JavaScript is disabled in your browser. Please enable JavaScript to view this website.
AB28816

Anti-GATA1 (phospho S142) antibody

Be the first to review this product! Submit a review

|

(1 Publication)

Rabbit Polyclonal GATA1 phospho S142 antibody. Suitable for WB, IHC-P and reacts with Human samples. Cited in 1 publication. Immunogen corresponding to Synthetic Peptide within Human GATA1 phospho S142.

View Alternative Names

ERYF1, GF1, GATA1, Erythroid transcription factor, Eryf1, GATA-binding factor 1, NF-E1 DNA-binding protein, GATA-1, GF-1

2 Images
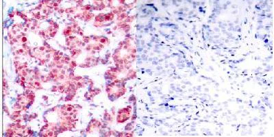
Immunohistochemistry (Formalin/PFA-fixed paraffin-embedded sections) - Anti-GATA1 (phospho S142) antibody (AB28816)
  • IHC-P

Unknown

Immunohistochemistry (Formalin/PFA-fixed paraffin-embedded sections) - Anti-GATA1 (phospho S142) antibody (AB28816)

ab28816 at (1 : 50-1 : 100), staining paraffin embedded human breast carcinoma. Left : Using GATA1 antibody (ab28816); Right : antibody preincubated with synthesized phosphopeptide.

Western blot - Anti-GATA1 (phospho S142) antibody (AB28816)
  • WB

Unknown

Western blot - Anti-GATA1 (phospho S142) antibody (AB28816)

All lanes:

Western blot - Anti-GATA1 (phospho S142) antibody (ab28816) at 1/500 dilution

All lanes:

K562 cells

Predicted band size: 43 kDa

Observed band size: 43 kDa

false

Key facts

Host species

Rabbit

Clonality

Polyclonal

Isotype

IgG

Carrier free

No

Reacts with

Human

Applications

WB, IHC-P

applications

Immunogen

Synthetic Peptide within Human GATA1 phospho S142. The exact immunogen used to generate this antibody is proprietary information.

P15976

Reactivity data

{ "title": "Reactivity Data", "filters": { "stats": ["", "Species", "Dilution Info", "Notes"], "tabs": { "all-applications": {"fullname" : "All Applications", "shortname": "All Applications"}, "WB" : {"fullname" : "Western blot", "shortname":"WB"}, "IHCP" : {"fullname" : "Immunohistochemistry (Formalin/PFA-fixed paraffin-embedded sections)", "shortname":"IHC-P"} }, "product-promise": { "all": "all", "testedAndGuaranteed": "tested", "guaranteed": "expected", "predicted": "predicted", "notRecommended": "not-recommended" } }, "values": { "Human": { "WB-species-checked": "testedAndGuaranteed", "WB-species-dilution-info": "1/500 - 1/1000", "WB-species-notes": "<p></p>", "IHCP-species-checked": "testedAndGuaranteed", "IHCP-species-dilution-info": "", "IHCP-species-notes": "<p></p>" } } }

Properties and storage information

Form
Liquid
Purification technique
Affinity purification Immunogen
Purification notes
After immunogen affinity purification the antibody against non-phosphopeptide was removed by chromatography using non-phosphopeptide corresponding to the phosphorylation site.
Storage buffer
pH: 7.4 Preservative: 0.02% Sodium azide Constituents: PBS, 50% Glycerol (glycerin, glycerine), 0.87% Sodium chloride
Shipped at conditions
Blue Ice
Appropriate short-term storage duration
1-2 weeks
Appropriate short-term storage conditions
+4°C
Appropriate long-term storage conditions
-20°C
Aliquoting information
Upon delivery aliquot

Supplementary information

This supplementary information is collated from multiple sources and compiled automatically.

GATA1 also known as GATA-binding factor 1 is a transcription factor weighing approximately 42 kDa. This protein binds to the DNA sequence "GATA" within the regulatory regions of target genes to control their expression. GATA1 is mostly expressed in hematopoietic cells especially erythroid cells megakaryocytes eosinophils and mast cells. Its specific expression pattern allows it to regulate genes essential for the development and function of these cell types.
Biological function summary

GATA1 regulates gene expression and is essential for erythroid and megakaryocyte differentiation. GATA1 belongs to a family of GATA transcription factors and can form regulatory complexes with other proteins such as FOG1 (Friend of GATA1) and TAL1. These complexes facilitate the binding of GATA1 to DNA enhancing its transcriptional activity on target gene sets necessary for blood cell maturation and function.

Pathways

GATA1 participates in the erythropoiesis and megakaryopoiesis pathways. It directly regulates several genes and coordinates signals with factors like GATA2 and RUNX1 which are other key proteins involved in these pathways. Through these interactions GATA1 ensures the correct development of red blood cells and platelets maintaining hematopoietic homeostasis in the organism.

Abnormal GATA1 function is linked to blood-related disorders. Mutations or dysregulations of GATA1 can lead to diseases such as X-linked thrombocytopenia with dyserythropoietic anemia which involves low platelet count and ineffective red blood cell production. Moreover GATA1 mutations are associated with certain leukemias particularly acute megakaryoblastic leukemia. GATA1's dysfunction in these diseases often occurs in conjunction with abnormalities in related proteins like GATA2 influencing disease progression and phenotype.

Product protocols

For this product, it's our understanding that no specific protocols are required. You can visit:

Target data

Transcriptional activator or repressor which serves as a general switch factor for erythroid development (PubMed : 35030251). It binds to DNA sites with the consensus sequence 5'-[AT]GATA[AG]-3' within regulatory regions of globin genes and of other genes expressed in erythroid cells. Activates the transcription of genes involved in erythroid differentiation of K562 erythroleukemia cells, including HBB, HBG1/2, ALAS2 and HMBS (PubMed : 24245781).
See full target information GATA1 phospho S142

Publications (1)

Recent publications for all applications. Explore the full list and refine your search

Cell death discovery 10:81 PubMed38360723

2024

CD24 induced cellular quiescence-like state and chemoresistance in ovarian cancer cells via miR-130a/301a-dependent CDK19 downregulation.

Applications

Unspecified application

Species

Unspecified reactive species

Yeonsue Jang,Suki Kang,Hyun Ho Han,Baek Gil Kim,Nam Hoon Cho
View all publications

Product promise

We are committed to supporting your work with high-quality reagents, and we're here for you every step of the way. In the unlikely event that one of our products does not perform as expected, you're protected by our Product Promise.
For full details, please see our Terms & Conditions

Please note: All products are 'FOR RESEARCH USE ONLY. NOT FOR USE IN DIAGNOSTIC OR THERAPEUTIC PROCEDURES'.

For licensing inquiries, please contact partnerships@abcam.com