JavaScript is disabled in your browser. Please enable JavaScript to view this website.
AB256782

Anti-GATA4 antibody [EPR23691-12]

Be the first to review this product! Submit a review

|

(6 Publications)

Rabbit Recombinant Monoclonal GATA4 antibody. Suitable for IP, WB and reacts with Human samples. Cited in 6 publications.

View Alternative Names

Transcription factor GATA-4, GATA-binding factor 4, GATA4

3 Images
Immunoprecipitation - Anti-GATA4 antibody [EPR23691-12] (AB256782)
  • IP

Unknown

Immunoprecipitation - Anti-GATA4 antibody [EPR23691-12] (AB256782)

GATA4 was immunoprecipitated from 0.35 mg Huh7 (human hepatocellular carcinoma epithelial cell), whole cell lysate 10 μg with ab256782 at 1/30 dilution (2μg in 0.35mg lysates). Western blot was performed on the immunoprecipitate using ab256782 at 1/1000 dilution. VeriBlot for IP Detection Reagent (HRP)(ab131366) was used at 1/5000 dilution.

Lane 1 : Huh7 whole cell lysate 10 μg.

Lane 2 : ab256782 IP in Huh7 whole cell lysate.

Lane 3 : Rabbit monoclonal IgG (ab172730) instead of ab256782 in Huh7 whole cell lysate.

Blocking and dilution buffer and concentration : 5% NFDM/TBST.

Exposure time : 49 seconds.

The molecular weight observed is consistent with what has been described in the literature (PMID : 31903133). 20 kDa band in Huh7 whole cell lysate is consistent with what has been described in the literature (PMID : 25501827).

All lanes:

Immunoprecipitation - Anti-GATA4 antibody [EPR23691-12] (ab256782)

Predicted band size: 44 kDa

false

Western blot - Anti-GATA4 antibody [EPR23691-12] (AB256782)
  • WB

Lab

Western blot - Anti-GATA4 antibody [EPR23691-12] (AB256782)

Blocking and diluting buffer and concentration : 5% NFDM/TBST.

Exposure time : 3 minutes.

All lanes:

Western blot - Anti-GATA4 antibody [EPR23691-12] (ab256782) at 1/1000 dilution

All lanes:

Human liver cancer tissue lysate at 20 µg

Secondary

All lanes:

Western blot - VeriBlot for IP Detection Reagent (HRP) (<a href='/en-us/products/reagents/veriblot-for-ip-detection-reagent-hrp-ab131366'>ab131366</a>) at 1/1000 dilution

Predicted band size: 44 kDa

false

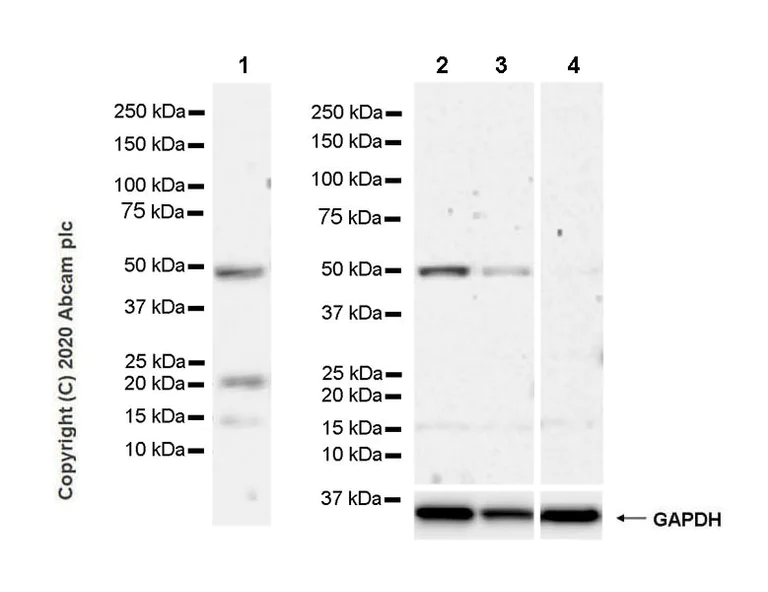
Western blot - Anti-GATA4 antibody [EPR23691-12] (AB256782)
  • WB

Lab

Western blot - Anti-GATA4 antibody [EPR23691-12] (AB256782)

Blocking and diluting buffer and concentration : 5% NFDM/TBST. The lane 1 of blot was developed using a higher sensitivity ECL substrate. The molecular weight observed is consistent with what has been described in the literature (PMID : 28758902, 16940177, 18426912, 31903133). 20 kDa band in HepG2 whole cell lysate is consistent with what has been described in the literature (PMID : 25501827). **Negative control : ** HeLa (PMID : 24696446, 24352556, 31322241) Exposure time : Lane 1 : 101 seconds; Lane 2-4 : 3 minutes.

All lanes:

Western blot - Anti-GATA4 antibody [EPR23691-12] (ab256782) at 1/1000 dilution

Lane 1:

HepG2 (human hepatocellular carcinoma epithelial cell), whole cell lysate at 10 µg

Lane 2:

Huh7 (human hepatocellar carcinoma epithelial cell), whole cell lysate at 20 µg

Lane 3:

HEK-293T (human epithelial cell line from embryonic kidney transformed with large T antigen), whole cell lysate at 20 µg

Lane 4:

HeLa (human cervix adenocarcinoma epithelial cell), whole cell lysate at 20 µg

Secondary

All lanes:

Goat Anti-Rabbit IgG, (H+L), Peroxidase conjugated (<a href='/en-us/products/secondary-antibodies/goat-rabbit-igg-h-l-hrp-ab97051'>ab97051</a>) at 1/100000 dilution

Predicted band size: 44 kDa

false

  • Carrier free

    Anti-GATA4 antibody [EPR23691-12] - BSA and Azide free

Key facts

Host species

Rabbit

Clonality

Monoclonal

Clone number

EPR23691-12

Isotype

IgG

Carrier free

No

Reacts with

Human

Applications

IP, WB

applications

Immunogen

The exact immunogen used to generate this antibody is proprietary information.

Reactivity data

{ "title": "Reactivity Data", "filters": { "stats": ["", "Species", "Dilution Info", "Notes"], "tabs": { "all-applications": {"fullname" : "All Applications", "shortname": "All Applications"}, "ICCIF" : {"fullname" : "Immunocytochemistry/ Immunofluorescence", "shortname":"ICC/IF"}, "IP" : {"fullname" : "Immunoprecipitation", "shortname":"IP"}, "FlowCyt" : {"fullname" : "Flow Cytometry", "shortname":"Flow Cyt"}, "WB" : {"fullname" : "Western blot", "shortname":"WB"}, "IHCP" : {"fullname" : "Immunohistochemistry (Formalin/PFA-fixed paraffin-embedded sections)", "shortname":"IHC-P"} }, "product-promise": { "all": "all", "testedAndGuaranteed": "tested", "guaranteed": "expected", "predicted": "predicted", "notRecommended": "not-recommended" } }, "values": { "Human": { "ICCIF-species-checked": "notRecommended", "ICCIF-species-dilution-info": "", "ICCIF-species-notes": "<p></p>", "IP-species-checked": "testedAndGuaranteed", "IP-species-dilution-info": "1/30", "IP-species-notes": "<p></p>", "FlowCyt-species-checked": "notRecommended", "FlowCyt-species-dilution-info": "", "FlowCyt-species-notes": "<p></p>", "WB-species-checked": "testedAndGuaranteed", "WB-species-dilution-info": "1/1000", "WB-species-notes": "<p></p>", "IHCP-species-checked": "notRecommended", "IHCP-species-dilution-info": "", "IHCP-species-notes": "<p></p>" }, "Mouse": { "ICCIF-species-checked": "notRecommended", "ICCIF-species-dilution-info": "", "ICCIF-species-notes": "", "IP-species-checked": "notRecommended", "IP-species-dilution-info": "", "IP-species-notes": "", "FlowCyt-species-checked": "notRecommended", "FlowCyt-species-dilution-info": "", "FlowCyt-species-notes": "", "WB-species-checked": "notRecommended", "WB-species-dilution-info": "1/1000", "WB-species-notes": "<p></p>", "IHCP-species-checked": "notRecommended", "IHCP-species-dilution-info": "", "IHCP-species-notes": "<p></p>" }, "Rat": { "ICCIF-species-checked": "notRecommended", "ICCIF-species-dilution-info": "", "ICCIF-species-notes": "", "IP-species-checked": "notRecommended", "IP-species-dilution-info": "", "IP-species-notes": "", "FlowCyt-species-checked": "notRecommended", "FlowCyt-species-dilution-info": "", "FlowCyt-species-notes": "", "WB-species-checked": "notRecommended", "WB-species-dilution-info": "1/1000", "WB-species-notes": "<p></p>", "IHCP-species-checked": "notRecommended", "IHCP-species-dilution-info": "", "IHCP-species-notes": "<p></p>" } } }

Product details

Patented technology
Our RabMAb® technology is a patented hybridoma-based technology for making rabbit monoclonal antibodies. For details on our patents, please refer to RabMAb® patents.

What are the advantages of a recombinant monoclonal antibody?
This product is a recombinant monoclonal antibody, which offers several advantages including:

  • - High batch-to-batch consistency and reproducibility
  • - Improved sensitivity and specificity
  • - Long-term security of supply
  • - Animal-free batch production

For more information, read more on recombinant antibodies.

Properties and storage information

Form
Liquid
Purification technique
Affinity purification Protein A
Storage buffer
Preservative: 0.01% Sodium azide Constituents: PBS, 40% Glycerol (glycerin, glycerine), 0.05% BSA
Shipped at conditions
Blue Ice
Appropriate short-term storage duration
1-2 weeks
Appropriate short-term storage conditions
+4°C
Appropriate long-term storage conditions
-20°C
Aliquoting information
Upon delivery aliquot
Storage information
Avoid freeze / thaw cycle

Supplementary information

This supplementary information is collated from multiple sources and compiled automatically.

GATA4 also known as GATA-binding protein 4 is a transcription factor that plays a significant role in gene expression regulation. It weighs approximately 44 kDa. This protein expresses mainly in cells of the heart gonads and liver. GATA4 functions through binding to the GATA sequence on DNA regulating various genes. The protein is well known for its involvement in cardiac development and function.
Biological function summary

GATA4 interacts with other transcription factors and co-factors to regulate developmental processes. It often forms complexes with proteins such as NKX2-5 and TBX5 influencing the expression of cardiac-specific genes. These interactions lead to tissue-specific gene expression control important in the differentiation and functioning of heart cells. GATA4 is also involved in the regulation of genes responsible for cell growth and apoptosis contributing to tissue homeostasis.

Pathways

GATA4 is a notable component of cardiac development and cellular differentiation pathways. It plays an integral role in the Wnt signaling pathway influencing heart development through gene transcription modification. GATA4 also collaborates with proteins such as MEF2 and BMP2 coordinating cardiac muscle differentiation. These pathways highlight its pivotal role in proper cardiovascular formation and function.

GATA4 mutations and dysregulation have links to congenital heart defects such as atrial septal defect (ASD). This condition associates with altered gene expression during heart development leading to structural abnormalities. GATA4 also relates to conditions like hypertrophic cardiomyopathy where its interaction with proteins like MYH7 suggests a complex network influencing cardiac hypertrophy. Understanding these connections is essential for developing targeted therapeutic strategies.

Product protocols

For this product, it's our understanding that no specific protocols are required. You can visit:

Target data

Transcriptional activator that binds to the consensus sequence 5'-AGATAG-3' and plays a key role in cardiac development and function (PubMed : 24000169, PubMed : 27984724, PubMed : 35182466). In cooperation with TBX5, it binds to cardiac super-enhancers and promotes cardiomyocyte gene expression, while it down-regulates endocardial and endothelial gene expression (PubMed : 27984724). Involved in bone morphogenetic protein (BMP)-mediated induction of cardiac-specific gene expression. Binds to BMP response element (BMPRE) DNA sequences within cardiac activating regions (By similarity). Acts as a transcriptional activator of ANF in cooperation with NKX2-5 (By similarity). Promotes cardiac myocyte enlargement (PubMed : 20081228). Required during testicular development (PubMed : 21220346). May play a role in sphingolipid signaling by regulating the expression of sphingosine-1-phosphate degrading enzyme, sphingosine-1-phosphate lyase (PubMed : 15734735).
See full target information GATA4

Publications (6)

Recent publications for all applications. Explore the full list and refine your search

Frontiers in cell and developmental biology 12:1469541 PubMed39479514

2024

Myocardial infarction in rats was alleviated by MSCs derived from the maternal segment of the human umbilical cord.

Applications

Unspecified application

Species

Unspecified reactive species

Shuifen Sun,Linping Wang,Qisheng Tang,Jialian Yi,Xin Yu,Yu Cao,Lihong Jiang,Jie Liu

Cell death discovery 9:150 PubMed37156809

2023

GATA4-activated lncRNA MALAT1 promotes osteogenic differentiation through inhibiting NEDD4-mediated RUNX1 degradation.

Applications

Unspecified application

Species

Unspecified reactive species

Xianzhe Huang,Shuo Jie,Wenzhao Li,Chan Liu

Genes & nutrition 17:11 PubMed35858845

2022

MicroRNA-205-5p plays a suppressive role in the high-fat diet-induced atrial fibrosis through regulation of the EHMT2/IGFBP3 axis.

Applications

Unspecified application

Species

Unspecified reactive species

Zezhou Xiao,Yu Xie,Fangze Huang,Jie Yang,Ximao Liu,Xuefeng Lin,Peng Zhu,Shaoyi Zheng

Aging 13:25256-25270 PubMed34864645

2021

MicroRNA therapy confers anti-senescent effects on doxorubicin-related cardiotoxicity by intracellular and paracrine signaling.

Applications

Unspecified application

Species

Unspecified reactive species

Wenzheng Xia,Bowen Chang,Liqun Li,Tingting Hu,Jiaqi Ye,Hanbin Chen,Wenfeng Li,Tao Zan,Meng Hou

Molecular medicine reports 25: PubMed34841440

2021

Positive feedback loop of lncRNA SNHG1/miR‑16‑5p/GATA4 in the regulation of hypoxia/reoxygenation‑induced cardiomyocyte injury.

Applications

Unspecified application

Species

Unspecified reactive species

Juan Gong,Luqun Dou,Yang Zhou

Aging cell 20:e13454 PubMed34510683

2021

microRNA-425 loss mediates amyloid plaque microenvironment heterogeneity and promotes neurodegenerative pathologies.

Applications

Unspecified application

Species

Unspecified reactive species

Yong-Bo Hu,Yong-Fang Zhang,Ru-Jing Ren,Eric B Dammer,Xin-Yi Xie,Shi-Wu Chen,Qiang Huang,Wan-Ying Huang,Rui Zhang,Hong-Zhuan Chen,Hao Wang,Gang Wang
View all publications

Product promise

We are committed to supporting your work with high-quality reagents, and we're here for you every step of the way. In the unlikely event that one of our products does not perform as expected, you're protected by our Product Promise.
For full details, please see our Terms & Conditions

Please note: All products are 'FOR RESEARCH USE ONLY. NOT FOR USE IN DIAGNOSTIC OR THERAPEUTIC PROCEDURES'.

For licensing inquiries, please contact partnerships@abcam.com