JavaScript is disabled in your browser. Please enable JavaScript to view this website.
AB182570

Anti-GARNL1 antibody [EPR13592-38]

Be the first to review this product! Submit a review

|

(2 Publications)

Rabbit Recombinant Monoclonal GARNL1 antibody. Suitable for WB, ICC/IF, IHC-P and reacts with Human samples. Cited in 2 publications.

View Alternative Names

GARNL1, KIAA0884, TULIP1, RALGAPA1, Ral GTPase-activating protein subunit alpha-1, GAP-related-interacting partner to E12, GTPase-activating Rap/Ran-GAP domain-like 1, Tuberin-like protein 1, p240, GRIPE

4 Images
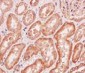
Immunohistochemistry (Formalin/PFA-fixed paraffin-embedded sections) - Anti-GARNL1 antibody [EPR13592-38] (AB182570)
  • IHC-P

Supplier Data

Immunohistochemistry (Formalin/PFA-fixed paraffin-embedded sections) - Anti-GARNL1 antibody [EPR13592-38] (AB182570)

Immunohistochemical analysis of paraffin-embedded Human kidney tissue labeling GARNL1 using ab182570 at 1/100 dilution. A Ready to use HRP Polymer for Rabbit IgG was used as a secondary. Counterstain : Hematoxylin.

Perform heat mediated antigen retrieval with EDTA buffer pH 9 before commencing with IHC staining protocol.

Immunocytochemistry/ Immunofluorescence - Anti-GARNL1 antibody [EPR13592-38] (AB182570)
  • ICC/IF

Supplier Data

Immunocytochemistry/ Immunofluorescence - Anti-GARNL1 antibody [EPR13592-38] (AB182570)

Immunofluorescence analysis of HeLa cells labeling GARNL1 using ab182570 at 1/100 dilution. A Goat anti rabbit IgG (Alexa Fluor555) at 1/200 dilution was used as secondary antibody. Cells were fixed with -20°C Acetone. Counterstain : DAPI.

Western blot - Anti-GARNL1 antibody [EPR13592-38] (AB182570)
  • WB

Supplier Data

Western blot - Anti-GARNL1 antibody [EPR13592-38] (AB182570)

All lanes:

Western blot - Anti-GARNL1 antibody [EPR13592-38] (ab182570) at 1/100000 dilution

All lanes:

HeLa cell lysate at 1/10 dilution

Secondary

All lanes:

Goat Anti-Rabbit IgG, (H+L), Peroxidase conjugated at 1/1000 dilution

Predicted band size: 230 kDa

false

Western blot - Anti-GARNL1 antibody [EPR13592-38] (AB182570)
  • WB

Supplier Data

Western blot - Anti-GARNL1 antibody [EPR13592-38] (AB182570)

All lanes:

Western blot - Anti-GARNL1 antibody [EPR13592-38] (ab182570) at 1/100000 dilution

All lanes:

293 cell lysate at 20 µg

Secondary

All lanes:

Goat Anti-Rabbit IgG, (H+L), Peroxidase conjugated at 1/1000 dilution

Predicted band size: 230 kDa

false

  • Carrier free

    Anti-GARNL1 antibody [EPR13592-38] - BSA and Azide free

Key facts

Host species

Rabbit

Clonality

Monoclonal

Clone number

EPR13592-38

Isotype

IgG

Carrier free

No

Reacts with

Human

Applications

WB, ICC/IF, IHC-P

applications

Immunogen

The exact immunogen used to generate this antibody is proprietary information.

Reactivity data

{ "title": "Reactivity Data", "filters": { "stats": ["", "Species", "Dilution Info", "Notes"], "tabs": { "all-applications": {"fullname" : "All Applications", "shortname": "All Applications"}, "WB" : {"fullname" : "Western blot", "shortname":"WB"}, "ICCIF" : {"fullname" : "Immunocytochemistry/ Immunofluorescence", "shortname":"ICC/IF"}, "IHCP" : {"fullname" : "Immunohistochemistry (Formalin/PFA-fixed paraffin-embedded sections)", "shortname":"IHC-P"} }, "product-promise": { "all": "all", "testedAndGuaranteed": "tested", "guaranteed": "expected", "predicted": "predicted", "notRecommended": "not-recommended" } }, "values": { "Human": { "WB-species-checked": "testedAndGuaranteed", "WB-species-dilution-info": "1/10000 - 1/100000", "WB-species-notes": "<p></p>", "ICCIF-species-checked": "testedAndGuaranteed", "ICCIF-species-dilution-info": "1/100", "ICCIF-species-notes": "<p></p>", "IHCP-species-checked": "testedAndGuaranteed", "IHCP-species-dilution-info": "1/50 - 1/100", "IHCP-species-notes": "<p></p>" }, "Mouse": { "WB-species-checked": "predicted", "WB-species-dilution-info": "", "WB-species-notes": "", "ICCIF-species-checked": "predicted", "ICCIF-species-dilution-info": "", "ICCIF-species-notes": "", "IHCP-species-checked": "predicted", "IHCP-species-dilution-info": "", "IHCP-species-notes": "" }, "Rat": { "WB-species-checked": "predicted", "WB-species-dilution-info": "", "WB-species-notes": "", "ICCIF-species-checked": "predicted", "ICCIF-species-dilution-info": "", "ICCIF-species-notes": "", "IHCP-species-checked": "predicted", "IHCP-species-dilution-info": "", "IHCP-species-notes": "" } } }

Product details

Patented technology
Our RabMAb® technology is a patented hybridoma-based technology for making rabbit monoclonal antibodies. For details on our patents, please refer to RabMAb® patents.

What are the advantages of a recombinant monoclonal antibody?
This product is a recombinant monoclonal antibody, which offers several advantages including:

  • - High batch-to-batch consistency and reproducibility
  • - Improved sensitivity and specificity
  • - Long-term security of supply
  • - Animal-free batch production

For more information, read more on recombinant antibodies.

Properties and storage information

Form
Liquid
Purification technique
Affinity purification Protein A
Storage buffer
pH: 7.2 Preservative: 0.01% Sodium azide Constituents: PBS, 40% Glycerol (glycerin, glycerine), 0.05% BSA
Shipped at conditions
Blue Ice
Appropriate short-term storage duration
1-2 weeks
Appropriate short-term storage conditions
+4°C
Appropriate long-term storage conditions
-20°C
Aliquoting information
Upon delivery aliquot
Storage information
Avoid freeze / thaw cycle

Supplementary information

This supplementary information is collated from multiple sources and compiled automatically.

GARNL1 also called Rap1-GTPase activating protein 4 functions mechanically as a guanine nucleotide exchange factor (GEF). It specifically activates Rap1 a small GTPase part of the Ras family by facilitating the exchange of GDP for GTP. GARNL1 has a molecular weight of approximately 184 kDa. It is expressed in various tissues including the brain and hematopoietic cells indicating its diverse functional roles across different biological systems.
Biological function summary

The ability of GARNL1 to modify Rap1 activity influences numerous cellular functions such as cell adhesion growth and differentiation. GARNL1 does its work not as an isolated player but as part of complexes that can include other signaling molecules and scaffolding proteins. By interacting with these complexes GARNL1 contributes to the regulatory mechanisms that maintain cellular homeostasis and responsiveness to extracellular signals.

Pathways

GARNL1 facilitates signal transduction within pathways like the MAPK/ERK and integrin signaling pathways. Through these pathways GARNL1 works alongside proteins like RAF kinases and integrins contributing to processes like cell migration and proliferation. The interaction with related proteins in these pathways underlines its significance in transmitting signals from the cell membrane to the nucleus influencing gene expression and cell fate decisions.

Mutations or dysregulation of GARNL1 are linked to certain cancers and neurological disorders. In oncogenesis it relates to alterations in cell adhesion and migration potentially collaborating with proteins such as BRAF in promoting tumourigenesis. Regarding neurological conditions abnormalities in GARNL1 function can affect neural connectivity and signaling highlighting its connection to Rap1-related synaptic modulation and signaling in neurons.

Product protocols

For this product, it's our understanding that no specific protocols are required. You can visit:

Target data

Catalytic subunit of the heterodimeric RalGAP1 complex which acts as a GTPase activator for the Ras-like small GTPases RALA and RALB.
See full target information RALGAPA1

Publications (2)

Recent publications for all applications. Explore the full list and refine your search

Cell reports 37:109899 PubMed34706226

2021

Subtractive CRISPR screen identifies the ATG16L1/vacuolar ATPase axis as required for non-canonical LC3 lipidation.

Applications

Unspecified application

Species

Unspecified reactive species

Rachel Ulferts,Elena Marcassa,Lewis Timimi,Liam Changwoo Lee,Andrew Daley,Beatriz Montaner,Suzanne Dawn Turner,Oliver Florey,John Kenneth Baillie,Rupert Beale

Journal of translational medicine 19:237 PubMed34078403

2021

Interleukin-24 regulates mucosal remodeling in inflammatory bowel diseases.

Applications

Unspecified application

Species

Unspecified reactive species

Anna Ónody,Apor Veres-Székely,Domonkos Pap,Réka Rokonay,Beáta Szebeni,Erna Sziksz,Franz Oswald,Gábor Veres,Áron Cseh,Attila J Szabó,Ádám Vannay
View all publications

Product promise

We are committed to supporting your work with high-quality reagents, and we're here for you every step of the way. In the unlikely event that one of our products does not perform as expected, you're protected by our Product Promise.
For full details, please see our Terms & Conditions

Please note: All products are 'FOR RESEARCH USE ONLY. NOT FOR USE IN DIAGNOSTIC OR THERAPEUTIC PROCEDURES'.

For licensing inquiries, please contact partnerships@abcam.com