JavaScript is disabled in your browser. Please enable JavaScript to view this website.
AB249500

Anti-GART antibody [EPR11622] - BSA and Azide free

Be the first to review this product! Submit a review

|

(0 Publication)

Rabbit Recombinant Monoclonal GART antibody. Carrier free. Suitable for IHC-P, ICC/IF, WB and reacts with Human samples.

View Alternative Names

PGFT, PRGS, GART, Trifunctional purine biosynthetic protein adenosine-3

5 Images
Immunohistochemistry (Formalin/PFA-fixed paraffin-embedded sections) - Anti-GART antibody [EPR11622] - BSA and Azide free (AB249500)
  • IHC-P

Unknown

Immunohistochemistry (Formalin/PFA-fixed paraffin-embedded sections) - Anti-GART antibody [EPR11622] - BSA and Azide free (AB249500)

This data was developed using ab169550, the same antibody clone in a different buffer formulation.

Immunohistochemical analysis of paraffin-embedded Human tonsil tissue labeling GART with ab169550 at 1/50 dilution.

Perform heat mediated antigen retrieval with citrate buffer pH 6 before commencing with IHC staining protocol.

Immunocytochemistry/ Immunofluorescence - Anti-GART antibody [EPR11622] - BSA and Azide free (AB249500)
  • ICC/IF

Unknown

Immunocytochemistry/ Immunofluorescence - Anti-GART antibody [EPR11622] - BSA and Azide free (AB249500)

This data was developed using ab169550, the same antibody clone in a different buffer formulation.Immunofluorescent analysis of HepG2 cells labeling GART with ab169550 at 1/100 dilution.

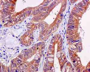
Immunohistochemistry (Formalin/PFA-fixed paraffin-embedded sections) - Anti-GART antibody [EPR11622] - BSA and Azide free (AB249500)
  • IHC-P

Unknown

Immunohistochemistry (Formalin/PFA-fixed paraffin-embedded sections) - Anti-GART antibody [EPR11622] - BSA and Azide free (AB249500)

This data was developed using ab169550, the same antibody clone in a different buffer formulation.

Immunohistochemical analysis of paraffin-embedded Human colonic adenocarcinoma tissue labeling GART with ab169550 at 1/50 dilution.

Perform heat mediated antigen retrieval with citrate buffer pH 6 before commencing with IHC staining protocol.

Western blot - Anti-GART antibody [EPR11622] - BSA and Azide free (AB249500)
  • WB

Unknown

Western blot - Anti-GART antibody [EPR11622] - BSA and Azide free (AB249500)

This data was developed using ab169550, the same antibody clone in a different buffer formulation.

All lanes:

Western blot - Anti-GART antibody [EPR11622] (<a href='/en-us/products/primary-antibodies/gart-antibody-epr11622-ab169550'>ab169550</a>) at 1/1000 dilution

Lane 1:

HeLa cell lysate at 10 µg

Lane 2:

HepG2 cell lysate at 10 µg

Lane 3:

K562 cell lysate at 10 µg

Lane 4:

A431 cell lysate at 10 µg

Secondary

All lanes:

HRP labelled goat anti-rabbit at 1/2000 dilution

Predicted band size: 107 kDa

false

Western blot - Anti-GART antibody [EPR11622] - BSA and Azide free (AB249500)
  • WB

Unknown

Western blot - Anti-GART antibody [EPR11622] - BSA and Azide free (AB249500)

This data was developed using ab169550, the same antibody clone in a different buffer formulation.

All lanes:

Western blot - Anti-GART antibody [EPR11622] (<a href='/en-us/products/primary-antibodies/gart-antibody-epr11622-ab169550'>ab169550</a>) at 1/1000 dilution

All lanes:

immunoprecipitation pellet from HeLa cell lysate

Secondary

All lanes:

HRP-conjugated anti-rabbit IgG preferentially detecting the non-reduced form of rabbit IgG

Predicted band size: 107 kDa

false

Key facts

Host species

Rabbit

Clonality

Monoclonal

Clone number

EPR11622

Isotype

IgG

Carrier free

Yes

Reacts with

Human

Applications

WB, ICC/IF, IHC-P

applications

Immunogen

The exact immunogen used to generate this antibody is proprietary information.

Reactivity data

{ "title": "Reactivity Data", "filters": { "stats": ["", "Species", "Dilution Info", "Notes"], "tabs": { "all-applications": {"fullname" : "All Applications", "shortname": "All Applications"}, "IHCP" : {"fullname" : "Immunohistochemistry (Formalin/PFA-fixed paraffin-embedded sections)", "shortname":"IHC-P"}, "ICCIF" : {"fullname" : "Immunocytochemistry/ Immunofluorescence", "shortname":"ICC/IF"}, "FlowCyt" : {"fullname" : "Flow Cytometry", "shortname":"Flow Cyt"}, "WB" : {"fullname" : "Western blot", "shortname":"WB"} }, "product-promise": { "all": "all", "testedAndGuaranteed": "tested", "guaranteed": "expected", "predicted": "predicted", "notRecommended": "not-recommended" } }, "values": { "Human": { "IHCP-species-checked": "testedAndGuaranteed", "IHCP-species-dilution-info": "", "IHCP-species-notes": "<p></p> Perform heat-mediated antigen retrieval with citrate buffer pH 6 before commencing with IHC staining protocol.", "ICCIF-species-checked": "testedAndGuaranteed", "ICCIF-species-dilution-info": "", "ICCIF-species-notes": "<p></p>", "FlowCyt-species-checked": "notRecommended", "FlowCyt-species-dilution-info": "", "FlowCyt-species-notes": "<p></p>", "WB-species-checked": "testedAndGuaranteed", "WB-species-dilution-info": "", "WB-species-notes": "<p></p>" }, "Mouse": { "IHCP-species-checked": "predicted", "IHCP-species-dilution-info": "", "IHCP-species-notes": "", "ICCIF-species-checked": "predicted", "ICCIF-species-dilution-info": "", "ICCIF-species-notes": "", "FlowCyt-species-checked": "notRecommended", "FlowCyt-species-dilution-info": "", "FlowCyt-species-notes": "", "WB-species-checked": "predicted", "WB-species-dilution-info": "", "WB-species-notes": "" }, "Rat": { "IHCP-species-checked": "predicted", "IHCP-species-dilution-info": "", "IHCP-species-notes": "", "ICCIF-species-checked": "predicted", "ICCIF-species-dilution-info": "", "ICCIF-species-notes": "", "FlowCyt-species-checked": "notRecommended", "FlowCyt-species-dilution-info": "", "FlowCyt-species-notes": "", "WB-species-checked": "predicted", "WB-species-dilution-info": "", "WB-species-notes": "" } } }

Product details

Properties and storage information

Form
Liquid
Purification technique
Affinity purification Protein A
Storage buffer
pH: 7.2 - 7.4 Constituents: PBS
Shipped at conditions
Blue Ice
Appropriate short-term storage conditions
+4°C
Appropriate long-term storage conditions
+4°C
Storage information
Do Not Freeze

Supplementary information

This supplementary information is collated from multiple sources and compiled automatically.

GART also known as phosphoribosylglycinamide formyltransferase is a multifunctional enzyme with a mass of approximately 100 kDa. It plays a significant mechanical role in purine biosynthesis. GART is primarily expressed in rapidly dividing cells and tissues with high metabolic activity. It is one of three enzymes encoded by the GART gene contributing to the trifunctional protein complex that includes glycinamide ribonucleotide synthetase (GARS) and aminoimidazole ribonucleotide synthetase (AIRS). These enzyme functions are critical for the mechanistic steps in purine metabolism increasing their importance in synthesizing nucleotides for DNA and RNA production.
Biological function summary

GART is involved in synthesizing purine nucleotides through its role in converting phosphoribosylamine to phosphoribosylglycinamide. It does this by catalyzing the transfer of a formyl group highlighting its operation as part of a trifunctional protein. The complex formation with enzymes GARS and AIRS enables efficient handling of intermediates therefore fostering a streamlined biosynthetic process. This contributes directly to the cellular nucleotide pool which is fundamental for cell proliferation signaling and energy transfer.

Pathways

GART fits into the purine biosynthetic pathway which is essential for nucleotide synthesis. This function links it closely with proteins such as IMP dehydrogenase which further processes inosine monophosphate to produce different purine nucleotides. It is also involved in folate metabolism as it requires folate derivatives for its formyl transferase activity. The close association with these pathways illustrates GART's integral role in both cellular growth and maintenance of genetic material.

GART has implications in cancer and neurological disorders due to its role in nucleotide synthesis and cellular proliferation. Elevated expression levels of GART are observed in tumors indicating its potential involvement in oncogenesis. In addition abnormalities in purine metabolism or folate cycling can contribute to disorders like Down syndrome. Within this context proteins interacting with GART such as GARS and AIRS could potentially serve as associated targets for therapeutic intervention emphasizing the enzyme's relevance in disease pathology.

Product protocols

For this product, it's our understanding that no specific protocols are required. You can visit:

Target data

Trifunctional enzyme that catalyzes three distinct reactions as part of the 'de novo' inosine monophosphate biosynthetic pathway.
See full target information GART

Product promise

We are committed to supporting your work with high-quality reagents, and we're here for you every step of the way. In the unlikely event that one of our products does not perform as expected, you're protected by our Product Promise.
For full details, please see our Terms & Conditions

Please note: All products are 'FOR RESEARCH USE ONLY. NOT FOR USE IN DIAGNOSTIC OR THERAPEUTIC PROCEDURES'.

For licensing inquiries, please contact partnerships@abcam.com