JavaScript is disabled in your browser. Please enable JavaScript to view this website.
AB300613

Anti-GATA1 antibody [EPR26488-109]

  • BOND RX™ Validated
  • 20ul selling size
  • RabMAb
  • Recombinant
  • What is this?

Be the first to review this product! Submit a review

|

(0 Publication)

Rabbit Recombinant Monoclonal GATA1 antibody. Suitable for WB, IHC-P, IHC-Fr and reacts with Mouse, Rat samples.

View Alternative Names

Gf-1, Gata1, Erythroid transcription factor, Eryf1, GATA-binding factor 1, NF-E1 DNA-binding protein, GATA-1, GF-1

6 Images
Immunohistochemistry (Formalin/PFA-fixed paraffin-embedded sections) - Anti-GATA1 antibody [EPR26488-109] (AB300613)
  • IHC-P

Lab

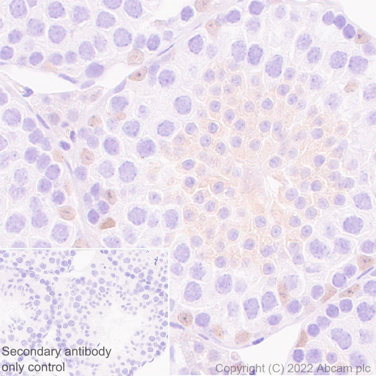
Immunohistochemistry (Formalin/PFA-fixed paraffin-embedded sections) - Anti-GATA1 antibody [EPR26488-109] (AB300613)

Immunohistochemical analysis of paraffin-embedded mouse testis tissue labelling GATA1 with ab300613 for 30 minutes at room temperature at 1/5000 dilution, followed by Rabbit specific IHC polymer detection kit HRP/DAB as secondary (ab209101) Ready to use. Slides were incubated with 3% Hydrogen Peroxide for 10 mins at room temperature after secondary antibody incubation to reduce the background. Strong specific expression observed in mouse Sertoli cells of testis, although some background staining existed in sperm cells. Counter stained with Hematoxylin.

Heat mediated antigen retrieval with Tris-EDTA buffer (pH 9.0, epitope retrieval solution 2) for 20 mins.

The immunostaining was performed on a Leica Biosystems BOND® RX instrument.

Secondary antibody only control : Generated by omitting the primary antibody.

Immunohistochemistry (Formalin/PFA-fixed paraffin-embedded sections) - Anti-GATA1 antibody [EPR26488-109] (AB300613)
  • IHC-P

Supplier Data

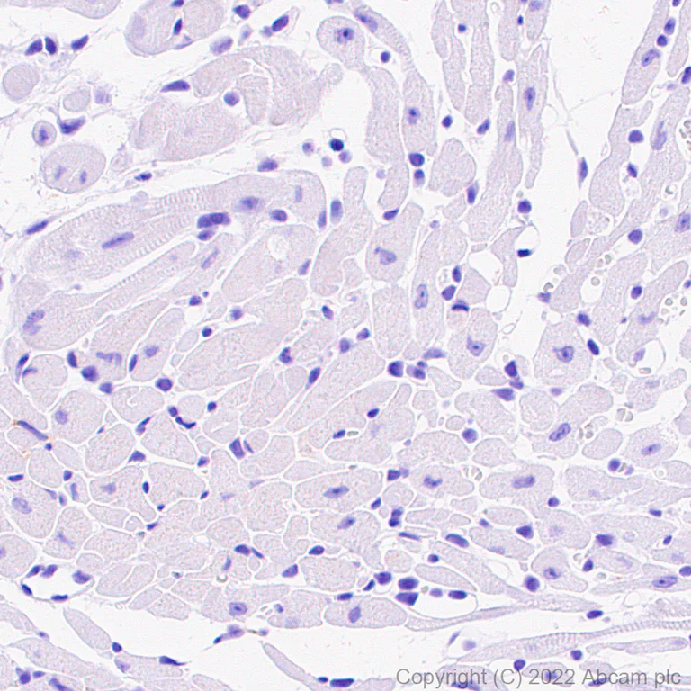
Immunohistochemistry (Formalin/PFA-fixed paraffin-embedded sections) - Anti-GATA1 antibody [EPR26488-109] (AB300613)

Immunohistochemical analysis of paraffin-embedded Mouse cardiac muscle tissue labeling GATA1 with ab300613 at 1/5000 followed by a ready to use Rabbit specific IHC polymer detection kit HRP/DAB (ab209101). Negative control : no staining in mouse cardiac muscle. The section was incubated with ab300613 for xx mins at room temperature. The immunostaining was performed on a Leica Biosystems BOND® RX instrument. Counterstained with Hematoxylin. Secondary antibody only control : Secondary antibody is a ready to use Rabbit specific IHC polymer detection kit HRP/DAB (ab209101). Heat mediated antigen retrieval with Tris-EDTA buffer (pH 9.0, epitope retrieval solution2) for 20 mins

Immunohistochemistry (Formalin/PFA-fixed paraffin-embedded sections) - Anti-GATA1 antibody [EPR26488-109] (AB300613)
  • IHC-P

Supplier Data

Immunohistochemistry (Formalin/PFA-fixed paraffin-embedded sections) - Anti-GATA1 antibody [EPR26488-109] (AB300613)

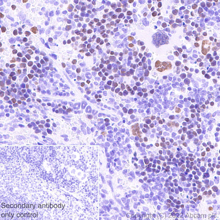
Immunohistochemical analysis of paraffin-embedded Mouse spleen tissue labeling GATA1 with ab300613 at 1/5000 followed by a ready to use Rabbit specific IHC polymer detection kit HRP/DAB (ab209101). Positive staining in mouse spleen (PMID : 28240607). The section was incubated with ab300613 for xx mins at room temperature.The immunostaining was performed on a Leica Biosystems BOND® RX instrument Counterstained with Hematoxylin. Secondary antibody only control : Secondary antibody is a ready to use Rabbit specific IHC polymer detection kit HRP/DAB (ab209101). Heat mediated antigen retrieval with Tris-EDTA buffer (pH 9.0, epitope retrieval solution2) for 20 mins

Immunohistochemistry (Frozen sections) - Anti-GATA1 antibody [EPR26488-109] (AB300613)
  • IHC-Fr

Supplier Data

Immunohistochemistry (Frozen sections) - Anti-GATA1 antibody [EPR26488-109] (AB300613)

Immunohistochemical analysis of 4% PFA-fixed, 0.2% Triton X-100 permeabilized frozen Mouse spleen (fresh) tissue labeling GATA1 with ab300613 at 1/100 dilution followed by ab150081 Goat Anti-Rabbit IgG H&L (Alexa Fluor® 488) preadsorbed at 1/1000 2 ug/mL dilution (Green). Positive staining on mouse spleen is observed. The nuclear counterstain was DAPI (Blue). Secondary antibody control : Secondary antibody is ab150081 Goat Anti-Rabbit IgG H&L (Alexa Fluor® 488) preadsorbedat 1/1000 2 ug/mL dilution. .

Western blot - Anti-GATA1 antibody [EPR26488-109] (AB300613)
  • WB

Supplier Data

Western blot - Anti-GATA1 antibody [EPR26488-109] (AB300613)

Blocking and diluting buffer and concentration : 5% NFDM/TBST Negative control : heart (PMID : 33736593)

All lanes:

Western blot - Anti-GATA1 antibody [EPR26488-109] (ab300613) at 1/1000 dilution

Lane 1:

Mouse spleen tissue lysate

Lane 2:

Mouse heart tissue lysate

Secondary

All lanes:

Western blot - Goat Anti-Rabbit IgG H&L (HRP) (<a href='/en-us/products/secondary-antibodies/goat-rabbit-igg-h-l-hrp-ab97051'>ab97051</a>) at 1/100000 dilution

Observed band size: 55 kDa

false

Exposure time: 81s

Western blot - Anti-GATA1 antibody [EPR26488-109] (AB300613)
  • WB

Supplier Data

Western blot - Anti-GATA1 antibody [EPR26488-109] (AB300613)

Blocking and diluting buffer and concentration : 5% NFDM/TBST Negative control : heart (PMID : 33736593)

All lanes:

Western blot - Anti-GATA1 antibody [EPR26488-109] (ab300613) at 1/1000 dilution

Lane 1:

Rat spleen tissue lysate

Lane 2:

Rat heart tissue lysate

Secondary

All lanes:

Western blot - Goat Anti-Rabbit IgG H&L (HRP) (<a href='/en-us/products/secondary-antibodies/goat-rabbit-igg-h-l-hrp-ab97051'>ab97051</a>) at 1/100000 dilution

Observed band size: 55 kDa

false

Exposure time: 70s

Key facts

Host species

Rabbit

Clonality

Monoclonal

Clone number

EPR26488-109

Isotype

IgG

Carrier free

No

Reacts with

Mouse, Rat

Applications

WB, IHC-Fr, IHC-P

applications

Immunogen

The exact immunogen used to generate this antibody is proprietary information.

Reactivity data

{ "title": "Reactivity Data", "filters": { "stats": ["", "Species", "Dilution Info", "Notes"], "tabs": { "all-applications": {"fullname" : "All Applications", "shortname": "All Applications"}, "WB" : {"fullname" : "Western blot", "shortname":"WB"}, "IHCP" : {"fullname" : "Immunohistochemistry (Formalin/PFA-fixed paraffin-embedded sections)", "shortname":"IHC-P"}, "IHCFr" : {"fullname" : "Immunohistochemistry (Frozen sections)", "shortname":"IHC-Fr"}, "ICCIF" : {"fullname" : "Immunocytochemistry/ Immunofluorescence", "shortname":"ICC/IF"}, "FlowCytIntra" : {"fullname" : "Flow Cytometry (Intracellular)", "shortname":"Flow Cyt (Intra)"}, "IP" : {"fullname" : "Immunoprecipitation", "shortname":"IP"} }, "product-promise": { "all": "all", "testedAndGuaranteed": "tested", "guaranteed": "expected", "predicted": "predicted", "notRecommended": "not-recommended" } }, "values": { "Human": { "WB-species-checked": "notRecommended", "WB-species-dilution-info": "1/1000", "WB-species-notes": "<p></p>", "IHCP-species-checked": "notRecommended", "IHCP-species-dilution-info": "1/5000", "IHCP-species-notes": "<p></p> Perform heat-mediated antigen retrieval with Tris/EDTA buffer pH 9.0 before commencing with IHC staining protocol.", "IHCFr-species-checked": "notRecommended", "IHCFr-species-dilution-info": "", "IHCFr-species-notes": "", "ICCIF-species-checked": "notRecommended", "ICCIF-species-dilution-info": "", "ICCIF-species-notes": "", "FlowCytIntra-species-checked": "notRecommended", "FlowCytIntra-species-dilution-info": "", "FlowCytIntra-species-notes": "", "IP-species-checked": "notRecommended", "IP-species-dilution-info": "", "IP-species-notes": "" }, "Mouse": { "WB-species-checked": "testedAndGuaranteed", "WB-species-dilution-info": "1/1000", "WB-species-notes": "<p></p>", "IHCP-species-checked": "testedAndGuaranteed", "IHCP-species-dilution-info": "1/5000", "IHCP-species-notes": "<p></p> Perform heat-mediated antigen retrieval with Tris/EDTA buffer pH 9.0 before commencing with IHC staining protocol.", "IHCFr-species-checked": "testedAndGuaranteed", "IHCFr-species-dilution-info": "1/100", "IHCFr-species-notes": "<p></p>", "ICCIF-species-checked": "notRecommended", "ICCIF-species-dilution-info": "", "ICCIF-species-notes": "<p></p>", "FlowCytIntra-species-checked": "notRecommended", "FlowCytIntra-species-dilution-info": "", "FlowCytIntra-species-notes": "<p></p>", "IP-species-checked": "notRecommended", "IP-species-dilution-info": "", "IP-species-notes": "<p></p>" }, "Rat": { "WB-species-checked": "testedAndGuaranteed", "WB-species-dilution-info": "1/1000", "WB-species-notes": "<p></p>", "IHCP-species-checked": "notRecommended", "IHCP-species-dilution-info": "1/5000", "IHCP-species-notes": "<p></p> Perform heat-mediated antigen retrieval with Tris/EDTA buffer pH 9.0 before commencing with IHC staining protocol.", "IHCFr-species-checked": "notRecommended", "IHCFr-species-dilution-info": "1/100", "IHCFr-species-notes": "<p></p>", "ICCIF-species-checked": "notRecommended", "ICCIF-species-dilution-info": "", "ICCIF-species-notes": "", "FlowCytIntra-species-checked": "notRecommended", "FlowCytIntra-species-dilution-info": "", "FlowCytIntra-species-notes": "", "IP-species-checked": "notRecommended", "IP-species-dilution-info": "", "IP-species-notes": "<p></p>" } } }

Product details

Patented technology
Our RabMAb® technology is a patented hybridoma-based technology for making rabbit monoclonal antibodies. For details on our patents, please refer to RabMAb® patents.

What are the advantages of a recombinant monoclonal antibody?
This product is a recombinant monoclonal antibody, which offers several advantages including:

  • - High batch-to-batch consistency and reproducibility
  • - Improved sensitivity and specificity
  • - Long-term security of supply
  • - Animal-free batch production

For more information, read more on recombinant antibodies.

Properties and storage information

Form
Liquid
Purification technique
Affinity purification Protein A
Storage buffer
pH: 7.2 - 7.4 Preservative: 0.01% Sodium azide Constituents: PBS, 40% Glycerol (glycerin, glycerine), 0.05% BSA
Shipped at conditions
Blue Ice
Appropriate short-term storage duration
1-2 weeks
Appropriate short-term storage conditions
+4°C
Appropriate long-term storage conditions
-20°C
Aliquoting information
Upon delivery aliquot
Storage information
Avoid freeze / thaw cycle

Supplementary information

This supplementary information is collated from multiple sources and compiled automatically.

GATA1 also known as GATA-binding factor 1 is a transcription factor weighing approximately 42 kDa. This protein binds to the DNA sequence "GATA" within the regulatory regions of target genes to control their expression. GATA1 is mostly expressed in hematopoietic cells especially erythroid cells megakaryocytes eosinophils and mast cells. Its specific expression pattern allows it to regulate genes essential for the development and function of these cell types.
Biological function summary

GATA1 regulates gene expression and is essential for erythroid and megakaryocyte differentiation. GATA1 belongs to a family of GATA transcription factors and can form regulatory complexes with other proteins such as FOG1 (Friend of GATA1) and TAL1. These complexes facilitate the binding of GATA1 to DNA enhancing its transcriptional activity on target gene sets necessary for blood cell maturation and function.

Pathways

GATA1 participates in the erythropoiesis and megakaryopoiesis pathways. It directly regulates several genes and coordinates signals with factors like GATA2 and RUNX1 which are other key proteins involved in these pathways. Through these interactions GATA1 ensures the correct development of red blood cells and platelets maintaining hematopoietic homeostasis in the organism.

Abnormal GATA1 function is linked to blood-related disorders. Mutations or dysregulations of GATA1 can lead to diseases such as X-linked thrombocytopenia with dyserythropoietic anemia which involves low platelet count and ineffective red blood cell production. Moreover GATA1 mutations are associated with certain leukemias particularly acute megakaryoblastic leukemia. GATA1's dysfunction in these diseases often occurs in conjunction with abnormalities in related proteins like GATA2 influencing disease progression and phenotype.

Product protocols

For this product, it's our understanding that no specific protocols are required. You can visit:

Target data

Transcriptional activator or repressor which probably serves as a general switch factor for erythroid development. It binds to DNA sites with the consensus sequence 5'-[AT]GATA[AG]-3' within regulatory regions of globin genes and of other genes expressed in erythroid cells. Activates the transcription of genes involved in erythroid differentiation of K562 erythroleukemia cells, including HBB, HBG1/2, ALAS2 and HMBS (By similarity).
See full target information Gata1

Product promise

We are committed to supporting your work with high-quality reagents, and we're here for you every step of the way. In the unlikely event that one of our products does not perform as expected, you're protected by our Product Promise.
For full details, please see our Terms & Conditions

Please note: All products are 'FOR RESEARCH USE ONLY. NOT FOR USE IN DIAGNOSTIC OR THERAPEUTIC PROCEDURES'.

For licensing inquiries, please contact partnerships@abcam.com