JavaScript is disabled in your browser. Please enable JavaScript to view this website.
AB109762

Anti-GAS2 antibody [EPR1742(2)]

Be the first to review this product! Submit a review

|

(4 Publications)

Rabbit Recombinant Monoclonal GAS2 antibody. Suitable for IHC-P, WB and reacts with Human samples. Cited in 4 publications.

View Alternative Names

Growth arrest-specific protein 2, GAS-2, GAS2

2 Images
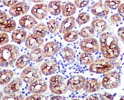
Immunohistochemistry (Formalin/PFA-fixed paraffin-embedded sections) - Anti-GAS2 antibody [EPR1742(2)] (AB109762)
  • IHC-P

Unknown

Immunohistochemistry (Formalin/PFA-fixed paraffin-embedded sections) - Anti-GAS2 antibody [EPR1742(2)] (AB109762)

Immunohistochemical analysis of paraffin-embedded Human stomach tissue using ab109762 at a dilution of 1/50.

Perform heat mediated antigen retrieval with citrate buffer pH 6 before commencing with IHC staining protocol.

Western blot - Anti-GAS2 antibody [EPR1742(2)] (AB109762)
  • WB

Unknown

Western blot - Anti-GAS2 antibody [EPR1742(2)] (AB109762)

All lanes:

Western blot - Anti-GAS2 antibody [EPR1742(2)] (ab109762) at 1/1000 dilution

Lane 1:

HepG2 lysate at 10 µg

Lane 2:

Human fetal liver lysate at 10 µg

Lane 3:

Human fetal kidney lysate at 10 µg

Lane 4:

Jurkat lysate at 10 µg

Predicted band size: 34 kDa

Observed band size: 35 kDa

false

Key facts

Host species

Rabbit

Clonality

Monoclonal

Clone number

EPR1742(2)

Isotype

IgG

Carrier free

No

Reacts with

Human

Applications

WB, IHC-P

applications

Immunogen

The exact immunogen used to generate this antibody is proprietary information.

Reactivity data

{ "title": "Reactivity Data", "filters": { "stats": ["", "Species", "Dilution Info", "Notes"], "tabs": { "all-applications": {"fullname" : "All Applications", "shortname": "All Applications"}, "IHCP" : {"fullname" : "Immunohistochemistry (Formalin/PFA-fixed paraffin-embedded sections)", "shortname":"IHC-P"}, "ICCIF" : {"fullname" : "Immunocytochemistry/ Immunofluorescence", "shortname":"ICC/IF"}, "FlowCyt" : {"fullname" : "Flow Cytometry", "shortname":"Flow Cyt"}, "WB" : {"fullname" : "Western blot", "shortname":"WB"} }, "product-promise": { "all": "all", "testedAndGuaranteed": "tested", "guaranteed": "expected", "predicted": "predicted", "notRecommended": "not-recommended" } }, "values": { "Human": { "IHCP-species-checked": "testedAndGuaranteed", "IHCP-species-dilution-info": "1/50 - 1/100", "IHCP-species-notes": "<p></p> Perform heat-mediated antigen retrieval with citrate buffer pH 6 before commencing with IHC staining protocol.", "ICCIF-species-checked": "notRecommended", "ICCIF-species-dilution-info": "", "ICCIF-species-notes": "<p></p>", "FlowCyt-species-checked": "notRecommended", "FlowCyt-species-dilution-info": "", "FlowCyt-species-notes": "<p></p>", "WB-species-checked": "testedAndGuaranteed", "WB-species-dilution-info": "1/1000 - 1/10000", "WB-species-notes": "<p></p>" }, "Mouse": { "IHCP-species-checked": "predicted", "IHCP-species-dilution-info": "", "IHCP-species-notes": "", "ICCIF-species-checked": "notRecommended", "ICCIF-species-dilution-info": "", "ICCIF-species-notes": "", "FlowCyt-species-checked": "notRecommended", "FlowCyt-species-dilution-info": "", "FlowCyt-species-notes": "", "WB-species-checked": "predicted", "WB-species-dilution-info": "", "WB-species-notes": "" } } }

Product details

Patented technology
Our RabMAb® technology is a patented hybridoma-based technology for making rabbit monoclonal antibodies. For details on our patents, please refer to RabMAb® patents.

What are the advantages of a recombinant monoclonal antibody?
This product is a recombinant monoclonal antibody, which offers several advantages including:

  • - High batch-to-batch consistency and reproducibility
  • - Improved sensitivity and specificity
  • - Long-term security of supply
  • - Animal-free batch production

For more information, read more on recombinant antibodies.

Species reactivity
Rat: We have preliminary internal testing data to indicate this antibody may not react with this species.
Please contact us for more information.

Properties and storage information

Form
Liquid
Purification technique
Affinity purification Protein A
Storage buffer
pH: 7.2 - 7.4 Preservative: 0.05% Sodium azide Constituents: 50% Tissue culture supernatant, 40% Glycerol (glycerin, glycerine), 9.85% Tris glycine, 0.1% BSA
Shipped at conditions
Blue Ice
Appropriate short-term storage conditions
+4°C
Appropriate long-term storage conditions
-20°C
Storage information
Stable for 12 months at -20°C

Supplementary information

This supplementary information is collated from multiple sources and compiled automatically.

The GAS2 (Growth Arrest-specific 2) protein plays a role in regulating the cell cycle particularly during growth arrest. It is also known in the scientific community under other names such as GAS2L1. The GAS2 protein has a molecular mass of approximately 35 kDa. Researchers often observe its expression in various tissues but it is notably present in cells that experience stresses such as those undergoing mechanical stress or growth arrest. It links the microfilament and the microtubule network stabilizing the cytoskeleton under different physiological conditions.
Biological function summary

GAS2 interacts with microtubules and actin filaments to influence cellular dynamics. As part of a protein complex it collaborates with other cytoskeletal proteins to maintain cell shape and ensure the physical integrity of the cell. GAS2 involvement proves significant during cell differentiation and apoptosis as it helps modulate the dynamics of the cytoskeleton. Its expression alters as cells respond to various stimuli suggesting its role in cellular adaptability and structural support.

Pathways

The GAS2 protein integrates into cytoskeletal rearrangement and apoptosis signaling pathways. Notably it participates in the MAPK signaling pathway where it interacts with proteins like ERK that control cell cycle progression and response to stress. It also takes part in apoptosis regulation pathways working alongside proteins such as caspases which are important for programmed cell death. This involvement indicates GAS2’s function as a mediator between stress signals and structural rearrangement.

Researchers associate GAS2 with neurodegenerative diseases and cancer. Alterations in GAS2 expression or function can contribute to conditions such as Alzheimer's disease where cytoskeletal dysfunction is prevalent. Furthermore variants in GAS2 expression levels have been observed in certain types of cancer like breast cancer suggesting its role in tumor progression. In these contexts interactions with proteins such as tau in neurodegenerative diseases or p53 in cancer highlight GAS2 as a significant player in disease pathology and a potential target for therapeutic intervention.

Product protocols

For this product, it's our understanding that no specific protocols are required. You can visit:

Target data

Required to maintain microtubule bundles in inner ear supporting cells, affording them with mechanical stiffness to transmit sound energy through the cochlea.
See full target information Growth arrest-specific protein 2

Publications (4)

Recent publications for all applications. Explore the full list and refine your search

Molecular oncology 16:3720-3734 PubMed36054080

2022

Growth arrest-specific protein 2 (GAS2) interacts with CXCR4 to promote T-cell leukemogenesis partially via c-MYC.

Applications

Unspecified application

Species

Unspecified reactive species

Wenjuan Ma,Yan Wan,Jianxiang Zhang,Jianan Yao,Yifei Wang,Jinchang Lu,Hong Liu,Xiaorui Huang,Xiuyan Zhang,Haixia Zhou,Yulong He,Depei Wu,Jianrong Wang,Yun Zhao

Pediatric investigation 5:106-111 PubMed34179706

2021

and are candidate genes for differential diagnosis between pre-chemotherapy embryonic and alveolar rhabdomyosarcoma in pediatric patients.

Applications

Unspecified application

Species

Unspecified reactive species

Nian Sun,Yeran Yang,Shengcai Wang,Jie Zhang,Jingang Gui,Jun Tai,Lejian He,Jiatong Xu,Yanzhen Li,Xuexi Zhang,Qiaoyin Liu,Zhiyong Liu,Yongli Guo,Xin Ni

Cancer cell 32:792-806.e7 PubMed29153843

2017

Aberrant Activation of a Gastrointestinal Transcriptional Circuit in Prostate Cancer Mediates Castration Resistance.

Applications

Unspecified application

Species

Unspecified reactive species

Shipra Shukla,Joanna Cyrta,Devan A Murphy,Edward G Walczak,Leili Ran,Praveen Agrawal,Yuanyuan Xie,Yuedan Chen,Shangqian Wang,Yu Zhan,Dan Li,Elissa W P Wong,Andrea Sboner,Himisha Beltran,Juan Miguel Mosquera,Jessica Sher,Zhen Cao,John Wongvipat,Richard P Koche,Anuradha Gopalan,Deyou Zheng,Mark A Rubin,Howard I Scher,Ping Chi,Yu Chen

Acta biochimica et biophysica Sinica 47:795-804 PubMed26358320

2015

GAS2-Calpain2 axis contributes to the growth of leukemic cells.

Applications

Unspecified application

Species

Unspecified reactive species

Lili Sun,Haixia Zhou,Hong Liu,Yue Ge,Xiuyan Zhang,Wenjuan Ma,Depei Wu,Yun Zhao
View all publications

Product promise

We are committed to supporting your work with high-quality reagents, and we're here for you every step of the way. In the unlikely event that one of our products does not perform as expected, you're protected by our Product Promise.
For full details, please see our Terms & Conditions

Please note: All products are 'FOR RESEARCH USE ONLY. NOT FOR USE IN DIAGNOSTIC OR THERAPEUTIC PROCEDURES'.

For licensing inquiries, please contact partnerships@abcam.com