley H Appel,Cesario V Borlongan

Technology in cancer research & treatment 20:1533033821990040 PubMed33511909

2021

Circ_0003998 Regulates the Progression and Docetaxel Sensitivity of DTX-Resistant Non-Small Cell Lung Cancer Cells by the miR-136-5p/CORO1C Axis.

Applications

Unspecified application

Species

Unspecified reactive species

Wei Zhang,Chao Song,Xiaona Ren
View all publications

Product promise

We are committed to supporting your work with high-quality reagents, and we're here for you every step of the way. In the unlikely event that one of our products does not perform as expected, you're protected by our Product Promise.
For full details, please see our Terms & Conditions

Please note: All products are 'FOR RESEARCH USE ONLY. NOT FOR USE IN DIAGNOSTIC OR THERAPEUTIC PROCEDURES'.

For licensing inquiries, please contact partnerships@abcam.com