JavaScript is disabled in your browser. Please enable JavaScript to view this website.
AB251578

Anti-Gastric Mucin/MUC-6 antibody [EPR20623] - BSA and Azide free

  • BOND RX™ Validated
  • RabMAb
  • Advanced Validation
  • Recombinant
  • What is this?

Be the first to review this product! Submit a review

|

(1 Publication)

Rabbit Recombinant Monoclonal Gastric Mucin/MUC-6 antibody. Carrier free. Suitable for mIHC, IHC-P and reacts with Human samples. Cited in 1 publication.

View Alternative Names

Mucin-6, MUC-6, Gastric mucin-6, MUC6

5 Images
Immunohistochemistry (Formalin/PFA-fixed paraffin-embedded sections) - Anti-Gastric Mucin/MUC-6 antibody [EPR20623] - BSA and Azide free (AB251578)
  • IHC-P

Supplier Data

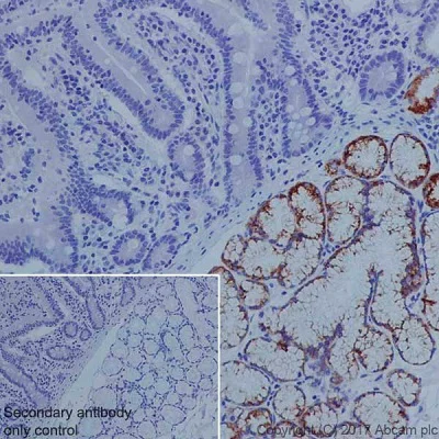
Immunohistochemistry (Formalin/PFA-fixed paraffin-embedded sections) - Anti-Gastric Mucin/MUC-6 antibody [EPR20623] - BSA and Azide free (AB251578)

This data was developed using ab223846, the same antibody clone in a different buffer formulation.

Immunohistochemical analysis of paraffin-embedded human stomach tissue labeling Gastric Mucin/MUC-6 with ab223846 at 1/4000 dilution, followed by Goat Anti-Rabbit IgG H&L (HRP) Ready to use. Cytoplasmic staining on human stomach (PMID : 17227128). Counter stained with hematoxylin.

Secondary antibody only control : Used PBS instead of primary antibody, secondary antibody is Goat Anti-Rabbit IgG H&L (HRP) Ready to use.

Perform heat mediated antigen retrieval using ab93684 (Tris/EDTA buffer, pH 9.0).

Immunohistochemistry (Formalin/PFA-fixed paraffin-embedded sections) - Anti-Gastric Mucin/MUC-6 antibody [EPR20623] - BSA and Azide free (AB251578)
  • IHC-P

Supplier Data

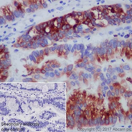
Immunohistochemistry (Formalin/PFA-fixed paraffin-embedded sections) - Anti-Gastric Mucin/MUC-6 antibody [EPR20623] - BSA and Azide free (AB251578)

This data was developed using ab223846, the same antibody clone in a different buffer formulation.

Immunohistochemical analysis of paraffin-embedded human duodenum tissue labeling Gastric Mucin/MUC-6 with ab223846 at 1/4000 dilution, followed by Goat Anti-Rabbit IgG H&L (HRP) Ready to use. Cytoplasmic staining on Brunner's glands of human duodenum (PMID : 10681391). Counter stained with hematoxylin.

Secondary antibody only control : Used PBS instead of primary antibody, secondary antibody is Goat Anti-Rabbit IgG H&L (HRP) Ready to use.

Perform heat mediated antigen retrieval using ab93684 (Tris/EDTA buffer, pH 9.0).

Immunohistochemistry (Formalin/PFA-fixed paraffin-embedded sections) - Anti-Gastric Mucin/MUC-6 antibody [EPR20623] - BSA and Azide free (AB251578)
  • IHC-P

Supplier Data

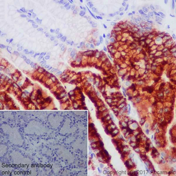
Immunohistochemistry (Formalin/PFA-fixed paraffin-embedded sections) - Anti-Gastric Mucin/MUC-6 antibody [EPR20623] - BSA and Azide free (AB251578)

This data was developed using ab223846, the same antibody clone in a different buffer formulation.

Immunohistochemical analysis of paraffin-embedded human gastric cancer tissue labeling Gastric Mucin/MUC-6 with ab223846 at 1/4000 dilution, followed by Goat Anti-Rabbit IgG H&L (HRP) Ready to use. Cytoplasmic staining on human gastric cancer (PMID : 14557879). Counter stained with hematoxylin.

Secondary antibody only control : Used PBS instead of primary antibody, secondary antibody is Goat Anti-Rabbit IgG H&L (HRP) Ready to use.

Perform heat mediated antigen retrieval using ab93684 (Tris/EDTA buffer, pH 9.0).

Multiplex immunohistochemistry - Anti-Gastric Mucin/MUC-6 antibody [EPR20623] - BSA and Azide free (AB251578)
  • mIHC

Lab

Multiplex immunohistochemistry - Anti-Gastric Mucin/MUC-6 antibody [EPR20623] - BSA and Azide free (AB251578)

Fluorescence multiplex immunohistochemical analysis of the human stomach (Formalin/PFA-fixed paraffin-embedded sections). Panel A : merged staining of anti-Chromogranin A (ab254557, gray; Opal™690), anti-MUC-6 (ab223846, green; Opal™520) and anti-Rab3D (ab128997, red; Opal™570) on human stomach. Panel B : anti-MUC-6 stained on mucous neck cells. Panel C : anti-Chromogranin A stained on neuroendocrine cells. Panel D : anti-Rab3D stained on Chief cells. Rabbit specific IHC polymer detection kit HRP/DAB (ab209101) was used as a secondary antibody. The immunostaining was performed on a Leica Biosystems BOND® RX instrument with an Opal™ 4-color kit. The section was incubated in three rounds of staining : in the order of ab254557 (1/5000), ab223846 (1/1000), and ab128997 (1/10000) for 30 mins at room temperature. Each round was followed by a separate fluorescent tyramide signal amplification system. Heat mediated antigen retrieval with Tris-EDTA buffer (pH 9.0, epitope retrieval solution2) for 20 mins. DAPI (blue) was used as a nuclear counter stain. Image acquisition was performed with Leica SP8 confocal microscope. This data was developed using ab223846, the same antibody clone in a different buffer formulation.

Multiplex immunohistochemistry - Anti-Gastric Mucin/MUC-6 antibody [EPR20623] - BSA and Azide free (AB251578)
  • mIHC

Lab

Multiplex immunohistochemistry - Anti-Gastric Mucin/MUC-6 antibody [EPR20623] - BSA and Azide free (AB251578)

Fluorescence multiplex immunohistochemical analysis of the human stomach (Formalin/PFA-fixed paraffin-embedded sections). Panel A : merged staining of anti-Mucin 5AC (ab3649 gray; Opal™690) anti-MUC-6 (ab223846 green; Opal™520) and anti-Rab3D (ab128997 red; Opal™570) on human stomach. Panel B : anti-MUC-6 stained on mucous neck cells. Panel C : anti-Mucin 5AC stained on surface mucous cells. Panel D : anti-Rab3D stained on Chief cells. Opal Polymer HRP Ms + Rb was used as a secondary antibody. The immunostaining was performed on a Leica Biosystems BOND® RX instrument with an Opal™ 4-color kit. The section was incubated in three rounds of staining : in the order of ab3649 (1/5000 dilution) ab223846 (1/1000 dilution) and ab128997 (1/10000 dilution) for 30 mins at room temperature. Each round was followed by a separate fluorescent tyramide signal amplification system. Heat mediated antigen retrieval with Tris-EDTA buffer (pH 9.0 epitope retrieval solution2) was used for 20 mins. DAPI (blue) was used as a nuclear counter stain. Image acquisition was performed with Leica SP8 confocal microscope.

This data was developed using ab223846 the same antibody clone in a different buffer formulation.

  • Unconjugated

    Anti-Gastric Mucin/MUC-6 antibody [EPR20623]

  • 665 Alexa Fluor® 647

    Alexa Fluor® 647 Anti-Gastric Mucin/MUC-6 antibody [EPR20623]

  • 519 Alexa Fluor® 488

    Alexa Fluor® 488 Anti-Gastric Mucin/MUC-6 antibody [EPR20623]

  • 578 PE

    PE Anti-Gastric Mucin/MUC-6 antibody [EPR20623]

  • 565 Alexa Fluor® 555

    Alexa Fluor® 555 Anti-Gastric Mucin/MUC-6 antibody [EPR20623]

  • 660 APC

    APC Anti-Gastric Mucin/MUC-6 antibody [EPR20623]

  • 617 Alexa Fluor® 594

    Alexa Fluor® 594 Anti-Gastric Mucin/MUC-6 antibody [EPR20623]

  • 775 Alexa Fluor® 750

    Alexa Fluor® 750 Anti-Gastric Mucin/MUC-6 antibody [EPR20623]

Key facts

Host species

Rabbit

Clonality

Monoclonal

Clone number

EPR20623

Isotype

IgG

Carrier free

Yes

Reacts with

Human

Applications

IHC-P, mIHC

applications

Immunogen

The exact immunogen used to generate this antibody is proprietary information.

Reactivity data

{ "title": "Reactivity Data", "filters": { "stats": ["", "Species", "Dilution Info", "Notes"], "tabs": { "all-applications": {"fullname" : "All Applications", "shortname": "All Applications"}, "mIHC" : {"fullname" : "Multiplex immunohistochemistry", "shortname":"mIHC"}, "IHCP" : {"fullname" : "Immunohistochemistry (Formalin/PFA-fixed paraffin-embedded sections)", "shortname":"IHC-P"} }, "product-promise": { "all": "all", "testedAndGuaranteed": "tested", "guaranteed": "expected", "predicted": "predicted", "notRecommended": "not-recommended" } }, "values": { "Human": { "mIHC-species-checked": "testedAndGuaranteed", "mIHC-species-dilution-info": "", "mIHC-species-notes": "<p></p>", "IHCP-species-checked": "testedAndGuaranteed", "IHCP-species-dilution-info": "", "IHCP-species-notes": "<p></p>" } } }

Product details

ab251578 is the carrier-free version of ab223846.

Patented technology
Our RabMAb® technology is a patented hybridoma-based technology for making rabbit monoclonal antibodies. For details on our patents, please refer to RabMAb® patents.

What are the advantages of a recombinant monoclonal antibody?
This product is a recombinant monoclonal antibody, which offers several advantages including:

  • - High batch-to-batch consistency and reproducibility
  • - Improved sensitivity and specificity
  • - Long-term security of supply
  • - Animal-free batch production

For more information, read more on recombinant antibodies.

Conjugation ready
Our carrier-free antibodies are typically supplied in a PBS-only formulation, purified and free of BSA, sodium azide and glycerol. This conjugation-ready format is designed for use with fluorochromes, metal isotopes, oligonucleotides, and enzymes, which makes them ideal for antibody labelling, functional and cell-based assays, flow-based assays (e.g. mass cytometry) and Multiplex Imaging applications.

Use our conjugation kits for antibody conjugates that are ready-to-use in as little as 20 minutes with 1 minute hands-on-time and 100% antibody recovery: available for fluorescent dyes, HRP, biotin and gold.

Compatibility
This product is compatible with the Maxpar® Antibody Labeling Kit from Fluidigm, without the need for antibody preparation. Maxpar® is a trademark of Fluidigm Canada Inc.

Properties and storage information

Form
Liquid
Purification technique
Affinity purification Protein A
Storage buffer
pH: 7.2 - 7.4 Constituents: PBS
Shipped at conditions
Blue Ice
Appropriate short-term storage conditions
+4°C
Appropriate long-term storage conditions
+4°C
Storage information
Do Not Freeze

Supplementary information

This supplementary information is collated from multiple sources and compiled automatically.

MUC-6 also called gastric mucin is a large glycoprotein with a molecular mass around 500-1000 kDa. Cells in the stomach express MUC-6 where it plays a critical mechanical role in forming protective mucous barriers against harsh gastric environments. The glycoprotein forms viscous gels that coat the gastric mucosa creating a protective layer. These layers prevent autodigestion by gastric acid and pepsin safeguarding the underlying epithelium from damage.
Biological function summary

MUC-6 contributes to the defense of gastric tissues through its complex structure. The protein belongs to the mucin family characterized by their high carbohydrate content. MUC-6 interacts with other secreted mucins like MUC-5AC to form a protective gel. It acts as an important component in the maintenance of the gastric mucosal barrier ensuring the separation of stomach contents and epithelial surface. This gel traps pathogens and particles reducing their ability to cause infection or irritation.

Pathways

MUC-6 plays a role in mucosal immunity and epithelial signaling pathways. In the gastric mucosa pathway it links with proteins such as CLCA1 which influences mucin secretion and function. Another linked pathway is the oxidative stress pathway where MUC-6 partners with antioxidant enzymes to shield the stomach lining from oxidative damage. These pathways showcase how MUC-6 integrates a mechanical and biological defense system within the digestive tract.

Alterations in MUC-6 expression levels can influence conditions like gastric cancer and peptic ulcer disease. In gastric cancer abnormal methylation of the MUC-6 gene can contribute to tumorigenesis and tumor progression. In peptic ulcer disease deficient mucin levels particularly MUC-6 compromise the mucosal barrier function. Connections also exist with proteins like gastrin which elevate acid production and burden the mucosal defense emphasizing the relevance of MUC-6 in these gastric conditions.

Product protocols

For this product, it's our understanding that no specific protocols are required. You can visit:

Target data

May provide a mechanism for modulation of the composition of the protective mucus layer related to acid secretion or the presence of bacteria and noxious agents in the lumen. Plays an important role in the cytoprotection of epithelial surfaces and are used as tumor markers in a variety of cancers. May play a role in epithelial organogenesis.
See full target information MUC6

Publications (1)

Recent publications for all applications. Explore the full list and refine your search

Genetics in medicine : official journal of the American College of Medical Genetics 24:1821-1830 PubMed35616648

2022

Cancer Risk C (CR-C), a functional genomics test is a sensitive and rapid test for germline mismatch repair deficiency.

Applications

Unspecified application

Species

Unspecified reactive species

Ishraq Alim,Johnny Loke,Sarah Yam,Allyson S Templeton,Polly Newcomb,Noralane M Lindor,Rish K Pai,Mark A Jenkins,Daniel D Buchanan,Steven Gallinger,Susan Klugman,Harry Ostrer
View all publications

Product promise

We are committed to supporting your work with high-quality reagents, and we're here for you every step of the way. In the unlikely event that one of our products does not perform as expected, you're protected by our Product Promise.
For full details, please see our Terms & Conditions

Please note: All products are 'FOR RESEARCH USE ONLY. NOT FOR USE IN DIAGNOSTIC OR THERAPEUTIC PROCEDURES'.

For licensing inquiries, please contact partnerships@abcam.com