JavaScript is disabled in your browser. Please enable JavaScript to view this website.
AB186371

Anti-GATA3 (phospho S308) antibody [EPR18118]

5

(1 Review)

|

(1 Publication)

Rabbit Recombinant Monoclonal GATA3 phospho S308 antibody. Suitable for IP, Dot, WB, IHC-P and reacts with Human, Mouse, Rat, Synthetic peptide - Human samples. Cited in 1 publication.

View Alternative Names

Trans-acting T-cell-specific transcription factor GATA-3, GATA-binding factor 3, GATA3

9 Images
Immunohistochemistry (Formalin/PFA-fixed paraffin-embedded sections) - Anti-GATA3 (phospho S308) antibody [EPR18118] (AB186371)
  • IHC-P

Lab

Immunohistochemistry (Formalin/PFA-fixed paraffin-embedded sections) - Anti-GATA3 (phospho S308) antibody [EPR18118] (AB186371)

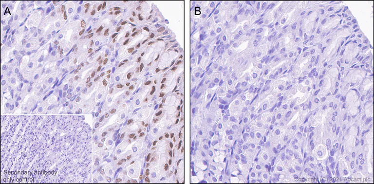
Immunohistochemical analysis of paraffin-embedded Mouse stomach tissue labeling GATA3 (phospho S308) with ab186371 at 1/50 dilution followed by a ready to use Rabbit specific IHC polymer detection kit HRP/DAB (ab209101). The section was counterstained with Hematoxylin. Secondary antibody only control : Secondary antibody is a ready to use Rabbit specific IHC polymer detection kit HRP/DAB (ab209101) Heat mediated antigen retrieval with Tris-EDTA buffer (pH 9.0, epitope retrieval solution2) for 20 mins. Nuclear staining on mouse stomach without Lambda Protein Phosphatase treatment (image A). No signal was detected when tissues were treated with Lambda Protein Phosphatase treatment (image B). The section was incubated with ab186371 for 30 mins at room temperature. The immunostaining was performed on a Leica Biosystems BOND® RX instrument.

Immunohistochemistry (Formalin/PFA-fixed paraffin-embedded sections) - Anti-GATA3 (phospho S308) antibody [EPR18118] (AB186371)
  • IHC-P

Lab

Immunohistochemistry (Formalin/PFA-fixed paraffin-embedded sections) - Anti-GATA3 (phospho S308) antibody [EPR18118] (AB186371)

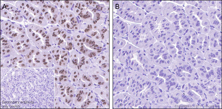
Immunohistochemical analysis of paraffin-embedded Rat stomach tissue labeling GATA3 (phospho S308) with ab186371 at 1/50 dilution followed by a ready to use Rabbit specific IHC polymer detection kit HRP/DAB (ab209101). The section was counterstained with Hematoxylin. Secondary antibody only control : Secondary antibody is a ready to use Rabbit specific IHC polymer detection kit HRP/DAB (ab209101) Heat mediated antigen retrieval with Tris-EDTA buffer (pH 9.0, epitope retrieval solution2) for 20 mins. Nuclear staining on rat stomach without Lambda Protein Phosphatase treatment (image A). No signal was detected when tissues were treated with Lambda Protein Phosphatase treatment (image B). The section was incubated with ab186371 for 30 mins at room temperature. The immunostaining was performed on a Leica Biosystems BOND® RX instrument.

Western blot - Anti-GATA3 (phospho S308) antibody [EPR18118] (AB186371)
  • WB

Lab

Western blot - Anti-GATA3 (phospho S308) antibody [EPR18118] (AB186371)

Blocking and diluting buffer and concentration : 5% NFDM/TBST.

All lanes:

Western blot - Anti-GATA3 (phospho S308) antibody [EPR18118] (ab186371) at 1/1000 dilution

Lane 1:

Untreated EL4 (mouse lymphoma T lymphocyte) whole cell lysate at 20 µg

Lane 2:

EL4 treated with 0.5 mM 8-Bromo-cAMP for 6 hours whole cell lysate at 20 µg

Secondary

All lanes:

Western blot - Goat Anti-Rabbit IgG H&L (HRP) (<a href='/en-us/products/secondary-antibodies/goat-rabbit-igg-h-l-hrp-ab97051'>ab97051</a>) at 1/100000 dilution

Predicted band size: 47 kDa

Observed band size: 48 kDa

false

Exposure time: 70s

Immunohistochemistry (Formalin/PFA-fixed paraffin-embedded sections) - Anti-GATA3 (phospho S308) antibody [EPR18118] (AB186371)
  • IHC-P

Supplier Data

Immunohistochemistry (Formalin/PFA-fixed paraffin-embedded sections) - Anti-GATA3 (phospho S308) antibody [EPR18118] (AB186371)

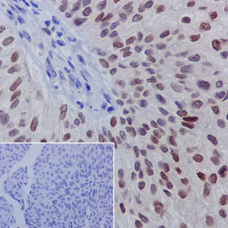
Immunohistochemical analysis of paraffin-embedded Human transitional cell carcinoma tissue labeling GATA3 (phospho S308) with ab186371 at 1/100 dilution followed by Goat Anti-Rabbit IgG H&L (HRP) (ab97051) at 1/500 dilution. Nucleus staining on tumor cells of Human transitional cell carcinoma of bladder is observed. Counter stained with Hematoxylin.

Secondary antibody only control : Used PBS instead of primary antibody, secondary antibody is Goat Anti-Rabbit IgG H&L (HRP) (ab97051) at 1/500 dilution.

Perform heat mediated antigen retrieval with Tris/EDTA buffer pH 9.0 before commencing with IHC staining protocol.

Immunohistochemistry (Formalin/PFA-fixed paraffin-embedded sections) - Anti-GATA3 (phospho S308) antibody [EPR18118] (AB186371)
  • IHC-P

Supplier Data

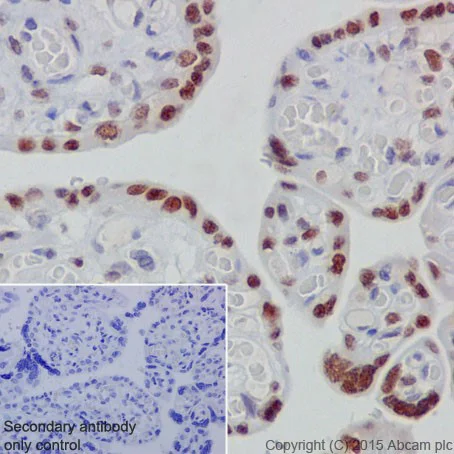
Immunohistochemistry (Formalin/PFA-fixed paraffin-embedded sections) - Anti-GATA3 (phospho S308) antibody [EPR18118] (AB186371)

Immunohistochemical analysis of paraffin-embedded Human placenta tissue labeling GATA3 (phospho S308) with ab186371 at 1/100 dilution followed by Goat Anti-Rabbit IgG H&L (HRP) (ab97051) at 1/500 dilution. Nucleus staining on trophoblast cells of Human placenta is observed. Counter stained with Hematoxylin.

Secondary antibody only control : Used PBS instead of primary antibody, secondary antibody is Goat Anti-Rabbit IgG H&L (HRP) (ab97051) at 1/500 dilution.

Perform heat mediated antigen retrieval with Tris/EDTA buffer pH 9.0 before commencing with IHC staining protocol.

Immunoprecipitation - Anti-GATA3 (phospho S308) antibody [EPR18118] (AB186371)
  • IP

Supplier Data

Immunoprecipitation - Anti-GATA3 (phospho S308) antibody [EPR18118] (AB186371)

GATA3 (phospho S308) was immunoprecipitated from 1mg of Jurkat (Human T cell leukemia cells from peripheral blood) cells treated with 1mM 8-Bromo-cAMP for 6 hours with ab186371 at 1/70 dilution. Western blot was performed from the immunoprecipitate using ab186371 at 1/1000 dilution. VeriBlot for IP Detection Reagent (HRP) (ab131366) was used for detection at 1/1500 dilution.

Lane 1 : Jurkat whole cell lysate treated with 1mM 8-Bromo-cAMP for 6 hours, 10 μg (Input).

Lane 2 : ab186371 IP in Jurkat whole cell lysate treated with 1mM 8-Bromo-cAMP for 6 hours.

Lane 3 : Rabbit monoclonal IgG (ab172730) instead of ab186371 in Jurkat whole cell lysate treated with 1mM 8-Bromo-cAMP for 6 hours.
Blocking and dilution buffer and concentration : 5% NFDM/TBST.

Exposure time : 10 seconds.

All lanes:

Immunoprecipitation - Anti-GATA3 (phospho S308) antibody [EPR18118] (ab186371)

Predicted band size: 47 kDa

Observed band size: 48 kDa

false

Western blot - Anti-GATA3 (phospho S308) antibody [EPR18118] (AB186371)
  • WB

Supplier Data

Western blot - Anti-GATA3 (phospho S308) antibody [EPR18118] (AB186371)

Blocking/dilution buffer : 5% NFDM/TBST.

All lanes:

Western blot - Anti-GATA3 (phospho S308) antibody [EPR18118] (ab186371) at 1/10000 dilution

Lane 1:

Untreated Jurkat (Human T cell leukemia cells from peripheral blood) whole cell lysates at 10 µg

Lane 2:

Jurkat whole cell lysates treated with 1mM 8-Bromo-cAMP for 6 hours at 10 µg

Secondary

All lanes:

Goat Anti-Rabbit IgG, (H+L),Peroxidase conjugated at 1/1000 dilution

Predicted band size: 47 kDa

Observed band size: 48 kDa

false

Exposure time: 15s

Dot Blot - Anti-GATA3 (phospho S308) antibody [EPR18118] (AB186371)
  • Dot

Lab

Dot Blot - Anti-GATA3 (phospho S308) antibody [EPR18118] (AB186371)

Dot blot analysis of GATA3 (phospho S308) using ab186371 at 1 : 1000 (1.121 μg/ml) followed by a Goat Anti-Rabbit IgG, (H+L), Peroxidase conjugated antibody (ab97051) at 1 : 100000 dilution. Lane 1 : Human GATA3 (phospho Ser316) peptide Lane 2 : Human GATA3 (phospho Thr315) peptide Lane 3 : Human GATA3 (phospho Ser308) peptide Blocking and diluting buffer and concentration : 5% NFDM/TBST. Exposure time : 180 seconds

Dot Blot - Anti-GATA3 (phospho S308) antibody [EPR18118] (AB186371)
  • Dot

Supplier Data

Dot Blot - Anti-GATA3 (phospho S308) antibody [EPR18118] (AB186371)

Dot blot analysis of GATA3 (phospho S308) peptide (Lane 1) and non-phospho peptide (Lane 2) labeled using ab186371 at 1/1000 dilution, followed by Goat Anti-Rabbit IgG, (H+L), Peroxidase conjugated secondary antibody at 1/1000 dilution.

Blocking/Dilution buffer : 5% NFDM/TBST..

Exposure time : 3 minutes.

  • Carrier free

    Anti-GATA3 (phospho S308) antibody [EPR18118] - BSA and Azide free

Key facts

Host species

Rabbit

Clonality

Monoclonal

Clone number

EPR18118

Isotype

IgG

Carrier free

No

Reacts with

Human, Mouse, Rat

Applications

WB, IP, IHC-P, Dot

applications

Immunogen

The exact immunogen used to generate this antibody is proprietary information.

Specificity

The immunogen sequence for this antibody is identical to the sequence around S340 of GATA2 (UniProt P23769); however the phosphorylation of GATA2 on S340 has not been reported.

Reactivity data

{ "title": "Reactivity Data", "filters": { "stats": ["", "Species", "Dilution Info", "Notes"], "tabs": { "all-applications": {"fullname" : "All Applications", "shortname": "All Applications"}, "IP" : {"fullname" : "Immunoprecipitation", "shortname":"IP"}, "Dot" : {"fullname" : "Dot Blot", "shortname":"Dot"}, "WB" : {"fullname" : "Western blot", "shortname":"WB"}, "IHCP" : {"fullname" : "Immunohistochemistry (Formalin/PFA-fixed paraffin-embedded sections)", "shortname":"IHC-P"} }, "product-promise": { "all": "all", "testedAndGuaranteed": "tested", "guaranteed": "expected", "predicted": "predicted", "notRecommended": "not-recommended" } }, "values": { "Human": { "IP-species-checked": "testedAndGuaranteed", "IP-species-dilution-info": "1/70", "IP-species-notes": "<p></p>", "Dot-species-checked": "guaranteed", "Dot-species-dilution-info": "", "Dot-species-notes": "", "WB-species-checked": "testedAndGuaranteed", "WB-species-dilution-info": "1/10000", "WB-species-notes": "<p></p>", "IHCP-species-checked": "testedAndGuaranteed", "IHCP-species-dilution-info": "1/100", "IHCP-species-notes": "<p></p> Perform heat-mediated antigen retrieval with Tris/EDTA buffer pH 9.0 before commencing with IHC staining protocol." }, "Mouse": { "IP-species-checked": "guaranteed", "IP-species-dilution-info": "", "IP-species-notes": "", "Dot-species-checked": "guaranteed", "Dot-species-dilution-info": "", "Dot-species-notes": "", "WB-species-checked": "testedAndGuaranteed", "WB-species-dilution-info": "1/10000", "WB-species-notes": "<p></p>", "IHCP-species-checked": "testedAndGuaranteed", "IHCP-species-dilution-info": "1/100", "IHCP-species-notes": "<p></p> Perform heat-mediated antigen retrieval with Tris/EDTA buffer pH 9.0 before commencing with IHC staining protocol." }, "Rat": { "IP-species-checked": "guaranteed", "IP-species-dilution-info": "", "IP-species-notes": "", "Dot-species-checked": "guaranteed", "Dot-species-dilution-info": "", "Dot-species-notes": "", "WB-species-checked": "guaranteed", "WB-species-dilution-info": "", "WB-species-notes": "", "IHCP-species-checked": "testedAndGuaranteed", "IHCP-species-dilution-info": "1/100", "IHCP-species-notes": "<p></p> Perform heat-mediated antigen retrieval with Tris/EDTA buffer pH 9.0 before commencing with IHC staining protocol." }, "Synthetic peptide - Human": { "IP-species-checked": "notRecommended", "IP-species-dilution-info": "", "IP-species-notes": "", "Dot-species-checked": "testedAndGuaranteed", "Dot-species-dilution-info": "1/1000", "Dot-species-notes": "<p></p>", "WB-species-checked": "notRecommended", "WB-species-dilution-info": "", "WB-species-notes": "", "IHCP-species-checked": "notRecommended", "IHCP-species-dilution-info": "", "IHCP-species-notes": "" } } }

You may be interested in:

AB230939

Human GATA3 ELISA Kit

0

0 Reviews

View product

We recommend this product because it’s often used in the same experiment or related research.

We advise that you always check the datasheet to ensure it fits your experiments, or contact ourtechnical teamfor help.

Product details

Patented technology
Our RabMAb® technology is a patented hybridoma-based technology for making rabbit monoclonal antibodies. For details on our patents, please refer to RabMAb® patents.

What are the advantages of a recombinant monoclonal antibody?
This product is a recombinant monoclonal antibody, which offers several advantages including:

  • - High batch-to-batch consistency and reproducibility
  • - Improved sensitivity and specificity
  • - Long-term security of supply
  • - Animal-free batch production

For more information, read more on recombinant antibodies.

Properties and storage information

Form
Liquid
Purification technique
Affinity purification Protein A
Storage buffer
pH: 7.2 - 7.4 Preservative: 0.01% Sodium azide Constituents: 59% PBS, 40% Glycerol (glycerin, glycerine), 0.05% BSA
Shipped at conditions
Blue Ice
Appropriate short-term storage duration
1-2 weeks
Appropriate short-term storage conditions
+4°C
Appropriate long-term storage conditions
-20°C
Aliquoting information
Upon delivery aliquot
Storage information
Avoid freeze / thaw cycle

Supplementary information

This supplementary information is collated from multiple sources and compiled automatically.

GATA3 also known as GATA-binding factor 3 is a transcription factor with a molecular mass of about 50 kDa. It belongs to the GATA family of zinc finger transcription factors. GATA3 is mainly expressed in the immune system especially in T-cells as well as in the nervous system and mammary glands. It plays a role in the regulation of critical developmental processes and cell lineage commitment through its binding to the 'GATA' motif in the promoter regions of target genes.
Biological function summary

GATA3 functions as a regulator of gene expression involved in various differentiation processes. It is not a solitary molecule; it interacts with other proteins to form transcriptional complexes. In T-helper type 2 (Th2) cells GATA3 is necessary for Th2 cell differentiation and cytokine production. Its expression is vital for the development of the nervous system and mammary gland morphogenesis highlighting its role in diverse biological contexts.

Pathways

GATA3 plays a significant role in the Th2 differentiation pathway and is linked to the immune response. It acts in association with other transcription factors like STAT6 and T-bet. GATA3 promotes the transcription of Th2 cytokines such as IL-4 IL-5 and IL-13 while suppressing Th1 responses. This balance orchestrated by GATA3 is important for immune homeostasis and the body's ability to respond to infections and allergens.

The dysregulation of GATA3 is associated with atopic diseases and breast cancer. Aberrant expression of GATA3 is often observed in allergic conditions due to its role in Th2 cell differentiation and cytokine expression. In the context of breast cancer GATA3 levels can impact tumor progression and are correlated with estrogen receptor status. Additionally its relation with other breast cancer-related proteins like L50 underlines its importance in cancer biology and potential as a therapeutic target.

Product protocols

For this product, it's our understanding that no specific protocols are required. You can visit:

Target data

Transcriptional activator which binds to the enhancer of the T-cell receptor alpha and delta genes. Binds to the consensus sequence 5'-AGATAG-3'. Required for the T-helper 2 (Th2) differentiation process following immune and inflammatory responses. Positively regulates ASB2 expression (By similarity). Coordinates macrophage transcriptional activation and UCP2-dependent metabolic reprogramming in response to IL33. Upon tissue injury, acts downstream of IL33 signaling to drive differentiation of inflammation-resolving alternatively activated macrophages.
See full target information GATA3 phospho S308

Publications (1)

Recent publications for all applications. Explore the full list and refine your search

Breast cancer research : BCR 22:139 PubMed33298139

2020

Cathepsin V suppresses GATA3 protein expression in luminal A breast cancer.

Applications

Unspecified application

Species

Unspecified reactive species

Naphannop Sereesongsaeng,Sara H McDowell,James F Burrows,Christopher J Scott,Roberta E Burden
View all publications

Product promise

We are committed to supporting your work with high-quality reagents, and we're here for you every step of the way. In the unlikely event that one of our products does not perform as expected, you're protected by our Product Promise.
For full details, please see our Terms & Conditions

Associated Products

Select an associated product type
Alternative Product
Primary Antibodies

AB268065

Anti-GATA3 antibody [GATA3/2444]

primary-antibodies

gata3-antibody-gata3-2444-ab268065

0

(0 reviews)

Alternative Product
Primary Antibodies

AB106625

Anti-GATA3 antibody

primary-antibodies

gata3-antibody-ab106625

4

(1 reviews)

Alternative Product
Primary Antibodies

AB110093

Anti-GATA3 antibody [KT77]

primary-antibodies

gata3-antibody-kt77-ab110093

0

(0 reviews)

Alternative Product
Primary Antibodies

AB208896

Alexa Fluor® 647 Anti-GATA3 antibody [EPR16651]

primary-antibodies

alexa-fluor-647-gata3-antibody-epr16651-ab208896

0

(0 reviews)

Alternative Product
Primary Antibodies

AB225419

PE Anti-GATA3 antibody [EPR16651]

primary-antibodies

pe-gata3-antibody-epr16651-ab225419

0

(0 reviews)

Alternative Product
Primary Antibodies

AB208895

Alexa Fluor® 488 Anti-GATA3 antibody [EPR16651]

primary-antibodies

alexa-fluor-488-gata3-antibody-epr16651-ab208895

0

(0 reviews)

Alternative Product
Primary Antibodies

AB214804

Anti-GATA3 antibody [EPR16651] - BSA and Azide free

primary-antibodies

gata3-antibody-epr16651-bsa-and-azide-free-ab214804

3

(2 reviews)

Alternative Product
Primary Antibodies

AB210672

Alexa Fluor® 555 Anti-GATA3 antibody [EPR16651]

primary-antibodies

alexa-fluor-555-gata3-antibody-epr16651-ab210672

0

(1 reviews)

Alternative Product
Primary Antibodies

AB268186

Anti-GATA3 antibody [GATA3/2444] - BSA and Azide free

primary-antibodies

gata3-antibody-gata3-2444-bsa-and-azide-free-ab268186

0

(1 reviews)

Alternative Product
Primary Antibodies

AB199428

Anti-GATA3 antibody [EPR16651] - ChIP Grade

primary-antibodies

gata3-antibody-epr16651-chip-grade-ab199428

5

(13 reviews)

Please note: All products are 'FOR RESEARCH USE ONLY. NOT FOR USE IN DIAGNOSTIC OR THERAPEUTIC PROCEDURES'.

For licensing inquiries, please contact partnerships@abcam.com