JavaScript is disabled in your browser. Please enable JavaScript to view this website.
AB175349

Anti-Gata6 antibody

Be the first to review this product! Submit a review

|

(11 Publications)

Rabbit Polyclonal GATA6 antibody. Suitable for IHC-P, WB, ICC/IF and reacts with Human, Mouse samples. Cited in 11 publications. Immunogen corresponding to Synthetic Peptide within Human GATA6 aa 550 to C-terminus.

View Alternative Names

Transcription factor GATA-6, GATA-binding factor 6, GATA6

3 Images
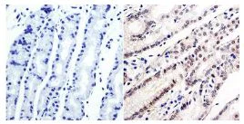
Immunohistochemistry (Formalin/PFA-fixed paraffin-embedded sections) - Anti-Gata6 antibody (AB175349)
  • IHC-P

Supplier Data

Immunohistochemistry (Formalin/PFA-fixed paraffin-embedded sections) - Anti-Gata6 antibody (AB175349)

Immunohistochemical analysis of Human stomach tissue labeling Gata6 with ab175349 at 1/100 dilution. To expose target protein, antigen was retreived using 10mM sodium citrate followed by microwave treatment for 8-15 minutes. Endogenous peroxidases were blocked in 3% H202-methanol for 15 minutes and tissues were blocked in 3% BSA-PBS for 30 minutes at room temperature. Following labeling, tissues were washed in PBST and detection was performed using a secondary antibody conjugated to HRP. DAB staining buffer was applied and tissues were counterstained with hematoxylin and prepped for mounting.

Immunocytochemistry/ Immunofluorescence - Anti-Gata6 antibody (AB175349)
  • ICC/IF

Supplier Data

Immunocytochemistry/ Immunofluorescence - Anti-Gata6 antibody (AB175349)

Immunofluorescent analysis of HeLa cells labeling Gata6 with ab175349 at 1/200 dilution (green). Formalin fixed cells were permeabilized with 0.1% Triton X-100 in TBS for 10 minutes at room temperature. Cells were then blocked with 5% normal goat serum for 15 minutes at room temperature. Following detection with the primary antibody, the cells were then washed with PBS and incubated with DyLight 488 goat-anti-rabbit secondary antibody at a dilution of 1/200 for 30 minutes at room temperature. Nuclei (blue) were stained with Hoechst 33342 dye.

Western blot - Anti-Gata6 antibody (AB175349)
  • WB

Supplier Data

Western blot - Anti-Gata6 antibody (AB175349)

All lanes:

Western blot - Anti-Gata6 antibody (ab175349) at 1/1000 dilution

Lane 1:

293T cell lysate at 25 µg

Lane 2:

MCF7 cell lysate at 25 µg

Lane 3:

K562 cell lysate at 25 µg

Lane 4:

3T3L1 cell lysate at 25 µg

Secondary

All lanes:

Goat anti-rabbit-HRP at 1/15000 dilution

Predicted band size: 60 kDa

true

Key facts

Host species

Rabbit

Clonality

Polyclonal

Isotype

IgG

Carrier free

No

Reacts with

Mouse, Human

Applications

ICC/IF, IHC-P, WB

applications

Immunogen

Synthetic Peptide within Human GATA6 aa 550 to C-terminus. The exact immunogen used to generate this antibody is proprietary information.

Q92908

Reactivity data

{ "title": "Reactivity Data", "filters": { "stats": ["", "Species", "Dilution Info", "Notes"], "tabs": { "all-applications": {"fullname" : "All Applications", "shortname": "All Applications"}, "IHCP" : {"fullname" : "Immunohistochemistry (Formalin/PFA-fixed paraffin-embedded sections)", "shortname":"IHC-P"}, "WB" : {"fullname" : "Western blot", "shortname":"WB"}, "ICCIF" : {"fullname" : "Immunocytochemistry/ Immunofluorescence", "shortname":"ICC/IF"} }, "product-promise": { "all": "all", "testedAndGuaranteed": "tested", "guaranteed": "expected", "predicted": "predicted", "notRecommended": "not-recommended" } }, "values": { "Human": { "IHCP-species-checked": "testedAndGuaranteed", "IHCP-species-dilution-info": "1/50 - 1/100", "IHCP-species-notes": "<p></p> Perform heat-mediated antigen retrieval with citrate buffer pH 6 before commencing with IHC staining protocol.", "WB-species-checked": "testedAndGuaranteed", "WB-species-dilution-info": "1/1000", "WB-species-notes": "<p></p>", "ICCIF-species-checked": "testedAndGuaranteed", "ICCIF-species-dilution-info": "1/200", "ICCIF-species-notes": "<p></p>" }, "Mouse": { "IHCP-species-checked": "guaranteed", "IHCP-species-dilution-info": "", "IHCP-species-notes": "", "WB-species-checked": "testedAndGuaranteed", "WB-species-dilution-info": "1/1000", "WB-species-notes": "<p></p>", "ICCIF-species-checked": "guaranteed", "ICCIF-species-dilution-info": "", "ICCIF-species-notes": "" } } }

Properties and storage information

Form
Liquid
Purification technique
Affinity purification Immunogen
Storage buffer
Preservative: 0.05% Sodium azide Constituents: PBS, 30% Glycerol (glycerin, glycerine), 0.1% BSA
Shipped at conditions
Blue Ice
Appropriate short-term storage duration
1-2 weeks
Appropriate short-term storage conditions
+4°C
Appropriate long-term storage conditions
-20°C
Aliquoting information
Upon delivery aliquot
Storage information
Avoid freeze / thaw cycle

Supplementary information

This supplementary information is collated from multiple sources and compiled automatically.

GATA6 also known as GATA-binding protein 6 functions mechanically as a transcription factor in the GATA family. It has a molecular mass of approximately 60 kDa. GATA6 binds to the DNA sequence "GATA" present in the promoters of target genes regulating gene expression. This protein is expressed widely but is particularly noted in endodermal-derived tissues and plays a significant role in cellular differentiation and organogenesis during development.
Biological function summary

GATA6 plays an important role in endodermal lineage specification and development. It participates in complex networks regulating the differentiation and function of various organs such as the lungs heart and gut. This transcription factor interacts with other proteins in intricate transcriptional complexes to modulate the expression of genes involved in cell growth and development. GATA6 aids tissue-specific gene regulation facilitating organ development and function.

Pathways

GATA6 is integral to at least the TGF-beta signaling pathway and the Wnt signaling pathway. In these pathways GATA6 regulates the expression of genes that are essential for cell proliferation differentiation and apoptosis. It works closely with other key proteins like SMAD and β-catenin to drive downstream genetic programs that underpin cellular development and tissue homeostasis.

GATA6 mutations have been associated with congenital heart defects and pancreatic agenesis. Alterations in GATA6 function can disrupt its interaction with proteins such as NKX2-5 leading to developmental anomalies in the cardiovascular system. Similarly its dysregulation links to improper pancreatic development contributing to diabetes-related conditions. GATA6's dysfunction in these areas highlights its significance in developmental biology and disease pathology.

Product protocols

For this product, it's our understanding that no specific protocols are required. You can visit:

Target data

Transcriptional activator (PubMed : 19666519, PubMed : 22750565, PubMed : 22824924, PubMed : 27756709). Regulates SEMA3C and PLXNA2 (PubMed : 19666519). Involved in gene regulation specifically in the gastric epithelium (PubMed : 9315713). May regulate genes that protect epithelial cells from bacterial infection (PubMed : 16968778). Involved in bone morphogenetic protein (BMP)-mediated cardiac-specific gene expression (By similarity). Binds to BMP response element (BMPRE) DNA sequences within cardiac activating regions (By similarity). In human skin, controls several physiological processes contributing to homeostasis of the upper pilosebaceous unit. Triggers ductal and sebaceous differentiation as well as limits cell proliferation and lipid production to prevent hyperseborrhoea. Mediates the effects of retinoic acid on sebocyte proliferation, differentiation and lipid production. Also contributes to immune regulation of sebocytes and antimicrobial responses by modulating the expression of anti-inflammatory genes such as IL10 and pro-inflammatory genes such as IL6, TLR2, TLR4, and IFNG. Activates TGFB1 signaling which controls the interfollicular epidermis fate (PubMed : 33082341).
See full target information GATA6

Publications (11)

Recent publications for all applications. Explore the full list and refine your search

Nature communications 15:10534 PubMed39627211

2024

Differential activity of MAPK signalling defines fibroblast subtypes in pancreatic cancer.

Applications

Unspecified application

Species

Unspecified reactive species

Lisa Veghini,Davide Pasini,Rui Fang,Pietro Delfino,Dea Filippini,Christian Neander,Caterina Vicentini,Elena Fiorini,Francesca Lupo,Sabrina L D'Agosto,Carmine Carbone,Antonio Agostini,Geny Piro,Diego Rosa,Michele Bevere,Peter Markus,Diana Behrens,Claudio Luchini,Rita T Lawlor,Aldo Scarpa,Giulia Biffi,Phyllis F Cheung,Jens T Siveke,Vincenzo Corbo

Journal of cancer research and clinical oncology 150:126 PubMed38483616

2024

GATA6 inhibits the biological function of non-small cell lung cancer by modulating glucose metabolism.

Applications

Unspecified application

Species

Unspecified reactive species

Weiwei Ju,Lijuan Lin,Qifang Zhang,Xiumei Lv,Shaohui Teng,Yu Hong,Zhixiang Shao,Hanyun Na,Shengjin Yu

Cancer medicine 12:15650-15663 PubMed37293953

2023

BCL11B expression in hepatocellular carcinoma relates to chemosensitivity and clinical prognosis.

Applications

Unspecified application

Species

Unspecified reactive species

Hiroyuki Abe,Kenya Kamimura,Shujiro Okuda,Yu Watanabe,Jun Inoue,Yutaka Aoyagi,Toshifumi Wakai,Ryo Kominami,Shuji Terai

Frontiers in cell and developmental biology 10:938709 PubMed36187479

2022

Acquisition and maintenance of pluripotency are influenced by fibroblast growth factor, leukemia inhibitory factor, and 2i in bovine-induced pluripotent stem cells.

Applications

Unspecified application

Species

Unspecified reactive species

Ramon Cesar Botigelli,Naira Carolina Godoy Pieri,Brendon William Bessi,Lucas Simões Machado,Alessandra Bridi,Aline Fernanda de Souza,Kaiana Recchia,Paulo Fantinato Neto,Pablo Juan Ross,Fabiana Fernandes Bressan,Marcelo Fábio Gouveia Nogueira

Molecular autism 13:24 PubMed35650610

2022

Autism-associated protein POGZ controls ESCs and ESC neural induction by association with esBAF.

Applications

Unspecified application

Species

Unspecified reactive species

Xiaoyun Sun,Linxi Cheng,Yuhua Sun

Nature communications 13:2237 PubMed35469023

2022

Genome-wide CRISPR screens identify GATA6 as a proviral host factor for SARS-CoV-2 via modulation of ACE2.

Applications

Unspecified application

Species

Unspecified reactive species

Ma'ayan Israeli,Yaara Finkel,Yfat Yahalom-Ronen,Nir Paran,Theodor Chitlaru,Ofir Israeli,Inbar Cohen-Gihon,Moshe Aftalion,Reut Falach,Shahar Rotem,Uri Elia,Ital Nemet,Limor Kliker,Michal Mandelboim,Adi Beth-Din,Tomer Israely,Ofer Cohen,Noam Stern-Ginossar,Adi Bercovich-Kinori

Diabetes, metabolic syndrome and obesity : targets and therapy 14:2269-2280 PubMed34045876

2021

Roux-en-Y Gastric Bypass Improves Hepatic Glucose Metabolism Involving Upregulation of Sirt1 in Type 2 Diabetes Mellitus.

Applications

Unspecified application

Species

Unspecified reactive species

Chunjie Su,Qian Cheng,Liyun Wang

Stem cells international 2020:8814989 PubMed33456472

2020

In Vitro Induction of Pluripotency from Equine Fibroblasts in 20% or 5% Oxygen.

Applications

Unspecified application

Species

Unspecified reactive species

Raquel V G de Castro,Naira C G Pieri,Paulo Fantinato Neto,Bianca M Grizendi,Renata G S Dória,Flavio V Meirelles,Lawrence C Smith,Joaquim M Garcia,Fabiana F Bressan

Cancer cell international 20:474 PubMed33013201

2020

Long noncoding RNA LINC00261 suppresses prostate cancer tumorigenesis through upregulation of GATA6-mediated DKK3.

Applications

Unspecified application

Species

Unspecified reactive species

Yang Li,Hai Li,Xin Wei

PLoS genetics 15:e1007711 PubMed31120883

2019

Gata4 regulates hedgehog signaling and Gata6 expression for outflow tract development.

Applications

Unspecified application

Species

Unspecified reactive species

Jielin Liu,Henghui Cheng,Menglan Xiang,Lun Zhou,Bingruo Wu,Ivan P Moskowitz,Ke Zhang,Linglin Xie
View all publications

Product promise

We are committed to supporting your work with high-quality reagents, and we're here for you every step of the way. In the unlikely event that one of our products does not perform as expected, you're protected by our Product Promise.
For full details, please see our Terms & Conditions

Please note: All products are 'FOR RESEARCH USE ONLY. NOT FOR USE IN DIAGNOSTIC OR THERAPEUTIC PROCEDURES'.

For licensing inquiries, please contact partnerships@abcam.com