JavaScript is disabled in your browser. Please enable JavaScript to view this website.
AB264098

Anti-GAS 6 antibody [EPR23931-27]

  • 20ul selling size
  • RabMAb
  • Recombinant
  • KO Validated
  • What is this?

Be the first to review this product! Submit a review

|

(2 Publications)

Rabbit Recombinant Monoclonal GAS 6 antibody. Suitable for IP, WB, Flow Cyt (Intra) and reacts with Human samples. Cited in 2 publications.

View Alternative Names

AXLLG, GAS6, Growth arrest-specific protein 6, GAS-6, AXL receptor tyrosine kinase ligand

6 Images
Flow Cytometry (Intracellular) - Anti-GAS 6 antibody [EPR23931-27] (AB264098)
  • Flow Cyt (Intra)

Supplier Data

Flow Cytometry (Intracellular) - Anti-GAS 6 antibody [EPR23931-27] (AB264098)

Flow cytometric analysis of 4% paraformaldehyde-fixed, 90% methanol-permeabilized THP-1 (Human monocytic leukemia monocyte) cells labelling GAS 6 with ab264098 at 1/500 dilution (Right) compared with a Rabbit monoclonal IgG (ab172730) isotype control (Left). A Goat anti rabbit IgG (Alexa Fluor® 488, ab150077) at 1/2000 dilution was used as the secondary antibody. Cells were stained with rabbit IgG or ab264098.

Flow Cytometry (Intracellular) - Anti-GAS 6 antibody [EPR23931-27] (AB264098)
  • Flow Cyt (Intra)

Supplier Data

Flow Cytometry (Intracellular) - Anti-GAS 6 antibody [EPR23931-27] (AB264098)

Flow cytometric analysis of 4% paraformaldehyde fixed 90% methanol permeabilized THP-1 (Human monocytic leukemia monocyte) cells labelling GAS 6 with ab264098 at 1/500 dilution (0.1ug)/ Right (Red) compared with a Rabbit monoclonal IgG (ab172730) / Left isotype control. A Goat anti rabbit IgG (Alexa Fluor® 488, ab150077) at 1/2000 dilution was used as the secondary antibody. Cells were stained with rabbit IgG or ab264098. Cells were co-stained with DRAQ/ Ki-67 to differentiate cell cycle phase.

Flow Cytometry (Intracellular) - Anti-GAS 6 antibody [EPR23931-27] (AB264098)
  • Flow Cyt (Intra)

Supplier Data

Flow Cytometry (Intracellular) - Anti-GAS 6 antibody [EPR23931-27] (AB264098)

Flow cytometric analysis of 4% paraformaldehyde-fixed, 90% methanol-permeabilized Jurkat (Human T cell leukemia T lymphocyte (Left) / THP-1 (Human monocytic leukemia monocyte, Right) cells labelling GAS 6 with ab264098 at 1/500 dilution (Right). A Goat anti rabbit IgG (Alexa Fluor® 488, ab150077) at 1/2000 dilution was used as the secondary antibody. Negative control : Jurkat (PMID : 10400186)

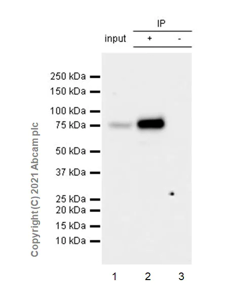
Immunoprecipitation - Anti-GAS 6 antibody [EPR23931-27] (AB264098)
  • IP

Supplier Data

Immunoprecipitation - Anti-GAS 6 antibody [EPR23931-27] (AB264098)

GAS 6 was immunoprecipitated from 0.35 mg THP-1 (human monocytic leukemia monocyte) whole cell lysate with ab264098 at 1/30 dilution (2ug in 0.35mg lysates). Western blot was performed on the immunoprecipitate using ab264098 at 1/1000 dilution. VeriBlot for IP Detection Reagent (HRP)(ab131366) was used at 1/5000 dilution.

Lane 1 : THP-1 (human monocytic leukemia monocyte) whole cell lysate 10 ug

Lane 2 : ab264098 IP in THP-1 whole cell lysate

Lane 3 : Goat Anti-Rabbit IgG, (H+L), Peroxidase conjugated : Rabbit monoclonal IgG (ab172730) instead of ab264098 in THP-1 whole cell lysate

Blocking and dilution buffer and concentration : 5% NFDM/TBST.

Exposure time : 15 seconds

All lanes:

Immunoprecipitation - Anti-GAS 6 antibody [EPR23931-27] (ab264098)

Predicted band size: 80 kDa

Observed band size: 78 kDa

false

Western blot - Anti-GAS 6 antibody [EPR23931-27] (AB264098)
  • WB

Lab

Western blot - Anti-GAS 6 antibody [EPR23931-27] (AB264098)

False colour image of Western blot : Anti-GAS 6 antibody [EPR23931-27] staining at 1/1000 dilution, shown in green; Mouse anti-Alpha Tubulin [DM1A] (ab7291) loading control staining at 1/20000 dilution, shown in red. In Western blot, ab264098 was shown to bind specifically to GAS 6. A band was observed at 75 kDa in wild-type HEK-293 cell lysates with no signal observed at this size in GAS6 knockout cell line ab275837 (knockout cell lysate ab275811). To generate this image, wild-type and GAS6 knockout HEK-293 cell lysates were analysed. First, samples were run on an SDS-PAGE gel then transferred onto a nitrocellulose membrane. Membranes were blocked in 3 % milk in TBS-0.1 % Tween® 20 (TBS-T) before incubation with primary antibodies overnight at 4 °C. Blots were washed four times in TBS-T, incubated with secondary antibodies for 1 h at room temperature, washed again four times then imaged. Secondary antibodies used were Goat anti-Rabbit IgG H&L (IRDye® 800CW) preabsorbed (ab216773) and Goat anti-Mouse IgG H&L (IRDye® 680RD) preabsorbed (ab216776) at 1/20000 dilution.

All lanes:

Western blot - Anti-GAS 6 antibody [EPR23931-27] (ab264098) at 1/1000 dilution

Lane 1:

Wild-type HEK-293 cell lysate at 20 µg

Lane 2:

GAS6 knockout HEK-293 cell lysate at 20 µg

Lane 2:

Western blot - Human GAS6 knockout HEK-293 cell line (<a href='/en-us/products/cell-lines/human-gas6-knockout-hek-293-cell-line-ab275837'>ab275837</a>)

Lane 3:

THP-1 cell lysate at 20 µg

Predicted band size: 80 kDa

Observed band size: 75 kDa

false

Western blot - Anti-GAS 6 antibody [EPR23931-27] (AB264098)
  • WB

Lab

Western blot - Anti-GAS 6 antibody [EPR23931-27] (AB264098)

Blocking and diluting buffer and concentration : 5% NFDM/TBST

Negative control : Jurkat (PMID : 10400186)

Samples are non-boiled as boiling may cause protein aggregates.

Exposure time : Lanes 1-2 : 48 seconds;Lanes 3-4 : 3 minutes.

All lanes:

Western blot - Anti-GAS 6 antibody [EPR23931-27] (ab264098) at 1/1000 dilution

Lane 1:

THP-1 (human monocytic leukemia monocyte) whole cell lysate at 20 µg

Lane 2:

Jurkat (human t cell leukemia T lymphocyte) whole cell lysate at 20 µg

Lane 3:

SH-SY5Y (human neuroblastoma epithelial cell) whole cell lysate at 20 µg

Lane 4:

RPMI-8226 (human plasmacytoma, myeloma B lymphocyte) whole cell lysate at 20 µg

Secondary

All lanes:

Western blot - Goat Anti-Rabbit IgG H&L (HRP) (<a href='/en-us/products/secondary-antibodies/goat-rabbit-igg-h-l-hrp-ab97051'>ab97051</a>) at 1/50000 dilution

Predicted band size: 80 kDa

Observed band size: 78 kDa

false

  • Carrier free

    Anti-GAS 6 antibody [EPR23931-27] - BSA and Azide free

Key facts

Host species

Rabbit

Clonality

Monoclonal

Clone number

EPR23931-27

Isotype

IgG

Carrier free

No

Reacts with

Human

Applications

Flow Cyt (Intra), WB, IP

applications

Immunogen

The exact immunogen used to generate this antibody is proprietary information.

Reactivity data

{ "title": "Reactivity Data", "filters": { "stats": ["", "Species", "Dilution Info", "Notes"], "tabs": { "all-applications": {"fullname" : "All Applications", "shortname": "All Applications"}, "IP" : {"fullname" : "Immunoprecipitation", "shortname":"IP"}, "WB" : {"fullname" : "Western blot", "shortname":"WB"}, "IHCP" : {"fullname" : "Immunohistochemistry (Formalin/PFA-fixed paraffin-embedded sections)", "shortname":"IHC-P"}, "FlowCytIntra" : {"fullname" : "Flow Cytometry (Intracellular)", "shortname":"Flow Cyt (Intra)"} }, "product-promise": { "all": "all", "testedAndGuaranteed": "tested", "guaranteed": "expected", "predicted": "predicted", "notRecommended": "not-recommended" } }, "values": { "Human": { "IP-species-checked": "testedAndGuaranteed", "IP-species-dilution-info": "1/30", "IP-species-notes": "<p></p>", "WB-species-checked": "testedAndGuaranteed", "WB-species-dilution-info": "1/1000", "WB-species-notes": "<p></p>", "IHCP-species-checked": "notRecommended", "IHCP-species-dilution-info": "", "IHCP-species-notes": "<p></p>", "FlowCytIntra-species-checked": "testedAndGuaranteed", "FlowCytIntra-species-dilution-info": "1/500", "FlowCytIntra-species-notes": "<p></p>" }, "Mouse": { "IP-species-checked": "notRecommended", "IP-species-dilution-info": "", "IP-species-notes": "", "WB-species-checked": "notRecommended", "WB-species-dilution-info": "1/1000", "WB-species-notes": "<p></p>", "IHCP-species-checked": "notRecommended", "IHCP-species-dilution-info": "", "IHCP-species-notes": "<p></p>", "FlowCytIntra-species-checked": "notRecommended", "FlowCytIntra-species-dilution-info": "", "FlowCytIntra-species-notes": "" }, "Rat": { "IP-species-checked": "notRecommended", "IP-species-dilution-info": "", "IP-species-notes": "", "WB-species-checked": "notRecommended", "WB-species-dilution-info": "1/1000", "WB-species-notes": "<p></p>", "IHCP-species-checked": "notRecommended", "IHCP-species-dilution-info": "", "IHCP-species-notes": "<p></p>", "FlowCytIntra-species-checked": "notRecommended", "FlowCytIntra-species-dilution-info": "", "FlowCytIntra-species-notes": "" } } }

Product details

Patented technology
Our RabMAb® technology is a patented hybridoma-based technology for making rabbit monoclonal antibodies. For details on our patents, please refer to RabMAb® patents.

What are the advantages of a recombinant monoclonal antibody?
This product is a recombinant monoclonal antibody, which offers several advantages including:

  • - High batch-to-batch consistency and reproducibility
  • - Improved sensitivity and specificity
  • - Long-term security of supply
  • - Animal-free batch production

For more information, read more on recombinant antibodies.

Properties and storage information

Form
Liquid
Purification technique
Affinity purification Protein A
Storage buffer
Preservative: 0.01% Sodium azide Constituents: PBS, 40% Glycerol (glycerin, glycerine), 0.05% BSA
Shipped at conditions
Blue Ice
Appropriate short-term storage duration
1-2 weeks
Appropriate short-term storage conditions
+4°C
Appropriate long-term storage conditions
-20°C
Aliquoting information
Upon delivery aliquot
Storage information
Avoid freeze / thaw cycle

Supplementary information

This supplementary information is collated from multiple sources and compiled automatically.

The protein Gas6 also known as growth arrest-specific 6 weighs approximately 75 kDa and functions mechanically as a ligand for the TAM (Tyro3 Axl and Mer) receptor tyrosine kinases. Gas6 protein facilitates cell signaling by binding especially to AXL receptor initiating various downstream cellular responses. It is widely expressed in different tissues including the nervous system cardiovascular system and kidneys. Additionally its expression increases in response to cellular stress and inflammatory stimuli.
Biological function summary

Gas6 influences several cellular processes such as cell survival proliferation and migration. Gas6 exerts its effects in a complex with AXL receptor which is part of a larger network involving other TAM receptors. By activating AXL Gas6 modulates immune responses inflammation and tissue repair. The protein also plays a significant role in phagocytosis helping remove apoptotic cells thereby maintaining tissue homeostasis.

Pathways

The Gas6 protein is significantly engaged in the PI3K/AKT signaling pathway important for promoting cell survival and inhibiting apoptosis. Additionally Gas6 interacts with the NF-kB pathway which regulates inflammation and immune responses. Both pathways highlight the synergy between Gas6 and AXL emphasizing their contribution to cellular integrity and response to injury.

Gas6's dysregulation associates with cancer and atherosclerosis. In oncogenesis altered Gas6-AXL signaling promotes tumor progression and resistance to therapy implicating it in diverse cancers. Meanwhile in cardiovascular diseases elevated Gas6 levels correlate with atherosclerosis interacting with inflammatory proteins such as interleukins. Understanding Gas6's role in these conditions offers potential for therapeutic targeting and biomarker development.

Product protocols

For this product, it's our understanding that no specific protocols are required. You can visit:

Target data

Ligand for tyrosine-protein kinase receptors AXL, TYRO3 and MER whose signaling is implicated in cell growth and survival, cell adhesion and cell migration. GAS6/AXL signaling plays a role in various processes such as endothelial cell survival during acidification by preventing apoptosis, optimal cytokine signaling during human natural killer cell development, hepatic regeneration, gonadotropin-releasing hormone neuron survival and migration, platelet activation, or regulation of thrombotic responses.. (Microbial infection) Can bridge virus envelope phosphatidylserine to the TAM receptor tyrosine kinase Axl to mediate viral entry by apoptotic mimicry (PubMed : 21501828). Plays a role in Dengue cell entry by apoptotic mimicry (PubMed : 23084921). Plays a role in Vaccinia virus cell entry by apoptotic mimicry (PubMed : 21501828). Plays a role in ebolavirus and marburgvirus cell entry by apoptotic mimicry (PubMed : 17005688).
See full target information GAS6

Publications (2)

Recent publications for all applications. Explore the full list and refine your search

Frontiers in molecular biosciences 10:1298457 PubMed38370978

2024

Construction and evaluation of endometriosis diagnostic prediction model and immune infiltration based on efferocytosis-related genes.

Applications

Unspecified application

Species

Unspecified reactive species

Fang-Li Pei,Jin-Jin Jia,Shu-Hong Lin,Xiao-Xin Chen,Li-Zheng Wu,Zeng-Xian Lin,Bo-Wen Sun,Cheng Zeng

Experimental and therapeutic medicine 22:1321 PubMed34630675

2021

Gas6/Axl signaling pathway promotes proliferation, migration and invasion and inhibits apoptosis in A549 cells.

Applications

Unspecified application

Species

Unspecified reactive species

Dong Wang,Lixin Bi,Jingping Ran,Lei Zhang,Na Xiao,Xiaoli Li
View all publications

Product promise

We are committed to supporting your work with high-quality reagents, and we're here for you every step of the way. In the unlikely event that one of our products does not perform as expected, you're protected by our Product Promise.
For full details, please see our Terms & Conditions

Please note: All products are 'FOR RESEARCH USE ONLY. NOT FOR USE IN DIAGNOSTIC OR THERAPEUTIC PROCEDURES'.

For licensing inquiries, please contact partnerships@abcam.com