JavaScript is disabled in your browser. Please enable JavaScript to view this website.
AB223846

Anti-Gastric Mucin/MUC-6 antibody [EPR20623]

  • BOND RX™ Validated
  • 20ul selling size
  • RabMAb
  • Advanced Validation
  • Recombinant
  • What is this?

4

(2 Reviews)

|

(4 Publications)

Rabbit Recombinant Monoclonal Gastric Mucin/MUC-6 antibody. Suitable for mIHC, IHC-P and reacts with Human samples. Cited in 4 publications.

View Alternative Names

Mucin-6, MUC-6, Gastric mucin-6, MUC6

5 Images
Immunohistochemistry (Formalin/PFA-fixed paraffin-embedded sections) - Anti-Gastric Mucin/MUC-6 antibody [EPR20623] (AB223846)
  • IHC-P

Supplier Data

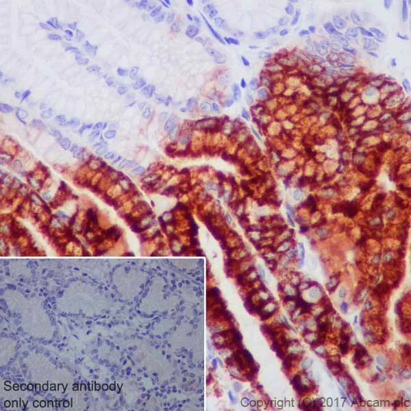
Immunohistochemistry (Formalin/PFA-fixed paraffin-embedded sections) - Anti-Gastric Mucin/MUC-6 antibody [EPR20623] (AB223846)

Immunohistochemical analysis of paraffin-embedded human stomach tissue labeling Gastric Mucin/MUC-6 with ab223846 at 1/4000 dilution followed by Goat Anti-Rabbit IgG H&L (HRP) Ready to use. Cytoplasmic staining on human stomach (PMID : 17227128). Counter stained with hematoxylin.

Secondary antibody only control : Used PBS instead of primary antibody secondary antibody is Goat Anti-Rabbit IgG H&L (HRP) Ready to use.

Perform heat mediated antigen retrieval using ab93684 (Tris/EDTA buffer pH 9.0).

Immunohistochemistry (Formalin/PFA-fixed paraffin-embedded sections) - Anti-Gastric Mucin/MUC-6 antibody [EPR20623] (AB223846)
  • IHC-P

Supplier Data

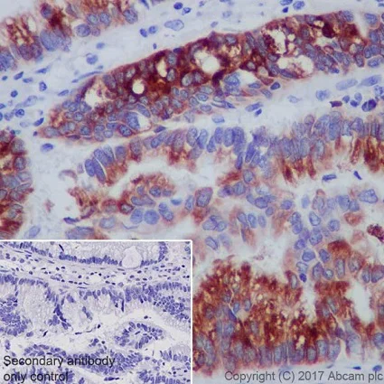
Immunohistochemistry (Formalin/PFA-fixed paraffin-embedded sections) - Anti-Gastric Mucin/MUC-6 antibody [EPR20623] (AB223846)

Immunohistochemical analysis of paraffin-embedded human duodenum tissue labeling Gastric Mucin/MUC-6 with ab223846 at 1/4000 dilution followed by Goat Anti-Rabbit IgG H&L (HRP) Ready to use. Cytoplasmic staining on Brunner's glands of human duodenum (PMID : 10681391). Counter stained with hematoxylin.

Secondary antibody only control : Used PBS instead of primary antibody secondary antibody is Goat Anti-Rabbit IgG H&L (HRP) Ready to use.

Perform heat mediated antigen retrieval using ab93684 (Tris/EDTA buffer pH 9.0).

Immunohistochemistry (Formalin/PFA-fixed paraffin-embedded sections) - Anti-Gastric Mucin/MUC-6 antibody [EPR20623] (AB223846)
  • IHC-P

Supplier Data

Immunohistochemistry (Formalin/PFA-fixed paraffin-embedded sections) - Anti-Gastric Mucin/MUC-6 antibody [EPR20623] (AB223846)

Immunohistochemical analysis of paraffin-embedded human gastric cancer tissue labeling Gastric Mucin/MUC-6 with ab223846 at 1/4000 dilution followed by Goat Anti-Rabbit IgG H&L (HRP) Ready to use. Cytoplasmic staining on human gastric cancer (PMID : 14557879). Counter stained with hematoxylin.

Secondary antibody only control : Used PBS instead of primary antibody secondary antibody is Goat Anti-Rabbit IgG H&L (HRP) Ready to use.

Perform heat mediated antigen retrieval using ab93684 (Tris/EDTA buffer pH 9.0).

Multiplex immunohistochemistry - Anti-Gastric Mucin/MUC-6 antibody [EPR20623] (AB223846)
  • mIHC

Lab

Multiplex immunohistochemistry - Anti-Gastric Mucin/MUC-6 antibody [EPR20623] (AB223846)

Fluorescence multiplex immunohistochemical analysis of the human stomach (Formalin/PFA-fixed paraffin-embedded sections). Panel A : merged staining of anti-Chromogranin A (ab254557, gray; Opal™690), anti-MUC-6 (ab223846, green; Opal™520) and anti-Rab3D (ab128997, red; Opal™570) on human stomach. Panel B : anti-MUC-6 stained on mucous neck cells. Panel C : anti-Chromogranin A stained on neuroendocrine cells. Panel D : anti-Rab3D stained on Chief cells. Rabbit specific IHC polymer detection kit HRP/DAB (ab209101) was used as a secondary antibody. The immunostaining was performed on a Leica Biosystems BOND® RX instrument with an Opal™ 4-color kit. The section was incubated in three rounds of staining : in the order of ab254557 (1/5000), ab223846 (1/1000), and ab128997 (1/10000) for 30 mins at room temperature. Each round was followed by a separate fluorescent tyramide signal amplification system. Heat mediated antigen retrieval with Tris-EDTA buffer (pH 9.0, epitope retrieval solution2) for 20 mins. DAPI (blue) was used as a nuclear counter stain. Image acquisition was performed with Leica SP8 confocal microscope.

Multiplex immunohistochemistry - Anti-Gastric Mucin/MUC-6 antibody [EPR20623] (AB223846)
  • mIHC

Lab

Multiplex immunohistochemistry - Anti-Gastric Mucin/MUC-6 antibody [EPR20623] (AB223846)

Fluorescence multiplex immunohistochemical analysis of the human stomach (Formalin/PFA-fixed paraffin-embedded sections). Panel A : merged staining of anti-Mucin 5AC (ab3649 gray; Opal™690) anti-MUC-6 (ab223846 green; Opal™520) and anti-Rab3D (ab128997 red; Opal™570) on human stomach. Panel B : anti-MUC-6 stained on mucous neck cells. Panel C : anti-Mucin 5AC stained on surface mucous cells. Panel D : anti-Rab3D stained on Chief cells. Opal Polymer HRP Ms + Rb was used as a secondary antibody. The immunostaining was performed on a Leica Biosystems BOND® RX instrument with an Opal™ 4-color kit. The section was incubated in three rounds of staining : in the order of ab3649 (1/5000 dilution) ab223846 (1/1000 dilution) and ab128997 (1/10000 dilution) for 30 mins at room temperature. Each round was followed by a separate fluorescent tyramide signal amplification system. Heat mediated antigen retrieval with Tris-EDTA buffer (pH 9.0 epitope retrieval solution2) was used for 20 mins. DAPI (blue) was used as a nuclear counter stain. Image acquisition was performed with Leica SP8 confocal microscope.

  • Carrier free

    Anti-Gastric Mucin/MUC-6 antibody [EPR20623] - BSA and Azide free

  • 665 Alexa Fluor® 647

    Alexa Fluor® 647 Anti-Gastric Mucin/MUC-6 antibody [EPR20623]

  • 578 PE

    PE Anti-Gastric Mucin/MUC-6 antibody [EPR20623]

  • 660 APC

    APC Anti-Gastric Mucin/MUC-6 antibody [EPR20623]

  • 519 Alexa Fluor® 488

    Alexa Fluor® 488 Anti-Gastric Mucin/MUC-6 antibody [EPR20623]

  • 617 Alexa Fluor® 594

    Alexa Fluor® 594 Anti-Gastric Mucin/MUC-6 antibody [EPR20623]

  • 565 Alexa Fluor® 555

    Alexa Fluor® 555 Anti-Gastric Mucin/MUC-6 antibody [EPR20623]

  • 775 Alexa Fluor® 750

    Alexa Fluor® 750 Anti-Gastric Mucin/MUC-6 antibody [EPR20623]

Key facts

Host species

Rabbit

Clonality

Monoclonal

Clone number

EPR20623

Isotype

IgG

Carrier free

No

Reacts with

Human

Applications

IHC-P, mIHC

applications

Immunogen

The exact immunogen used to generate this antibody is proprietary information.

Reactivity data

{ "title": "Reactivity Data", "filters": { "stats": ["", "Species", "Dilution Info", "Notes"], "tabs": { "all-applications": {"fullname" : "All Applications", "shortname": "All Applications"}, "mIHC" : {"fullname" : "Multiplex immunohistochemistry", "shortname":"mIHC"}, "IHCP" : {"fullname" : "Immunohistochemistry (Formalin/PFA-fixed paraffin-embedded sections)", "shortname":"IHC-P"} }, "product-promise": { "all": "all", "testedAndGuaranteed": "tested", "guaranteed": "expected", "predicted": "predicted", "notRecommended": "not-recommended" } }, "values": { "Human": { "mIHC-species-checked": "testedAndGuaranteed", "mIHC-species-dilution-info": "", "mIHC-species-notes": "<p></p>", "IHCP-species-checked": "testedAndGuaranteed", "IHCP-species-dilution-info": "1/4000", "IHCP-species-notes": "<p></p>" } } }

Product details

Patented technology
Our RabMAb® technology is a patented hybridoma-based technology for making rabbit monoclonal antibodies. For details on our patents, please refer to RabMAb® patents.

What are the advantages of a recombinant monoclonal antibody?
This product is a recombinant monoclonal antibody, which offers several advantages including:

  • - High batch-to-batch consistency and reproducibility
  • - Improved sensitivity and specificity
  • - Long-term security of supply
  • - Animal-free batch production

For more information, read more on recombinant antibodies.

Properties and storage information

Form
Liquid
Purification technique
Affinity purification Protein A
Storage buffer
pH: 7.2 - 7.4 Preservative: 0.01% Sodium azide Constituents: PBS, 40% Glycerol (glycerin, glycerine), 0.05% BSA
Shipped at conditions
Blue Ice
Appropriate short-term storage duration
1-2 weeks
Appropriate short-term storage conditions
+4°C
Appropriate long-term storage conditions
-20°C
Aliquoting information
Upon delivery aliquot
Storage information
Avoid freeze / thaw cycle

Supplementary information

This supplementary information is collated from multiple sources and compiled automatically.

MUC-6 also called gastric mucin is a large glycoprotein with a molecular mass around 500-1000 kDa. Cells in the stomach express MUC-6 where it plays a critical mechanical role in forming protective mucous barriers against harsh gastric environments. The glycoprotein forms viscous gels that coat the gastric mucosa creating a protective layer. These layers prevent autodigestion by gastric acid and pepsin safeguarding the underlying epithelium from damage.
Biological function summary

MUC-6 contributes to the defense of gastric tissues through its complex structure. The protein belongs to the mucin family characterized by their high carbohydrate content. MUC-6 interacts with other secreted mucins like MUC-5AC to form a protective gel. It acts as an important component in the maintenance of the gastric mucosal barrier ensuring the separation of stomach contents and epithelial surface. This gel traps pathogens and particles reducing their ability to cause infection or irritation.

Pathways

MUC-6 plays a role in mucosal immunity and epithelial signaling pathways. In the gastric mucosa pathway it links with proteins such as CLCA1 which influences mucin secretion and function. Another linked pathway is the oxidative stress pathway where MUC-6 partners with antioxidant enzymes to shield the stomach lining from oxidative damage. These pathways showcase how MUC-6 integrates a mechanical and biological defense system within the digestive tract.

Alterations in MUC-6 expression levels can influence conditions like gastric cancer and peptic ulcer disease. In gastric cancer abnormal methylation of the MUC-6 gene can contribute to tumorigenesis and tumor progression. In peptic ulcer disease deficient mucin levels particularly MUC-6 compromise the mucosal barrier function. Connections also exist with proteins like gastrin which elevate acid production and burden the mucosal defense emphasizing the relevance of MUC-6 in these gastric conditions.

Product protocols

For this product, it's our understanding that no specific protocols are required. You can visit:

Target data

May provide a mechanism for modulation of the composition of the protective mucus layer related to acid secretion or the presence of bacteria and noxious agents in the lumen. Plays an important role in the cytoprotection of epithelial surfaces and are used as tumor markers in a variety of cancers. May play a role in epithelial organogenesis.
See full target information MUC6

Publications (4)

Recent publications for all applications. Explore the full list and refine your search

Cell regeneration (London, England) 14:18 PubMed40377813

2025

The critical role of BMP signaling in gastric epithelial cell differentiation revealed by organoids.

Applications

Unspecified application

Species

Unspecified reactive species

Fan Hong,Xiaodan Wang,Nanshan Zhong,Ze Zhang,Shibo Lin,Mengxian Zhang,Haonan Li,Yuan Liu,Yalong Wang,Lianzheng Zhao,Xiao Yang,Hongwen Zhou,Hui Liang,Ye-Guang Chen

Nature communications 16:4141 PubMed40319035

2025

EXO1 promotes the meiotic MLH1-MLH3 endonuclease through conserved interactions with MLH1, MSH4 and DNA.

Applications

Unspecified application

Species

Unspecified reactive species

Megha Roy,Aurore Sanchez,Raphael Guerois,Issam Senoussi,Arianna Cerana,Jacopo Sgrignani,Andrea Cavalli,Andrea Rinaldi,Petr Cejka

Nature communications 16:869 PubMed39833151

2025

Sleeve gastrectomy reveals the plasticity of the human gastric epithelium.

Applications

Unspecified application

Species

Unspecified reactive species

Amit Elad,Botros Moalem,Dana Sender,Aya Bardugo,Ki-Suk Kim,Yhara Arad,Haya Benhayon,Ayelet Gal Etzyoni,Nehemia Greenstein,Aviv Halfon,Sarah Knapp,Michelle Malis,Bailey Peck,Itia Samuel,Amram Kupietzky,Saleh Daher,Esther Forkosh,David Hakimian,Tiberiu Hershcovici,Nadav Ilani,Lior Katz,Moshe Rottenstreich,Elez Vainer,Yuval Ishay,Eitan Zlotnick,Abed Nasereddin,Idid Shiff,Ariel Benson,Ronit Grinbaum,Siddhartha Mishra,Shlomi Kotler,Linda C Samuelson,Darleen A Sandoval,Rachel Ben-Haroush Schyr,Danny Ben-Zvi

International journal of molecular sciences 22: PubMed34638869

2021

Characterisation of Gel-Forming Mucins Produced In Vivo and In Ex Vivo Conjunctival Explant Cultures.

Applications

Unspecified application

Species

Unspecified reactive species

Sara I Van Acker,Bert Van den Bogerd,Zoë P Van Acker,Agnė Vailionytė,Michel Haagdorens,Carina Koppen,Sorcha Ní Dhubhghaill,Darlene A Dartt,Isabel Pintelon
View all publications

Product promise

We are committed to supporting your work with high-quality reagents, and we're here for you every step of the way. In the unlikely event that one of our products does not perform as expected, you're protected by our Product Promise.
For full details, please see our Terms & Conditions

Please note: All products are 'FOR RESEARCH USE ONLY. NOT FOR USE IN DIAGNOSTIC OR THERAPEUTIC PROCEDURES'.

For licensing inquiries, please contact partnerships@abcam.com