JavaScript is disabled in your browser. Please enable JavaScript to view this website.
AB169550

Anti-GART antibody [EPR11622]

5

(1 Review)

|

(4 Publications)

Rabbit Recombinant Monoclonal GART antibody. Suitable for IHC-P, WB, ICC/IF and reacts with Human samples. Cited in 4 publications.

View Alternative Names

PGFT, PRGS, GART, Trifunctional purine biosynthetic protein adenosine-3

6 Images
Immunocytochemistry/ Immunofluorescence - Anti-GART antibody [EPR11622] (AB169550)
  • ICC/IF

Unknown

Immunocytochemistry/ Immunofluorescence - Anti-GART antibody [EPR11622] (AB169550)

Immunofluorescent analysis of HepG2 cells labeling GART with ab169550 at 1/100 dilution.

Immunohistochemistry (Formalin/PFA-fixed paraffin-embedded sections) - Anti-GART antibody [EPR11622] (AB169550)
  • IHC-P

Unknown

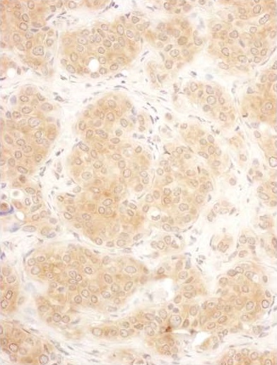
Immunohistochemistry (Formalin/PFA-fixed paraffin-embedded sections) - Anti-GART antibody [EPR11622] (AB169550)

Immunohistochemical analysis of paraffin-embedded Human tonsil tissue labeling GART with ab169550 at 1/50 dilution.

Perform heat mediated antigen retrieval with citrate buffer pH 6 before commencing with IHC staining protocol.

Immunohistochemistry (Formalin/PFA-fixed paraffin-embedded sections) - Anti-GART antibody [EPR11622] (AB169550)
  • IHC-P

Unknown

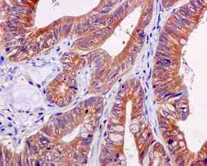
Immunohistochemistry (Formalin/PFA-fixed paraffin-embedded sections) - Anti-GART antibody [EPR11622] (AB169550)

Immunohistochemical analysis of paraffin-embedded Human colonic adenocarcinoma tissue labeling GART with ab169550 at 1/50 dilution.

Perform heat mediated antigen retrieval with citrate buffer pH 6 before commencing with IHC staining protocol.

Immunocytochemistry/ Immunofluorescence - Anti-GART antibody [EPR11622] (AB169550)
  • ICC/IF

AbReview40411****

Immunocytochemistry/ Immunofluorescence - Anti-GART antibody [EPR11622] (AB169550)

ab169550 staining GART in human HeLa cells by ICC/IF (Immunocytochemistry/immunofluorescence). Cells were fixed with paraformaldehyde and permeabilized with 0.5% Triton X-100 in PBS. Samples were incubated with primary antibody (1/500 in PBS) for 1 hour at 22°C. An Alexa Fluor® 488-conjugated goat anti-rabbit IgG polyclonal (1/200) was used as the secondary antibody. Counterstained with DAPI.

This image is courtesy of an Abreview submitted by Kirk McManus

Western blot - Anti-GART antibody [EPR11622] (AB169550)
  • WB

Unknown

Western blot - Anti-GART antibody [EPR11622] (AB169550)

All lanes:

Western blot - Anti-GART antibody [EPR11622] (ab169550) at 1/1000 dilution

Lane 1:

HeLa cell lysate at 10 µg

Lane 2:

HepG2 cell lysate at 10 µg

Lane 3:

K562 cell lysate at 10 µg

Lane 4:

A431 cell lysate at 10 µg

Secondary

All lanes:

HRP labelled goat anti-rabbit at 1/2000 dilution

Predicted band size: 107 kDa

false

Western blot - Anti-GART antibody [EPR11622] (AB169550)
  • WB

Unknown

Western blot - Anti-GART antibody [EPR11622] (AB169550)

All lanes:

Western blot - Anti-GART antibody [EPR11622] (ab169550) at 1/1000 dilution

All lanes:

immunoprecipitation pellet from HeLa cell lysate

Secondary

All lanes:

HRP-conjugated anti-rabbit IgG preferentially detecting the non-reduced form of rabbit IgG

Predicted band size: 107 kDa

false

  • Carrier free

    Anti-GART antibody [EPR11622] - BSA and Azide free

Key facts

Host species

Rabbit

Clonality

Monoclonal

Clone number

EPR11622

Isotype

IgG

Carrier free

No

Reacts with

Human

Applications

ICC/IF, WB, IHC-P

applications

Immunogen

The exact immunogen used to generate this antibody is proprietary information.

Reactivity data

{ "title": "Reactivity Data", "filters": { "stats": ["", "Species", "Dilution Info", "Notes"], "tabs": { "all-applications": {"fullname" : "All Applications", "shortname": "All Applications"}, "IHCP" : {"fullname" : "Immunohistochemistry (Formalin/PFA-fixed paraffin-embedded sections)", "shortname":"IHC-P"}, "FlowCyt" : {"fullname" : "Flow Cytometry", "shortname":"Flow Cyt"}, "WB" : {"fullname" : "Western blot", "shortname":"WB"}, "ICCIF" : {"fullname" : "Immunocytochemistry/ Immunofluorescence", "shortname":"ICC/IF"} }, "product-promise": { "all": "all", "testedAndGuaranteed": "tested", "guaranteed": "expected", "predicted": "predicted", "notRecommended": "not-recommended" } }, "values": { "Human": { "IHCP-species-checked": "testedAndGuaranteed", "IHCP-species-dilution-info": "1/50 - 1/100", "IHCP-species-notes": "<p></p>", "FlowCyt-species-checked": "notRecommended", "FlowCyt-species-dilution-info": "", "FlowCyt-species-notes": "<p></p>", "WB-species-checked": "testedAndGuaranteed", "WB-species-dilution-info": "1/1000 - 1/5000", "WB-species-notes": "<p></p>", "ICCIF-species-checked": "testedAndGuaranteed", "ICCIF-species-dilution-info": "1/100 - 1/500", "ICCIF-species-notes": "<p></p>" }, "Mouse": { "IHCP-species-checked": "predicted", "IHCP-species-dilution-info": "", "IHCP-species-notes": "", "FlowCyt-species-checked": "notRecommended", "FlowCyt-species-dilution-info": "", "FlowCyt-species-notes": "", "WB-species-checked": "predicted", "WB-species-dilution-info": "", "WB-species-notes": "", "ICCIF-species-checked": "predicted", "ICCIF-species-dilution-info": "", "ICCIF-species-notes": "" }, "Rat": { "IHCP-species-checked": "predicted", "IHCP-species-dilution-info": "", "IHCP-species-notes": "", "FlowCyt-species-checked": "notRecommended", "FlowCyt-species-dilution-info": "", "FlowCyt-species-notes": "", "WB-species-checked": "predicted", "WB-species-dilution-info": "", "WB-species-notes": "", "ICCIF-species-checked": "predicted", "ICCIF-species-dilution-info": "", "ICCIF-species-notes": "" } } }

Product details

Patented technology
Our RabMAb® technology is a patented hybridoma-based technology for making rabbit monoclonal antibodies. For details on our patents, please refer to RabMAb® patents.

What are the advantages of a recombinant monoclonal antibody?
This product is a recombinant monoclonal antibody, which offers several advantages including:

  • - High batch-to-batch consistency and reproducibility
  • - Improved sensitivity and specificity
  • - Long-term security of supply
  • - Animal-free batch production

For more information, read more on recombinant antibodies.

Properties and storage information

Form
Liquid
Purification technique
Affinity purification Protein A
Storage buffer
pH: 7.2 - 7.4 Preservative: 0.01% Sodium azide Constituents: PBS, 40% Glycerol (glycerin, glycerine), 0.05% BSA
Shipped at conditions
Blue Ice
Appropriate short-term storage duration
1-2 weeks
Appropriate short-term storage conditions
+4°C
Appropriate long-term storage conditions
-20°C
Aliquoting information
Upon delivery aliquot

Supplementary information

This supplementary information is collated from multiple sources and compiled automatically.

GART also known as phosphoribosylglycinamide formyltransferase is a multifunctional enzyme with a mass of approximately 100 kDa. It plays a significant mechanical role in purine biosynthesis. GART is primarily expressed in rapidly dividing cells and tissues with high metabolic activity. It is one of three enzymes encoded by the GART gene contributing to the trifunctional protein complex that includes glycinamide ribonucleotide synthetase (GARS) and aminoimidazole ribonucleotide synthetase (AIRS). These enzyme functions are critical for the mechanistic steps in purine metabolism increasing their importance in synthesizing nucleotides for DNA and RNA production.
Biological function summary

GART is involved in synthesizing purine nucleotides through its role in converting phosphoribosylamine to phosphoribosylglycinamide. It does this by catalyzing the transfer of a formyl group highlighting its operation as part of a trifunctional protein. The complex formation with enzymes GARS and AIRS enables efficient handling of intermediates therefore fostering a streamlined biosynthetic process. This contributes directly to the cellular nucleotide pool which is fundamental for cell proliferation signaling and energy transfer.

Pathways

GART fits into the purine biosynthetic pathway which is essential for nucleotide synthesis. This function links it closely with proteins such as IMP dehydrogenase which further processes inosine monophosphate to produce different purine nucleotides. It is also involved in folate metabolism as it requires folate derivatives for its formyl transferase activity. The close association with these pathways illustrates GART's integral role in both cellular growth and maintenance of genetic material.

GART has implications in cancer and neurological disorders due to its role in nucleotide synthesis and cellular proliferation. Elevated expression levels of GART are observed in tumors indicating its potential involvement in oncogenesis. In addition abnormalities in purine metabolism or folate cycling can contribute to disorders like Down syndrome. Within this context proteins interacting with GART such as GARS and AIRS could potentially serve as associated targets for therapeutic intervention emphasizing the enzyme's relevance in disease pathology.

Product protocols

For this product, it's our understanding that no specific protocols are required. You can visit:

Target data

Trifunctional enzyme that catalyzes three distinct reactions as part of the 'de novo' inosine monophosphate biosynthetic pathway.
See full target information GART

Publications (4)

Recent publications for all applications. Explore the full list and refine your search

Frontiers in pharmacology 12:718675 PubMed34646134

2021

Upregulation of Thymidylate Synthase Induces Pemetrexed Resistance in Malignant Pleural Mesothelioma.

Applications

Unspecified application

Species

Unspecified reactive species

Yuzo Sato,Masaru Tomita,Tomoyoshi Soga,Atsushi Ochiai,Hideki Makinoshima

Cancers 12: PubMed32106628

2020

Reduced Expression Induces Chromosome Instability through Aberrant Cyclin E1 Protein Turnover.

Applications

Unspecified application

Species

Unspecified reactive species

Laura L Thompson,Allison K Baergen,Zelda Lichtensztejn,Kirk J McManus

IUBMB life 72:492-504 PubMed31613419

2019

Overexpressed microRNA-103a-3p inhibits acute lower-extremity deep venous thrombosis via inhibition of CXCL12.

Applications

Unspecified application

Species

Unspecified reactive species

Shaoliang Sun,Shanyi Chai,Feng Zhang,Lu Lu

Molecular medicine reports 16:7706-7714 PubMed28944880

2017

Edoxaban improves venous thrombosis via increasing hydrogen sulfide and homocysteine in rat model.

Applications

Unspecified application

Species

Unspecified reactive species

Wei Song,Hongbo Ci,Guanglei Tian,Yanjun Zhang,Xiaohu Ge
View all publications

Product promise

We are committed to supporting your work with high-quality reagents, and we're here for you every step of the way. In the unlikely event that one of our products does not perform as expected, you're protected by our Product Promise.
For full details, please see our Terms & Conditions

Please note: All products are 'FOR RESEARCH USE ONLY. NOT FOR USE IN DIAGNOSTIC OR THERAPEUTIC PROCEDURES'.

For licensing inquiries, please contact partnerships@abcam.com