JavaScript is disabled in your browser. Please enable JavaScript to view this website.
AB173816

Anti-GATA1 antibody - N-terminal

Be the first to review this product! Submit a review

|

(2 Publications)

Rabbit Polyclonal GATA1 antibody. N-terminal. Suitable for WB, IHC-P, ICC/IF and reacts with Human samples. Cited in 2 publications. Immunogen corresponding to Recombinant Fragment Protein within Human GATA1.

View Alternative Names

ERYF1, GF1, GATA1, Erythroid transcription factor, Eryf1, GATA-binding factor 1, NF-E1 DNA-binding protein, GATA-1, GF-1

3 Images
Immunohistochemistry (Formalin/PFA-fixed paraffin-embedded sections) - Anti-GATA1 antibody - N-terminal (AB173816)
  • IHC-P

Supplier Data

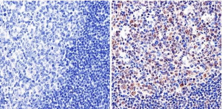
Immunohistochemistry (Formalin/PFA-fixed paraffin-embedded sections) - Anti-GATA1 antibody - N-terminal (AB173816)

Paraffin embedded human tonsil tissue stained for GATA1 using ab173816 at 1/100 dilution in immunohistochemical analysis. Negative control without primary antibody is seen on the left.

Immunocytochemistry/ Immunofluorescence - Anti-GATA1 antibody - N-terminal (AB173816)
  • ICC/IF

Supplier Data

Immunocytochemistry/ Immunofluorescence - Anti-GATA1 antibody - N-terminal (AB173816)

Immunofluorescent analysis of formalin-fixed, permeabilized U2OS cells, labeling GATA1 with ab173816 at 1/200 dilution (green, middle panel) . Cells were washed with PBS and incubated with a DyLight-488 conjugated secondary antibody. Nuclei (blue, left panel) were stained with Hoechst 33342 dye.

Western blot - Anti-GATA1 antibody - N-terminal (AB173816)
  • WB

Supplier Data

Western blot - Anti-GATA1 antibody - N-terminal (AB173816)

4-20% Tris-HCl polyacrylamide gel.

All lanes:

Western blot - Anti-GATA1 antibody - N-terminal (ab173816) at 1/500 dilution

Lane 1:

NCCIT whole cell lysate at 25 µg

Lane 2:

NTERRA whole cell lysate at 25 µg

Lane 3:

K562 whole cell lysate at 25 µg

Lane 4:

HeLa whole cell lysate at 25 µg

Secondary

All lanes:

goat anti-rabbit-HRP at 1/20000 dilution

Predicted band size: 43 kDa

true

Key facts

Host species

Rabbit

Clonality

Polyclonal

Isotype

IgG

Carrier free

No

Reacts with

Human

Applications

ICC/IF, WB, IHC-P

applications

Immunogen

Recombinant Fragment Protein within Human GATA1. The exact immunogen used to generate this antibody is proprietary information.

P15976

Reactivity data

{ "title": "Reactivity Data", "filters": { "stats": ["", "Species", "Dilution Info", "Notes"], "tabs": { "all-applications": {"fullname" : "All Applications", "shortname": "All Applications"}, "WB" : {"fullname" : "Western blot", "shortname":"WB"}, "IHCP" : {"fullname" : "Immunohistochemistry (Formalin/PFA-fixed paraffin-embedded sections)", "shortname":"IHC-P"}, "ICCIF" : {"fullname" : "Immunocytochemistry/ Immunofluorescence", "shortname":"ICC/IF"} }, "product-promise": { "all": "all", "testedAndGuaranteed": "tested", "guaranteed": "expected", "predicted": "predicted", "notRecommended": "not-recommended" } }, "values": { "Human": { "WB-species-checked": "testedAndGuaranteed", "WB-species-dilution-info": "1/500", "WB-species-notes": "<p></p>", "IHCP-species-checked": "testedAndGuaranteed", "IHCP-species-dilution-info": "1/50 - 1/500", "IHCP-species-notes": "<p></p>", "ICCIF-species-checked": "testedAndGuaranteed", "ICCIF-species-dilution-info": "1/200", "ICCIF-species-notes": "<p></p>" } } }

Properties and storage information

Form
Liquid
Purification technique
Affinity purification Protein A
Storage buffer
Preservative: 0.05% Sodium azide Constituents: PBS, 30% Glycerol (glycerin, glycerine), 0.1% BSA
Shipped at conditions
Blue Ice
Appropriate short-term storage duration
1-2 weeks
Appropriate short-term storage conditions
+4°C
Appropriate long-term storage conditions
-20°C
Aliquoting information
Upon delivery aliquot
Storage information
Avoid freeze / thaw cycle

Supplementary information

This supplementary information is collated from multiple sources and compiled automatically.

GATA1 also known as GATA-binding factor 1 is a transcription factor weighing approximately 42 kDa. This protein binds to the DNA sequence "GATA" within the regulatory regions of target genes to control their expression. GATA1 is mostly expressed in hematopoietic cells especially erythroid cells megakaryocytes eosinophils and mast cells. Its specific expression pattern allows it to regulate genes essential for the development and function of these cell types.
Biological function summary

GATA1 regulates gene expression and is essential for erythroid and megakaryocyte differentiation. GATA1 belongs to a family of GATA transcription factors and can form regulatory complexes with other proteins such as FOG1 (Friend of GATA1) and TAL1. These complexes facilitate the binding of GATA1 to DNA enhancing its transcriptional activity on target gene sets necessary for blood cell maturation and function.

Pathways

GATA1 participates in the erythropoiesis and megakaryopoiesis pathways. It directly regulates several genes and coordinates signals with factors like GATA2 and RUNX1 which are other key proteins involved in these pathways. Through these interactions GATA1 ensures the correct development of red blood cells and platelets maintaining hematopoietic homeostasis in the organism.

Abnormal GATA1 function is linked to blood-related disorders. Mutations or dysregulations of GATA1 can lead to diseases such as X-linked thrombocytopenia with dyserythropoietic anemia which involves low platelet count and ineffective red blood cell production. Moreover GATA1 mutations are associated with certain leukemias particularly acute megakaryoblastic leukemia. GATA1's dysfunction in these diseases often occurs in conjunction with abnormalities in related proteins like GATA2 influencing disease progression and phenotype.

Product protocols

For this product, it's our understanding that no specific protocols are required. You can visit:

Target data

Transcriptional activator or repressor which serves as a general switch factor for erythroid development (PubMed : 35030251). It binds to DNA sites with the consensus sequence 5'-[AT]GATA[AG]-3' within regulatory regions of globin genes and of other genes expressed in erythroid cells. Activates the transcription of genes involved in erythroid differentiation of K562 erythroleukemia cells, including HBB, HBG1/2, ALAS2 and HMBS (PubMed : 24245781).
See full target information GATA1

Publications (2)

Recent publications for all applications. Explore the full list and refine your search

Haematologica : PubMed31753924

2019

XPO1 regulates erythroid differentiation and is a new target for the treatment of β-thalassemia.

Applications

Unspecified application

Species

Unspecified reactive species

Flavia Guillem,Michaël Dussiot,Elia Colin,Thunwarat Suriyun,Jean Benoit Arlet,Nicolas Goudin,Guillaume Marcion,Renaud Seigneuric,Sebastien Causse,Patrick Gonin,Marc Gastou,Marc Deloger,Julien Rossignol,Mathilde Lamarque,Zakia Bellaid Choucair,Emilie Fleur Gautier,Sarah Ducamp,Julie Vandekerckhove,Ivan C Moura,Thiago T Maciel,Carmen Garrido,Xiuli An,Patrick Mayeux,Narla Mohandas,Geneviève Courtois,Olivier Hermine

Blood advances 1:1959-1976 PubMed29296843

2017

The severe phenotype of Diamond-Blackfan anemia is modulated by heat shock protein 70.

Applications

Unspecified application

Species

Unspecified reactive species

Marc Gastou,Sarah Rio,Michaël Dussiot,Narjesse Karboul,Hélène Moniz,Thierry Leblanc,Margaux Sevin,Patrick Gonin,Jérome Larghéro,Carmen Garrido,Anupama Narla,Narla Mohandas,William Vainchenker,Olivier Hermine,Eric Solary,Lydie Da Costa
View all publications

Product promise

We are committed to supporting your work with high-quality reagents, and we're here for you every step of the way. In the unlikely event that one of our products does not perform as expected, you're protected by our Product Promise.
For full details, please see our Terms & Conditions

Please note: All products are 'FOR RESEARCH USE ONLY. NOT FOR USE IN DIAGNOSTIC OR THERAPEUTIC PROCEDURES'.

For licensing inquiries, please contact partnerships@abcam.com