JavaScript is disabled in your browser. Please enable JavaScript to view this website.
AB182747

Anti-GATA2 + GATA3 antibody [EPR17874]

4

(2 Reviews)

|

(7 Publications)

Rabbit Recombinant Monoclonal GATA2 antibody. Suitable for IP, WB, ICC/IF, Flow Cyt (Intra), IHC-P and reacts with Human, Mouse, Rat samples. Cited in 7 publications.

View Alternative Names

Endothelial transcription factor GATA-2, GATA-binding protein 2, GATA2

14 Images
Immunohistochemistry (Formalin/PFA-fixed paraffin-embedded sections) - Anti-GATA2 + GATA3 antibody [EPR17874] (AB182747)
  • IHC-P

Supplier Data

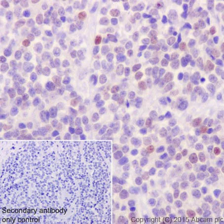
Immunohistochemistry (Formalin/PFA-fixed paraffin-embedded sections) - Anti-GATA2 + GATA3 antibody [EPR17874] (AB182747)

Immunohistochemical analysis of paraffin-embedded Human prostate cancer tissue labeling GATA2 + GATA3 with ab182747 at 1/500 dilution followed by Goat Anti-Rabbit IgG H&L (HRP) (ab97051) at 1/500 dilution.

Nucleus staining on cancer cells of Human prostate cancer is observed.

Counter stained with Hematoxylin.

Secondary antibody only control : Used PBS instead of primary antibody secondary antibody is Goat Anti-Rabbit IgG H&L (HRP) (ab97051) at 1/500 dilution.

Perform heat mediated antigen retrieval with Tris/EDTA buffer pH 9.0 before commencing with IHC staining protocol.

Immunocytochemistry/ Immunofluorescence - Anti-GATA2 + GATA3 antibody [EPR17874] (AB182747)
  • ICC/IF

Lab

Immunocytochemistry/ Immunofluorescence - Anti-GATA2 + GATA3 antibody [EPR17874] (AB182747)

Immunofluorescent analysis of 4% paraformaldehyde-fixed 0.1% Triton X-100 permeabilized K562 (Human chronic myelogenous leukemia cells from bone marrow) cells labeling GATA2 + GATA3 with ab182747 at 1/1000 dilution followed by Goat anti-rabbit IgG (Alexa Fluor® 488) (ab150077) secondary antibody at 1/500 dilution (green).

Confocal image showing nuclear and weakly cytoplasmic staining on K562 cells.

The nuclear counterstain is DAPI (blue).

Tubulin is detected with ab7291 (anti-Tubulin mouse mAb) at 1/1000 dilution and ab150120 (AlexaFluor®594 Goat anti-Mouse secondary) at 1/500 dilution (red).

The negative controls are as follows : -
-ve control 1 : ab182747 at 1/1000 dilution followed by ab150120 (AlexaFluor®594 Goat anti-Mouse secondary) at 1/500 dilution.
-ve control 2 : ab7291 (anti-Tubulin mouse mAb) at 1/1000 dilution followed by ab150077 (Alexa Fluor®488 Goat Anti-Rabbit IgG H&L) at 1/500 dilution.

Immunohistochemistry (Formalin/PFA-fixed paraffin-embedded sections) - Anti-GATA2 + GATA3 antibody [EPR17874] (AB182747)
  • IHC-P

Supplier Data

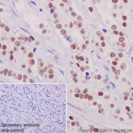
Immunohistochemistry (Formalin/PFA-fixed paraffin-embedded sections) - Anti-GATA2 + GATA3 antibody [EPR17874] (AB182747)

Immunohistochemical analysis of paraffin-embedded Human neuroblastoma tissue labeling GATA2 + GATA3 with ab182747 at 1/500 dilution followed by Goat Anti-Rabbit IgG H&L (HRP) (ab97051) at 1/500 dilution.

Nucleus staining on cancer cells of Human neuroblastoma is observed.

Counter stained with Hematoxylin.

Secondary antibody only control : Used PBS instead of primary antibody secondary antibody is Goat Anti-Rabbit IgG H&L (HRP) (ab97051) at 1/500 dilution.

Perform heat mediated antigen retrieval with Tris/EDTA buffer pH 9.0 before commencing with IHC staining protocol.

Immunocytochemistry/ Immunofluorescence - Anti-GATA2 + GATA3 antibody [EPR17874] (AB182747)
  • ICC/IF

Lab

Immunocytochemistry/ Immunofluorescence - Anti-GATA2 + GATA3 antibody [EPR17874] (AB182747)

Immunofluorescent analysis of 4% paraformaldehyde-fixed 0.1% Triton X-100 permeabilized HeLa (Human epithelial cells from cervix adenocarcinoma) cells labeling GATA2 + GATA3 with ab182747 at 1/1000 dilution followed by Goat anti-rabbit IgG (Alexa Fluor® 488) (ab150077) secondary antibody at 1/500 dilution (green).

Confocal image showing nuclear and weakly cytoplasmic staining on HeLa cells.

The nuclear counterstain is DAPI (blue).

Tubulin is detected with ab7291 (anti-Tubulin mouse mAb) at 1/1000 dilution and ab150120 (AlexaFluor®594 Goat anti-Mouse secondary) at 1/500 dilution (red).

The negative controls are as follows : -
-ve control 1 : ab182747 at 1/1000 dilution followed by ab150120 (AlexaFluor®594 Goat anti-Mouse secondary) at 1/500 dilution.
-ve control 2 : ab7291 (anti-Tubulin mouse mAb) at 1/1000 dilution followed by ab150077 (Alexa Fluor®488 Goat Anti-Rabbit IgG H&L) at 1/500 dilution.

Flow Cytometry (Intracellular) - Anti-GATA2 + GATA3 antibody [EPR17874] (AB182747)
  • Flow Cyt (Intra)

Lab

Flow Cytometry (Intracellular) - Anti-GATA2 + GATA3 antibody [EPR17874] (AB182747)

Intracellular Flow Cytometry analysis of K562 (human chronic myelogenous leukemia) cells labeling GATA2 + GATA3 with purified ab182747 at 1/150 dilution (10ug/ml) (red). Cells were fixed with 4% paraformaldehyde and permeabilised with 90% methanol. A Goat anti rabbit IgG (Alexa Fluor® 488) (1/2000 dilution) was used as the secondary antibody. Rabbit monoclonal IgG (Black) was used as the isotype control, cells without incubation with primary antibody and secondary antibody (Blue) were used as the unlabeled control.

Immunoprecipitation - Anti-GATA2 + GATA3 antibody [EPR17874] (AB182747)
  • IP

Supplier Data

Immunoprecipitation - Anti-GATA2 + GATA3 antibody [EPR17874] (AB182747)

GATA2 + GATA3 was immunoprecipitated from 1mg of K562 (Human chronic myelogenous leukemia cells from bone marrow) whole cell lysate with ab182747 at 1/100 dilution.

Lane 1 : K562 whole cell lysate 10ug (Input).

Lane 2 : ab182747 IP in K562 whole cell lysate.

Lane 3 : Rabbit monoclonal IgG (ab172730) instead of ab182747 in K562 whole cell lysate.

Western blot was performed from the immunoprecipitate using ab182747 at 1/1000 dilution. VeriBlot for IP secondary antibody (HRP) was used as secondary antibody at 1/1500.

Blocking and dilution buffer and concentration : 5% NFDM/TBST.

Exposure time : 30 seconds.

All lanes:

Immunoprecipitation - Anti-GATA2 + GATA3 antibody [EPR17874] (ab182747)

false

Immunohistochemistry (Formalin/PFA-fixed paraffin-embedded sections) - Anti-GATA2 + GATA3 antibody [EPR17874] (AB182747)
  • IHC-P

Supplier Data

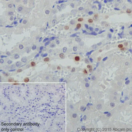
Immunohistochemistry (Formalin/PFA-fixed paraffin-embedded sections) - Anti-GATA2 + GATA3 antibody [EPR17874] (AB182747)

Immunohistochemical analysis of paraffin-embedded Rat kidney tissue labeling GATA2 + GATA3 with ab182747 at 1/500 dilution followed by Goat Anti-Rabbit IgG H&L (HRP) (ab97051) at 1/500 dilution.

Nucleus staining on rat epithelial cells of renal distal tubule is observed.

Counter stained with Hematoxylin.

Secondary antibody only control : Used PBS instead of primary antibody secondary antibody is Goat Anti-Rabbit IgG H&L (HRP) (ab97051) at 1/500 dilution.

Perform heat mediated antigen retrieval with Tris/EDTA buffer pH 9.0 before commencing with IHC staining protocol.

Immunohistochemistry (Formalin/PFA-fixed paraffin-embedded sections) - Anti-GATA2 + GATA3 antibody [EPR17874] (AB182747)
  • IHC-P

Supplier Data

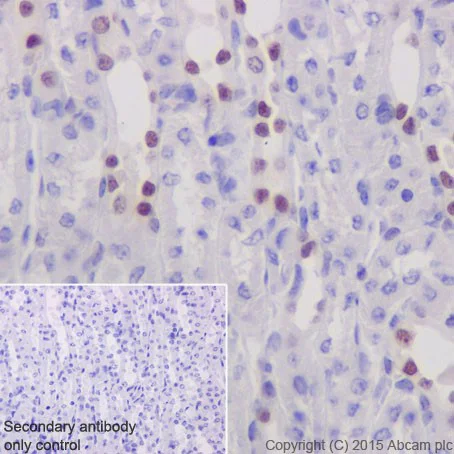
Immunohistochemistry (Formalin/PFA-fixed paraffin-embedded sections) - Anti-GATA2 + GATA3 antibody [EPR17874] (AB182747)

Immunohistochemical analysis of paraffin-embedded Mouse kidney tissue labeling GATA2 + GATA3 with ab182747 at 1/500 dilution followed by Goat Anti-Rabbit IgG H&L (HRP) (ab97051) at 1/500 dilution.

Nucleus staining on epithelial cells of mouse renal distal tubule is observed.

Counter stained with Hematoxylin.

Secondary antibody only control : Used PBS instead of primary antibody secondary antibody is Goat Anti-Rabbit IgG H&L (HRP) (ab97051) at 1/500 dilution.

Perform heat mediated antigen retrieval with Tris/EDTA buffer pH 9.0 before commencing with IHC staining protocol.

Western blot - Anti-GATA2 + GATA3 antibody [EPR17874] (AB182747)
  • WB

Supplier Data

Western blot - Anti-GATA2 + GATA3 antibody [EPR17874] (AB182747)

Blocking/Dilution buffer : 5% NFDM/TBST.

All lanes:

Western blot - Anti-GATA2 + GATA3 antibody [EPR17874] (ab182747) at 1/10000 dilution

Lane 1:

HeLa (Human epithelial cells from cervix adenocarcinoma) whole cell lysate at 20 µg

Lane 2:

K562 (Human chronic myelogenous leukemia cells from bone marrow) whole cell lysate at 20 µg

Lane 3:

MOLT-4 (Human lymphoblastic leukemia cell line) whole cell lysate at 20 µg

Lane 4:

LNCaP (Human prostate cancer cell line) whole cell lysate at 20 µg

Secondary

All lanes:

Goat Anti-Rabbit IgG, (H+L),Peroxidase conjugated at 1/1000 dilution

Predicted band size: 48 kDa,51 kDa,52 kDa

Observed band size: 51 kDa,52 kDa

false

Exposure time: 1min

Western blot - Anti-GATA2 + GATA3 antibody [EPR17874] (AB182747)
  • WB

Supplier Data

Western blot - Anti-GATA2 + GATA3 antibody [EPR17874] (AB182747)

Blocking/Dilution buffer : 5% NFDM/TBST.

Human GATA2 over-expression lysates (epitomics/abcam) contains aa1-480 with GFP-Tag.

All lanes:

Western blot - Anti-GATA2 + GATA3 antibody [EPR17874] (ab182747) at 1/50000 dilution

Lane 1:

Empty vector (vector control) transfected HEK-293 (Human epithelial cells from embryonic kidney) whole cell lysate at 10 µg

Lane 2:

GATA2 transfected HEK-293 whole cell lysate at 10 µg

Secondary

All lanes:

Goat Anti-Rabbit IgG, (H+L),Peroxidase conjugated at 1/1000 dilution

Predicted band size: 48 kDa,51 kDa

Observed band size: 77 kDa

false

Exposure time: 3min

Western blot - Anti-GATA2 + GATA3 antibody [EPR17874] (AB182747)
  • WB

Supplier Data

Western blot - Anti-GATA2 + GATA3 antibody [EPR17874] (AB182747)

Blocking/Dilution buffer : 5% NFDM/TBST.

Human GATA3 full length protein (epitomics/abcam) contains aa1-443 with N-terminal His-Tag®.

All lanes:

Western blot - Anti-GATA2 + GATA3 antibody [EPR17874] (ab182747) at 1/20000 dilution

All lanes:

Human GATA3 full length protein at 0.01 µg

Secondary

All lanes:

Goat Anti-Rabbit IgG, (H+L),Peroxidase conjugated at 1/1000 dilution

Predicted band size: 48 kDa,51 kDa

Observed band size: 48 kDa

false

Exposure time: 1min

Western blot - Anti-GATA2 + GATA3 antibody [EPR17874] (AB182747)
  • WB

Supplier Data

Western blot - Anti-GATA2 + GATA3 antibody [EPR17874] (AB182747)

Blocking/Dilution buffer : 5% NFDM/TBST.

All lanes:

Western blot - Anti-GATA2 + GATA3 antibody [EPR17874] (ab182747) at 1/1000 dilution

Lane 1:

Human uterus lysate at 10 µg

Lane 2:

Human fetal kidney lysate at 10 µg

Secondary

All lanes:

Anti-Rabbit IgG (HRP), specific to the non-reduced form of IgG at 1/1000 dilution

Predicted band size: 48 kDa,51 kDa

Observed band size: 51 kDa

false

Exposure time: 3min

Western blot - Anti-GATA2 + GATA3 antibody [EPR17874] (AB182747)
  • WB

Supplier Data

Western blot - Anti-GATA2 + GATA3 antibody [EPR17874] (AB182747)

Blocking/Dilution buffer : 5% NFDM/TBST.

All lanes:

Western blot - Anti-GATA2 + GATA3 antibody [EPR17874] (ab182747) at 1/1000 dilution

All lanes:

NIH/3T3 (Mouse embyro fibroblast cells) whole cell lysate at 20 µg

Secondary

All lanes:

Western blot - Goat Anti-Rabbit IgG H&L (HRP) (<a href='/en-us/products/secondary-antibodies/goat-rabbit-igg-h-l-hrp-ab97051'>ab97051</a>) at 1/50000 dilution

Predicted band size: 48 kDa,51 kDa

Observed band size: 51 kDa

false

Exposure time: 15s

Western blot - Anti-GATA2 + GATA3 antibody [EPR17874] (AB182747)
  • WB

Supplier Data

Western blot - Anti-GATA2 + GATA3 antibody [EPR17874] (AB182747)

Blocking/Dilution buffer : 5% NFDM/TBST.

All lanes:

Western blot - Anti-GATA2 + GATA3 antibody [EPR17874] (ab182747) at 1/1000 dilution

All lanes:

PC-12 (Rat adrenal gland pheochromocytoma) whole cell lysate at 20 µg

Secondary

All lanes:

Western blot - Goat Anti-Rabbit IgG H&L (HRP) (<a href='/en-us/products/secondary-antibodies/goat-rabbit-igg-h-l-hrp-ab97051'>ab97051</a>) at 1/50000 dilution

Predicted band size: 48 kDa,51 kDa

Observed band size: 51 kDa

false

Exposure time: 30s

  • Carrier free

    Anti-GATA2 + GATA3 antibody [EPR17874] - BSA and Azide free

Key facts

Host species

Rabbit

Clonality

Monoclonal

Clone number

EPR17874

Isotype

IgG

Carrier free

No

Reacts with

Mouse, Rat, Human

Applications

Flow Cyt (Intra), ICC/IF, IP, WB, IHC-P

applications

Immunogen

The exact immunogen used to generate this antibody is proprietary information.

Reactivity data

{ "title": "Reactivity Data", "filters": { "stats": ["", "Species", "Dilution Info", "Notes"], "tabs": { "all-applications": {"fullname" : "All Applications", "shortname": "All Applications"}, "IP" : {"fullname" : "Immunoprecipitation", "shortname":"IP"}, "WB" : {"fullname" : "Western blot", "shortname":"WB"}, "ICCIF" : {"fullname" : "Immunocytochemistry/ Immunofluorescence", "shortname":"ICC/IF"}, "FlowCytIntra" : {"fullname" : "Flow Cytometry (Intracellular)", "shortname":"Flow Cyt (Intra)"}, "IHCP" : {"fullname" : "Immunohistochemistry (Formalin/PFA-fixed paraffin-embedded sections)", "shortname":"IHC-P"} }, "product-promise": { "all": "all", "testedAndGuaranteed": "tested", "guaranteed": "expected", "predicted": "predicted", "notRecommended": "not-recommended" } }, "values": { "Human": { "IP-species-checked": "testedAndGuaranteed", "IP-species-dilution-info": "1/100", "IP-species-notes": "<p></p>", "WB-species-checked": "testedAndGuaranteed", "WB-species-dilution-info": "1/1000", "WB-species-notes": "<p></p>", "ICCIF-species-checked": "testedAndGuaranteed", "ICCIF-species-dilution-info": "1/1000", "ICCIF-species-notes": "<p></p>", "FlowCytIntra-species-checked": "testedAndGuaranteed", "FlowCytIntra-species-dilution-info": "", "FlowCytIntra-species-notes": "<p></p>", "IHCP-species-checked": "testedAndGuaranteed", "IHCP-species-dilution-info": "1/500", "IHCP-species-notes": "<p></p> Perform heat-mediated antigen retrieval with Tris/EDTA buffer pH 9.0 before commencing with IHC staining protocol." }, "Mouse": { "IP-species-checked": "guaranteed", "IP-species-dilution-info": "", "IP-species-notes": "", "WB-species-checked": "testedAndGuaranteed", "WB-species-dilution-info": "1/1000", "WB-species-notes": "<p></p>", "ICCIF-species-checked": "guaranteed", "ICCIF-species-dilution-info": "", "ICCIF-species-notes": "", "FlowCytIntra-species-checked": "guaranteed", "FlowCytIntra-species-dilution-info": "", "FlowCytIntra-species-notes": "", "IHCP-species-checked": "testedAndGuaranteed", "IHCP-species-dilution-info": "1/500", "IHCP-species-notes": "<p></p> Perform heat-mediated antigen retrieval with Tris/EDTA buffer pH 9.0 before commencing with IHC staining protocol." }, "Rat": { "IP-species-checked": "guaranteed", "IP-species-dilution-info": "", "IP-species-notes": "", "WB-species-checked": "testedAndGuaranteed", "WB-species-dilution-info": "1/1000", "WB-species-notes": "<p></p>", "ICCIF-species-checked": "guaranteed", "ICCIF-species-dilution-info": "", "ICCIF-species-notes": "", "FlowCytIntra-species-checked": "guaranteed", "FlowCytIntra-species-dilution-info": "", "FlowCytIntra-species-notes": "", "IHCP-species-checked": "testedAndGuaranteed", "IHCP-species-dilution-info": "1/500", "IHCP-species-notes": "<p></p> Perform heat-mediated antigen retrieval with Tris/EDTA buffer pH 9.0 before commencing with IHC staining protocol." } } }

Product details

Patented technology
Our RabMAb® technology is a patented hybridoma-based technology for making rabbit monoclonal antibodies. For details on our patents, please refer to RabMAb® patents.

What are the advantages of a recombinant monoclonal antibody?
This product is a recombinant monoclonal antibody, which offers several advantages including:

  • - High batch-to-batch consistency and reproducibility
  • - Improved sensitivity and specificity
  • - Long-term security of supply
  • - Animal-free batch production

For more information, read more on recombinant antibodies.

Properties and storage information

Form
Liquid
Purification technique
Affinity purification Protein A
Storage buffer
pH: 7.2 Preservative: 0.01% Sodium azide Constituents: PBS, 40% Glycerol (glycerin, glycerine), 0.05% BSA
Shipped at conditions
Blue Ice
Appropriate short-term storage duration
1-2 weeks
Appropriate short-term storage conditions
+4°C
Appropriate long-term storage conditions
-20°C
Aliquoting information
Upon delivery aliquot
Storage information
Avoid freeze / thaw cycle

Supplementary information

This supplementary information is collated from multiple sources and compiled automatically.

GATA2 and GATA3 members of the GATA family of transcription factors play a critical role in gene regulation. GATA2 weighs approximately 50 kDa and is expressed in hematopoietic and endothelial cells among others. On the other hand GATA3 which is slightly larger is expressed mainly in T lymphocytes as well as in various tissues like skin and parathyroid. Collectively these transcription factors bind to the DNA sequence known as the GATA motif where they regulate the transcription of genes involved in development and differentiation processes.
Biological function summary

These transcription factors participate in vital cellular events. GATA2 is integral to the development of hematopoietic stem cells and survival whereas GATA3 is vital for T-cell lineage commitment and function. They do not typically function alone but often form complexes with other proteins to exert their effects. For instance GATA3 complexes with other transcription factors to regulate genes important for immune responses.

Pathways

GATA2 and GATA3 molecules find themselves embedded in several important signaling pathways. They play pivotal roles in the Notch signaling pathway and the T-cell receptor signaling pathway. In the context of these pathways GATA2 associates with proteins such as TAL1 and FOG1 which modulate hematopoiesis. GATA3 interacts closely with transcription factors like RUNX1 and T-bet influencing T-cell differentiation and response.

GATA2 and GATA3 are linked to several critical conditions. Mutations in GATA2 can lead to immunodeficiency syndromes and hematologic malignancies such as acute myeloid leukemia (AML). These conditions arise through disrupted expression or function of associated proteins like RUNX1. Meanwhile aberrations in GATA3 expression have been implicated in breast cancer and allergic diseases. In breast cancer altered GATA3 levels affect pathways involving estrogen receptors like ESR1 worsening disease progression.

Product protocols

For this product, it's our understanding that no specific protocols are required. You can visit:

Target data

Transcriptional activator which regulates endothelin-1 gene expression in endothelial cells. Binds to the consensus sequence 5'-AGATAG-3'.
See full target information GATA2

Additional targets

GATA3

Publications (7)

Recent publications for all applications. Explore the full list and refine your search

eLife 12: PubMed41025959

2025

Matrix-associated extracellular vesicles modulate human smooth muscle cell adhesion and directionality by presenting collagen VI.

Applications

Unspecified application

Species

Unspecified reactive species

Alexander N Kapustin,Sofia Serena Tsakali,Meredith Whitehead,George Chennell,Meng-Ying Wu,Chris Molenaar,Anton Kutikhin,Yimeng Chen,Sadia Ahmad,Leo Bogdanov,Maxim Sinitsky,Kseniya Rubina,Aled Clayton,Frederik J Verweij,Dirk Michiel Pegtel,Simona Zingaro,Arseniy Lobov,Bozhana Zainullina,Dylan Owen,Maddy Parsons,Richard E Cheney,Derek T Warren,Martin James Humphries,Thomas Iskratsch,Mark Holt,Catherine M Shanahan

Inflammation 48:2051-2068 PubMed39465470

2024

Identification of Key Genes Related to Immune-Lipid Metabolism in Skin Barrier Damage and Analysis of Immune Infiltration.

Applications

Unspecified application

Species

Unspecified reactive species

Ying Tu,Hua Gu,Na Li,Dongjie Sun,Zhenghui Yang,Li He

Allergologia et immunopathologia 51:124-134 PubMed37169570

2023

exacerbates psoriasis-like inflammation by promoting Th17 and Th1 cells activation through regulating transcription.

Applications

Unspecified application

Species

Unspecified reactive species

Huanhuan Zhang,Cuimin Ren,Qiang Liu,Qing Wang,Dahu Wang

Methods in molecular biology (Clifton, N.J.) 2767:27-41 PubMed36749484

2023

Protocol for the Generation of Human EPS-Blastoids Using a Three-Dimensional Two-Step Induction System.

Applications

Unspecified application

Species

Unspecified reactive species

Yu-Xin Luo,Yang Yu

Cell proliferation 55:e13317 PubMed35880490

2022

Epidermal growth factor induces a trophectoderm lineage transcriptome resembling that of human embryos during reconstruction of blastoids from extended pluripotent stem cells.

Applications

Unspecified application

Species

Unspecified reactive species

Yingying Zhang,Chenrui An,Yanhong Yu,Jiajing Lin,Long Jin,Chaohui Li,Tao Tan,Yang Yu,Yong Fan

Cell discovery 7:81 PubMed34489415

2021

Generation of human blastocyst-like structures from pluripotent stem cells.

Applications

Unspecified application

Species

Unspecified reactive species

Yong Fan,Zheying Min,Samhan Alsolami,Zhenglai Ma,E Zhang,Wei Chen,Ke Zhong,Wendi Pei,Xiangjin Kang,Puyao Zhang,Yongliang Wang,Yingying Zhang,Linfeng Zhan,Haiying Zhu,Chenrui An,Rong Li,Jie Qiao,Tao Tan,Mo Li,Yang Yu

Aging 12:25229-25255 PubMed33223504

2020

Exposure to ozone impacted Th1/Th2 imbalance of CD T cells and apoptosis of ASMCs underlying asthmatic progression by activating lncRNA PVT1-miR-15a-5p/miR-29c-3p signaling.

Applications

Unspecified application

Species

Unspecified reactive species

Yangyang Wei,Baofen Han,Wenjuan Dai,Shufang Guo,Caiping Zhang,Lixuan Zhao,Yan Gao,Yi Jiang,Xiaomei Kong
View all publications

Product promise

We are committed to supporting your work with high-quality reagents, and we're here for you every step of the way. In the unlikely event that one of our products does not perform as expected, you're protected by our Product Promise.
For full details, please see our Terms & Conditions

Please note: All products are 'FOR RESEARCH USE ONLY. NOT FOR USE IN DIAGNOSTIC OR THERAPEUTIC PROCEDURES'.

For licensing inquiries, please contact partnerships@abcam.com