JavaScript is disabled in your browser. Please enable JavaScript to view this website.
AB307823

Anti-GATA4 antibody [EPR26718-103]

  • BOND RX™ Validated
  • 20ul selling size
  • RabMAb
  • Recombinant
  • What is this?

Be the first to review this product! Submit a review

|

(3 Publications)

Anti-GATA4 antibody [EPR26718-103] (ab307823) is a rabbit monoclonal antibody detecting GATA4 in Western Blot, Flow Cytometry (Intra), IP, IHC-P, ICC/IF. Suitable for Human, Mouse, Rat.

- Biophysical QC for unrivalled batch-batch consistency

View Alternative Names

Gata-4, Gata4, Transcription factor GATA-4, GATA-binding factor 4

11 Images
Immunocytochemistry/ Immunofluorescence - Anti-GATA4 antibody [EPR26718-103] (AB307823)
  • ICC/IF

Supplier Data

Immunocytochemistry/ Immunofluorescence - Anti-GATA4 antibody [EPR26718-103] (AB307823)

Immunofluorescent analysis of 4% Paraformaldehyde-fixed, 0.1% TritonX-100 permeabilized Huh7 (human hepatocellular carcinoma epithelial cell) cells labelling GATA4 with ab307823 at 1/50 (9.82 ug/ml) dilution, followed by ab150081 Goat Anti-Rabbit IgG H&L (Alexa Fluor® 488) preadsorbed antibody at 1/1000 2 ug/ml dilution (Green). Confocal image showing nuclear staining in Huh7 cell line.Negative control : HeLa (PMID : 24696446).Image was taken with a confocal microscope(Leica-Microsystems, TCS SP8). is observed. ab195889 Anti-alpha Tubulin mouse monoclonal antibody - Microtubule Marker (Alexa Fluor® 594) was used to counterstain tubulin at 1/200 2.5ug/ml dilution (Red). The Nuclear counterstain was DAPI (Blue). Secondary antibody only control : Secondary antibody is ab150081 Goat Anti-Rabbit IgG H&L (Alexa Fluor® 488) preadsorbed at 1/1000 2 ug/ml dilution.

Immunohistochemistry (Formalin/PFA-fixed paraffin-embedded sections) - Anti-GATA4 antibody [EPR26718-103] (AB307823)
  • IHC-P

Supplier Data

Immunohistochemistry (Formalin/PFA-fixed paraffin-embedded sections) - Anti-GATA4 antibody [EPR26718-103] (AB307823)

Immunohistochemical analysis of paraffin-embedded Human testis tissue labeling GATA4 with ab307823 at 1/500 (0.982 ug/ml) followed by a LeicaDS9800 (Bond™ Polymer Refine Detection) at Ready to use dilution. Positive staining on human testis. The section was incubated with ab307823 for 30 mins at room temperature. The immunostaining was performed on a Leica Biosystems BOND® RX instrument. Counterstained with Hematoxylin. Secondary antibody only control : Secondary antibody is LeicaDS9800 (Bond™ Polymer Refine Detection) at Ready to use dilution. Heat mediated antigen retrieval was performed with Tris-EDTA buffer (pH 9.0, Epitope Retrieval Solution2) for 20 mins

Flow Cytometry (Intracellular) - Anti-GATA4 antibody [EPR26718-103] (AB307823)
  • Flow Cyt (Intra)

Supplier Data

Flow Cytometry (Intracellular) - Anti-GATA4 antibody [EPR26718-103] (AB307823)

Flow cytometric analysis of 4% paraformaldehyde fixed 90% methanol permeabilized HeLa (human cervical adenocarcinoma epithelial cell, Left) / Huh7(human hepatocellular carcinoma epithelial cell, Right) cells labelling GATA4 with ab307823 at 1/500 dilution (0.1ug) (Red) (Red) compared with a Rabbit monoclonal IgG (ab172730) (Black) isotype control and an unlabeled control (cells without incubation with primary antibody and secondary antibody) (Blue). A Goat Anti-Rabbit IgG (Alexa Fluor® 488, ab150081) at 1/5000 dilution was used as the secondary antibody.

Immunohistochemistry (Formalin/PFA-fixed paraffin-embedded sections) - Anti-GATA4 antibody [EPR26718-103] (AB307823)
  • IHC-P

Supplier Data

Immunohistochemistry (Formalin/PFA-fixed paraffin-embedded sections) - Anti-GATA4 antibody [EPR26718-103] (AB307823)

Immunohistochemical analysis of paraffin-embedded Human skeletal muscle tissue labeling GATA4 with ab307823 at 1/500 (0.982 ug/ml) followed by a LeicaDS9800 (Bond™ Polymer Refine Detection) at Ready to use dilution. Negative control : No staining on human skeletal muscle. The section was incubated with ab307823 for 30 mins at room temperature. The immunostaining was performed on a Leica Biosystems BOND® RX instrument. Counterstained with Hematoxylin. Secondary antibody only control : Secondary antibody is LeicaDS9800 (Bond™ Polymer Refine Detection) at Ready to use dilution. Heat mediated antigen retrieval was performed with Tris-EDTA buffer (pH 9.0, Epitope Retrieval Solution2) for 20 mins

Immunohistochemistry (Formalin/PFA-fixed paraffin-embedded sections) - Anti-GATA4 antibody [EPR26718-103] (AB307823)
  • IHC-P

Supplier Data

Immunohistochemistry (Formalin/PFA-fixed paraffin-embedded sections) - Anti-GATA4 antibody [EPR26718-103] (AB307823)

Immunohistochemical analysis of paraffin-embedded Rat skeletal muscle tissue labeling GATA4 with ab307823 at 1/4000 (0.123 ug/ml) followed by a LeicaDS9800 (Bond™ Polymer Refine Detection) at Ready to use dilution. Negative control : No staining on rat skeletal muscle. The section was incubated with ab307823 for 30 mins at room temperature. The immunostaining was performed on a Leica Biosystems BOND® RX instrument. Counterstained with Hematoxylin. Secondary antibody only control : Secondary antibody is LeicaDS9800 (Bond™ Polymer Refine Detection) at Ready to use dilution. Heat mediated antigen retrieval was performed with Tris-EDTA buffer (pH 9.0, Epitope Retrieval Solution2) for 20 mins

Immunohistochemistry (Formalin/PFA-fixed paraffin-embedded sections) - Anti-GATA4 antibody [EPR26718-103] (AB307823)
  • IHC-P

Supplier Data

Immunohistochemistry (Formalin/PFA-fixed paraffin-embedded sections) - Anti-GATA4 antibody [EPR26718-103] (AB307823)

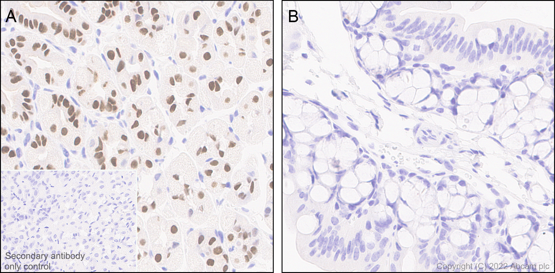
Immunohistochemical analysis of paraffin-embedded (A) Mouse stomach (tissue labeling GATA4 with ab307823 at 1/4000 (0.123 ug/ml) followed by a LeicaDS9800 (Bond™ Polymer Refine Detection) at Ready to use dilution. Positive staining on (A) mouse stomach (PMID : 34111600). No staining on (B) mouse colon (PMID : 18405344). The section was incubated with ab307823 for 30 mins at room temperature. The immunostaining was performed on a Leica Biosystems BOND® RX instrument. Counterstained with Hematoxylin. Secondary antibody only control : Secondary antibody is LeicaDS9800 (Bond™ Polymer Refine Detection) at Ready to use dilution. Heat mediated antigen retrieval was performed with Tris-EDTA buffer (pH 9.0, Epitope Retrieval Solution2) for 20 mins

Immunohistochemistry (Formalin/PFA-fixed paraffin-embedded sections) - Anti-GATA4 antibody [EPR26718-103] (AB307823)
  • IHC-P

Supplier Data

Immunohistochemistry (Formalin/PFA-fixed paraffin-embedded sections) - Anti-GATA4 antibody [EPR26718-103] (AB307823)

Immunohistochemical analysis of paraffin-embedded Rat testis tissue labeling GATA4 with ab307823 at 1/4000 (0.123 ug/ml) followed by a LeicaDS9800 (Bond™ Polymer Refine Detection) at Ready to use dilution. Positive staining on rat testis. The section was incubated with ab307823 for 30 mins at room temperature. The immunostaining was performed on a Leica Biosystems BOND® RX instrument. Counterstained with Hematoxylin. Secondary antibody only control : Secondary antibody is LeicaDS9800 (Bond™ Polymer Refine Detection) at Ready to use dilution. Heat mediated antigen retrieval was performed with Tris-EDTA buffer (pH 9.0, Epitope Retrieval Solution2) for 20 mins

Immunohistochemistry (Formalin/PFA-fixed paraffin-embedded sections) - Anti-GATA4 antibody [EPR26718-103] (AB307823)
  • IHC-P

Supplier Data

Immunohistochemistry (Formalin/PFA-fixed paraffin-embedded sections) - Anti-GATA4 antibody [EPR26718-103] (AB307823)

Immunohistochemical analysis of paraffin-embedded Mouse testis tissue labeling GATA4 with ab307823 at 1/4000 (0.123 ug/ml) followed by a LeicaDS9800 (Bond™ Polymer Refine Detection) at Ready to use dilution. Positive staining on mouse testis (PMID : 30793514). The section was incubated with ab307823 for 30 mins at room temperature. The immunostaining was performed on a Leica Biosystems BOND® RX instrument. Counterstained with Hematoxylin. Secondary antibody only control : Secondary antibody is LeicaDS9800 (Bond™ Polymer Refine Detection) at Ready to use dilution. Heat mediated antigen retrieval was performed with Tris-EDTA buffer (pH 9.0, Epitope Retrieval Solution2) for 20 mins

Immunohistochemistry (Formalin/PFA-fixed paraffin-embedded sections) - Anti-GATA4 antibody [EPR26718-103] (AB307823)
  • IHC-P

Supplier Data

Immunohistochemistry (Formalin/PFA-fixed paraffin-embedded sections) - Anti-GATA4 antibody [EPR26718-103] (AB307823)

Immunohistochemical analysis of paraffin-embedded Mouse skeletal muscle tissue labeling GATA4 with ab307823 at 1/4000 (0.123 ug/ml) followed by a LeicaDS9800 (Bond™ Polymer Refine Detection) at Ready to use dilution. Negative control : No staining on mouse skeletal muscle. The section was incubated with ab307823 for 30 mins at room temperature. The immunostaining was performed on a Leica Biosystems BOND® RX instrument. Counterstained with Hematoxylin. Secondary antibody only control : Secondary antibody is LeicaDS9800 (Bond™ Polymer Refine Detection) at Ready to use dilution. Heat mediated antigen retrieval was performed with Tris-EDTA buffer (pH 9.0, Epitope Retrieval Solution2) for 20 mins

Immunoprecipitation - Anti-GATA4 antibody [EPR26718-103] (AB307823)
  • IP

Supplier Data

Immunoprecipitation - Anti-GATA4 antibody [EPR26718-103] (AB307823)

GATA4 was immunoprecipitated from 0.35 mg Mouse P7 testis tissue lysate 10 ug with ab307823 at 1/30 dilution (2ug in 0.35mg lysates). Western blot was performed on the immunoprecipitate using ab307823 at 1/1000 dilution. VeriBlot for IP secondary antibody (HRP) (ab131366) was used at 1/5000 dilution.

Lane 1 : Mouse P7 testis tissue lysate 10 ug
Lane 2 : ab307823 IP in Mouse P7 testis tissue lysate
Lane 3 : Rabbit monoclonal IgG (ab172730) instead of ab307823 in mouse P7 testis tissue lysate

Blocking and dilution buffer and concentration : 5% NFDM/TBST.

Exposure time : 81 seconds

All lanes:

Immunoprecipitation - Anti-GATA4 antibody [EPR26718-103] (ab307823) at 1/1000 dilution

All lanes:

Mouse P7 testis cell

Secondary

All lanes:

Immunoprecipitation - VeriBlot for IP Detection Reagent (HRP) (<a href='/en-us/products/reagents/veriblot-for-ip-detection-reagent-hrp-ab131366'>ab131366</a>) at 1/5000 dilution

Observed band size: 56 kDa

false

Exposure time: 81s

Western blot - Anti-GATA4 antibody [EPR26718-103] (AB307823)
  • WB

Supplier Data

Western blot - Anti-GATA4 antibody [EPR26718-103] (AB307823)

Blocking and diluting buffer and concentration : 5% NFDM/TBST Exposure : Lanes 1-3 : 180 seconds; Lane 4 : 10 seconds; Lanes 5-6 : 180 seconds.

All lanes:

Western blot - Anti-GATA4 antibody [EPR26718-103] (ab307823) at 1/1000 dilution

Lane 1:

Mouse testis tissue lysate at 20 µg

Lane 2:

Mouse P7 ovary tissue lysate at 20 µg

Lane 3:

Mouse skeletal muscle tissue lysate at 20 µg

Lane 4:

Rat P7 testis tissue lysate at 20 µg

Lane 5:

Rat P7 ovary tissue lysate at 20 µg

Lane 6:

Rat skeletal muscle tissue lysate at 20 µg

Observed band size: 56 kDa

false

  • Carrier free

    Anti-GATA4 antibody [EPR26718-103] - BSA and Azide free

  • 665 Alexa Fluor® 647

    Alexa Fluor® 647 Anti-GATA4 antibody [EPR26718-103]

  • 519 Alexa Fluor® 488

    Alexa Fluor® 488 Anti-GATA4 antibody [EPR26718-103]

  • 565 Alexa Fluor® 555

    Alexa Fluor® 555 Anti-GATA4 antibody [EPR26718-103]

  • 578 PE

    PE Anti-GATA4 antibody [EPR26718-103]

  • 660 APC

    APC Anti-GATA4 antibody [EPR26718-103]

  • 617 Alexa Fluor® 594

    Alexa Fluor® 594 Anti-GATA4 antibody [EPR26718-103]

  • 775 Alexa Fluor® 750

    Alexa Fluor® 750 Anti-GATA4 antibody [EPR26718-103]

Key facts

Host species

Rabbit

Clonality

Monoclonal

Clone number

EPR26718-103

Isotype

IgG

Carrier free

No

Reacts with

Human, Mouse, Rat

Applications

IP, Flow Cyt (Intra), ICC/IF, WB, IHC-P

applications

Immunogen

The exact immunogen used to generate this antibody is proprietary information.

Reactivity data

{ "title": "Reactivity Data", "filters": { "stats": ["", "Species", "Dilution Info", "Notes"], "tabs": { "all-applications": {"fullname" : "All Applications", "shortname": "All Applications"}, "IHCP" : {"fullname" : "Immunohistochemistry (Formalin/PFA-fixed paraffin-embedded sections)", "shortname":"IHC-P"}, "ICCIF" : {"fullname" : "Immunocytochemistry/ Immunofluorescence", "shortname":"ICC/IF"}, "FlowCytIntra" : {"fullname" : "Flow Cytometry (Intracellular)", "shortname":"Flow Cyt (Intra)"}, "WB" : {"fullname" : "Western blot", "shortname":"WB"}, "IP" : {"fullname" : "Immunoprecipitation", "shortname":"IP"}, "IHCFr" : {"fullname" : "Immunohistochemistry (Frozen sections)", "shortname":"IHC-Fr"} }, "product-promise": { "all": "all", "testedAndGuaranteed": "tested", "guaranteed": "expected", "predicted": "predicted", "notRecommended": "not-recommended" } }, "values": { "Human": { "IHCP-species-checked": "testedAndGuaranteed", "IHCP-species-dilution-info": "1/500", "IHCP-species-notes": "<p></p> Perform heat-mediated antigen retrieval with Tris/EDTA buffer pH 9.0 before commencing with IHC staining protocol.", "ICCIF-species-checked": "testedAndGuaranteed", "ICCIF-species-dilution-info": "1/50", "ICCIF-species-notes": "<p></p>", "FlowCytIntra-species-checked": "testedAndGuaranteed", "FlowCytIntra-species-dilution-info": "1/500", "FlowCytIntra-species-notes": "<p></p>", "WB-species-checked": "notRecommended", "WB-species-dilution-info": "1/1000", "WB-species-notes": "<p></p>", "IP-species-checked": "guaranteed", "IP-species-dilution-info": "", "IP-species-notes": "", "IHCFr-species-checked": "notRecommended", "IHCFr-species-dilution-info": "", "IHCFr-species-notes": "" }, "Mouse": { "IHCP-species-checked": "testedAndGuaranteed", "IHCP-species-dilution-info": "1/500", "IHCP-species-notes": "<p></p> Perform heat-mediated antigen retrieval with Tris/EDTA buffer pH 9.0 before commencing with IHC staining protocol.", "ICCIF-species-checked": "guaranteed", "ICCIF-species-dilution-info": "", "ICCIF-species-notes": "", "FlowCytIntra-species-checked": "guaranteed", "FlowCytIntra-species-dilution-info": "", "FlowCytIntra-species-notes": "", "WB-species-checked": "testedAndGuaranteed", "WB-species-dilution-info": "1/1000", "WB-species-notes": "<p></p>", "IP-species-checked": "testedAndGuaranteed", "IP-species-dilution-info": "1/30", "IP-species-notes": "<p></p>", "IHCFr-species-checked": "notRecommended", "IHCFr-species-dilution-info": "", "IHCFr-species-notes": "<p></p>" }, "Rat": { "IHCP-species-checked": "testedAndGuaranteed", "IHCP-species-dilution-info": "1/500", "IHCP-species-notes": "<p></p> Perform heat-mediated antigen retrieval with Tris/EDTA buffer pH 9.0 before commencing with IHC staining protocol.", "ICCIF-species-checked": "guaranteed", "ICCIF-species-dilution-info": "", "ICCIF-species-notes": "", "FlowCytIntra-species-checked": "guaranteed", "FlowCytIntra-species-dilution-info": "", "FlowCytIntra-species-notes": "", "WB-species-checked": "testedAndGuaranteed", "WB-species-dilution-info": "1/1000", "WB-species-notes": "<p></p>", "IP-species-checked": "guaranteed", "IP-species-dilution-info": "", "IP-species-notes": "", "IHCFr-species-checked": "notRecommended", "IHCFr-species-dilution-info": "", "IHCFr-species-notes": "" } } }

Product details

What is this antibody validated in?
Anti-GATA4 antibody [EPR26718-103] (ab307823) is a rabbit recombinant monoclonal antibody and is validated for use in Western Blot (WB), Flow Cytometry (Intra), Flow Cytometry (Flow Cyt), Immunoprecipitation (IP), Immunohistochemistry (IHC-P), Immunocytochemistry/immunofluorescence (ICC/IF) in Human, Mouse, Rat samples.

Trial sizes available!
Test your antibody or perform pre-screening before committing to a larger quantity. Sold in 10µl. Discover our selection of trial-size antibodies.

Other related products
We have a range of other formats of antibody clone [EPR26718-103] also available for your convenience: ab307823, Carrier free - ab307824, PE - ab318394, APC - ab318497, Alexa Fluor® 488 - ab318600, Alexa Fluor® 647 - ab318703, Alexa Fluor® 594 - ab318806, Alexa Fluor® 555 - ab318906, Alexa Fluor® 750 - ab321553

Patented technology
Our RabMAb® technology is a patented hybridoma-based technology for making rabbit monoclonal antibodies. For details on our patents, please refer to RabMAb® patents.

What are the advantages of a recombinant monoclonal antibody?
This product is a recombinant monoclonal antibody, which offers several advantages including:

  • - High batch-to-batch consistency and reproducibility
  • - Improved sensitivity and specificity
  • - Long-term security of supply
  • - Animal-free batch production

For more information, read more on recombinant antibodies.

Properties and storage information

Form
Liquid
Purification technique
Affinity purification Protein A
Storage buffer
pH: 7.2 - 7.4 Preservative: 0.01% Sodium azide Constituents: PBS, 40% Glycerol (glycerin, glycerine), 0.05% BSA
Shipped at conditions
Blue Ice
Appropriate short-term storage duration
1-2 weeks
Appropriate short-term storage conditions
+4°C
Appropriate long-term storage conditions
-20°C
Aliquoting information
Upon delivery aliquot
Storage information
Avoid freeze / thaw cycle

Supplementary information

This supplementary information is collated from multiple sources and compiled automatically.

GATA4 also known as GATA-binding protein 4 is a transcription factor that plays a significant role in gene expression regulation. It weighs approximately 44 kDa. This protein expresses mainly in cells of the heart gonads and liver. GATA4 functions through binding to the GATA sequence on DNA regulating various genes. The protein is well known for its involvement in cardiac development and function.
Biological function summary

GATA4 interacts with other transcription factors and co-factors to regulate developmental processes. It often forms complexes with proteins such as NKX2-5 and TBX5 influencing the expression of cardiac-specific genes. These interactions lead to tissue-specific gene expression control important in the differentiation and functioning of heart cells. GATA4 is also involved in the regulation of genes responsible for cell growth and apoptosis contributing to tissue homeostasis.

Pathways

GATA4 is a notable component of cardiac development and cellular differentiation pathways. It plays an integral role in the Wnt signaling pathway influencing heart development through gene transcription modification. GATA4 also collaborates with proteins such as MEF2 and BMP2 coordinating cardiac muscle differentiation. These pathways highlight its pivotal role in proper cardiovascular formation and function.

GATA4 mutations and dysregulation have links to congenital heart defects such as atrial septal defect (ASD). This condition associates with altered gene expression during heart development leading to structural abnormalities. GATA4 also relates to conditions like hypertrophic cardiomyopathy where its interaction with proteins like MYH7 suggests a complex network influencing cardiac hypertrophy. Understanding these connections is essential for developing targeted therapeutic strategies.

Product protocols

For this product, it's our understanding that no specific protocols are required. You can visit:

Target data

Transcriptional activator that binds to the consensus sequence 5'-AGATAG-3' and plays a key role in cardiac development (PubMed : 33941892, PubMed : 35182466). In cooperation with TBX5, it binds to cardiac super-enhancers and promotes cardiomyocyte gene expression, while it down-regulates endocardial and endothelial gene expression (By similarity). Involved in bone morphogenetic protein (BMP)-mediated induction of cardiac-specific gene expression (By similarity). Binds to BMP response element (BMPRE) DNA sequences within cardiac activating regions (By similarity). Acts as a transcriptional activator of ANF in cooperation with NKX2-5 (PubMed : 9584153). Promotes cardiac myocyte enlargement (By similarity). Required during testicular development (By similarity). May play a role in sphingolipid signaling by regulating the expression of sphingosine-1-phosphate degrading enzyme, sphingosine-1-phosphate lyase (By similarity).
See full target information Gata4

Publications (3)

Recent publications for all applications. Explore the full list and refine your search

Nucleic acids research 53: PubMed39876710

2025

c-JUN: a chromatin repressor that limits mesoderm differentiation in human pluripotent stem cells.

Applications

Unspecified application

Species

Unspecified reactive species

Ran Zhang,Guihuan Li,Qi Zhang,Zhenhua Wang,Dan Xiang,Xiaofei Zhang,Jiekai Chen,Andrew P Hutchins,Dajiang Qin,Huanxing Su,Duanqing Pei,Dongwei Li

Cell 188:998-1018.e26 PubMed39826545

2025

Fine-tuning of gene expression through the Mettl3-Mettl14-Dnmt1 axis controls ESC differentiation.

Applications

Unspecified application

Species

Unspecified reactive species

Giuseppe Quarto,Andrea Li Greci,Martin Bizet,Audrey Penning,Irina Primac,Frédéric Murisier,Liliana Garcia-Martinez,Rodrigo L Borges,Qingzeng Gao,Pradeep K R Cingaram,Emilie Calonne,Bouchra Hassabi,Céline Hubert,Adèle Herpoel,Pascale Putmans,Frédérique Mies,Jérôme Martin,Louis Van der Linden,Gaurav Dube,Pankaj Kumar,Romuald Soin,Abhay Kumar,Anurag Misra,Jie Lan,Morgane Paque,Yogesh K Gupta,Arnaud Blomme,Pierre Close,Pierre-Olivier Estève,Elizabeth A Caine,Kristin M Riching,Cyril Gueydan,Danette L Daniels,Sriharsa Pradhan,Ramin Shiekhattar,Yael David,Lluis Morey,Jana Jeschke,Rachel Deplus,Evelyne Collignon,François Fuks

Acta pharmacologica Sinica 45:738-750 PubMed38097716

2023

Zonisamide attenuates pressure overload-induced myocardial hypertrophy in mice through proteasome inhibition.

Applications

Unspecified application

Species

Unspecified reactive species

Qian Wu,Wan-Jie Liu,Xin-Yu Ma,Ji-Shuo Chang,Xiao-Ya Zhao,Ying-Hua Liu,Xi-Yong Yu
View all publications

Product promise

We are committed to supporting your work with high-quality reagents, and we're here for you every step of the way. In the unlikely event that one of our products does not perform as expected, you're protected by our Product Promise.
For full details, please see our Terms & Conditions

Please note: All products are 'FOR RESEARCH USE ONLY. NOT FOR USE IN DIAGNOSTIC OR THERAPEUTIC PROCEDURES'.

For licensing inquiries, please contact partnerships@abcam.com