JavaScript is disabled in your browser. Please enable JavaScript to view this website.
AB230990

Anti-Gastrokine 1 antibody

Be the first to review this product! Submit a review

|

(1 Publication)

Rabbit Polyclonal Gastrokine 1 antibody. Suitable for WB, IHC-P and reacts with Mouse, Rat samples. Cited in 1 publication.

View Alternative Names

Amp18, Ca11, Gkn1, Gastrokine-1, 18 kDa antrum mucosa protein, Protein CA11 homolog, AMP-18

4 Images
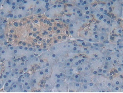
Immunohistochemistry (Formalin/PFA-fixed paraffin-embedded sections) - Anti-Gastrokine 1 antibody (AB230990)
  • IHC-P

Supplier Data

Immunohistochemistry (Formalin/PFA-fixed paraffin-embedded sections) - Anti-Gastrokine 1 antibody (AB230990)

Formalin-fixed, paraffin-embedded rat stomach tissue stained for Gastrokine 1 with ab230990 at 20 μg/ml in immunohistochemical analysis.

Western blot - Anti-Gastrokine 1 antibody (AB230990)
  • WB

Supplier Data

Western blot - Anti-Gastrokine 1 antibody (AB230990)

All lanes:

Western blot - Anti-Gastrokine 1 antibody (ab230990) at 2 µg/mL

All lanes:

Recombinant rat Gastrokine 1 protein

Predicted band size: 22 kDa,85 kDa

false

Western blot - Anti-Gastrokine 1 antibody (AB230990)
  • WB

Supplier Data

Western blot - Anti-Gastrokine 1 antibody (AB230990)

All lanes:

Western blot - Anti-Gastrokine 1 antibody (ab230990) at 2 µg/mL

All lanes:

Mouse stomach lysate

Predicted band size: 22 kDa

false

Western blot - Anti-Gastrokine 1 antibody (AB230990)
  • WB

Supplier Data

Western blot - Anti-Gastrokine 1 antibody (AB230990)

All lanes:

Western blot - Anti-Gastrokine 1 antibody (ab230990) at 2 µg/mL

All lanes:

Rat stomach lysate

Predicted band size: 10 kDa,11 kDa,15 kDa,19 kDa,22 kDa,26 kDa,31 kDa

false

Key facts

Host species

Rabbit

Clonality

Polyclonal

Isotype

IgG

Carrier free

No

Reacts with

Mouse, Rat

Applications

WB, IHC-P

applications

Reactivity data

{ "title": "Reactivity Data", "filters": { "stats": ["", "Species", "Dilution Info", "Notes"], "tabs": { "all-applications": {"fullname" : "All Applications", "shortname": "All Applications"}, "WB" : {"fullname" : "Western blot", "shortname":"WB"}, "IHCP" : {"fullname" : "Immunohistochemistry (Formalin/PFA-fixed paraffin-embedded sections)", "shortname":"IHC-P"} }, "product-promise": { "all": "all", "testedAndGuaranteed": "tested", "guaranteed": "expected", "predicted": "predicted", "notRecommended": "not-recommended" } }, "values": { "Mouse": { "WB-species-checked": "testedAndGuaranteed", "WB-species-dilution-info": "2-2 µg/mL", "WB-species-notes": "<p></p>", "IHCP-species-checked": "guaranteed", "IHCP-species-dilution-info": "", "IHCP-species-notes": "" }, "Rat": { "WB-species-checked": "testedAndGuaranteed", "WB-species-dilution-info": "2-2 µg/mL", "WB-species-notes": "<p></p>", "IHCP-species-checked": "testedAndGuaranteed", "IHCP-species-dilution-info": "5-20 µg/mL", "IHCP-species-notes": "<p></p>" } } }

Properties and storage information

Form
Liquid
Purification technique
Affinity purification Immunogen
Purification notes
ab230990 was purified by antigen-specific affinity chromatography followed by Protein A affinity chromatography.
Storage buffer
pH: 7.4 Preservative: 0.011% Proclin 300 Constituents: PBS, 55.77% Glycerol (glycerin, glycerine)
Shipped at conditions
Blue Ice
Appropriate short-term storage duration
1-2 weeks
Appropriate short-term storage conditions
+4°C
Appropriate long-term storage conditions
-20°C
Aliquoting information
Upon delivery aliquot
Storage information
Avoid freeze / thaw cycle

Supplementary information

This supplementary information is collated from multiple sources and compiled automatically.

Gastrokine 1 also known as GKN1 is a protein with a molecular weight of approximately 18 kDa. It is expressed mainly in the gastric epithelium. This protein plays a mechanical role in maintaining gastric mucosal integrity. It has been associated with epithelial cell differentiation and proliferation a process important for stomach lining health. Gastrokine 1 interacts with other cellular components to stabilize and repair the gastric mucosa following injury or stress.
Biological function summary

This protein supports gastric mucosal defense mechanisms. It participates in maintaining the epithelial barrier against harmful digestive enzymes and pathogens. Gastrokine 1 is not part of a larger protein complex but operates independently to influence mucosal protection. Its ability to modulate cell turnover and repair processes highlights its importance in sustaining gastric homeostasis.

Pathways

Gastrokine 1 functions within the gastric mucosal protective pathway. It often relates to the signaling pathways involving epidermal growth factor receptor (EGFR) and inflammation mediation. The absence or reduction of GKN1 can disrupt these pathways impacting other proteins such as MUC5AC which also contribute to the protective mucosal barrier. The interaction between these proteins ensures a coordinated response in maintaining the stomach lining integrity.

Alterations in Gastrokine 1 expression have associations with gastric cancer and gastritis. Reduced levels of this protein often correspond with increased gastric epithelial damage and carcinogenesis risks. GKN1's association with diseases like gastric cancer makes it a potential biomarker. Additionally its interaction with Helicobacter pylori a bacterium linked to chronic gastritis and cancer demonstrates the protein's critical role in disease prevention.

Product protocols

For this product, it's our understanding that no specific protocols are required. You can visit:

Target data

Has mitogenic activity and may be involved in maintaining the integrity of the gastric mucosal epithelium.
See full target information Gkn1

Publications (1)

Recent publications for all applications. Explore the full list and refine your search

Journal of virology 95: PubMed33361420

2021

Fowl Adenovirus Serotype 4 Induces Hepatic Steatosis via Activation of Liver X Receptor-α.

Applications

Unspecified application

Species

Unspecified reactive species

Feng Yuan,Lei Hou,Li Wei,Rong Quan,Jing Wang,Hao Liu,Jue Liu
View all publications

Product promise

We are committed to supporting your work with high-quality reagents, and we're here for you every step of the way. In the unlikely event that one of our products does not perform as expected, you're protected by our Product Promise.
For full details, please see our Terms & Conditions

Please note: All products are 'FOR RESEARCH USE ONLY. NOT FOR USE IN DIAGNOSTIC OR THERAPEUTIC PROCEDURES'.

For licensing inquiries, please contact partnerships@abcam.com