JavaScript is disabled in your browser. Please enable JavaScript to view this website.
AB212646

Anti-Gastric Mucin/MUC-6 antibody [CLH5] - BSA and Azide free

1

(1 Review)

|

(3 Publications)

Mouse Monoclonal Gastric Mucin/MUC-6 antibody. Carrier free. Suitable for IHC-P and reacts with Human samples. Cited in 3 publications. Immunogen corresponding to Synthetic Peptide within Human MUC6.

View Alternative Names

Mucin-6, MUC-6, Gastric mucin-6, MUC6

1 Images
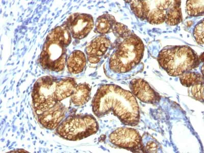
Immunohistochemistry (Formalin/PFA-fixed paraffin-embedded sections) - Anti-Gastric Mucin/MUC-6 antibody [CLH5] - BSA and Azide free (AB212646)
  • IHC-P

Supplier Data

Immunohistochemistry (Formalin/PFA-fixed paraffin-embedded sections) - Anti-Gastric Mucin/MUC-6 antibody [CLH5] - BSA and Azide free (AB212646)

Immunohistochemical analysis of formalin-fixed, paraffin-embedded Human gastric carcinoma tissue labeling Gastric Mucin/MUC-6 with ab212646 at 4 μg/ml dilution.

Key facts

Host species

Mouse

Clonality

Monoclonal

Clone number

CLH5

Isotype

IgG1

Light chain type

kappa

Carrier free

Yes

Reacts with

Human

Applications

IHC-P

applications

Immunogen

Synthetic Peptide within Human MUC6. The exact immunogen used to generate this antibody is proprietary information.

Q6W4X9

Reactivity data

{ "title": "Reactivity Data", "filters": { "stats": ["", "Species", "Dilution Info", "Notes"], "tabs": { "all-applications": {"fullname" : "All Applications", "shortname": "All Applications"}, "IHCP" : {"fullname" : "Immunohistochemistry (Formalin/PFA-fixed paraffin-embedded sections)", "shortname":"IHC-P"} }, "product-promise": { "all": "all", "testedAndGuaranteed": "tested", "guaranteed": "expected", "predicted": "predicted", "notRecommended": "not-recommended" } }, "values": { "Human": { "IHCP-species-checked": "testedAndGuaranteed", "IHCP-species-dilution-info": "2-4 µg/mL", "IHCP-species-notes": "<p>(Primary incubation for 30 minutes at RT).</p> Perform heat-mediated antigen retrieval with Tris/EDTA buffer pH 9.0 before commencing with IHC staining protocol." } } }

Properties and storage information

Form
Liquid
Purification technique
Affinity purification Protein G
Purification notes
ab212646 was purified from Bioreactor Concentrate by Protein A/G.
Storage buffer
pH: 7.2 - 7.4 Constituents: PBS
Shipped at conditions
Blue Ice
Appropriate short-term storage duration
1-2 weeks
Appropriate short-term storage conditions
+4°C
Appropriate long-term storage conditions
-20°C
Aliquoting information
Upon delivery aliquot
Storage information
Avoid freeze / thaw cycle

Supplementary information

This supplementary information is collated from multiple sources and compiled automatically.

MUC-6 also called gastric mucin is a large glycoprotein with a molecular mass around 500-1000 kDa. Cells in the stomach express MUC-6 where it plays a critical mechanical role in forming protective mucous barriers against harsh gastric environments. The glycoprotein forms viscous gels that coat the gastric mucosa creating a protective layer. These layers prevent autodigestion by gastric acid and pepsin safeguarding the underlying epithelium from damage.
Biological function summary

MUC-6 contributes to the defense of gastric tissues through its complex structure. The protein belongs to the mucin family characterized by their high carbohydrate content. MUC-6 interacts with other secreted mucins like MUC-5AC to form a protective gel. It acts as an important component in the maintenance of the gastric mucosal barrier ensuring the separation of stomach contents and epithelial surface. This gel traps pathogens and particles reducing their ability to cause infection or irritation.

Pathways

MUC-6 plays a role in mucosal immunity and epithelial signaling pathways. In the gastric mucosa pathway it links with proteins such as CLCA1 which influences mucin secretion and function. Another linked pathway is the oxidative stress pathway where MUC-6 partners with antioxidant enzymes to shield the stomach lining from oxidative damage. These pathways showcase how MUC-6 integrates a mechanical and biological defense system within the digestive tract.

Alterations in MUC-6 expression levels can influence conditions like gastric cancer and peptic ulcer disease. In gastric cancer abnormal methylation of the MUC-6 gene can contribute to tumorigenesis and tumor progression. In peptic ulcer disease deficient mucin levels particularly MUC-6 compromise the mucosal barrier function. Connections also exist with proteins like gastrin which elevate acid production and burden the mucosal defense emphasizing the relevance of MUC-6 in these gastric conditions.

Product protocols

For this product, it's our understanding that no specific protocols are required. You can visit:

Target data

May provide a mechanism for modulation of the composition of the protective mucus layer related to acid secretion or the presence of bacteria and noxious agents in the lumen. Plays an important role in the cytoprotection of epithelial surfaces and are used as tumor markers in a variety of cancers. May play a role in epithelial organogenesis.
See full target information MUC6

Publications (3)

Recent publications for all applications. Explore the full list and refine your search

Biofilm 10:100317 PubMed41050920

2025

Farnesol emulsion for elimination of biofilm in a 3D airway model of cystic fibrosis.

Applications

Unspecified application

Species

Unspecified reactive species

Li Tan,Khiry Sutton,Sean V Murphy,Nicole Levi

Frontiers in cellular and infection microbiology 15:1572244 PubMed40444149

2025

Application of an organoid-based model to explore human gastric epithelium interaction .

Applications

Unspecified application

Species

Unspecified reactive species

Byeong Min Yu,So Dam Lee,Bo Ram Hwang,Ji Seon Kim,Sungsook Yu,Ki Taek Nam,Yong Chan Lee

Nature protocols 16:3802-3835 PubMed34215862

2021

CODEX multiplexed tissue imaging with DNA-conjugated antibodies.

Applications

mIHC

Species

Human

Sarah Black,Darci Phillips,John W Hickey,Julia Kennedy-Darling,Vishal G Venkataraaman,Nikolay Samusik,Yury Goltsev,Christian M Schürch,Garry P Nolan
View all publications

Product promise

We are committed to supporting your work with high-quality reagents, and we're here for you every step of the way. In the unlikely event that one of our products does not perform as expected, you're protected by our Product Promise.
For full details, please see our Terms & Conditions

Please note: All products are 'FOR RESEARCH USE ONLY. NOT FOR USE IN DIAGNOSTIC OR THERAPEUTIC PROCEDURES'.

For licensing inquiries, please contact partnerships@abcam.com