JavaScript is disabled in your browser. Please enable JavaScript to view this website.
AB245355

Anti-GAPDH antibody - Loading Control

Be the first to review this product! Submit a review

|

(43 Publications)

Rabbit Polyclonal GAPDH antibody. Suitable for IHC-P, WB and reacts with Mouse, Human samples. Cited in 43 publications. Immunogen corresponding to Synthetic Peptide within Human GAPDH aa 150-200.

View Alternative Names

GAPD, CDABP0047, OK/SW-cl.12, GAPDH, Glyceraldehyde-3-phosphate dehydrogenase, Peptidyl-cysteine S-nitrosylase GAPDH

3 Images
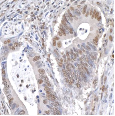
Immunohistochemistry (Formalin/PFA-fixed paraffin-embedded sections) - Anti-GAPDH antibody - Loading Control (AB245355)
  • IHC-P

Supplier Data

Immunohistochemistry (Formalin/PFA-fixed paraffin-embedded sections) - Anti-GAPDH antibody - Loading Control (AB245355)

Formalin-fixed, paraffin-embedded human colon carcinoma tissue stained for GAPDH using ab245355 at 1/1000 dilution in immunohistochemical analysis.

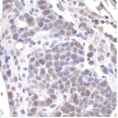
Immunohistochemistry (Formalin/PFA-fixed paraffin-embedded sections) - Anti-GAPDH antibody - Loading Control (AB245355)
  • IHC-P

Supplier Data

Immunohistochemistry (Formalin/PFA-fixed paraffin-embedded sections) - Anti-GAPDH antibody - Loading Control (AB245355)

Formalin-fixed, paraffin-embedded mouse plasmacytoma tissue stained for GAPDH using ab245355 at 1/1000 dilution in immunohistochemical analysis.

Western blot - Anti-GAPDH antibody - Loading Control (AB245355)
  • WB

Supplier Data

Western blot - Anti-GAPDH antibody - Loading Control (AB245355)

Detection : chemiluminescence

All lanes:

Western blot - Anti-GAPDH antibody - Loading Control (ab245355)

Lane 1:

HeLa (Human epithelial cell line from cervix adenocarcinoma) whole cell lysate at 50 µg

Lane 2:

HEK-293 (Human epithelial cell line from embryonic kidney) whole cell lysate at 50 µg

Lane 3:

Jurkat (Human T cell leukemia cell line from peripheral blood) whole cell lysate at 50 µg

Lane 4:

TCMK-1 (Mouse kidney epithelial cell line) whole cell lysate at 50 µg

Lane 5:

NIH/3T3 (Mouse embryonic fibroblast cell line) whole cell lysate at 50 µg

Predicted band size: 36 kDa

false

Exposure time: 10s

Key facts

Host species

Rabbit

Clonality

Polyclonal

Isotype

IgG

Carrier free

No

Reacts with

Human, Mouse

Applications

WB, IHC-P

applications

Immunogen

Synthetic Peptide within Human GAPDH aa 150-200. The exact immunogen used to generate this antibody is proprietary information.

P04406

Reactivity data

{ "title": "Reactivity Data", "filters": { "stats": ["", "Species", "Dilution Info", "Notes"], "tabs": { "all-applications": {"fullname" : "All Applications", "shortname": "All Applications"}, "IHCP" : {"fullname" : "Immunohistochemistry (Formalin/PFA-fixed paraffin-embedded sections)", "shortname":"IHC-P"}, "WB" : {"fullname" : "Western blot", "shortname":"WB"} }, "product-promise": { "all": "all", "testedAndGuaranteed": "tested", "guaranteed": "expected", "predicted": "predicted", "notRecommended": "not-recommended" } }, "values": { "Human": { "IHCP-species-checked": "testedAndGuaranteed", "IHCP-species-dilution-info": "1/100 - 1/500", "IHCP-species-notes": "<p></p> Perform heat-mediated antigen retrieval with citrate buffer pH 6 before commencing with IHC staining protocol.", "WB-species-checked": "testedAndGuaranteed", "WB-species-dilution-info": "1/2000 - 1/10000", "WB-species-notes": "<p></p>" }, "Mouse": { "IHCP-species-checked": "testedAndGuaranteed", "IHCP-species-dilution-info": "1/100 - 1/500", "IHCP-species-notes": "<p></p> Perform heat-mediated antigen retrieval with citrate buffer pH 6 before commencing with IHC staining protocol.", "WB-species-checked": "guaranteed", "WB-species-dilution-info": "", "WB-species-notes": "" }, "Rat": { "IHCP-species-checked": "predicted", "IHCP-species-dilution-info": "", "IHCP-species-notes": "", "WB-species-checked": "predicted", "WB-species-dilution-info": "", "WB-species-notes": "" }, "Cat": { "IHCP-species-checked": "predicted", "IHCP-species-dilution-info": "", "IHCP-species-notes": "", "WB-species-checked": "predicted", "WB-species-dilution-info": "", "WB-species-notes": "" }, "Chicken": { "IHCP-species-checked": "predicted", "IHCP-species-dilution-info": "", "IHCP-species-notes": "", "WB-species-checked": "predicted", "WB-species-dilution-info": "", "WB-species-notes": "" }, "Cow": { "IHCP-species-checked": "predicted", "IHCP-species-dilution-info": "", "IHCP-species-notes": "", "WB-species-checked": "predicted", "WB-species-dilution-info": "", "WB-species-notes": "" }, "Guinea pig": { "IHCP-species-checked": "predicted", "IHCP-species-dilution-info": "", "IHCP-species-notes": "", "WB-species-checked": "predicted", "WB-species-dilution-info": "", "WB-species-notes": "" }, "Hamster": { "IHCP-species-checked": "predicted", "IHCP-species-dilution-info": "", "IHCP-species-notes": "", "WB-species-checked": "predicted", "WB-species-dilution-info": "", "WB-species-notes": "" }, "Orangutan": { "IHCP-species-checked": "predicted", "IHCP-species-dilution-info": "", "IHCP-species-notes": "", "WB-species-checked": "predicted", "WB-species-dilution-info": "", "WB-species-notes": "" }, "Pig": { "IHCP-species-checked": "predicted", "IHCP-species-dilution-info": "", "IHCP-species-notes": "", "WB-species-checked": "predicted", "WB-species-dilution-info": "", "WB-species-notes": "" }, "Rabbit": { "IHCP-species-checked": "predicted", "IHCP-species-dilution-info": "", "IHCP-species-notes": "", "WB-species-checked": "predicted", "WB-species-dilution-info": "", "WB-species-notes": "" }, "Sheep": { "IHCP-species-checked": "predicted", "IHCP-species-dilution-info": "", "IHCP-species-notes": "", "WB-species-checked": "predicted", "WB-species-dilution-info": "", "WB-species-notes": "" }, "Zebrafish": { "IHCP-species-checked": "predicted", "IHCP-species-dilution-info": "", "IHCP-species-notes": "", "WB-species-checked": "predicted", "WB-species-dilution-info": "", "WB-species-notes": "" } } }

Properties and storage information

Form
Liquid
Purification technique
Affinity purification Immunogen
Purification notes
ab245355 was affinity purified using an epitope specific to GAPDH immobilized on solid support.
Storage buffer
pH: 6.8 - 7.4 Preservative: 0.09% Sodium azide Constituents: Tris buffered saline, 0.1% BSA
Shipped at conditions
Blue Ice
Appropriate short-term storage duration
1-2 weeks
Appropriate short-term storage conditions
+4°C
Appropriate long-term storage conditions
+4°C
Aliquoting information
Upon delivery aliquot
Storage information
Avoid freeze / thaw cycle

Supplementary information

This supplementary information is collated from multiple sources and compiled automatically.

Glyceraldehyde-3-phosphate dehydrogenase commonly known as GAPDH is an enzyme involved in glycolysis. Its molecular weight (MW) is approximately 36 kDa. The protein is expressed ubiquitously in almost all tissues reflecting its essential role in energy production. GAPDH catalyzes the sixth step of glycolysis converting glyceraldehyde-3-phosphate into 13-bisphosphoglycerate. Due to its stable expression researchers often use GAPDH as a loading control in western blot experiments.
Biological function summary

GAPDH serves important metabolic functions beyond its enzymatic role in glycolysis. It functions as part of a multi-enzyme complex within the cytoplasm which facilitates efficient substrate channeling during glycolysis. Additionally GAPDH has non-glycolytic roles including involvement in nuclear processes like RNA export and DNA repair. Its ubiquitous presence across different cellular compartments indicates its multiple functions beyond metabolic pathways.

Pathways

GAPDH integrates into significant cellular functions like the glycolytic pathway and apoptotic pathways. In glycolysis GAPDH collaborates with enzymes like phosphoglycerate kinase forming a cohesive link in the energy conversion chain. Its participation in apoptotic pathways highlights GAPDH's involvement in cellular death processes interacting with proteins like Bcl-2 to influence apoptosis progression. These roles reinforce its presence in central metabolic and regulatory pathways.

GAPDH has associations with neurodegenerative diseases and cancer. In neurodegenerative disorders such as Alzheimer's disease GAPDH’s altered enzymatic activity is frequently observed influencing cellular energy homeostasis. Moreover overexpression or aberrant regulation of GAPDH relates to cancer cell proliferation and metastasis implicating proteins like p53 in these pathways. The diverse functions and interactions of GAPDH emphasize its importance in both normal cellular function and disease states.

Product protocols

For this product, it's our understanding that no specific protocols are required. You can visit:

Target data

Has both glyceraldehyde-3-phosphate dehydrogenase and nitrosylase activities, thereby playing a role in glycolysis and nuclear functions, respectively (PubMed : 11724794, PubMed : 3170585). Glyceraldehyde-3-phosphate dehydrogenase is a key enzyme in glycolysis that catalyzes the first step of the pathway by converting D-glyceraldehyde 3-phosphate (G3P) into 3-phospho-D-glyceroyl phosphate (PubMed : 11724794, PubMed : 3170585). Modulates the organization and assembly of the cytoskeleton (By similarity). Facilitates the CHP1-dependent microtubule and membrane associations through its ability to stimulate the binding of CHP1 to microtubules (By similarity). Component of the GAIT (gamma interferon-activated inhibitor of translation) complex which mediates interferon-gamma-induced transcript-selective translation inhibition in inflammation processes (PubMed : 23071094). Upon interferon-gamma treatment assembles into the GAIT complex which binds to stem loop-containing GAIT elements in the 3'-UTR of diverse inflammatory mRNAs (such as ceruplasmin) and suppresses their translation (PubMed : 23071094). Also plays a role in innate immunity by promoting TNF-induced NF-kappa-B activation and type I interferon production, via interaction with TRAF2 and TRAF3, respectively (PubMed : 23332158, PubMed : 27387501). Participates in nuclear events including transcription, RNA transport, DNA replication and apoptosis (By similarity). Nuclear functions are probably due to the nitrosylase activity that mediates cysteine S-nitrosylation of nuclear target proteins such as SIRT1, HDAC2 and PRKDC (By similarity).
See full target information GAPDH

Publications (43)

Recent publications for all applications. Explore the full list and refine your search

World journal of gastrointestinal oncology 17:110527 PubMed40977645

2025

Transcription factor 3 enhances hepatocellular carcinoma metastasis by upregulating matrix metalloproteinase-11.

Applications

Unspecified application

Species

Unspecified reactive species

Hong-Peng Tian,Tian-Hao Wu,Guang-Jun Zhang,Sheng-Jie Li

Cellular & molecular biology letters 30:102 PubMed40877798

2025

Growth differentiation factor 11 attenuates sepsis-associated acute kidney injury by reducing inflammation and coagulation via PGC-1α/Nrf2 activation.

Applications

Unspecified application

Species

Unspecified reactive species

Hong-Wei Wang,Min-Min Wu,Mian-Mian Zhu,Yu-Ying Qin,Ke-Qi Wang,Chen-Yu Wu,Rong-Rong Zhang,Yin Wang,Chen Zhou,Shuang Luo,Chao-Sheng Lu,Jing-Ye Pan

Journal of experimental & clinical cancer research : CR 44:188 PubMed40611320

2025

Extracellular vesicle-mediated transmission of circPDLIM5 promotes lymphatic metastasis in prostate cancer.

Applications

Unspecified application

Species

Unspecified reactive species

Tao He,Wen Tao,Jie Zhang,Tao-Lin Xia,Bin Xu,Liao-Yuan Li

Cells 14: PubMed40422230

2025

Taurine Prevents Impairments in Skin Barrier Function and Dermal Collagen Synthesis Triggered by Sleep Deprivation-Induced Estrogen Circadian Rhythm Disruption.

Applications

Unspecified application

Species

Unspecified reactive species

Qi Shao,Zhaoyang Wang,Yifang Li,Xun Tang,Ziyi Li,Huan Xia,Qihong Wu,Ruxue Chang,Chunna Wu,Tao Meng,Yufei Fan,Yadong Huang,Yan Yang

Iranian journal of basic medical sciences 28:240-246 PubMed39906622

2025

COTI-2 suppresses the malignancy of bladder cancer by inducing apoptosis via the AMPK-mTOR signaling pathway.

Applications

Unspecified application

Species

Unspecified reactive species

Yuancai Zheng,Keqi Wang,Chenyu Wu,Yuying Qin,Yihan Sun,Xinyu Lu,Yupeng Xu,Gonghui Li

American journal of translational research 16:4320-4342 PubMed39398618

2024

Identification of molecular targets and underlying mechanisms of Fuzheng Shengbai Decoction against colon cancer based on network pharmacology.

Applications

Unspecified application

Species

Unspecified reactive species

Yu Wang,Shuiming Wang,Min Li,Qijia Zhang,Mingzhi Fang,Qin Zheng

Heliyon 10:e37169 PubMed39309801

2024

Asiaticoside inhibits breast cancer progression and tumor angiogenesis via YAP1/VEGFA signal pathway.

Applications

Unspecified application

Species

Unspecified reactive species

Mengmeng Guo,Yu Ying,Yun Chen,Xian Miao,Zhenghong Yu

Scientific reports 14:21827 PubMed39294234

2024

Zinc finger protein 263 promotes colorectal cancer cell progression by activating STAT3 and enhancing chemoradiotherapy resistance.

Applications

Unspecified application

Species

Unspecified reactive species

Yadan Du,Yawen Chen,Zaihua Yan,Jian Yang,Mingxu Da

Cureus 16:e65721 PubMed39211643

2024

Melittin Alleviates Oxidative Stress Injury in Schwann Cells by Targeting Interleukin-1 Receptor Type 1 to Downregulate Nuclear Factor Kappa B-Mediated Inflammatory Response In Vitro.

Applications

Unspecified application

Species

Unspecified reactive species

Ye-Ran Mao,Ling-Yi Zhu,Ruo-Fei Du,Xiao-Yu Liu,Zhidan Liu,Li Li

Oncology research 32:1359-1368 PubMed39055888

2024

Analysis of the role of dihydromyricetin derived from vine tea () on multiple myeloma by activating STAT1/RIG-I axis.

Applications

Unspecified application

Species

Unspecified reactive species

Wei Jiang,Mei Zhou
View all publications

Product promise

We are committed to supporting your work with high-quality reagents, and we're here for you every step of the way. In the unlikely event that one of our products does not perform as expected, you're protected by our Product Promise.
For full details, please see our Terms & Conditions

Please note: All products are 'FOR RESEARCH USE ONLY. NOT FOR USE IN DIAGNOSTIC OR THERAPEUTIC PROCEDURES'.

For licensing inquiries, please contact partnerships@abcam.com