JavaScript is disabled in your browser. Please enable JavaScript to view this website.
AB16036

Anti-Gastrin antibody, prediluted

Be the first to review this product! Submit a review

|

(1 Publication)

Rabbit Polyclonal Gastrin antibody. Suitable for IHC-P and reacts with Human samples. Cited in 1 publication.

View Alternative Names

GAS, GAST, Gastrin

1 Images
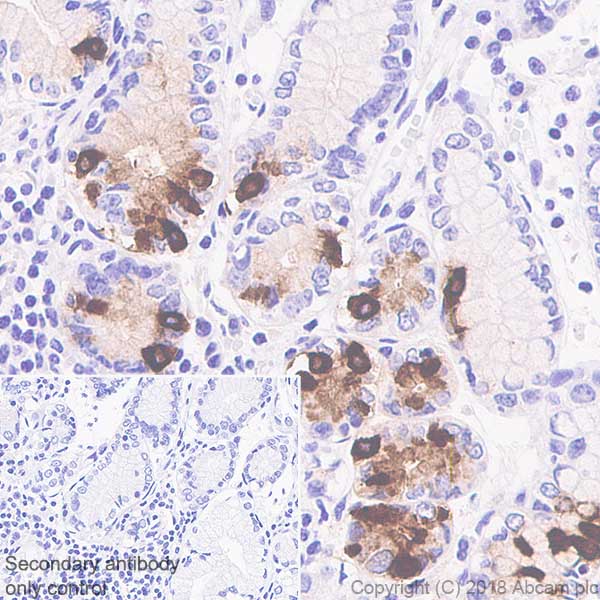
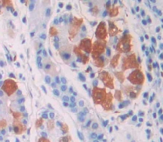
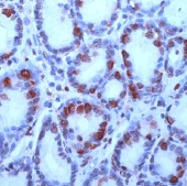
Immunohistochemistry (Formalin/PFA-fixed paraffin-embedded sections) - Anti-Gastrin antibody, prediluted (AB16036)
  • IHC-P

Supplier Data

Immunohistochemistry (Formalin/PFA-fixed paraffin-embedded sections) - Anti-Gastrin antibody, prediluted (AB16036)

ab16035 staining human Gastrin in stomach by Immunohistochemistry (FFPE-sections).

This data was developed using the undiluted version of this antibody (ab16035).

Key facts

Host species

Rabbit

Clonality

Polyclonal

Isotype

IgG

Carrier free

No

Reacts with

Human

Applications

IHC-P

applications

Immunogen

The exact immunogen used to generate this antibody is proprietary information.

Reactivity data

{ "title": "Reactivity Data", "filters": { "stats": ["", "Species", "Dilution Info", "Notes"], "tabs": { "all-applications": {"fullname" : "All Applications", "shortname": "All Applications"}, "IHCP" : {"fullname" : "Immunohistochemistry (Formalin/PFA-fixed paraffin-embedded sections)", "shortname":"IHC-P"} }, "product-promise": { "all": "all", "testedAndGuaranteed": "tested", "guaranteed": "expected", "predicted": "predicted", "notRecommended": "not-recommended" } }, "values": { "Human": { "IHCP-species-checked": "testedAndGuaranteed", "IHCP-species-dilution-info": "1/1", "IHCP-species-notes": "<p>Ready to use.</p>" }, "Dog": { "IHCP-species-checked": "predicted", "IHCP-species-dilution-info": "", "IHCP-species-notes": "" }, "Horse": { "IHCP-species-checked": "predicted", "IHCP-species-dilution-info": "", "IHCP-species-notes": "" } } }

Product details

This antibody may be used to study the differential tissue expression and intracellular and subcellular localization of gastrin in neuroendocrine cells of the gastrointestinal tract, and in the CNS. Antibodies to gastrin are also useful for the identification and detection of gastrin in normal and neoplastic tissue.

Properties and storage information

Form
Liquid
Purification technique
Affinity purification Immunogen
Storage buffer
pH: 7.6 Preservative: 0.1% Sodium azide Constituents: Tris buffered saline, 1% BSA
Shipped at conditions
Blue Ice
Appropriate long-term storage conditions
+4°C
Storage information
Do Not Freeze

Supplementary information

This supplementary information is collated from multiple sources and compiled automatically.

Gastrin sometimes referred to as gastrin peptide is a hormone consisting of 34 amino acids with a molecular mass of approximately 3.8 kDa. This protein is mainly expressed in the G cells of the stomach lining specifically the antrum but also found in the duodenum and pancreas. Gastrin operates by stimulating the secretion of gastric acid from parietal cells in the stomach playing an important role in the digestive process. The presence of gastrin can be detected through various methods like gastrin stain and antibodies such as anti-gastrin are often used for this purpose.
Biological function summary

Gastrin impacts digestion and is an important promoter of gastric acid secretion and mucosal growth. Gastrin does not assemble into larger protein complexes functioning instead as an independent peptide hormone. It exerts its effects by binding to the cholecystokinin B receptor (CCK-B) on target cells leading to increased intracellular calcium levels and activation of protein kinases. The interaction initiates a cascade of events facilitating digestion by optimizing the stomach's environment.

Pathways

Gastrin has a significant role in the gastrointestinal (GI) pathway where it activates the secretion of hydrochloric acid. It also influences the phosphoinositide pathway through its relationship with G-proteins. The hormonal action of gastrin involves several other proteins like somatostatin which serves as an inhibitory counterpart and histamine that works synergistically by promoting further acid secretion through different receptors.

Physicians often study gastrin in relation to conditions like Zollinger-Ellison syndrome and peptic ulcers. Zollinger-Ellison syndrome leads to excessive production of gastrin causing severe ulcerations and gastric acid secretions. Concurrently elevated gastrin levels sometimes associate with tumors like gastrinomas. The interplay between gastrin and H. pylori infection is pivotal for peptic ulcer development where bacteria-induced inflammation could alter gastrin's normal regulatory functions of acid secretion.

Product protocols

For this product, it's our understanding that no specific protocols are required. You can visit:

Target data

Gastrin stimulates the stomach mucosa to produce and secrete hydrochloric acid and the pancreas to secrete its digestive enzymes. It also stimulates smooth muscle contraction and increases blood circulation and water secretion in the stomach and intestine.
See full target information GAST

Publications (1)

Recent publications for all applications. Explore the full list and refine your search

Animals : an open access journal from MDPI 13: PubMed36611768

2022

Equine Stomach Development in the Foetal Period of Prenatal Life-An Immunohistochemical Study.

Applications

Unspecified application

Species

Unspecified reactive species

Dominik Poradowski,Aleksander Chrószcz
View all publications

Product promise

We are committed to supporting your work with high-quality reagents, and we're here for you every step of the way. In the unlikely event that one of our products does not perform as expected, you're protected by our Product Promise.
For full details, please see our Terms & Conditions

Please note: All products are 'FOR RESEARCH USE ONLY. NOT FOR USE IN DIAGNOSTIC OR THERAPEUTIC PROCEDURES'.

For licensing inquiries, please contact partnerships@abcam.com