JavaScript is disabled in your browser. Please enable JavaScript to view this website.
AB272237

Anti-GATA2 + GATA3 antibody [EPR24359-3]

  • BOND RX™ Validated
  • 20ul selling size
  • RabMAb
  • Recombinant
  • What is this?

Be the first to review this product! Submit a review

|

(0 Publication)

Rabbit Recombinant Monoclonal GATA2 antibody. Suitable for IP, WB, IHC-P, Flow Cyt (Intra) and reacts with Human, Mouse, Rat samples.

View Alternative Names

Endothelial transcription factor GATA-2, GATA-binding protein 2, GATA2, Trans-acting T-cell-specific transcription factor GATA-3, GATA-binding factor 3, GATA3

11 Images
Immunohistochemistry (Formalin/PFA-fixed paraffin-embedded sections) - Anti-GATA2 + GATA3 antibody [EPR24359-3] (AB272237)
  • IHC-P

Supplier Data

Immunohistochemistry (Formalin/PFA-fixed paraffin-embedded sections) - Anti-GATA2 + GATA3 antibody [EPR24359-3] (AB272237)

Immunohistochemical analysis of paraffin-embedded Human placenta tissue labelling GATA2 + GATA3 with ab272237 at 1/500 (0.858 ug/ml) dilution followed by a ready to use LeicaDS9800 (Bond™ Polymer Refine Detection) was used. Nuclear staining on human placenta (PMID : 28232602).The section was incubated with ab272237 for 30 mins at room temperature. The immunostaining was performed on a Leica Biosystems BOND® RX instrument Counterstained with Hematoxylin.

Secondary antibody only control : Secondary antibody is a ready to use LeicaDS9800 (Bond™ Polymer Refine Detection) was used.

Heat mediated antigen retrieval with Tris-EDTA buffer (pH 9.0, epitope retrieval solution2) for 20 mins.

Flow Cytometry - Anti-GATA2 + GATA3 antibody [EPR24359-3] (AB272237)
  • Flow Cyt

Supplier Data

Flow Cytometry - Anti-GATA2 + GATA3 antibody [EPR24359-3] (AB272237)

Flow cytometric analysis of 4% paraformaldehyde fixed 90% methanol permeabilized U-937 (Human histiocytic lymphoma monocyte, Left)/ HeLa (Human cervix adenocarcinoma epithelial cell, Right) cells labelling GATA2+ GATA3 with ab272237 at 1/500 dilution (0.1ug) (Red) compared with a Rabbit monoclonal IgG (ab172730) (Black) isotype control and an unlabelled control (cells without incubation with primary antibody and secondary antibody) (Blue). A Goat anti rabbit IgG (Alexa Fluor® 488, ab150077) at 1/2000 dilution was used as the secondary antibody. Negative control : U-937 cell (PMID : 19212333).

Immunohistochemistry (Formalin/PFA-fixed paraffin-embedded sections) - Anti-GATA2 + GATA3 antibody [EPR24359-3] (AB272237)
  • IHC-P

Supplier Data

Immunohistochemistry (Formalin/PFA-fixed paraffin-embedded sections) - Anti-GATA2 + GATA3 antibody [EPR24359-3] (AB272237)

Immunohistochemical analysis of paraffin-embedded Human prostate cancer tissue labelling GATA2+ GATA3 with ab272237 at 1/500 (0.858 ug/ml) dilution followed by a ready to use LeicaDS9800 (Bond™ Polymer Refine Detection) was used. Nuclear staining on human prostate cancer (PMID : 31296150). The section was incubated with ab272237 for 30 mins at room temperature. The immunostaining was performed on a Leica Biosystems BOND® RX instrument Counterstained with Hematoxylin.

Secondary antibody only control : Secondary antibody is a ready to use LeicaDS9800 (Bond™ Polymer Refine Detection) was used.

Heat mediated antigen retrieval with Tris-EDTA buffer (pH 9.0, epitope retrieval solution2) for 20 mins.

Immunoprecipitation - Anti-GATA2 + GATA3 antibody [EPR24359-3] (AB272237)
  • IP

Supplier Data

Immunoprecipitation - Anti-GATA2 + GATA3 antibody [EPR24359-3] (AB272237)

GATA2+ GATA3 was immunoprecipitated from 0.35 mg K-562 (human chronic myelogenous leukemia lymphoblast) whole cell lysate with ab272237 at 1/30 dilution (2 ug in 0.35 mg lysates). Western blot was performed on the immunoprecipitate using ab272237 at 1/1000 dilution. VeriBlot for IP secondary antibody (HRP) (ab131366) was used at 1/5000 dilution.

Lane 1 : K-562 (human chronic myelogenous leukemia lymphoblast) whole cell lysate 10 ug

Lane 2 : ab272237 IP in K-562 whole cell lysate

Lane 3 : Rabbit monoclonal IgG (ab172730) instead of ab272237 in K-562 whole cell lysate

Blocking and dilution buffer and concentration : 5% NFDM/TBST.

Exposure time : 76 seconds.

All lanes:

Immunoprecipitation - Anti-GATA2 + GATA3 antibody [EPR24359-3] (ab272237)

false

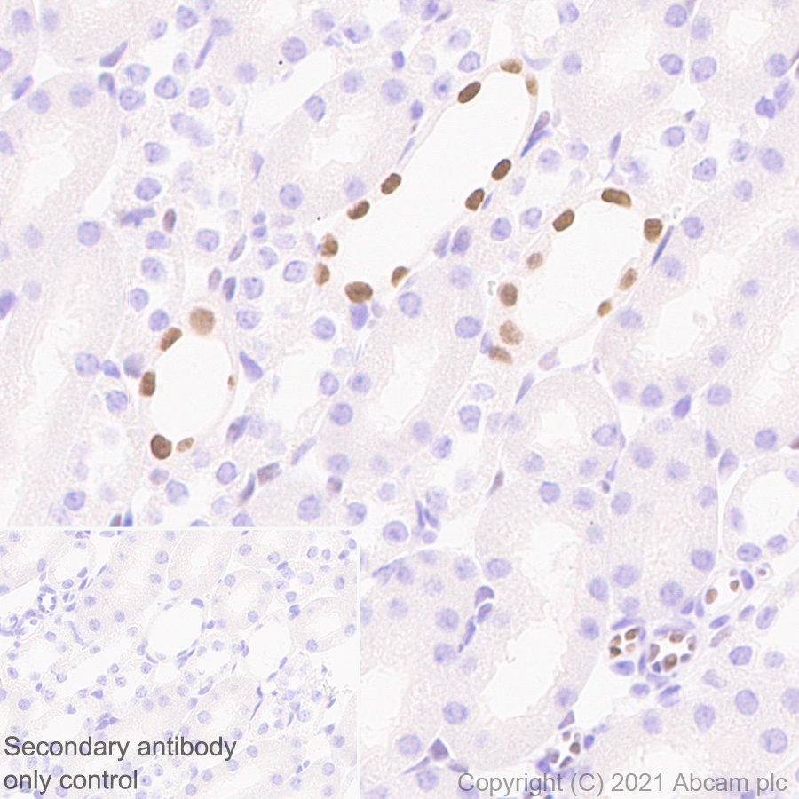
Immunohistochemistry (Formalin/PFA-fixed paraffin-embedded sections) - Anti-GATA2 + GATA3 antibody [EPR24359-3] (AB272237)
  • IHC-P

Supplier Data

Immunohistochemistry (Formalin/PFA-fixed paraffin-embedded sections) - Anti-GATA2 + GATA3 antibody [EPR24359-3] (AB272237)

Immunohistochemical analysis of paraffin-embedded Mouse kidney tissue labelling GATA2 + GATA3 with ab272237 at 1/500 (0.858 ug/ml) dilution followed by a ready to use LeicaDS9800 (Bond™ Polymer Refine Detection) was used. Nuclear staining on the distal tubules and collecting ducts of mouse kidney (PMID : 18202227). The section was incubated with ab272237 for 30 mins at room temperature. The immunostaining was performed on a Leica Biosystems BOND® RX instrument Counterstained with Hematoxylin.

Secondary antibody only control : Secondary antibody is a ready to use LeicaDS9800 (Bond™ Polymer Refine Detection) was used.

Heat mediated antigen retrieval with Tris-EDTA buffer (pH 9.0, epitope retrieval solution2) for 20 mins.

Immunohistochemistry (Formalin/PFA-fixed paraffin-embedded sections) - Anti-GATA2 + GATA3 antibody [EPR24359-3] (AB272237)
  • IHC-P

Supplier Data

Immunohistochemistry (Formalin/PFA-fixed paraffin-embedded sections) - Anti-GATA2 + GATA3 antibody [EPR24359-3] (AB272237)

Immunohistochemical analysis of paraffin-embedded Rat kidney tissue labelling GATA2 + GATA3 with ab272237 at 1/500 (0.858 ug/ml) dilution followed by a ready to use LeicaDS9800 (Bond™ Polymer Refine Detection) was used. Nuclear staining on the distal tubules and collecting ducts of rat kidney. The section was incubated with ab272237 for 30 mins at room temperature. The immunostaining was performed on a Leica Biosystems BOND® RX instrument Counterstained with Hematoxylin.

Secondary antibody only control : Secondary antibody is a ready to use LeicaDS9800 (Bond™ Polymer Refine Detection) was used.

Heat mediated antigen retrieval with Tris-EDTA buffer (pH 9.0, epitope retrieval solution2) for 20 mins.

Flow Cytometry - Anti-GATA2 + GATA3 antibody [EPR24359-3] (AB272237)
  • Flow Cyt

Supplier Data

Flow Cytometry - Anti-GATA2 + GATA3 antibody [EPR24359-3] (AB272237)

Flow cytometric analysis of 4% paraformaldehyde fixed 90% methanol permeabilized NIH/3T3 (Mouse embryonic fibroblast) cells labelling GATA2 + GATA3 with ab272237 at 1/500 dilution (0.1ug) (Red) compared with a Rabbit monoclonal IgG (ab172730) (Black) isotype control and an unlabelled control (cells without incubation with primary antibody and secondary antibody) (Blue). A Goat anti rabbit IgG (Alexa Fluor® 488, ab150077) at 1/2000 dilution was used as the secondary antibody.

Western blot - Anti-GATA2 + GATA3 antibody [EPR24359-3] (AB272237)
  • WB

Lab

Western blot - Anti-GATA2 + GATA3 antibody [EPR24359-3] (AB272237)

Primary Antibodies used :

ab272237 Anti-GATA2+GATA3 antibody 1 : 1000 dilution (0.4 μg/ml)

ab109241 Anti-GATA2 antibody 1 : 1000 dilution (0.3μg/ml)

ab199428 Anti-GATA3 antibody 1 : 1000 dilution (0.6 μg/ml)

These tests were run in parallel on the same lysates to show the expected expression pattern for GATA3 and GATA2 respectively.

K-562 express high levels of GATA2 but no expression for GATA3 (PMID : 23636060).

All lanes:

Western blot - Anti-GATA2 + GATA3 antibody [EPR24359-3] (ab272237) at 1/1000 dilution

Lane 1:

HEK-293 (human embryonic kidney) transfected with an empty vector (vector control), containing a myc-His-tag® whole cell lysate at 20 µg

Lane 2:

HEK-293 transfected with GATA3 expression vector containing a myc-His-tag® whole cell lysate at 20 µg

Lane 3:

K-562 (human chronic myelogenous leukemia lymphoblast) whole cell lysate at 20 µg

Secondary

All lanes:

Western blot - Goat Anti-Rabbit IgG H&L (HRP) (<a href='/en-us/products/secondary-antibodies/goat-rabbit-igg-h-l-hrp-ab97051'>ab97051</a>) at 1/20000 dilution

Predicted band size: 50 kDa

Observed band size: 50 kDa

false

Exposure time: 26s

Western blot - Anti-GATA2 + GATA3 antibody [EPR24359-3] (AB272237)
  • WB

Lab

Western blot - Anti-GATA2 + GATA3 antibody [EPR24359-3] (AB272237)

Blocking and diluting buffer and concentration : 5% NFDM/TBST.

This blot was developed using a higher sensitivity ECL substrate.

The expression profile/ molecular weight observed is consistent with what has been described in the literature (PMID : 21666600).

Exposure time : 81 seconds.

All lanes:

Western blot - Anti-GATA2 + GATA3 antibody [EPR24359-3] (ab272237) at 1/1000 dilution

Lane 1:

HeLa (human cervix adenocarcinoma epithelial cell) transfected with scrambled siRNA control whole cell lysate at 20 µg

Lane 2:

Hela transfected with GATA-2 siRNA 1 whole cell lysate at 20 µg

Lane 3:

Hela transfected with GATA-2 siRNA 2 whole cell lysate at 20 µg

Secondary

All lanes:

Western blot - Goat Anti-Rabbit IgG H&L (HRP) (<a href='/en-us/products/secondary-antibodies/goat-rabbit-igg-h-l-hrp-ab97051'>ab97051</a>) at 1/20000 dilution

Predicted band size: 50 kDa

false

Western blot - Anti-GATA2 + GATA3 antibody [EPR24359-3] (AB272237)
  • WB

Lab

Western blot - Anti-GATA2 + GATA3 antibody [EPR24359-3] (AB272237)

Blocking and diluting buffer and concentration : 5% NFDM/TBST.

Negative control : U-937 (PMID : 19212333).

Lysates were made freshly and used in WB test immediately to minimize protein degradation.

Exposure time : 125 seconds.

All lanes:

Western blot - Anti-GATA2 + GATA3 antibody [EPR24359-3] (ab272237) at 1/1000 dilution

Lane 1:

K-562 (human chronic myelogenous leukemia lymphoblast) whole cell lysate at 20 µg

Lane 2:

U-937 (human histiocytic lymphoma monocyte) whole cell lysate at 20 µg

Lane 3:

NIH/3T3 (mouse embryonic fibroblast) whole cell lysate at 20 µg

Lane 4:

PC-12 (rat adrenal gland pheochromocytoma) whole cell lysate at 20 µg

Secondary

All lanes:

Western blot - Goat Anti-Rabbit IgG H&L (HRP) (<a href='/en-us/products/secondary-antibodies/goat-rabbit-igg-h-l-hrp-ab97051'>ab97051</a>) at 1/20000 dilution

Predicted band size: 50 kDa

false

Western blot - Anti-GATA2 + GATA3 antibody [EPR24359-3] (AB272237)
  • WB

Lab

Western blot - Anti-GATA2 + GATA3 antibody [EPR24359-3] (AB272237)

Blocking and diluting buffer and concentration : 5% NFDM/TBST.

Negative control : DU 145 (PMID : 33586682 ); Daudi (PMID : 19212333); Jurkat (PMID : 19212333).

Exposure time : 125 seconds.

All lanes:

Western blot - Anti-GATA2 + GATA3 antibody [EPR24359-3] (ab272237) at 1/1000 dilution

Lane 1:

K-562 (human chronic myelogenous leukemia lymphoblast) whole cell lysate at 20 µg

Lane 2:

DU 145 (human prostate carcinoma epithelial cell) whole cell lysate at 20 µg

Lane 3:

Daudi (human burkitts lymphoma lymphoblast) whole cell lysate at 20 µg

Lane 4:

Jurkat (human t cell leukemia t lymphocyte) whole cell lysate at 20 µg

Secondary

All lanes:

Western blot - Goat Anti-Rabbit IgG H&L (HRP) (<a href='/en-us/products/secondary-antibodies/goat-rabbit-igg-h-l-hrp-ab97051'>ab97051</a>) at 1/20000 dilution

Predicted band size: 50 kDa

false

  • Carrier free

    Anti-GATA2 + GATA3 antibody [EPR24359-3] - BSA and Azide free

Key facts

Host species

Rabbit

Clonality

Monoclonal

Clone number

EPR24359-3

Isotype

IgG

Carrier free

No

Reacts with

Human, Rat, Mouse

Applications

Flow Cyt (Intra), IHC-P, IP, WB

applications

Immunogen

The exact immunogen used to generate this antibody is proprietary information.

Reactivity data

{ "title": "Reactivity Data", "filters": { "stats": ["", "Species", "Dilution Info", "Notes"], "tabs": { "all-applications": {"fullname" : "All Applications", "shortname": "All Applications"}, "IP" : {"fullname" : "Immunoprecipitation", "shortname":"IP"}, "ChIP" : {"fullname" : "ChIP", "shortname":"ChIP"}, "WB" : {"fullname" : "Western blot", "shortname":"WB"}, "ICCIF" : {"fullname" : "Immunocytochemistry/ Immunofluorescence", "shortname":"ICC/IF"}, "IHCFr" : {"fullname" : "Immunohistochemistry (Frozen sections)", "shortname":"IHC-Fr"}, "IHCP" : {"fullname" : "Immunohistochemistry (Formalin/PFA-fixed paraffin-embedded sections)", "shortname":"IHC-P"}, "FlowCytIntra" : {"fullname" : "Flow Cytometry (Intracellular)", "shortname":"Flow Cyt (Intra)"} }, "product-promise": { "all": "all", "testedAndGuaranteed": "tested", "guaranteed": "expected", "predicted": "predicted", "notRecommended": "not-recommended" } }, "values": { "Human": { "IP-species-checked": "testedAndGuaranteed", "IP-species-dilution-info": "1/30", "IP-species-notes": "<p></p>", "ChIP-species-checked": "notRecommended", "ChIP-species-dilution-info": "", "ChIP-species-notes": "<p></p>", "WB-species-checked": "testedAndGuaranteed", "WB-species-dilution-info": "1/1000", "WB-species-notes": "<p></p>", "ICCIF-species-checked": "notRecommended", "ICCIF-species-dilution-info": "", "ICCIF-species-notes": "<p></p>", "IHCFr-species-checked": "notRecommended", "IHCFr-species-dilution-info": "", "IHCFr-species-notes": "<p></p>", "IHCP-species-checked": "testedAndGuaranteed", "IHCP-species-dilution-info": "1/500", "IHCP-species-notes": "<p></p>", "FlowCytIntra-species-checked": "testedAndGuaranteed", "FlowCytIntra-species-dilution-info": "1/500", "FlowCytIntra-species-notes": "<p></p>" }, "Mouse": { "IP-species-checked": "guaranteed", "IP-species-dilution-info": "", "IP-species-notes": "", "ChIP-species-checked": "notRecommended", "ChIP-species-dilution-info": "", "ChIP-species-notes": "", "WB-species-checked": "testedAndGuaranteed", "WB-species-dilution-info": "1/1000", "WB-species-notes": "<p></p>", "ICCIF-species-checked": "notRecommended", "ICCIF-species-dilution-info": "", "ICCIF-species-notes": "<p></p>", "IHCFr-species-checked": "notRecommended", "IHCFr-species-dilution-info": "", "IHCFr-species-notes": "<p></p>", "IHCP-species-checked": "testedAndGuaranteed", "IHCP-species-dilution-info": "1/500", "IHCP-species-notes": "<p></p>", "FlowCytIntra-species-checked": "testedAndGuaranteed", "FlowCytIntra-species-dilution-info": "1/500", "FlowCytIntra-species-notes": "<p></p>" }, "Rat": { "IP-species-checked": "guaranteed", "IP-species-dilution-info": "", "IP-species-notes": "", "ChIP-species-checked": "notRecommended", "ChIP-species-dilution-info": "", "ChIP-species-notes": "", "WB-species-checked": "testedAndGuaranteed", "WB-species-dilution-info": "1/1000", "WB-species-notes": "<p></p>", "ICCIF-species-checked": "notRecommended", "ICCIF-species-dilution-info": "", "ICCIF-species-notes": "", "IHCFr-species-checked": "notRecommended", "IHCFr-species-dilution-info": "", "IHCFr-species-notes": "", "IHCP-species-checked": "testedAndGuaranteed", "IHCP-species-dilution-info": "1/500", "IHCP-species-notes": "<p></p>", "FlowCytIntra-species-checked": "guaranteed", "FlowCytIntra-species-dilution-info": "", "FlowCytIntra-species-notes": "" } } }

Product details

Patented technology
Our RabMAb® technology is a patented hybridoma-based technology for making rabbit monoclonal antibodies. For details on our patents, please refer to RabMAb® patents.

What are the advantages of a recombinant monoclonal antibody?
This product is a recombinant monoclonal antibody, which offers several advantages including:

  • - High batch-to-batch consistency and reproducibility
  • - Improved sensitivity and specificity
  • - Long-term security of supply
  • - Animal-free batch production

For more information, read more on recombinant antibodies.

Properties and storage information

Form
Liquid
Purification technique
Affinity purification Protein A
Storage buffer
pH: 7.2 - 7.4 Preservative: 0.01% Sodium azide Constituents: PBS, 40% Glycerol (glycerin, glycerine), 0.05% BSA
Shipped at conditions
Blue Ice
Appropriate short-term storage duration
1-2 weeks
Appropriate short-term storage conditions
+4°C
Appropriate long-term storage conditions
-20°C
Aliquoting information
Upon delivery aliquot
Storage information
Avoid freeze / thaw cycle

Supplementary information

This supplementary information is collated from multiple sources and compiled automatically.

GATA3 and GATA2 are transcription factors that belong to the GATA family known for their role in DNA binding and regulating gene expression. GATA3 also called GATA-binding protein 3 has a molecular mass of around 50 kDa. These factors are expressed in various tissues but show high expression levels in haematopoietic cells T lymphocytes and epithelial cells. GATA proteins contain two highly conserved zinc finger domains that are essential for binding to the DNA sequence A/T-GATA-A/G influencing the transcription of genes involved in cellular differentiation and proliferation.
Biological function summary

These GATA proteins play critical roles in the development and differentiation of several cell types. GATA3 for instance is essential in T-cell differentiation and function dictating the fate of Th2 lymphocytes and influencing cytokine production. It is also involved in the development of epithelial cells in mammary glands. Both GATA2 and GATA3 may interact with other proteins and form transcriptional complexes impacting a wide range of biological processes. Their ability to regulate gene expression makes them key to proper immune system functionality and tissue homeostasis.

Pathways

GATA3 and GATA2 participate significantly in maintaining the balance of the immune response and cellular proliferation. GATA3 features importantly in the Th2-cell immune response pathway where it regulates genes necessary for this pathway's effective functioning. It relates to the STAT6 signaling pathway where it works in concert with proteins like IL-4 to stimulate Th2 differentiation. GATA2 on the other hand associates with the hematopoietic stem cell renewal and differentiation pathway interacting with FOG1 and PU.1 proteins to regulate these processes.

These transcription factors have implications in various pathologies. Dysregulation of GATA3 is closely linked with allergic responses and autoimmune diseases such as asthma through its regulation of Th2 cytokines. It also connects to breast cancer where abnormal GATA3 expression influences tumorigenesis involving other proteins like ERBB2. GATA2 mutations associate with hematologic disorders such as myelodysplastic syndromes highlighting their impact on blood cell differentiation and maturation. Understanding these associations provides insight into potential therapeutic targets for these diseases.

Product protocols

For this product, it's our understanding that no specific protocols are required. You can visit:

Target data

Transcriptional activator which regulates endothelin-1 gene expression in endothelial cells. Binds to the consensus sequence 5'-AGATAG-3'.
See full target information GATA2

Additional targets

GATA3

Product promise

We are committed to supporting your work with high-quality reagents, and we're here for you every step of the way. In the unlikely event that one of our products does not perform as expected, you're protected by our Product Promise.
For full details, please see our Terms & Conditions

Please note: All products are 'FOR RESEARCH USE ONLY. NOT FOR USE IN DIAGNOSTIC OR THERAPEUTIC PROCEDURES'.

For licensing inquiries, please contact partnerships@abcam.com