JavaScript is disabled in your browser. Please enable JavaScript to view this website.
AB241393

Anti-GATA1 antibody [EPR17362] - ChIP Grade - BSA and Azide free

Be the first to review this product! Submit a review

|

(2 Publications)

Knockout Tested Rabbit Recombinant Monoclonal GATA1 antibody. Carrier free. Suitable for IP, ChIP, WB, IHC-P and reacts with Human samples. Cited in 2 publications.

View Alternative Names

ERYF1, GF1, GATA1, Erythroid transcription factor, Eryf1, GATA-binding factor 1, NF-E1 DNA-binding protein, GATA-1, GF-1

6 Images
Immunohistochemistry (Formalin/PFA-fixed paraffin-embedded sections) - Anti-GATA1 antibody [EPR17362] - ChIP Grade - BSA and Azide free (AB241393)
  • IHC-P

Supplier Data

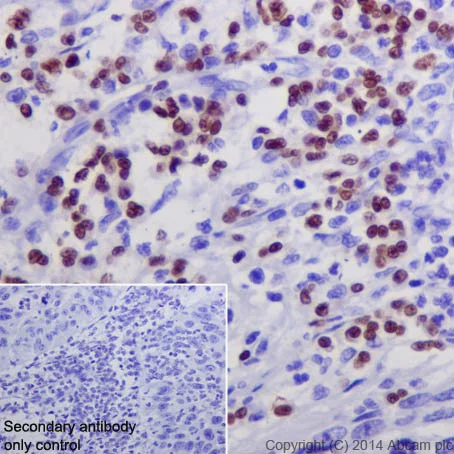
Immunohistochemistry (Formalin/PFA-fixed paraffin-embedded sections) - Anti-GATA1 antibody [EPR17362] - ChIP Grade - BSA and Azide free (AB241393)

Immunohistochemical analysis of paraffin-embedded Human cervix carcinoma tissue labeling GATA1 with ab181544 at 1/100 dilution, followed by Goat Anti-Rabbit IgG H&L (HRP) (ab97051) secondary antibody at 1/500 dilution. Nuclear staining on leukocyte of Human cervical cancer is observed. Counterstained with Hematoxylin.

Negative control : Used PBS instead of primary antibody, secondary antibody is Goat Anti-Rabbit IgG H&L (HRP) (ab97051) at 1/500 dilution.

This data was developed using the same antibody clone in a different buffer formulation containing PBS, BSA, glycerol, and sodium azide (ab181544).

Perform heat mediated antigen retrieval with Tris/EDTA buffer pH 9.0 before commencing with IHC staining protocol.

Immunohistochemistry (Formalin/PFA-fixed paraffin-embedded sections) - Anti-GATA1 antibody [EPR17362] - ChIP Grade - BSA and Azide free (AB241393)
  • IHC-P

Supplier Data

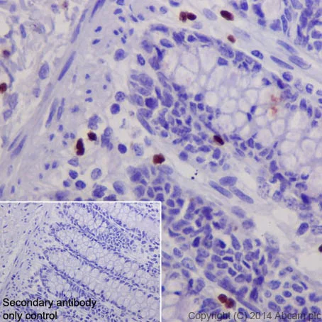
Immunohistochemistry (Formalin/PFA-fixed paraffin-embedded sections) - Anti-GATA1 antibody [EPR17362] - ChIP Grade - BSA and Azide free (AB241393)

Immunohistochemical analysis of paraffin-embedded Human colon tissue labeling GATA1 with ab181544 at 1/100 dilution, followed by Goat Anti-Rabbit IgG H&L (HRP) (ab97051) secondary antibody at 1/500 dilution. Nuclear staining on leukocyte of Human colon stroma is observed. Counterstained with Hematoxylin.

Negative control : Used PBS instead of primary antibody, secondary antibody is Goat Anti-Rabbit IgG H&L (HRP) (ab97051) at 1/500 dilution.

This data was developed using the same antibody clone in a different buffer formulation containing PBS, BSA, glycerol, and sodium azide (ab181544).

Perform heat mediated antigen retrieval with Tris/EDTA buffer pH 9.0 before commencing with IHC staining protocol.

ChIP - Anti-GATA1 antibody [EPR17362] - ChIP Grade - BSA and Azide free (AB241393)
  • ChIP

Supplier Data

ChIP - Anti-GATA1 antibody [EPR17362] - ChIP Grade - BSA and Azide free (AB241393)

Chromatin was prepared from K562 (Human chronic myelogenous leukemia cells from bone marrow) cells according to the Abcam X-ChIP protocol. Cells were fixed with formaldehyde for 10 minutes. The ChIP was performed with 25µg of chromatin, 5µg of ab181544 (blue), and 20µl of Anti rabbit IgG sepharose beads. 5μg of rabbit normal IgG was added to the beads control (yellow). The immunoprecipitated DNA was quantified by real time PCR (Sybr green approach).

“pro” stands for promoter region, while “NC2” stands for negative control which is negative loci at the promoter region.

This data was developed using the same antibody clone in a different buffer formulation containing PBS, BSA, glycerol, and sodium azide (ab181544).

Western blot - Anti-GATA1 antibody [EPR17362] - ChIP Grade - BSA and Azide free (AB241393)
  • WB

Lab

Western blot - Anti-GATA1 antibody [EPR17362] - ChIP Grade - BSA and Azide free (AB241393)

This data was developed using the same antibody clone in a different buffer formulation (ab181544).

Western blot : Anti-GATA1 antibody [EPR17362] (ab181544) staining at 1/10000 dilution, shown in green; Mouse anti-CANX [CANX/1543] (ab238078) loading control staining at 1/20000 dilution, shown in magenta. In Western blot, ab181544 was shown to bind specifically to GATA1. A band was observed at 45 kDa in wild-type K562 cell lysates with no signal observed at this size in GATA1 knockout cell line ab285360 (knockout K562 cell lysate). To generate this image, wild-type and GATA1 knockout K562 cell lysates were analysed. First, samples were run on an SDS-PAGE gel then transferred onto a nitrocellulose membrane. Membranes were blocked in 3 % milk in TBS-0.1 % Tween® 20 (TBS-T) before incubation with primary antibodies overnight at 4 °C. Blots were washed four times in TBS-T, incubated with secondary antibodies for 1 h at room temperature, washed again four times then imaged. Secondary antibodies used were Goat anti-Rabbit IgG H&L 800CW and Goat anti-Mouse IgG H&L 680RD at 1/20000 dilution.

All lanes:

Western blot - Anti-GATA1 antibody [EPR17362] - ChIP Grade (<a href='/en-us/products/primary-antibodies/gata1-antibody-epr17362-chip-grade-ab181544'>ab181544</a>) at 1/10000 dilution

Lane 1:

Wild-type K562 cell lysate at 20 µg

Lane 2:

GATA1 knockout K562 cell lysate at 20 µg

Secondary

All lanes:

Goat anti-Rabbit IgG H&L 800CW and Goat anti-Mouse IgG H&L 680RD at 1/20000 dilution

Observed band size: 45 kDa

false

Western blot - Anti-GATA1 antibody [EPR17362] - ChIP Grade - BSA and Azide free (AB241393)
  • WB

Lab

Western blot - Anti-GATA1 antibody [EPR17362] - ChIP Grade - BSA and Azide free (AB241393)

This data was developed using the same antibody clone in a different buffer formulation containing PBS, BSA, glycerol, and sodium azide (ab181544). False colour image of Western blot : Anti-GATA1 antibody [EPR17362] - ChIP Grade staining at 1/10000 dilution, shown in green; Mouse anti-Alpha Tubulin [DM1A] (ab7291) loading control staining at 1/20000 dilution, shown in red. In Western blot, ab181544 was shown to bind specifically to GATA1. A band was observed at 48 kDa in wild-type K562 cell lysates with no signal observed at this size in GATA1 knockout cell line ab285360 (knockout cell lysate ab289686). To generate this image, wild-type and GATA1 knockout K562 cell lysates were analysed. First, samples were run on an SDS-PAGE gel then transferred onto a nitrocellulose membrane. Membranes were blocked in 3 % milk in TBS-0.1 % Tween® 20 (TBS-T) before incubation with primary antibodies overnight at 4 °C. Blots were washed four times in TBS-T, incubated with secondary antibodies for 1 h at room temperature, washed again four times then imaged. Secondary antibodies used were Goat anti-Rabbit IgG H&L 800CW and Goat anti-Mouse IgG H&L 680RD at 1/20000 dilution.

All lanes:

Western blot - Anti-GATA1 antibody [EPR17362] - ChIP Grade (<a href='/en-us/products/primary-antibodies/gata1-antibody-epr17362-chip-grade-ab181544'>ab181544</a>) at 1/10000 dilution

Lane 1:

Wild-type K562 cell lysate at 20 µg

Lane 2:

GATA1 [C116] knockout K562 cell lysate at 20 µg

Lane 3:

MOLT-4 cell lysate

Lane 4:

HeLa cell lysate

Secondary

All lanes:

Goat anti-Rabbit IgG H&L 800CW and Goat anti-Mouse IgG H&L 680RD at 1/20000 dilution

Predicted band size: 43 kDa

Observed band size: 48 kDa

false

Immunoprecipitation - Anti-GATA1 antibody [EPR17362] - ChIP Grade - BSA and Azide free (AB241393)
  • IP

Supplier Data

Immunoprecipitation - Anti-GATA1 antibody [EPR17362] - ChIP Grade - BSA and Azide free (AB241393)

GATA1 was immunoprecipitated from 1mg of K562 (Human chronic myelogenous leukemia cells from bone marrow) whole cell extract with ab181544 at 1/70 dilution. Western blot was performed from the immunoprecipitate using ab181544 at 1/1000 dilution. Anti-Rabbit IgG (HRP), specific to the non-reduced form of IgG, was used as secondary antibody at 1/1500 dilution.

Lane 1 : K562 whole cell extract 10 μg (Input).
Lane 2 : ab181544 IP in K562 whole cell extract.
Lane 3 : Rabbit monoclonal IgG (ab172730) instead of ab181544 in K562 whole cell extract.
Blocking and dilution buffer and concentration : 5% NFDM/TBST.

This data was developed using the same antibody clone in a different buffer formulation containing PBS, BSA, glycerol, and sodium azide (ab181544).

All lanes:

Immunoprecipitation - Anti-GATA1 antibody [EPR17362] - ChIP Grade (<a href='/en-us/products/primary-antibodies/gata1-antibody-epr17362-chip-grade-ab181544'>ab181544</a>)

Predicted band size: 43 kDa

false

Key facts

Host species

Rabbit

Clonality

Monoclonal

Clone number

EPR17362

Isotype

IgG

Carrier free

Yes

Reacts with

Human

Applications

ChIP, IP, WB, IHC-P

applications

Immunogen

The exact immunogen used to generate this antibody is proprietary information.

Reactivity data

{ "title": "Reactivity Data", "filters": { "stats": ["", "Species", "Dilution Info", "Notes"], "tabs": { "all-applications": {"fullname" : "All Applications", "shortname": "All Applications"}, "IP" : {"fullname" : "Immunoprecipitation", "shortname":"IP"}, "ChIP" : {"fullname" : "ChIP", "shortname":"ChIP"}, "WB" : {"fullname" : "Western blot", "shortname":"WB"}, "IHCP" : {"fullname" : "Immunohistochemistry (Formalin/PFA-fixed paraffin-embedded sections)", "shortname":"IHC-P"} }, "product-promise": { "all": "all", "testedAndGuaranteed": "tested", "guaranteed": "expected", "predicted": "predicted", "notRecommended": "not-recommended" } }, "values": { "Human": { "IP-species-checked": "testedAndGuaranteed", "IP-species-dilution-info": "", "IP-species-notes": "<p></p>", "ChIP-species-checked": "testedAndGuaranteed", "ChIP-species-dilution-info": "", "ChIP-species-notes": "<p></p>", "WB-species-checked": "testedAndGuaranteed", "WB-species-dilution-info": "", "WB-species-notes": "<p></p>", "IHCP-species-checked": "testedAndGuaranteed", "IHCP-species-dilution-info": "", "IHCP-species-notes": "<p></p>" }, "Mouse": { "IP-species-checked": "notRecommended", "IP-species-dilution-info": "", "IP-species-notes": "<p></p>", "ChIP-species-checked": "notRecommended", "ChIP-species-dilution-info": "", "ChIP-species-notes": "", "WB-species-checked": "notRecommended", "WB-species-dilution-info": "", "WB-species-notes": "", "IHCP-species-checked": "notRecommended", "IHCP-species-dilution-info": "", "IHCP-species-notes": "" } } }

Product details

ab241393 is the carrier-free version of ab181544.

Patented technology
Our RabMAb® technology is a patented hybridoma-based technology for making rabbit monoclonal antibodies. For details on our patents, please refer to RabMAb® patents.

What are the advantages of a recombinant monoclonal antibody?
This product is a recombinant monoclonal antibody, which offers several advantages including:

  • - High batch-to-batch consistency and reproducibility
  • - Improved sensitivity and specificity
  • - Long-term security of supply
  • - Animal-free batch production

For more information, read more on recombinant antibodies.

Conjugation ready
Our carrier-free antibodies are typically supplied in a PBS-only formulation, purified and free of BSA, sodium azide and glycerol. This conjugation-ready format is designed for use with fluorochromes, metal isotopes, oligonucleotides, and enzymes, which makes them ideal for antibody labelling, functional and cell-based assays, flow-based assays (e.g. mass cytometry) and Multiplex Imaging applications.

Use our conjugation kits for antibody conjugates that are ready-to-use in as little as 20 minutes with 1 minute hands-on-time and 100% antibody recovery: available for fluorescent dyes, HRP, biotin and gold.

Compatibility
This product is compatible with the Maxpar® Antibody Labeling Kit from Fluidigm, without the need for antibody preparation. Maxpar® is a trademark of Fluidigm Canada Inc.

Properties and storage information

Form
Liquid
Purification technique
Affinity purification Protein A
Storage buffer
pH: 7.2 - 7.4 Constituents: PBS
Shipped at conditions
Blue Ice
Appropriate short-term storage conditions
+4°C
Appropriate long-term storage conditions
+4°C
Storage information
Do Not Freeze

Supplementary information

This supplementary information is collated from multiple sources and compiled automatically.

GATA1 also known as GATA-binding factor 1 is a transcription factor weighing approximately 42 kDa. This protein binds to the DNA sequence "GATA" within the regulatory regions of target genes to control their expression. GATA1 is mostly expressed in hematopoietic cells especially erythroid cells megakaryocytes eosinophils and mast cells. Its specific expression pattern allows it to regulate genes essential for the development and function of these cell types.
Biological function summary

GATA1 regulates gene expression and is essential for erythroid and megakaryocyte differentiation. GATA1 belongs to a family of GATA transcription factors and can form regulatory complexes with other proteins such as FOG1 (Friend of GATA1) and TAL1. These complexes facilitate the binding of GATA1 to DNA enhancing its transcriptional activity on target gene sets necessary for blood cell maturation and function.

Pathways

GATA1 participates in the erythropoiesis and megakaryopoiesis pathways. It directly regulates several genes and coordinates signals with factors like GATA2 and RUNX1 which are other key proteins involved in these pathways. Through these interactions GATA1 ensures the correct development of red blood cells and platelets maintaining hematopoietic homeostasis in the organism.

Abnormal GATA1 function is linked to blood-related disorders. Mutations or dysregulations of GATA1 can lead to diseases such as X-linked thrombocytopenia with dyserythropoietic anemia which involves low platelet count and ineffective red blood cell production. Moreover GATA1 mutations are associated with certain leukemias particularly acute megakaryoblastic leukemia. GATA1's dysfunction in these diseases often occurs in conjunction with abnormalities in related proteins like GATA2 influencing disease progression and phenotype.

Product protocols

For this product, it's our understanding that no specific protocols are required. You can visit:

Target data

Transcriptional activator or repressor which serves as a general switch factor for erythroid development (PubMed : 35030251). It binds to DNA sites with the consensus sequence 5'-[AT]GATA[AG]-3' within regulatory regions of globin genes and of other genes expressed in erythroid cells. Activates the transcription of genes involved in erythroid differentiation of K562 erythroleukemia cells, including HBB, HBG1/2, ALAS2 and HMBS (PubMed : 24245781).
See full target information GATA1

Publications (2)

Recent publications for all applications. Explore the full list and refine your search

Nature cancer : PubMed40999053

2025

SMAD4 induces opposite effects on metastatic growth from pancreatic tumors depending on the organ of residence.

Applications

Unspecified application

Species

Unspecified reactive species

Kaloyan M Tsanov,Francisco M Barriga,Yu-Jui Ho,Direna Alonso-Curbelo,Geulah Livshits,Sha Tian,Richard P Koche,Timour Baslan,Janelle Simon,Alexandra N Wuest,José Reyes,Jin Park,Wei Luan,John E Wilkinson,Umesh Bhanot,Jordana Ray-Kirton,Ignas Masilionis,Nevenka Dimitrova,Christine A Iacobuzio-Donahue,Ronan Chaligné,Dana Pe'er,Joan Massagué,Scott W Lowe

Nature methods 19:547-553 PubMed35501385

2022

NEAT-seq: simultaneous profiling of intra-nuclear proteins, chromatin accessibility and gene expression in single cells.

Applications

Unspecified application

Species

Unspecified reactive species

Amy F Chen,Benjamin Parks,Arwa S Kathiria,Benjamin Ober-Reynolds,Jorg J Goronzy,William J Greenleaf
View all publications

Product promise

We are committed to supporting your work with high-quality reagents, and we're here for you every step of the way. In the unlikely event that one of our products does not perform as expected, you're protected by our Product Promise.
For full details, please see our Terms & Conditions

Please note: All products are 'FOR RESEARCH USE ONLY. NOT FOR USE IN DIAGNOSTIC OR THERAPEUTIC PROCEDURES'.

For licensing inquiries, please contact partnerships@abcam.com