JavaScript is disabled in your browser. Please enable JavaScript to view this website.
AB248097

Anti-GARS antibody [EPR7157] - BSA and Azide free

Be the first to review this product! Submit a review

|

(1 Publication)

Rabbit Recombinant Monoclonal GARS antibody. Carrier free. Suitable for WB, IHC-P and reacts with Human, Mouse, Rat samples. Cited in 1 publication.

View Alternative Names

GARS, GARS1, Glycine--tRNA ligase, Diadenosine tetraphosphate synthetase, Glycyl-tRNA synthetase, Glycyl-tRNA synthetase 1, Ap4A synthetase, GlyRS

2 Images
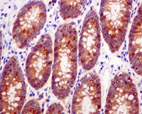
Immunohistochemistry (Formalin/PFA-fixed paraffin-embedded sections) - Anti-GARS antibody [EPR7157] - BSA and Azide free (AB248097)
  • IHC-P

Unknown

Immunohistochemistry (Formalin/PFA-fixed paraffin-embedded sections) - Anti-GARS antibody [EPR7157] - BSA and Azide free (AB248097)

This data was developed using ab125008, the same antibody clone in a different buffer formulation.

ab125008 at 1/50 staining GARS in paraffin embedded Human colon tissue by immunohistochemistry.

Perform heat mediated antigen retrieval before commencing with IHC staining protocol.

Western blot - Anti-GARS antibody [EPR7157] - BSA and Azide free (AB248097)
  • WB

Unknown

Western blot - Anti-GARS antibody [EPR7157] - BSA and Azide free (AB248097)

This data was developed using ab125008, the same antibody clone in a different buffer formulation.

All lanes:

Western blot - Anti-GARS antibody [EPR7157] (<a href='/en-us/products/primary-antibodies/gars-antibody-epr7157-ab125008'>ab125008</a>) at 1/1000 dilution

Lane 1:

Jurkat cell lysate at 10 µg

Lane 2:

HeLa cell lysate at 10 µg

Lane 3:

U87-MG cell lysate at 10 µg

Lane 4:

293T cell lysate at 10 µg

Lane 5:

C6 cell lysate at 10 µg

Lane 6:

RAW 264.7 cell lysate at 10 µg

Lane 7:

Neuro-2a cell lysate at 10 µg

Secondary

All lanes:

HRP labelled goat anti-rabbit at 1/2000 dilution

Predicted band size: 83 kDa

Observed band size: 75 kDa

false

Key facts

Host species

Rabbit

Clonality

Monoclonal

Clone number

EPR7157

Isotype

IgG

Carrier free

Yes

Reacts with

Mouse, Rat, Human

Applications

IHC-P, WB

applications

Immunogen

The exact immunogen used to generate this antibody is proprietary information.

Reactivity data

{ "title": "Reactivity Data", "filters": { "stats": ["", "Species", "Dilution Info", "Notes"], "tabs": { "all-applications": {"fullname" : "All Applications", "shortname": "All Applications"}, "WB" : {"fullname" : "Western blot", "shortname":"WB"}, "ICCIF" : {"fullname" : "Immunocytochemistry/ Immunofluorescence", "shortname":"ICC/IF"}, "IHCP" : {"fullname" : "Immunohistochemistry (Formalin/PFA-fixed paraffin-embedded sections)", "shortname":"IHC-P"}, "IP" : {"fullname" : "Immunoprecipitation", "shortname":"IP"}, "FlowCyt" : {"fullname" : "Flow Cytometry", "shortname":"Flow Cyt"} }, "product-promise": { "all": "all", "testedAndGuaranteed": "tested", "guaranteed": "expected", "predicted": "predicted", "notRecommended": "not-recommended" } }, "values": { "Human": { "WB-species-checked": "testedAndGuaranteed", "WB-species-dilution-info": "", "WB-species-notes": "<p></p>", "ICCIF-species-checked": "notRecommended", "ICCIF-species-dilution-info": "", "ICCIF-species-notes": "<p></p>", "IHCP-species-checked": "testedAndGuaranteed", "IHCP-species-dilution-info": "", "IHCP-species-notes": "<p></p>", "IP-species-checked": "notRecommended", "IP-species-dilution-info": "", "IP-species-notes": "<p></p>", "FlowCyt-species-checked": "notRecommended", "FlowCyt-species-dilution-info": "", "FlowCyt-species-notes": "" }, "Mouse": { "WB-species-checked": "guaranteed", "WB-species-dilution-info": "", "WB-species-notes": "<p></p>", "ICCIF-species-checked": "notRecommended", "ICCIF-species-dilution-info": "", "ICCIF-species-notes": "<p></p>", "IHCP-species-checked": "guaranteed", "IHCP-species-dilution-info": "", "IHCP-species-notes": "<p></p>", "IP-species-checked": "notRecommended", "IP-species-dilution-info": "", "IP-species-notes": "<p></p>", "FlowCyt-species-checked": "notRecommended", "FlowCyt-species-dilution-info": "", "FlowCyt-species-notes": "<p></p>" }, "Rat": { "WB-species-checked": "guaranteed", "WB-species-dilution-info": "", "WB-species-notes": "<p></p>", "ICCIF-species-checked": "notRecommended", "ICCIF-species-dilution-info": "", "ICCIF-species-notes": "<p></p>", "IHCP-species-checked": "guaranteed", "IHCP-species-dilution-info": "", "IHCP-species-notes": "<p></p>", "IP-species-checked": "notRecommended", "IP-species-dilution-info": "", "IP-species-notes": "<p></p>", "FlowCyt-species-checked": "notRecommended", "FlowCyt-species-dilution-info": "", "FlowCyt-species-notes": "<p></p>" } } }

Product details

ab248097 is the carrier-free version of ab125008.

Patented technology
Our RabMAb® technology is a patented hybridoma-based technology for making rabbit monoclonal antibodies. For details on our patents, please refer to RabMAb® patents.

What are the advantages of a recombinant monoclonal antibody?
This product is a recombinant monoclonal antibody, which offers several advantages including:

  • - High batch-to-batch consistency and reproducibility
  • - Improved sensitivity and specificity
  • - Long-term security of supply
  • - Animal-free batch production

For more information, read more on recombinant antibodies.

Conjugation ready
Our carrier-free antibodies are typically supplied in a PBS-only formulation, purified and free of BSA, sodium azide and glycerol. This conjugation-ready format is designed for use with fluorochromes, metal isotopes, oligonucleotides, and enzymes, which makes them ideal for antibody labelling, functional and cell-based assays, flow-based assays (e.g. mass cytometry) and Multiplex Imaging applications.

Use our conjugation kits for antibody conjugates that are ready-to-use in as little as 20 minutes with 1 minute hands-on-time and 100% antibody recovery: available for fluorescent dyes, HRP, biotin and gold.

Compatibility
This product is compatible with the Maxpar® Antibody Labeling Kit from Fluidigm, without the need for antibody preparation. Maxpar® is a trademark of Fluidigm Canada Inc.

Properties and storage information

Form
Liquid
Purification technique
Affinity purification Protein A
Storage buffer
pH: 7.2 - 7.4 Constituents: PBS
Shipped at conditions
Blue Ice
Appropriate short-term storage conditions
+4°C
Appropriate long-term storage conditions
+4°C
Storage information
Do Not Freeze

Supplementary information

This supplementary information is collated from multiple sources and compiled automatically.

Glycyl-tRNA synthetase (GARS) also known as GlyRS is an enzyme involved in the protein synthesis process. GARS catalyzes the attachment of glycine to its corresponding transfer RNA (tRNA) enabling the correct integration of glycine into proteins during translation. It has a molecular mass of approximately 79 kDa and is ubiquitously expressed in many tissues including muscle and the nervous system. The enzyme plays a critical function by ensuring the accurate translation of the genetic code into functional proteins.
Biological function summary

GARS maintains the fidelity of protein synthesis ensuring that glycine gets incorporated into proteins correctly. As part of the aminoacyl-tRNA synthetase family it operates within a larger complex important for cellular protein production. GARS ensures that proteins maintain their proper structure and function by providing the correct amino acids during synthesis. Its activity supports cell survival and proper cellular functions across various tissues.

Pathways

The function of GARS is central in aminoacyl-tRNA biosynthesis and the broader protein synthesis pathway. This enzyme works closely with other aminoacyl-tRNA synthetases to ensure the fidelity of protein translation. Interactions with proteins such as EPRS (glutamyl-prolyl-tRNA synthetase) highlight the coordinated effort among different synthetases for efficient protein biosynthesis linking it to a fundamental cellular process essential for cellular viability and function.

Mutations in GARS have been associated with Charcot-Marie-Tooth disease type 2D and distal hereditary motor neuropathy type V. These genetic disorders result in peripheral neuropathy characterized by muscle weakness and sensory deficits. Mutated GARS disrupts normal glycine-tRNA ligation impacting neuronal function. These conditions often involve interactions with proteins like neurofilament proteins contributing to neurodegeneration.

Product protocols

For this product, it's our understanding that no specific protocols are required. You can visit:

Target data

Catalyzes the ATP-dependent ligation of glycine to the 3'-end of its cognate tRNA, via the formation of an aminoacyl-adenylate intermediate (Gly-AMP) (PubMed : 17544401, PubMed : 24898252, PubMed : 28675565). Also produces diadenosine tetraphosphate (Ap4A), a universal pleiotropic signaling molecule needed for cell regulation pathways, by direct condensation of 2 ATPs. Thereby, may play a special role in Ap4A homeostasis (PubMed : 19710017).
See full target information GARS1

Publications (1)

Recent publications for all applications. Explore the full list and refine your search

International journal of molecular sciences 23: PubMed35269806

2022

Modulation of Gut Microbiota Combined with Upregulation of Intestinal Tight Junction Explains Anti-Inflammatory Effect of Corylin on Colitis-Associated Cancer in Mice.

Applications

Unspecified application

Species

Unspecified reactive species

Zi-Yu Chang,Hsuan-Miao Liu,Yann-Lii Leu,Chung-Hua Hsu,Tzung-Yan Lee
View all publications

Product promise

We are committed to supporting your work with high-quality reagents, and we're here for you every step of the way. In the unlikely event that one of our products does not perform as expected, you're protected by our Product Promise.
For full details, please see our Terms & Conditions

Please note: All products are 'FOR RESEARCH USE ONLY. NOT FOR USE IN DIAGNOSTIC OR THERAPEUTIC PROCEDURES'.

For licensing inquiries, please contact partnerships@abcam.com