JavaScript is disabled in your browser. Please enable JavaScript to view this website.
AB240980

Anti-Gastrin antibody [SP318] - BSA and Azide free

Be the first to review this product! Submit a review

|

(1 Publication)

Rabbit Recombinant Monoclonal Gastrin antibody. Carrier free. Suitable for IHC-P and reacts with Human samples. Cited in 1 publication.

View Alternative Names

GAS, GAST, Gastrin

2 Images
Immunohistochemistry (Formalin/PFA-fixed paraffin-embedded sections) - Anti-Gastrin antibody [SP318] - BSA and Azide free (AB240980)
  • IHC-P

Unknown

Immunohistochemistry (Formalin/PFA-fixed paraffin-embedded sections) - Anti-Gastrin antibody [SP318] - BSA and Azide free (AB240980)

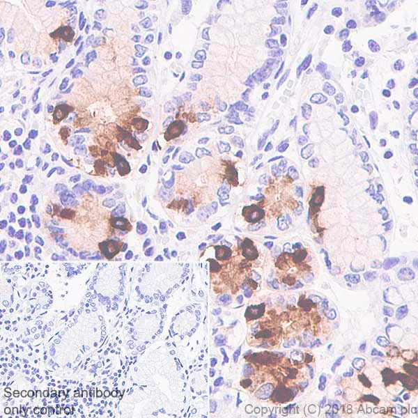
Immunohistochemistry (Formalin/PFA-fixed paraffin-embedded sections) analysis of Human stomach tissue sections labeling Gastrin with ab223501 at 1/100 dilution (1.08 μg/ml). Heat mediated antigen retrieval with Tris-EDTA buffer (pH 9.0, epitope retrieval solution 2) for 10 mins. Goat Anti-Rabbit & Mouse IgG (HRP) was used as the secondary antibody. Hematoxylin was used as a counterstain. Sporadic positive staining on the human stomach, performed on a Leica Biosystems BOND™ RX instrument.
The section was incubated with ab223501 for 10 mins at room temperature.

This image was generated using ab223501, the same clone, but with a different buffer formulation.

Immunohistochemistry (Formalin/PFA-fixed paraffin-embedded sections) - Anti-Gastrin antibody [SP318] - BSA and Azide free (AB240980)
  • IHC-P

Supplier Data

Immunohistochemistry (Formalin/PFA-fixed paraffin-embedded sections) - Anti-Gastrin antibody [SP318] - BSA and Azide free (AB240980)

Paraffin-embedded human stomach tissue stained for Gastrin using ab223501 at 1/100 dilution in immunohistochemical analysis.

This data was developed using the same antibody clone in a different buffer formulation containing PBS, BSA and sodium azide (ab223501).

Key facts

Host species

Rabbit

Clonality

Monoclonal

Clone number

SP318

Isotype

IgG

Carrier free

Yes

Reacts with

Human

Applications

IHC-P

applications

Immunogen

The exact immunogen used to generate this antibody is proprietary information.

Reactivity data

{ "title": "Reactivity Data", "filters": { "stats": ["", "Species", "Dilution Info", "Notes"], "tabs": { "all-applications": {"fullname" : "All Applications", "shortname": "All Applications"}, "IHCP" : {"fullname" : "Immunohistochemistry (Formalin/PFA-fixed paraffin-embedded sections)", "shortname":"IHC-P"} }, "product-promise": { "all": "all", "testedAndGuaranteed": "tested", "guaranteed": "expected", "predicted": "predicted", "notRecommended": "not-recommended" } }, "values": { "Human": { "IHCP-species-checked": "testedAndGuaranteed", "IHCP-species-dilution-info": "", "IHCP-species-notes": "<p></p>" } } }

Product details

ab240980 is the carrier-free version of ab223501.

What are the advantages of a recombinant monoclonal antibody?
This product is a recombinant monoclonal antibody, which offers several advantages including:

  • - High batch-to-batch consistency and reproducibility
  • - Improved sensitivity and specificity
  • - Long-term security of supply
  • - Animal-free batch production

For more information, read more on recombinant antibodies.

Conjugation ready
Our carrier-free antibodies are typically supplied in a PBS-only formulation, purified and free of BSA, sodium azide and glycerol. This conjugation-ready format is designed for use with fluorochromes, metal isotopes, oligonucleotides, and enzymes, which makes them ideal for antibody labelling, functional and cell-based assays, flow-based assays (e.g. mass cytometry) and Multiplex Imaging applications.

Use our conjugation kits for antibody conjugates that are ready-to-use in as little as 20 minutes with 1 minute hands-on-time and 100% antibody recovery: available for fluorescent dyes, HRP, biotin and gold.

Compatibility
This product is compatible with the Maxpar® Antibody Labeling Kit from Fluidigm, without the need for antibody preparation. Maxpar® is a trademark of Fluidigm Canada Inc.

Properties and storage information

Form
Liquid
Purification technique
Affinity purification Protein A/G
Storage buffer
pH: 7.2 - 7.4 Constituents: PBS
Shipped at conditions
Blue Ice
Appropriate short-term storage conditions
+4°C
Appropriate long-term storage conditions
+4°C
Storage information
Do Not Freeze

Supplementary information

This supplementary information is collated from multiple sources and compiled automatically.

Gastrin sometimes referred to as gastrin peptide is a hormone consisting of 34 amino acids with a molecular mass of approximately 3.8 kDa. This protein is mainly expressed in the G cells of the stomach lining specifically the antrum but also found in the duodenum and pancreas. Gastrin operates by stimulating the secretion of gastric acid from parietal cells in the stomach playing an important role in the digestive process. The presence of gastrin can be detected through various methods like gastrin stain and antibodies such as anti-gastrin are often used for this purpose.
Biological function summary

Gastrin impacts digestion and is an important promoter of gastric acid secretion and mucosal growth. Gastrin does not assemble into larger protein complexes functioning instead as an independent peptide hormone. It exerts its effects by binding to the cholecystokinin B receptor (CCK-B) on target cells leading to increased intracellular calcium levels and activation of protein kinases. The interaction initiates a cascade of events facilitating digestion by optimizing the stomach's environment.

Pathways

Gastrin has a significant role in the gastrointestinal (GI) pathway where it activates the secretion of hydrochloric acid. It also influences the phosphoinositide pathway through its relationship with G-proteins. The hormonal action of gastrin involves several other proteins like somatostatin which serves as an inhibitory counterpart and histamine that works synergistically by promoting further acid secretion through different receptors.

Physicians often study gastrin in relation to conditions like Zollinger-Ellison syndrome and peptic ulcers. Zollinger-Ellison syndrome leads to excessive production of gastrin causing severe ulcerations and gastric acid secretions. Concurrently elevated gastrin levels sometimes associate with tumors like gastrinomas. The interplay between gastrin and H. pylori infection is pivotal for peptic ulcer development where bacteria-induced inflammation could alter gastrin's normal regulatory functions of acid secretion.

Product protocols

For this product, it's our understanding that no specific protocols are required. You can visit:

Target data

Gastrin stimulates the stomach mucosa to produce and secrete hydrochloric acid and the pancreas to secrete its digestive enzymes. It also stimulates smooth muscle contraction and increases blood circulation and water secretion in the stomach and intestine.
See full target information GAST

Publications (1)

Recent publications for all applications. Explore the full list and refine your search

Molecular cancer 20:123 PubMed34579723

2021

p113 isoform encoded by CUX1 circular RNA drives tumor progression via facilitating ZRF1/BRD4 transactivation.

Applications

Unspecified application

Species

Unspecified reactive species

Feng Yang,Anpei Hu,Yanhua Guo,Jianqun Wang,Dan Li,Xiaojing Wang,Shikai Jin,Boling Yuan,Shuang Cai,Yi Zhou,Qilan Li,Guo Chen,Haiyang Gao,Liduan Zheng,Qiangsong Tong
View all publications

Product promise

We are committed to supporting your work with high-quality reagents, and we're here for you every step of the way. In the unlikely event that one of our products does not perform as expected, you're protected by our Product Promise.
For full details, please see our Terms & Conditions

Please note: All products are 'FOR RESEARCH USE ONLY. NOT FOR USE IN DIAGNOSTIC OR THERAPEUTIC PROCEDURES'.

For licensing inquiries, please contact partnerships@abcam.com