JavaScript is disabled in your browser. Please enable JavaScript to view this website.
AB282110

Anti-GATA3 antibody [L50-823]

5

(1 Review)

|

(10 Publications)

Anti-GATA3 antibody [L50-823] (ab282110) is a mouse monoclonal antibody detecting GATA3 in Western Blot, IHC-P, ICC/IF. Suitable for Human, Mouse, Rat.

View Alternative Names

Trans-acting T-cell-specific transcription factor GATA-3, GATA-binding factor 3, GATA3

7 Images
Immunohistochemistry (Formalin/PFA-fixed paraffin-embedded sections) - Anti-GATA3 antibody [L50-823] (AB282110)
  • IHC-P

Supplier Data

Immunohistochemistry (Formalin/PFA-fixed paraffin-embedded sections) - Anti-GATA3 antibody [L50-823] (AB282110)

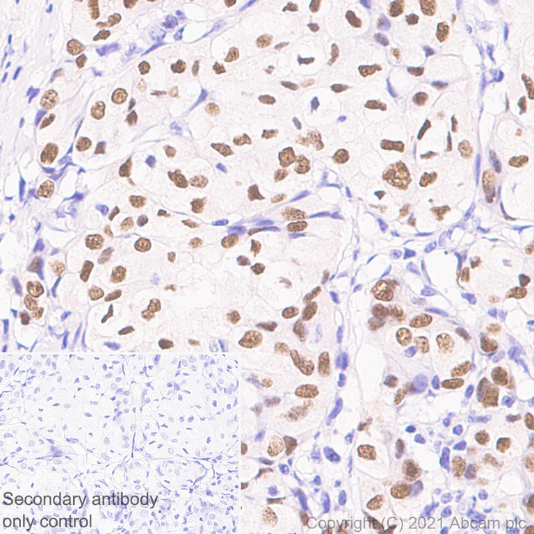
Immunohistochemical analysis of paraffin-embedded Human breast cancer tissue labeling GATA3 with ab282110 at 1/2000 (0.533 ug/ml) dilution followed by a ready to use LeicaDS9800 (Bond™ Polymer Refine Detection). Nuclear staining in human breast cancer. The section was incubated with ab282110 for 30 minutes at room temperature. The immunostaining was performed on a Leica Biosystems BOND® RX instrument. Counterstained with Hematoxylin.

Secondary antibody only control : Secondary antibody is a ready to use LeicaDS9800 (Bond™ Polymer Refine Detection).

Heat mediated antigen retrieval with Citrate buffer (pH 6.0, epitope retrieval solution 1) for 20 minutes.

Immunocytochemistry/ Immunofluorescence - Anti-GATA3 antibody [L50-823] (AB282110)
  • ICC/IF

Supplier Data

Immunocytochemistry/ Immunofluorescence - Anti-GATA3 antibody [L50-823] (AB282110)

Immunofluorescent analysis of 100% methanol-fixed, 0.1% TritonX-100 permeabilized MCF7 cells labelling GATA3 with ab282110 at 1/50 (21.32 ug/ml) dilution, followed by ab150113 Goat Anti-Mouse IgG H&L (Alexa Fluor® 488) antibody at 1/1000 dilution (Green). Confocal image showing nuclear staining in MCF7 cells.

ab179513 Anti-beta Tubulin rabbit monoclonal antibody was used to counterstain tubulin at 1/200 dilution (Red). The Nuclear counterstain was DAPI (Blue).

Secondary antibody only control : Secondary antibody is ab150113 Goat Anti-Mouse IgG H&L (Alexa Fluor® 488) at 1/1000 dilution.

Immunocytochemistry/ Immunofluorescence - Anti-GATA3 antibody [L50-823] (AB282110)
  • ICC/IF

Lab

Immunocytochemistry/ Immunofluorescence - Anti-GATA3 antibody [L50-823] (AB282110)

ab282110 staining GATA3 in MCF7 cells, with negative expression in HepG2 cells. The cells were fixed with 4% formaldehyde (10 min), permeabilised with 0.1% Triton x-100 for 5 minutes and then blocked with 1% BSA/10% normal goat serum/0.3M glycine in 0.1% PBS-Tween for 1h. The cells were then incubated overnight at +4°C with ab282110 at 10 μg/ml and ab6046, Rabbit polyclonal to beta Tubulin at 1 μg/ml. Cells were then incubated with ab150081, Goat polyclonal Secondary Antibody to Rabbit IgG - H&L (Alexa Fluor® 488), pre-adsorbed at 1/1000 dilution (shown in green) and ab150119, Goat polyclonal Secondary Antibody to Mouse IgG - H&L (Alexa Fluor® 647), pre-adsorbed at 1/1000 dilution (shown in red). Nuclear DNA was labelled with DAPI (shown in blue).

Image was acquired with a confocal microscope (Leica-Microsystems TCS SP8) and a single confocal section is shown.

Immunohistochemistry (Formalin/PFA-fixed paraffin-embedded sections) - Anti-GATA3 antibody [L50-823] (AB282110)
  • IHC-P

Supplier Data

Immunohistochemistry (Formalin/PFA-fixed paraffin-embedded sections) - Anti-GATA3 antibody [L50-823] (AB282110)

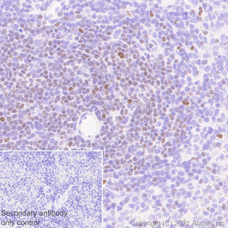
Immunohistochemical analysis of paraffin-embedded Rat spleen tissue labeling GATA3 with ab282110 at 1/2000 (0.533 ug/ml) dilution followed by a ready to use LeicaDS9800 (Bond™ Polymer Refine Detection). Nuclear staining in rat spleen. The section was incubated with ab282110 for 30 minutes at room temperature. The immunostaining was performed on a Leica Biosystems BOND® RX instrument. Counterstained with Hematoxylin.

Secondary antibody only control : Secondary antibody is a ready to use LeicaDS9800 (Bond™ Polymer Refine Detection).

Heat mediated antigen retrieval with Citrate buffer (pH 6.0, epitope retrieval solution 1) for 20 minutes.

Immunohistochemistry (Formalin/PFA-fixed paraffin-embedded sections) - Anti-GATA3 antibody [L50-823] (AB282110)
  • IHC-P

Supplier Data

Immunohistochemistry (Formalin/PFA-fixed paraffin-embedded sections) - Anti-GATA3 antibody [L50-823] (AB282110)

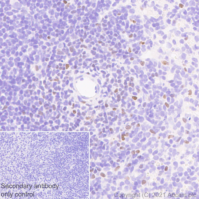
Immunohistochemical analysis of paraffin-embedded Mouse spleen tissue labeling GATA3 with ab282110 at 1/2000 (0.533 ug/ml) dilution followed by a ready to use LeicaDS9800 (Bond™ Polymer Refine Detection). Nuclear staining in mouse spleen. The section was incubated with ab282110 for 30 minutes at room temperature. The immunostaining was performed on a Leica Biosystems BOND® RX instrument. Counterstained with Hematoxylin.

Secondary antibody only control : Secondary antibody is a ready to use LeicaDS9800 (Bond™ Polymer Refine Detection).

Heat mediated antigen retrieval with Citrate buffer (pH 6.0, epitope retrieval solution 1) for 20 minutes.

Western blot - Anti-GATA3 antibody [L50-823] (AB282110)
  • WB

Lab

Western blot - Anti-GATA3 antibody [L50-823] (AB282110)

Blocking and diluting buffer and concentration : 5% NFDM/TBST

The expression profile/ molecular weight observed is consistent with what has been described in the literature (PMID : 24758297).

Exposure time : Lane 1 : 70 seconds

Lane 2 : 3 seconds.

All lanes:

Western blot - Anti-GATA3 antibody [L50-823] (ab282110) at 1/1000 dilution

Lane 1:

T47D (human ductal breast epithelial tumor epithelial cell) nuclear lysate at 10 µg

Lane 2:

EL4 (mouse lymphoma T lymphocyte) whole cell lysate at 10 µg

Secondary

All lanes:

Peroxidase-Conjugated Goat anti-Mouse IgG (H+L) at 1/10000 dilution

Predicted band size: 47 kDa

Observed band size: 50 kDa

false

Western blot - Anti-GATA3 antibody [L50-823] (AB282110)
  • WB

Lab

Western blot - Anti-GATA3 antibody [L50-823] (AB282110)

Blocking and diluting buffer and concentration : 5% NFDM/TBST

The expression profile/ molecular weight observed is consistent with what has been described in the literature (PMID : 24758297).

Low expression : MDA-MB-231(PMID : 31685800)

Exposure time : 10 seconds.

All lanes:

Western blot - Anti-GATA3 antibody [L50-823] (ab282110) at 1/1000 dilution

Lane 1:

Jurkat (Human T cell leukemia cell line from peripheral blood) whole cell lysate at 10 µg

Lane 2:

HT-1376 (Human urinary bladder carcinoma cell line) whole cell lysate at 10 µg

Lane 3:

SH-SY5Y (Human neuroblastoma cell line from bone marrow) whole cell lysate at 10 µg

Lane 4:

MCF7 (Human breast adenocarcinoma cell line) whole cell lysate at 10 µg

Lane 5:

MDA-MB-231 (Human breast adenocarcinoma cell line) whole cell lysate at 10 µg

Secondary

All lanes:

Peroxidase-Conjugated Goat anti-Mouse IgG (H+L) at 1/10000 dilution

Predicted band size: 47 kDa

Observed band size: 37 kDa,50 kDa

false

Key facts

Host species

Mouse

Clonality

Monoclonal

Clone number

L50-823

Isotype

IgG1

Light chain type

kappa

Carrier free

No

Reacts with

Mouse, Rat, Human

Applications

IHC-P, ICC/IF, WB

applications

Immunogen

The exact immunogen used to generate this antibody is proprietary information.

Specificity

WB validated for Human and Mouse.

Reactivity data

{ "title": "Reactivity Data", "filters": { "stats": ["", "Species", "Dilution Info", "Notes"], "tabs": { "all-applications": {"fullname" : "All Applications", "shortname": "All Applications"}, "ICCIF" : {"fullname" : "Immunocytochemistry/ Immunofluorescence", "shortname":"ICC/IF"}, "IP" : {"fullname" : "Immunoprecipitation", "shortname":"IP"}, "ChIP" : {"fullname" : "ChIP", "shortname":"ChIP"}, "WB" : {"fullname" : "Western blot", "shortname":"WB"}, "IHCP" : {"fullname" : "Immunohistochemistry (Formalin/PFA-fixed paraffin-embedded sections)", "shortname":"IHC-P"} }, "product-promise": { "all": "all", "testedAndGuaranteed": "tested", "guaranteed": "expected", "predicted": "predicted", "notRecommended": "not-recommended" } }, "values": { "Human": { "ICCIF-species-checked": "testedAndGuaranteed", "ICCIF-species-dilution-info": "1/50", "ICCIF-species-notes": "<p></p>", "IP-species-checked": "notRecommended", "IP-species-dilution-info": "", "IP-species-notes": "<p></p>", "ChIP-species-checked": "notRecommended", "ChIP-species-dilution-info": "", "ChIP-species-notes": "<p></p>", "WB-species-checked": "testedAndGuaranteed", "WB-species-dilution-info": "1/1000", "WB-species-notes": "<p></p>", "IHCP-species-checked": "testedAndGuaranteed", "IHCP-species-dilution-info": "1/2000", "IHCP-species-notes": "<p></p>" }, "Mouse": { "ICCIF-species-checked": "notRecommended", "ICCIF-species-dilution-info": "1/50", "ICCIF-species-notes": "<p></p>", "IP-species-checked": "notRecommended", "IP-species-dilution-info": "", "IP-species-notes": "", "ChIP-species-checked": "notRecommended", "ChIP-species-dilution-info": "", "ChIP-species-notes": "", "WB-species-checked": "testedAndGuaranteed", "WB-species-dilution-info": "1/1000", "WB-species-notes": "<p></p>", "IHCP-species-checked": "testedAndGuaranteed", "IHCP-species-dilution-info": "1/2000", "IHCP-species-notes": "<p></p>" }, "Rat": { "ICCIF-species-checked": "guaranteed", "ICCIF-species-dilution-info": "", "ICCIF-species-notes": "", "IP-species-checked": "notRecommended", "IP-species-dilution-info": "", "IP-species-notes": "", "ChIP-species-checked": "notRecommended", "ChIP-species-dilution-info": "", "ChIP-species-notes": "", "WB-species-checked": "guaranteed", "WB-species-dilution-info": "", "WB-species-notes": "", "IHCP-species-checked": "testedAndGuaranteed", "IHCP-species-dilution-info": "1/2000", "IHCP-species-notes": "<p></p>" } } }

Product details

What is this antibody validated in?
Anti-GATA3 antibody [L50-823] (ab282110) is a mouse recombinant monoclonal antibody and is validated for use in Western Blot (WB), Immunohistochemistry (IHC-P), Immunocytochemistry/immunofluorescence (ICC/IF) in Human, Mouse, Rat samples.

What is the molecular weight of GATA3?
Anti-GATA3 [L50-823] (ab282110) specifically detects a band for GATA3 (UniProt: P23771) at a molecular weight of 47kDa.

Other related products
We have a range of other formats of antibody clone [L50-823] also available for your convenience: ab282110, Carrier free - ab282130, Alexa Fluor® 647 - ab318247

What are the advantages of a recombinant monoclonal antibody?
This product is a recombinant monoclonal antibody, which offers several advantages including:

  • - High batch-to-batch consistency and reproducibility
  • - Improved sensitivity and specificity
  • - Long-term security of supply
  • - Animal-free batch production

For more information, read more on recombinant antibodies.

Properties and storage information

Form
Liquid
Purification technique
Affinity purification Protein A
Storage buffer
pH: 7.2 - 7.4 Preservative: 0.01% Sodium azide Constituents: PBS, 40% Glycerol (glycerin, glycerine), 0.05% BSA
Shipped at conditions
Blue Ice
Appropriate short-term storage duration
1-2 weeks
Appropriate short-term storage conditions
+4°C
Appropriate long-term storage conditions
-20°C
Aliquoting information
Upon delivery aliquot
Storage information
Avoid freeze / thaw cycle

Supplementary information

This supplementary information is collated from multiple sources and compiled automatically.

GATA3 also known as GATA-binding factor 3 is a transcription factor with a molecular mass of about 50 kDa. It belongs to the GATA family of zinc finger transcription factors. GATA3 is mainly expressed in the immune system especially in T-cells as well as in the nervous system and mammary glands. It plays a role in the regulation of critical developmental processes and cell lineage commitment through its binding to the 'GATA' motif in the promoter regions of target genes.
Biological function summary

GATA3 functions as a regulator of gene expression involved in various differentiation processes. It is not a solitary molecule; it interacts with other proteins to form transcriptional complexes. In T-helper type 2 (Th2) cells GATA3 is necessary for Th2 cell differentiation and cytokine production. Its expression is vital for the development of the nervous system and mammary gland morphogenesis highlighting its role in diverse biological contexts.

Pathways

GATA3 plays a significant role in the Th2 differentiation pathway and is linked to the immune response. It acts in association with other transcription factors like STAT6 and T-bet. GATA3 promotes the transcription of Th2 cytokines such as IL-4 IL-5 and IL-13 while suppressing Th1 responses. This balance orchestrated by GATA3 is important for immune homeostasis and the body's ability to respond to infections and allergens.

The dysregulation of GATA3 is associated with atopic diseases and breast cancer. Aberrant expression of GATA3 is often observed in allergic conditions due to its role in Th2 cell differentiation and cytokine expression. In the context of breast cancer GATA3 levels can impact tumor progression and are correlated with estrogen receptor status. Additionally its relation with other breast cancer-related proteins like L50 underlines its importance in cancer biology and potential as a therapeutic target.

Product protocols

For this product, it's our understanding that no specific protocols are required. You can visit:

Target data

Transcriptional activator which binds to the enhancer of the T-cell receptor alpha and delta genes. Binds to the consensus sequence 5'-AGATAG-3'. Required for the T-helper 2 (Th2) differentiation process following immune and inflammatory responses. Positively regulates ASB2 expression (By similarity). Coordinates macrophage transcriptional activation and UCP2-dependent metabolic reprogramming in response to IL33. Upon tissue injury, acts downstream of IL33 signaling to drive differentiation of inflammation-resolving alternatively activated macrophages.
See full target information GATA3

Publications (10)

Recent publications for all applications. Explore the full list and refine your search

Cell communication and signaling : CCS 23:216 PubMed40336063

2025

IKZF1 as a potential therapeutic target for dendritic cell-mediated immunotherapy in IgA nephropathy.

Applications

Unspecified application

Species

Unspecified reactive species

Fei Peng,Chunjia Sheng,Jiayi He,Yena Zhou,Yilun Qu,Shuwei Duan,Yinghua Zhao,Jikai Xia,Jie Wu,Guangyan Cai,Lingling Wu,Chuyue Zhang,Xiangmei Chen

Reproductive biology and endocrinology : RB&E 23:8 PubMed39825439

2025

Cell-free fat extract improves embryo development and clinical outcomes in older women with previous in-vitro fertilization failure.

Applications

Unspecified application

Species

Unspecified reactive species

Xiaowei Zhou,Hanfei Zhu,Jingru Duan,Lan Xia,Shen Zhao,Huihui Xu,Xian Wu,Xiaoling Wang,Bufang Xu,Yi Cao,Aijun Zhang

Molecular human reproduction 30: PubMed38991843

2024

The timing of pronuclear transfer critically affects the developmental competence and quality of embryos.

Applications

Unspecified application

Species

Unspecified reactive species

Tereza Znachorova,Nataliia Dudko,Hao Ming,Zongliang Jiang,Helena Fulka

Frontiers in pharmacology 15:1332036 PubMed38835658

2024

Cang-ai volatile oil alleviates nasal inflammation via Th1/Th2 cell imbalance regulation in a rat model of ovalbumin-induced allergic rhinitis.

Applications

Unspecified application

Species

Unspecified reactive species

Yang Zhou,Bojun Chen,Yi Fu,Chunping Wan,Huayan Li,Lin Wang,Xiaoyi Huang,Zhao Wu,Gang Li,Lei Xiong,Dongdong Qin

Cellular and molecular life sciences : CMLS 81:208 PubMed38710919

2024

PRDM14 extinction enables the initiation of trophoblast stem cell formation.

Applications

Unspecified application

Species

Unspecified reactive species

Chunfang Xu,Weijie Zhao,Lijin Peng,Tingxuan Yin,Jiani Guo,Yue Li,Lu Liu,Jinying Yang,Congjian Xu,Meirong Du

Clinics (Sao Paulo, Brazil) 79:100368 PubMed38703717

2024

TRPC5 channel participates in myocardial injury in chronic intermittent hypoxia.

Applications

Unspecified application

Species

Unspecified reactive species

Mengmeng Wang,Wen Wen,Yulan Chen,Sharezati Yishajiang,Yu Li,Zhiqiang Li,Xiangyang Zhang

Acta parasitologica 69:929-950 PubMed38489009

2024

Appraisal of Chitosan-Coated Lipid Nano-Combination with Miltefosine and Albendazole in the Treatment of Murine Trichinellosis: Experimental Study with Evaluation of Immunological and Immunohistochemical Parameters.

Applications

Unspecified application

Species

Unspecified reactive species

Asmaa F Ibrahim,Sahar M Selim,Dalia A Shafey,Dina M Sweed,Shaimaa A Farag,Marwa A Gouda

Chinese medicine 18:131 PubMed37828528

2023

Fermented cordyceps powder alleviates silica-induced pulmonary inflammation and fibrosis in rats by regulating the Th immune response.

Applications

Unspecified application

Species

Unspecified reactive species

Shuangshuang Pu,Zhifeng Yang,Xiaofeng Zhang,Ming Li,Na Han,Xiaohan Yang,Jin He,Gongchang Yu,Xiangjing Meng,Qiang Jia,Hua Shao

Cell reports. Medicine 4:100934 PubMed36754052

2023

Single-cell sequencing identifies differentiation-related markers for molecular classification and recurrence prediction of PitNET.

Applications

Unspecified application

Species

Unspecified reactive species

Qilin Zhang,Boyuan Yao,Xin Long,Zhengyuan Chen,Min He,Yue Wu,Nidan Qiao,Zengyi Ma,Zhao Ye,Yichao Zhang,Shun Yao,Ye Wang,Haixia Cheng,Hong Chen,Hongying Ye,Yongfei Wang,Yimin Li,Jianhua Chen,Zhaoyun Zhang,Fan Guo,Yao Zhao

The EMBO journal 42:e111473 PubMed36719036

2023

BRD4-PRC2 represses transcription of T-helper 2-specific negative regulators during T-cell differentiation.

Applications

Unspecified application

Species

Unspecified reactive species

Li Zhao,Yiqi Wang,Anbalagan Jaganathan,Yifei Sun,Ning Ma,Ning Li,Xinye Han,Xueying Sun,Huanfa Yi,Shibo Fu,Fangbin Han,Xue Li,Kunhong Xiao,Martin J Walsh,Lei Zeng,Ming-Ming Zhou,Ka Lung Cheung
View all publications

Product promise

We are committed to supporting your work with high-quality reagents, and we're here for you every step of the way. In the unlikely event that one of our products does not perform as expected, you're protected by our Product Promise.
For full details, please see our Terms & Conditions

Please note: All products are 'FOR RESEARCH USE ONLY. NOT FOR USE IN DIAGNOSTIC OR THERAPEUTIC PROCEDURES'.

For licensing inquiries, please contact partnerships@abcam.com