JavaScript is disabled in your browser. Please enable JavaScript to view this website.
AB216405

Anti-Gastrin Releasing Peptide antibody

Be the first to review this product! Submit a review

|

(1 Publication)

Rabbit Polyclonal GRP antibody. Suitable for IHC-P and reacts with Rat samples. Cited in 1 publication. Immunogen corresponding to Synthetic Peptide within Human Gastrin-releasing peptide conjugated to Keyhole Limpet Haemocyanin.

View Alternative Names

Gastrin-releasing peptide, GRP

1 Images
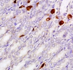
Immunohistochemistry (Formalin/PFA-fixed paraffin-embedded sections) - Anti-Gastrin Releasing Peptide antibody (AB216405)
  • IHC-P

Supplier Data

Immunohistochemistry (Formalin/PFA-fixed paraffin-embedded sections) - Anti-Gastrin Releasing Peptide antibody (AB216405)

Immunohistochemical analysis of formalin-fixed, paraffin-embedded rat stomach tissue labeling Gastrin Releasing Peptide with ab216405 at 1/400 dilution followed by conjugation to the secondary antibody and DAB staining.

Key facts

Host species

Rabbit

Clonality

Polyclonal

Isotype

IgG

Carrier free

No

Reacts with

Rat

Applications

IHC-P

applications

Immunogen

Synthetic Peptide within Human Gastrin-releasing peptide conjugated to Keyhole Limpet Haemocyanin. The exact immunogen used to generate this antibody is proprietary information.

P07492

Reactivity data

{ "title": "Reactivity Data", "filters": { "stats": ["", "Species", "Dilution Info", "Notes"], "tabs": { "all-applications": {"fullname" : "All Applications", "shortname": "All Applications"}, "IHCP" : {"fullname" : "Immunohistochemistry (Formalin/PFA-fixed paraffin-embedded sections)", "shortname":"IHC-P"} }, "product-promise": { "all": "all", "testedAndGuaranteed": "tested", "guaranteed": "expected", "predicted": "predicted", "notRecommended": "not-recommended" } }, "values": { "Human": { "IHCP-species-checked": "predicted", "IHCP-species-dilution-info": "", "IHCP-species-notes": "" }, "Rat": { "IHCP-species-checked": "testedAndGuaranteed", "IHCP-species-dilution-info": "1/100 - 1/500", "IHCP-species-notes": "<p></p>" } } }

Properties and storage information

Form
Liquid
Purification technique
Affinity purification Protein A
Storage buffer
pH: 7.4 Preservative: 0.02% Proclin 300 Constituents: 50% Glycerol (glycerin, glycerine), 48.98% TBS, 1X, 1% BSA
Shipped at conditions
Blue Ice
Appropriate short-term storage duration
1-2 weeks
Appropriate short-term storage conditions
+4°C
Appropriate long-term storage conditions
-20°C
Aliquoting information
Upon delivery aliquot
Storage information
Avoid freeze / thaw cycle

Supplementary information

This supplementary information is collated from multiple sources and compiled automatically.

Gastrin-Releasing Peptide (GRP) also known as the bombesin-like peptide is a 27-amino acid peptide with a molecular mass of approximately 3 kDa. GRP is synthesized in the gastrointestinal tract where it plays a role in the regulation of gastric acid secretion and gut motility. It is also expressed in the central nervous system especially in regions associated with sensory and autonomic functions. The peptide's expression in neuroendocrine cells further signifies its involvement in neurotransmitter and hormone release.
Biological function summary

GRP functions in stimulating the release of gastrin a hormone that promotes gastric acid secretion and mucosal growth. It does not act in isolation; instead GRP often forms part of a neuropeptide network that influences gastric functions and energy metabolism. Additionally it modulates inflammatory responses and cellular communication in tissues where it is active. This diverse range of functions highlights the peptide's role in maintaining physiological balance.

Pathways

The gastrin-releasing peptide engages primarily in the gastrin-related pathways which involve gastric acid secretion. GRP acts upstream of the pathway by binding to its receptor the GRP receptor (GRPR) promoting the release of gastrin from G cells. Interaction with other proteins in this system such as cholecystokinin and secretin help regulate digestive functions. Additionally GRP is a part of the signaling pathways that influence the release of insulin and other hormones that are pivotal to digestive efficiency.

GRP has associations with certain cancers like prostate cancer and small cell lung cancer where it acts as an autocrine growth factor. These cancers often show elevated levels of GRP suggesting its role in cancer cell proliferation. Furthermore higher levels of GRP may link to inflammatory bowel disease as it modulates immune and inflammatory responses in the gut. In these contexts GRP interacts with proteins involved in tumorigenesis and inflammation providing potential targets for therapeutic intervention.

Product protocols

For this product, it's our understanding that no specific protocols are required. You can visit:

Target data

Stimulates the release of gastrin and other gastrointestinal hormones (By similarity). Contributes to the perception of prurient stimuli and to the transmission of itch signals in the spinal cord that promote scratching behavior (By similarity). Contributes primarily to nonhistaminergic itch sensation (By similarity). In one study, shown to act in the amygdala as part of an inhibitory network which inhibits memory specifically related to learned fear (By similarity). In another study, shown to act on vasoactive intestinal peptide (VIP)-expressing cells in the auditory cortex, most likely via extrasynaptic diffusion from local and long-range sources, to mediate disinhibition of glutamatergic cells via VIP cell-specific GRPR signaling which leads to enhanced auditory fear memories (By similarity). Contributes to the regulation of food intake (By similarity). Inhibits voltage-gated sodium channels but enhances voltage-gated potassium channels in hippocampal neurons (By similarity). Induces sighing by acting directly on the pre-Botzinger complex, a cluster of several thousand neurons in the ventrolateral medulla responsible for inspiration during respiratory activity (By similarity).. Neuromedin-C. Induces an itch response through activation of receptors present on mast cells, triggering mast cell degranulation.
See full target information Gastrin-releasing peptide

Publications (1)

Recent publications for all applications. Explore the full list and refine your search

Bioactive materials 46:406-422 PubMed39850022

2025

Injectable thermosensitive antibiotic-laden chitosan hydrogel for regenerative endodontics.

Applications

Unspecified application

Species

Unspecified reactive species

Alexandre Henrique Dos Reis-Prado,Maedeh Rahimnejad,Renan Dal-Fabbro,Priscila Toninatto Alves de Toledo,Caroline Anselmi,Pedro Henrique Chaves de Oliveira,J Christopher Fenno,Luciano Tavares Angelo Cintra,Francine Benetti,Marco C Bottino
View all publications

Product promise

We are committed to supporting your work with high-quality reagents, and we're here for you every step of the way. In the unlikely event that one of our products does not perform as expected, you're protected by our Product Promise.
For full details, please see our Terms & Conditions

Please note: All products are 'FOR RESEARCH USE ONLY. NOT FOR USE IN DIAGNOSTIC OR THERAPEUTIC PROCEDURES'.

For licensing inquiries, please contact partnerships@abcam.com