JavaScript is disabled in your browser. Please enable JavaScript to view this website.
AB250623

Anti-GARNL1 antibody [EPR13592-38] - BSA and Azide free

Be the first to review this product! Submit a review

|

(0 Publication)

Rabbit Recombinant Monoclonal GARNL1 antibody. Carrier free. Suitable for ICC/IF, WB, IHC-P and reacts with Human samples.

View Alternative Names

GARNL1, KIAA0884, TULIP1, RALGAPA1, Ral GTPase-activating protein subunit alpha-1, GAP-related-interacting partner to E12, GTPase-activating Rap/Ran-GAP domain-like 1, Tuberin-like protein 1, p240, GRIPE

4 Images
Immunohistochemistry (Formalin/PFA-fixed paraffin-embedded sections) - Anti-GARNL1 antibody [EPR13592-38] - BSA and Azide free (AB250623)
  • IHC-P

Supplier Data

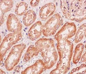
Immunohistochemistry (Formalin/PFA-fixed paraffin-embedded sections) - Anti-GARNL1 antibody [EPR13592-38] - BSA and Azide free (AB250623)

This data was developed using ab182570, the same antibody clone in a different buffer formulation.

Immunohistochemical analysis of paraffin-embedded Human kidney tissue labeling GARNL1 using ab182570 at 1/100 dilution. A Ready to use HRP Polymer for Rabbit IgG was used as a secondary. Counterstain : Hematoxylin.

Perform heat mediated antigen retrieval with EDTA buffer pH 9 before commencing with IHC staining protocol.

Immunocytochemistry/ Immunofluorescence - Anti-GARNL1 antibody [EPR13592-38] - BSA and Azide free (AB250623)
  • ICC/IF

Supplier Data

Immunocytochemistry/ Immunofluorescence - Anti-GARNL1 antibody [EPR13592-38] - BSA and Azide free (AB250623)

This data was developed using ab182570, the same antibody clone in a different buffer formulation.

Immunofluorescence analysis of HeLa cells labeling GARNL1 using ab182570 at 1/100 dilution. A Goat anti rabbit IgG (Alexa Fluor555) at 1/200 dilution was used as secondary antibody. Cells were fixed with -20°C Acetone. Counterstain : DAPI.

Western blot - Anti-GARNL1 antibody [EPR13592-38] - BSA and Azide free (AB250623)
  • WB

Supplier Data

Western blot - Anti-GARNL1 antibody [EPR13592-38] - BSA and Azide free (AB250623)

This data was developed using ab182570, the same antibody clone in a different buffer formulation.

All lanes:

Western blot - Anti-GARNL1 antibody [EPR13592-38] (<a href='/en-us/products/primary-antibodies/garnl1-antibody-epr13592-38-ab182570'>ab182570</a>) at 1/100000 dilution

All lanes:

HeLa cell lysate at 1/10 dilution

Secondary

All lanes:

Goat Anti-Rabbit IgG, (H+L), Peroxidase conjugated at 1/1000 dilution

Predicted band size: 230 kDa

false

Western blot - Anti-GARNL1 antibody [EPR13592-38] - BSA and Azide free (AB250623)
  • WB

Supplier Data

Western blot - Anti-GARNL1 antibody [EPR13592-38] - BSA and Azide free (AB250623)

This data was developed using ab182570, the same antibody clone in a different buffer formulation.

All lanes:

Western blot - Anti-GARNL1 antibody [EPR13592-38] (<a href='/en-us/products/primary-antibodies/garnl1-antibody-epr13592-38-ab182570'>ab182570</a>) at 1/100000 dilution

All lanes:

293 cell lysate at 20 µg

Secondary

All lanes:

Goat Anti-Rabbit IgG, (H+L), Peroxidase conjugated at 1/1000 dilution

Predicted band size: 230 kDa

false

Key facts

Host species

Rabbit

Clonality

Monoclonal

Clone number

EPR13592-38

Isotype

IgG

Carrier free

Yes

Reacts with

Human

Applications

WB, ICC/IF, IHC-P

applications

Immunogen

The exact immunogen used to generate this antibody is proprietary information.

Reactivity data

{ "title": "Reactivity Data", "filters": { "stats": ["", "Species", "Dilution Info", "Notes"], "tabs": { "all-applications": {"fullname" : "All Applications", "shortname": "All Applications"}, "ICCIF" : {"fullname" : "Immunocytochemistry/ Immunofluorescence", "shortname":"ICC/IF"}, "WB" : {"fullname" : "Western blot", "shortname":"WB"}, "IHCP" : {"fullname" : "Immunohistochemistry (Formalin/PFA-fixed paraffin-embedded sections)", "shortname":"IHC-P"} }, "product-promise": { "all": "all", "testedAndGuaranteed": "tested", "guaranteed": "expected", "predicted": "predicted", "notRecommended": "not-recommended" } }, "values": { "Human": { "ICCIF-species-checked": "testedAndGuaranteed", "ICCIF-species-dilution-info": "", "ICCIF-species-notes": "<p></p>", "WB-species-checked": "testedAndGuaranteed", "WB-species-dilution-info": "", "WB-species-notes": "<p></p>", "IHCP-species-checked": "testedAndGuaranteed", "IHCP-species-dilution-info": "", "IHCP-species-notes": "<p></p>" }, "Mouse": { "ICCIF-species-checked": "predicted", "ICCIF-species-dilution-info": "", "ICCIF-species-notes": "", "WB-species-checked": "predicted", "WB-species-dilution-info": "", "WB-species-notes": "", "IHCP-species-checked": "predicted", "IHCP-species-dilution-info": "", "IHCP-species-notes": "" }, "Rat": { "ICCIF-species-checked": "predicted", "ICCIF-species-dilution-info": "", "ICCIF-species-notes": "", "WB-species-checked": "predicted", "WB-species-dilution-info": "", "WB-species-notes": "", "IHCP-species-checked": "predicted", "IHCP-species-dilution-info": "", "IHCP-species-notes": "" } } }

Product details

ab250623 is the carrier-free version of ab182570.

Patented technology
Our RabMAb® technology is a patented hybridoma-based technology for making rabbit monoclonal antibodies. For details on our patents, please refer to RabMAb® patents.

What are the advantages of a recombinant monoclonal antibody?
This product is a recombinant monoclonal antibody, which offers several advantages including:

  • - High batch-to-batch consistency and reproducibility
  • - Improved sensitivity and specificity
  • - Long-term security of supply
  • - Animal-free batch production

For more information, read more on recombinant antibodies.

Conjugation ready
Our carrier-free antibodies are typically supplied in a PBS-only formulation, purified and free of BSA, sodium azide and glycerol. This conjugation-ready format is designed for use with fluorochromes, metal isotopes, oligonucleotides, and enzymes, which makes them ideal for antibody labelling, functional and cell-based assays, flow-based assays (e.g. mass cytometry) and Multiplex Imaging applications.

Use our conjugation kits for antibody conjugates that are ready-to-use in as little as 20 minutes with 1 minute hands-on-time and 100% antibody recovery: available for fluorescent dyes, HRP, biotin and gold.

Compatibility
This product is compatible with the Maxpar® Antibody Labeling Kit from Fluidigm, without the need for antibody preparation. Maxpar® is a trademark of Fluidigm Canada Inc.

Properties and storage information

Form
Liquid
Purification technique
Affinity purification Protein A
Storage buffer
pH: 7.2 - 7.4 Constituents: PBS
Shipped at conditions
Blue Ice
Appropriate short-term storage conditions
+4°C
Appropriate long-term storage conditions
+4°C
Storage information
Do Not Freeze

Supplementary information

This supplementary information is collated from multiple sources and compiled automatically.

GARNL1 also called Rap1-GTPase activating protein 4 functions mechanically as a guanine nucleotide exchange factor (GEF). It specifically activates Rap1 a small GTPase part of the Ras family by facilitating the exchange of GDP for GTP. GARNL1 has a molecular weight of approximately 184 kDa. It is expressed in various tissues including the brain and hematopoietic cells indicating its diverse functional roles across different biological systems.
Biological function summary

The ability of GARNL1 to modify Rap1 activity influences numerous cellular functions such as cell adhesion growth and differentiation. GARNL1 does its work not as an isolated player but as part of complexes that can include other signaling molecules and scaffolding proteins. By interacting with these complexes GARNL1 contributes to the regulatory mechanisms that maintain cellular homeostasis and responsiveness to extracellular signals.

Pathways

GARNL1 facilitates signal transduction within pathways like the MAPK/ERK and integrin signaling pathways. Through these pathways GARNL1 works alongside proteins like RAF kinases and integrins contributing to processes like cell migration and proliferation. The interaction with related proteins in these pathways underlines its significance in transmitting signals from the cell membrane to the nucleus influencing gene expression and cell fate decisions.

Mutations or dysregulation of GARNL1 are linked to certain cancers and neurological disorders. In oncogenesis it relates to alterations in cell adhesion and migration potentially collaborating with proteins such as BRAF in promoting tumourigenesis. Regarding neurological conditions abnormalities in GARNL1 function can affect neural connectivity and signaling highlighting its connection to Rap1-related synaptic modulation and signaling in neurons.

Product protocols

For this product, it's our understanding that no specific protocols are required. You can visit:

Target data

Catalytic subunit of the heterodimeric RalGAP1 complex which acts as a GTPase activator for the Ras-like small GTPases RALA and RALB.
See full target information RALGAPA1

Product promise

We are committed to supporting your work with high-quality reagents, and we're here for you every step of the way. In the unlikely event that one of our products does not perform as expected, you're protected by our Product Promise.
For full details, please see our Terms & Conditions

Please note: All products are 'FOR RESEARCH USE ONLY. NOT FOR USE IN DIAGNOSTIC OR THERAPEUTIC PROCEDURES'.

For licensing inquiries, please contact partnerships@abcam.com