JavaScript is disabled in your browser. Please enable JavaScript to view this website.
AB317012

Anti-Gata6 antibody [EPR25279-42]

Be the first to review this product! Submit a review

|

(0 Publication)

Rabbit Recombinant Monoclonal GATA6 antibody. Suitable for WB and reacts with Mouse, Rat samples.

View Alternative Names

Transcription factor GATA-6, GATA-binding factor 6

2 Images
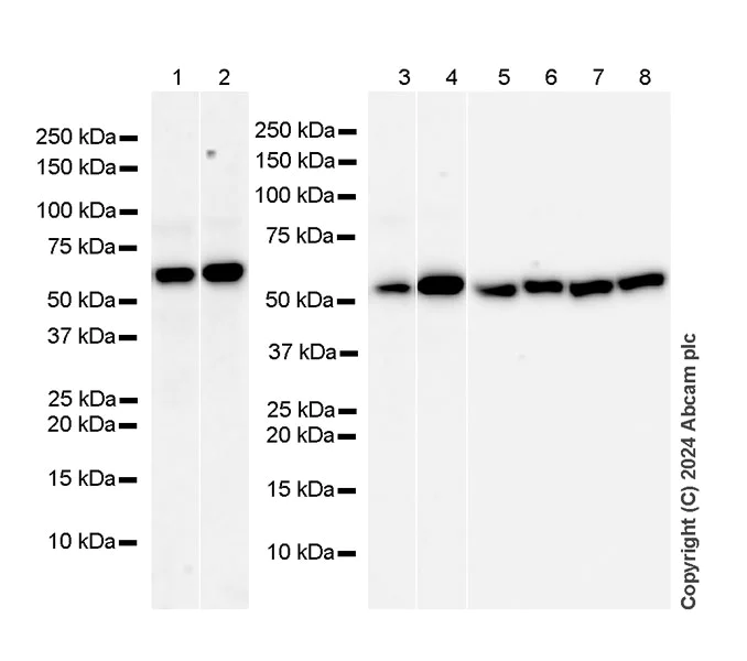
Western blot - Anti-Gata6 antibody [EPR25279-42] (AB317012)
  • WB

Supplier Data

Western blot - Anti-Gata6 antibody [EPR25279-42] (AB317012)

Exposure time : Lane 1, 2 : 92 seconds; Lane 3, 4 : 37 seconds; Lane 5-8 : 15 seconds

All lanes:

Western blot - Anti-Gata6 antibody [EPR25279-42] (ab317012) at 1/1000 dilution

Lane 1:

Rat heart tissue lysate at 20 µg with 5% NFDM/TBST

Lane 2:

Rat spleen tissue lysate at 20 µg with 5% NFDM/TBST

Lane 3:

Mouse heart tissue lysate at 20 µg with 5% NFDM/TBST

Lane 4:

Mouse spleen tissue lysate at 20 µg with 5% NFDM/TBST

Lane 5:

C6 (rat glial tumor glial cell) whole cell lysate at 20 µg with 5% NFDM/TBST

Lane 6:

RAW 264.7 (mouse Abelson murine leukemia virus-induced tumor macrophage) whole cell lysate at 20 µg with 5% NFDM/TBST

Lane 7:

PC-12 (rat adrenal gland pheochromocytoma) whole cell lysate at 20 µg with 5% NFDM/TBST

Lane 8:

NIH/3T3 (mouse embryonic fibroblast) whole cell lysate at 20 µg with 5% NFDM/TBST

Secondary

All lanes:

Western blot - Goat Anti-Rabbit IgG H&L (HRP) (<a href='/en-us/products/secondary-antibodies/goat-rabbit-igg-h-l-hrp-ab97051'>ab97051</a>) at 1/100000 dilution

Observed band size: 59 kDa

false

Western blot - Anti-Gata6 antibody [EPR25279-42] (AB317012)
  • WB

Supplier Data

Western blot - Anti-Gata6 antibody [EPR25279-42] (AB317012)

In Western blot, Anti-GAPDH antibody [EPR16891] - Loading Control (ab181602) staining at 1/200000 dilution.

All lanes:

Western blot - Anti-Gata6 antibody [EPR25279-42] (ab317012) at 1/1000 dilution

Lane 1:

3T3-L1 (mouse embryonic fibroblast) transfected with scrambled siRNA control whole cell lysate at 5 µg with 5% NFDM/TBST

Lane 2:

3T3-L1 transfected with siRNA specifically targeting Gata6 whole cell lysate at 5 µg with 5% NFDM/TBST

Secondary

All lanes:

Western blot - Goat Anti-Rabbit IgG H&L (HRP) (<a href='/en-us/products/secondary-antibodies/goat-rabbit-igg-h-l-hrp-ab97051'>ab97051</a>) at 1/100000 dilution

Observed band size: 59 kDa,36 kDa

true

Exposure time: 114s

Key facts

Host species

Rabbit

Clonality

Monoclonal

Clone number

EPR25279-42

Isotype

IgG

Carrier free

No

Reacts with

Mouse, Rat

Applications

WB

applications

Immunogen

The exact immunogen used to generate this antibody is proprietary information.

Reactivity data

{ "title": "Reactivity Data", "filters": { "stats": ["", "Species", "Dilution Info", "Notes"], "tabs": { "all-applications": {"fullname" : "All Applications", "shortname": "All Applications"}, "WB" : {"fullname" : "Western blot", "shortname":"WB"}, "FlowCytIntra" : {"fullname" : "Flow Cytometry (Intracellular)", "shortname":"Flow Cyt (Intra)"}, "IP" : {"fullname" : "Immunoprecipitation", "shortname":"IP"}, "ICCIF" : {"fullname" : "Immunocytochemistry/ Immunofluorescence", "shortname":"ICC/IF"}, "IHCP" : {"fullname" : "Immunohistochemistry (Formalin/PFA-fixed paraffin-embedded sections)", "shortname":"IHC-P"} }, "product-promise": { "all": "all", "testedAndGuaranteed": "tested", "guaranteed": "expected", "predicted": "predicted", "notRecommended": "not-recommended" } }, "values": { "Human": { "WB-species-checked": "notRecommended", "WB-species-dilution-info": "", "WB-species-notes": "", "FlowCytIntra-species-checked": "notRecommended", "FlowCytIntra-species-dilution-info": "", "FlowCytIntra-species-notes": "<p></p>", "IP-species-checked": "notRecommended", "IP-species-dilution-info": "", "IP-species-notes": "", "ICCIF-species-checked": "notRecommended", "ICCIF-species-dilution-info": "", "ICCIF-species-notes": "<p></p>", "IHCP-species-checked": "notRecommended", "IHCP-species-dilution-info": "", "IHCP-species-notes": "<p></p>" }, "Mouse": { "WB-species-checked": "testedAndGuaranteed", "WB-species-dilution-info": "1/1000", "WB-species-notes": "<p></p>", "FlowCytIntra-species-checked": "notRecommended", "FlowCytIntra-species-dilution-info": "", "FlowCytIntra-species-notes": "<p></p>", "IP-species-checked": "notRecommended", "IP-species-dilution-info": "", "IP-species-notes": "<p></p>", "ICCIF-species-checked": "notRecommended", "ICCIF-species-dilution-info": "", "ICCIF-species-notes": "<p></p>", "IHCP-species-checked": "notRecommended", "IHCP-species-dilution-info": "", "IHCP-species-notes": "<p></p>" }, "Rat": { "WB-species-checked": "testedAndGuaranteed", "WB-species-dilution-info": "1/1000", "WB-species-notes": "<p></p>", "FlowCytIntra-species-checked": "notRecommended", "FlowCytIntra-species-dilution-info": "", "FlowCytIntra-species-notes": "", "IP-species-checked": "notRecommended", "IP-species-dilution-info": "", "IP-species-notes": "", "ICCIF-species-checked": "notRecommended", "ICCIF-species-dilution-info": "", "ICCIF-species-notes": "", "IHCP-species-checked": "notRecommended", "IHCP-species-dilution-info": "", "IHCP-species-notes": "<p></p>" } } }

Product details

Patented technology
Our RabMAb® technology is a patented hybridoma-based technology for making rabbit monoclonal antibodies. For details on our patents, please refer to RabMAb® patents.

What are the advantages of a recombinant monoclonal antibody?
This product is a recombinant monoclonal antibody, which offers several advantages including:

  • - High batch-to-batch consistency and reproducibility
  • - Improved sensitivity and specificity
  • - Long-term security of supply
  • - Animal-free batch production

For more information, read more on recombinant antibodies.

Properties and storage information

Form
Liquid
Purification technique
Affinity purification Protein A
Storage buffer
pH: 7.2 - 7.4 Preservative: 0.01% Sodium azide Constituents: PBS, 40% Glycerol (glycerin, glycerine), 0.05% BSA
Shipped at conditions
Blue Ice
Appropriate short-term storage duration
1-2 weeks
Appropriate short-term storage conditions
+4°C
Appropriate long-term storage conditions
-20°C
Aliquoting information
Upon delivery aliquot
Storage information
Avoid freeze / thaw cycle

Supplementary information

This supplementary information is collated from multiple sources and compiled automatically.

GATA6 also known as GATA-binding protein 6 functions mechanically as a transcription factor in the GATA family. It has a molecular mass of approximately 60 kDa. GATA6 binds to the DNA sequence "GATA" present in the promoters of target genes regulating gene expression. This protein is expressed widely but is particularly noted in endodermal-derived tissues and plays a significant role in cellular differentiation and organogenesis during development.
Biological function summary

GATA6 plays an important role in endodermal lineage specification and development. It participates in complex networks regulating the differentiation and function of various organs such as the lungs heart and gut. This transcription factor interacts with other proteins in intricate transcriptional complexes to modulate the expression of genes involved in cell growth and development. GATA6 aids tissue-specific gene regulation facilitating organ development and function.

Pathways

GATA6 is integral to at least the TGF-beta signaling pathway and the Wnt signaling pathway. In these pathways GATA6 regulates the expression of genes that are essential for cell proliferation differentiation and apoptosis. It works closely with other key proteins like SMAD and β-catenin to drive downstream genetic programs that underpin cellular development and tissue homeostasis.

GATA6 mutations have been associated with congenital heart defects and pancreatic agenesis. Alterations in GATA6 function can disrupt its interaction with proteins such as NKX2-5 leading to developmental anomalies in the cardiovascular system. Similarly its dysregulation links to improper pancreatic development contributing to diabetes-related conditions. GATA6's dysfunction in these areas highlights its significance in developmental biology and disease pathology.

Product protocols

For this product, it's our understanding that no specific protocols are required. You can visit:

Target data

Transcriptional activator that regulates SEMA3C and PLXNA2 (PubMed : 19666519). May regulate genes that protect epithelial cells from bacterial infection (By similarity). Involved in gene regulation specifically in the gastric epithelium (By similarity). Involved in bone morphogenetic protein (BMP)-mediated cardiac-specific gene expression (PubMed : 15329343). Binds to BMP response element (BMPRE) DNA sequences within cardiac activating regions (PubMed : 15329343).
See full target information Gata6

Product promise

We are committed to supporting your work with high-quality reagents, and we're here for you every step of the way. In the unlikely event that one of our products does not perform as expected, you're protected by our Product Promise.
For full details, please see our Terms & Conditions

Please note: All products are 'FOR RESEARCH USE ONLY. NOT FOR USE IN DIAGNOSTIC OR THERAPEUTIC PROCEDURES'.

For licensing inquiries, please contact partnerships@abcam.com