JavaScript is disabled in your browser. Please enable JavaScript to view this website.
AB280361

Anti-GAS 6 antibody [EPR23931-27] - BSA and Azide free

Be the first to review this product! Submit a review

|

(0 Publication)

Rabbit Recombinant Monoclonal GAS 6 antibody. Carrier free. Suitable for IP, WB, Flow Cyt (Intra) and reacts with Human samples.

View Alternative Names

AXLLG, GAS6, Growth arrest-specific protein 6, GAS-6, AXL receptor tyrosine kinase ligand

6 Images
Flow Cytometry (Intracellular) - Anti-GAS 6 antibody [EPR23931-27] - BSA and Azide free (AB280361)
  • Flow Cyt (Intra)

Supplier Data

Flow Cytometry (Intracellular) - Anti-GAS 6 antibody [EPR23931-27] - BSA and Azide free (AB280361)

This data was developed using ab264098, the same antibody clone in a different buffer formulation.

Flow cytometric analysis of 4% paraformaldehyde-fixed, 90% methanol-permeabilized THP-1 (Human monocytic leukemia monocyte) cells labelling GAS 6 with ab264098 at 1/500 dilution (Right) compared with a Rabbit monoclonal IgG (ab172730) isotype control (Left). A Goat anti rabbit IgG (Alexa Fluor® 488, ab150077) at 1/2000 dilution was used as the secondary antibody. Cells were stained with rabbit IgG or ab264098

Flow Cytometry (Intracellular) - Anti-GAS 6 antibody [EPR23931-27] - BSA and Azide free (AB280361)
  • Flow Cyt (Intra)

Supplier Data

Flow Cytometry (Intracellular) - Anti-GAS 6 antibody [EPR23931-27] - BSA and Azide free (AB280361)

This data was developed using ab264098, the same antibody clone in a different buffer formulation.

Flow cytometric analysis of 4% paraformaldehyde fixed 90% methanol permeabilized THP-1 (Human monocytic leukemia monocyte) cells labelling GAS 6 with ab264098 at 1/500 dilution (0.1ug)/ Right (Red) compared with a Rabbit monoclonal IgG (ab172730) / Left isotype control. A Goat anti rabbit IgG (Alexa Fluor® 488, ab150077) at 1/2000 dilution was used as the secondary antibody. Cells were stained with rabbit IgG or ab264098. Cells were co-stained with DRAQ/ Ki-67 to differentiate cell cycle phase.

Flow Cytometry (Intracellular) - Anti-GAS 6 antibody [EPR23931-27] - BSA and Azide free (AB280361)
  • Flow Cyt (Intra)

Supplier Data

Flow Cytometry (Intracellular) - Anti-GAS 6 antibody [EPR23931-27] - BSA and Azide free (AB280361)

This data was developed using ab264098, the same antibody clone in a different buffer formulation.

Flow cytometric analysis of 4% paraformaldehyde-fixed, 90% methanol-permeabilized Jurkat (Human T cell leukemia T lymphocyte (Left) / THP-1 (Human monocytic leukemia monocyte, Right) cells labelling GAS 6 with ab264098 at 1/500 dilution (Right). A Goat anti rabbit IgG (Alexa Fluor® 488, ab150077) at 1/2000 dilution was used as the secondary antibody. Negative control : Jurkat (PMID : 10400186)

Western blot - Anti-GAS 6 antibody [EPR23931-27] - BSA and Azide free (AB280361)
  • WB

Lab

Western blot - Anti-GAS 6 antibody [EPR23931-27] - BSA and Azide free (AB280361)

This data was developed using ab264098, the same antibody clone in a different buffer formulation.

Blocking and diluting buffer and concentration : 5% NFDM/TBST

Negative control : Jurkat (PMID : 10400186)

Samples are non-boiled as boiling may cause protein aggregates.

Exposure time : Lanes 1-2 : 48 seconds;Lanes 3-4 : 3 minutes.

All lanes:

Western blot - Anti-GAS 6 antibody [EPR23931-27] (<a href='/en-us/products/primary-antibodies/gas-6-antibody-epr23931-27-ab264098'>ab264098</a>) at 1/1000 dilution

Lane 1:

THP-1 (human monocytic leukemia monocyte) whole cell lysate at 20 µg

Lane 2:

Jurkat (human t cell leukemia T lymphocyte) whole cell lysate at 20 µg

Lane 3:

SH-SY5Y (human neuroblastoma epithelial cell) whole cell lysate at 20 µg

Lane 4:

RPMI-8226 (human plasmacytoma, myeloma B lymphocyte) whole cell lysate at 20 µg

Secondary

All lanes:

Western blot - Goat Anti-Rabbit IgG H&L (HRP) (<a href='/en-us/products/secondary-antibodies/goat-rabbit-igg-h-l-hrp-ab97051'>ab97051</a>) at 1/50000 dilution

Predicted band size: 80 kDa

Observed band size: 78 kDa

false

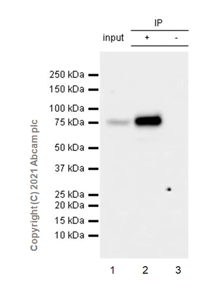
Immunoprecipitation - Anti-GAS 6 antibody [EPR23931-27] - BSA and Azide free (AB280361)
  • IP

Supplier Data

Immunoprecipitation - Anti-GAS 6 antibody [EPR23931-27] - BSA and Azide free (AB280361)

This data was developed using ab264098, the same antibody clone in a different buffer formulation.

GAS 6 was immunoprecipitated from 0.35 mg THP-1 (human monocytic leukemia monocyte) whole cell lysate with ab264098 at 1/30 dilution (2ug in 0.35mg lysates). Western blot was performed on the immunoprecipitate using ab264098 at 1/1000 dilution. VeriBlot for IP Detection Reagent (HRP)(ab131366) was used at 1/5000 dilution.

Lane 1 : THP-1 (human monocytic leukemia monocyte) whole cell lysate 10 ug

Lane 2 : ab264098 IP in THP-1 whole cell lysate

Lane 3 : Goat Anti-Rabbit IgG, (H+L), Peroxidase conjugated : Rabbit monoclonal IgG (ab172730) instead of ab264098 in THP-1 whole cell lysate

Blocking and dilution buffer and concentration : 5% NFDM/TBST.

Exposure time : 15 seconds

All lanes:

Immunoprecipitation - Anti-GAS 6 antibody [EPR23931-27] (<a href='/en-us/products/primary-antibodies/gas-6-antibody-epr23931-27-ab264098'>ab264098</a>)

Predicted band size: 80 kDa

Observed band size: 78 kDa

false

Western blot - Anti-GAS 6 antibody [EPR23931-27] - BSA and Azide free (AB280361)
  • WB

Lab

Western blot - Anti-GAS 6 antibody [EPR23931-27] - BSA and Azide free (AB280361)

False colour image of Western blot : Anti-GAS 6 antibody [EPR23931-27] staining at 1/1000 dilution, shown in green; Mouse anti-Alpha Tubulin [DM1A] (ab7291) loading control staining at 1/20000 dilution, shown in red. In Western blot, ab264098 was shown to bind specifically to GAS 6. A band was observed at 75 kDa in wild-type HEK-293 cell lysates with no signal observed at this size in GAS6 knockout cell line ab275837 (knockout cell lysate ab275811). To generate this image, wild-type and GAS6 knockout HEK-293 cell lysates were analysed. First, samples were run on an SDS-PAGE gel then transferred onto a nitrocellulose membrane. Membranes were blocked in 3 % milk in TBS-0.1 % Tween® 20 (TBS-T) before incubation with primary antibodies overnight at 4 °C. Blots were washed four times in TBS-T, incubated with secondary antibodies for 1 h at room temperature, washed again four times then imaged. Secondary antibodies used were Goat anti-Rabbit IgG H&L (IRDye® 800CW) preabsorbed (ab216773) and Goat anti-Mouse IgG H&L (IRDye® 680RD) preabsorbed (ab216776) at 1/20000 dilution.

All lanes:

Western blot - Anti-GAS 6 antibody [EPR23931-27] (<a href='/en-us/products/primary-antibodies/gas-6-antibody-epr23931-27-ab264098'>ab264098</a>) at 1/1000 dilution

Lane 1:

Wild-type HEK-293 cell lysate at 20 µg

Lane 2:

GAS6 knockout HEK-293 cell lysate at 20 µg

Lane 2:

Western blot - Human GAS6 knockout HEK-293 cell line (<a href='/en-us/products/cell-lines/human-gas6-knockout-hek-293-cell-line-ab275837'>ab275837</a>)

Lane 3:

THP-1 cell lysate at 20 µg

Predicted band size: 80 kDa

Observed band size: 75 kDa

false

Key facts

Host species

Rabbit

Clonality

Monoclonal

Clone number

EPR23931-27

Isotype

IgG

Carrier free

Yes

Reacts with

Human

Applications

WB, Flow Cyt (Intra), IP

applications

Immunogen

The exact immunogen used to generate this antibody is proprietary information.

Reactivity data

{ "title": "Reactivity Data", "filters": { "stats": ["", "Species", "Dilution Info", "Notes"], "tabs": { "all-applications": {"fullname" : "All Applications", "shortname": "All Applications"}, "IP" : {"fullname" : "Immunoprecipitation", "shortname":"IP"}, "WB" : {"fullname" : "Western blot", "shortname":"WB"}, "IHCP" : {"fullname" : "Immunohistochemistry (Formalin/PFA-fixed paraffin-embedded sections)", "shortname":"IHC-P"}, "FlowCytIntra" : {"fullname" : "Flow Cytometry (Intracellular)", "shortname":"Flow Cyt (Intra)"} }, "product-promise": { "all": "all", "testedAndGuaranteed": "tested", "guaranteed": "expected", "predicted": "predicted", "notRecommended": "not-recommended" } }, "values": { "Human": { "IP-species-checked": "testedAndGuaranteed", "IP-species-dilution-info": "", "IP-species-notes": "<p></p>", "WB-species-checked": "testedAndGuaranteed", "WB-species-dilution-info": "", "WB-species-notes": "<p></p>", "IHCP-species-checked": "notRecommended", "IHCP-species-dilution-info": "", "IHCP-species-notes": "<p></p>", "FlowCytIntra-species-checked": "testedAndGuaranteed", "FlowCytIntra-species-dilution-info": "", "FlowCytIntra-species-notes": "<p></p>" }, "Mouse": { "IP-species-checked": "notRecommended", "IP-species-dilution-info": "", "IP-species-notes": "", "WB-species-checked": "notRecommended", "WB-species-dilution-info": "", "WB-species-notes": "<p></p>", "IHCP-species-checked": "notRecommended", "IHCP-species-dilution-info": "", "IHCP-species-notes": "<p></p>", "FlowCytIntra-species-checked": "notRecommended", "FlowCytIntra-species-dilution-info": "", "FlowCytIntra-species-notes": "" }, "Rat": { "IP-species-checked": "notRecommended", "IP-species-dilution-info": "", "IP-species-notes": "", "WB-species-checked": "notRecommended", "WB-species-dilution-info": "", "WB-species-notes": "<p></p>", "IHCP-species-checked": "notRecommended", "IHCP-species-dilution-info": "", "IHCP-species-notes": "<p></p>", "FlowCytIntra-species-checked": "notRecommended", "FlowCytIntra-species-dilution-info": "", "FlowCytIntra-species-notes": "" } } }

Product details

ab280361 is the carrier-free version of ab264098.

Patented technology
Our RabMAb® technology is a patented hybridoma-based technology for making rabbit monoclonal antibodies. For details on our patents, please refer to RabMAb® patents.

What are the advantages of a recombinant monoclonal antibody?
This product is a recombinant monoclonal antibody, which offers several advantages including:

  • - High batch-to-batch consistency and reproducibility
  • - Improved sensitivity and specificity
  • - Long-term security of supply
  • - Animal-free batch production

For more information, read more on recombinant antibodies.

Conjugation ready
Our carrier-free antibodies are typically supplied in a PBS-only formulation, purified and free of BSA, sodium azide and glycerol. This conjugation-ready format is designed for use with fluorochromes, metal isotopes, oligonucleotides, and enzymes, which makes them ideal for antibody labelling, functional and cell-based assays, flow-based assays (e.g. mass cytometry) and Multiplex Imaging applications.

Use our conjugation kits for antibody conjugates that are ready-to-use in as little as 20 minutes with 1 minute hands-on-time and 100% antibody recovery: available for fluorescent dyes, HRP, biotin and gold.

Compatibility
This product is compatible with the Maxpar® Antibody Labeling Kit from Fluidigm, without the need for antibody preparation. Maxpar® is a trademark of Fluidigm Canada Inc.

Properties and storage information

Form
Liquid
Purification technique
Affinity purification Protein A
Storage buffer
Constituents: 100% PBS
Shipped at conditions
Blue Ice
Appropriate short-term storage conditions
+4°C
Appropriate long-term storage conditions
+4°C

Supplementary information

This supplementary information is collated from multiple sources and compiled automatically.

The protein Gas6 also known as growth arrest-specific 6 weighs approximately 75 kDa and functions mechanically as a ligand for the TAM (Tyro3 Axl and Mer) receptor tyrosine kinases. Gas6 protein facilitates cell signaling by binding especially to AXL receptor initiating various downstream cellular responses. It is widely expressed in different tissues including the nervous system cardiovascular system and kidneys. Additionally its expression increases in response to cellular stress and inflammatory stimuli.
Biological function summary

Gas6 influences several cellular processes such as cell survival proliferation and migration. Gas6 exerts its effects in a complex with AXL receptor which is part of a larger network involving other TAM receptors. By activating AXL Gas6 modulates immune responses inflammation and tissue repair. The protein also plays a significant role in phagocytosis helping remove apoptotic cells thereby maintaining tissue homeostasis.

Pathways

The Gas6 protein is significantly engaged in the PI3K/AKT signaling pathway important for promoting cell survival and inhibiting apoptosis. Additionally Gas6 interacts with the NF-kB pathway which regulates inflammation and immune responses. Both pathways highlight the synergy between Gas6 and AXL emphasizing their contribution to cellular integrity and response to injury.

Gas6's dysregulation associates with cancer and atherosclerosis. In oncogenesis altered Gas6-AXL signaling promotes tumor progression and resistance to therapy implicating it in diverse cancers. Meanwhile in cardiovascular diseases elevated Gas6 levels correlate with atherosclerosis interacting with inflammatory proteins such as interleukins. Understanding Gas6's role in these conditions offers potential for therapeutic targeting and biomarker development.

Product protocols

For this product, it's our understanding that no specific protocols are required. You can visit:

Target data

Ligand for tyrosine-protein kinase receptors AXL, TYRO3 and MER whose signaling is implicated in cell growth and survival, cell adhesion and cell migration. GAS6/AXL signaling plays a role in various processes such as endothelial cell survival during acidification by preventing apoptosis, optimal cytokine signaling during human natural killer cell development, hepatic regeneration, gonadotropin-releasing hormone neuron survival and migration, platelet activation, or regulation of thrombotic responses.. (Microbial infection) Can bridge virus envelope phosphatidylserine to the TAM receptor tyrosine kinase Axl to mediate viral entry by apoptotic mimicry (PubMed : 21501828). Plays a role in Dengue cell entry by apoptotic mimicry (PubMed : 23084921). Plays a role in Vaccinia virus cell entry by apoptotic mimicry (PubMed : 21501828). Plays a role in ebolavirus and marburgvirus cell entry by apoptotic mimicry (PubMed : 17005688).
See full target information GAS6

Product promise

We are committed to supporting your work with high-quality reagents, and we're here for you every step of the way. In the unlikely event that one of our products does not perform as expected, you're protected by our Product Promise.
For full details, please see our Terms & Conditions

Please note: All products are 'FOR RESEARCH USE ONLY. NOT FOR USE IN DIAGNOSTIC OR THERAPEUTIC PROCEDURES'.

For licensing inquiries, please contact partnerships@abcam.com