JavaScript is disabled in your browser. Please enable JavaScript to view this website.
AB87663

Anti-GATAD2A antibody

4

(3 Reviews)

|

(8 Publications)

Rabbit Polyclonal GATAD2A antibody. Suitable for IHC-P, IP, WB, ICC/IF and reacts with Mouse, Human samples. Cited in 8 publications. Immunogen corresponding to Synthetic Peptide within Human Transcriptional repressor p66-alpha aa 550 to C-terminus.

View Alternative Names

Transcriptional repressor p66-alpha, Hp66alpha, GATA zinc finger domain-containing protein 2A, GATAD2A

4 Images
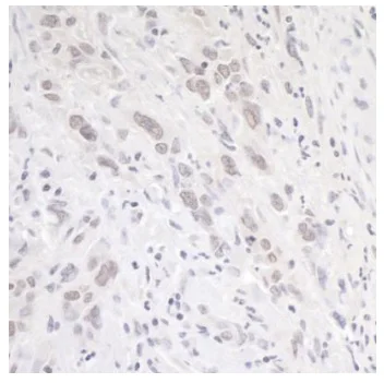
Immunohistochemistry (Formalin/PFA-fixed paraffin-embedded sections) - Anti-GATAD2A antibody (AB87663)
  • IHC-P

Supplier Data

Immunohistochemistry (Formalin/PFA-fixed paraffin-embedded sections) - Anti-GATAD2A antibody (AB87663)

Immunohistochemistry (Formalin/PFA-fixed paraffin-embedded sections) analysis of human breast carcinoma tissue labelling GATAD2A with ab87663 at 1/1000 (1μg/ml). Detection : DAB.

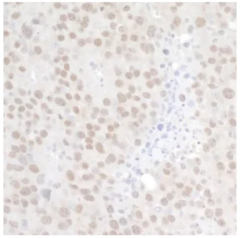
Immunohistochemistry (Formalin/PFA-fixed paraffin-embedded sections) - Anti-GATAD2A antibody (AB87663)
  • IHC-P

Supplier Data

Immunohistochemistry (Formalin/PFA-fixed paraffin-embedded sections) - Anti-GATAD2A antibody (AB87663)

Immunohistochemistry (Formalin/PFA-fixed paraffin-embedded sections) analysis of mouse renal cell carcinoma tissue labelling GATAD2A with ab87663 at 1/1000 (1μg/ml). Detection : DAB.

Immunoprecipitation - Anti-GATAD2A antibody (AB87663)
  • IP

Supplier Data

Immunoprecipitation - Anti-GATAD2A antibody (AB87663)

Detection of human GATAD2A by western blot of immunoprecipitates.
Samples : Whole cell lysate (0.5 or 1.0 mg per IP reaction; 20% of IP loaded) from Hela cells prepared using NETN lysis buffer.
Antibodies : ab87663 used for IP at 6 μg per reaction. For blotting immunoprecipitated GATAD2A, ab87663 was used at 1 μg/ml.

All lanes:

Immunoprecipitation - Anti-GATAD2A antibody (ab87663)

Predicted band size: 68 kDa

false

Exposure time: 3min

Western blot - Anti-GATAD2A antibody (AB87663)
  • WB

Supplier Data

Western blot - Anti-GATAD2A antibody (AB87663)

Lysates prepared using NETN lysis buffer.

All lanes:

Western blot - Anti-GATAD2A antibody (ab87663) at 0.1 µg/mL

Lane 1:

HeLa (Human epithelial cell line from cervix adenocarcinoma) whole cell lysate at 50 µg

Lane 2:

HEK-293T (Human epithelial cell line from embryonic kidney transformed with large T antigen) whole cell lysate at 50 µg

Predicted band size: 68 kDa

false

Exposure time: 3min

Key facts

Host species

Rabbit

Clonality

Polyclonal

Isotype

IgG

Carrier free

No

Reacts with

Mouse, Human

Applications

WB, IP, ICC/IF, IHC-P

applications

Immunogen

Synthetic Peptide within Human Transcriptional repressor p66-alpha aa 550 to C-terminus. The exact immunogen used to generate this antibody is proprietary information.

Q86YP4

Reactivity data

{ "title": "Reactivity Data", "filters": { "stats": ["", "Species", "Dilution Info", "Notes"], "tabs": { "all-applications": {"fullname" : "All Applications", "shortname": "All Applications"}, "IHCP" : {"fullname" : "Immunohistochemistry (Formalin/PFA-fixed paraffin-embedded sections)", "shortname":"IHC-P"}, "IP" : {"fullname" : "Immunoprecipitation", "shortname":"IP"}, "WB" : {"fullname" : "Western blot", "shortname":"WB"}, "ICCIF" : {"fullname" : "Immunocytochemistry/ Immunofluorescence", "shortname":"ICC/IF"} }, "product-promise": { "all": "all", "testedAndGuaranteed": "tested", "guaranteed": "expected", "predicted": "predicted", "notRecommended": "not-recommended" } }, "values": { "Human": { "IHCP-species-checked": "testedAndGuaranteed", "IHCP-species-dilution-info": "1/500 - 1/2000", "IHCP-species-notes": "<p></p> Perform heat-mediated antigen retrieval with citrate buffer pH 6 before commencing with IHC staining protocol.", "IP-species-checked": "testedAndGuaranteed", "IP-species-dilution-info": "2-10 µg/mg of lysate", "IP-species-notes": "<p></p>", "WB-species-checked": "testedAndGuaranteed", "WB-species-dilution-info": "1/2000 - 1/10000", "WB-species-notes": "<p></p>", "ICCIF-species-checked": "guaranteed", "ICCIF-species-dilution-info": "", "ICCIF-species-notes": "<p></p>" }, "Mouse": { "IHCP-species-checked": "testedAndGuaranteed", "IHCP-species-dilution-info": "1/500 - 1/2000", "IHCP-species-notes": "<p></p> Perform heat-mediated antigen retrieval with citrate buffer pH 6 before commencing with IHC staining protocol.", "IP-species-checked": "guaranteed", "IP-species-dilution-info": "", "IP-species-notes": "", "WB-species-checked": "guaranteed", "WB-species-dilution-info": "", "WB-species-notes": "", "ICCIF-species-checked": "guaranteed", "ICCIF-species-dilution-info": "", "ICCIF-species-notes": "<p></p>" }, "Rat": { "IHCP-species-checked": "predicted", "IHCP-species-dilution-info": "", "IHCP-species-notes": "", "IP-species-checked": "predicted", "IP-species-dilution-info": "", "IP-species-notes": "", "WB-species-checked": "predicted", "WB-species-dilution-info": "", "WB-species-notes": "", "ICCIF-species-checked": "predicted", "ICCIF-species-dilution-info": "", "ICCIF-species-notes": "" }, "Chicken": { "IHCP-species-checked": "predicted", "IHCP-species-dilution-info": "", "IHCP-species-notes": "", "IP-species-checked": "predicted", "IP-species-dilution-info": "", "IP-species-notes": "", "WB-species-checked": "predicted", "WB-species-dilution-info": "", "WB-species-notes": "", "ICCIF-species-checked": "predicted", "ICCIF-species-dilution-info": "", "ICCIF-species-notes": "" }, "Chimpanzee": { "IHCP-species-checked": "predicted", "IHCP-species-dilution-info": "", "IHCP-species-notes": "", "IP-species-checked": "predicted", "IP-species-dilution-info": "", "IP-species-notes": "", "WB-species-checked": "predicted", "WB-species-dilution-info": "", "WB-species-notes": "", "ICCIF-species-checked": "predicted", "ICCIF-species-dilution-info": "", "ICCIF-species-notes": "" }, "Cow": { "IHCP-species-checked": "predicted", "IHCP-species-dilution-info": "", "IHCP-species-notes": "", "IP-species-checked": "predicted", "IP-species-dilution-info": "", "IP-species-notes": "", "WB-species-checked": "predicted", "WB-species-dilution-info": "", "WB-species-notes": "", "ICCIF-species-checked": "predicted", "ICCIF-species-dilution-info": "", "ICCIF-species-notes": "" }, "Dog": { "IHCP-species-checked": "predicted", "IHCP-species-dilution-info": "", "IHCP-species-notes": "", "IP-species-checked": "predicted", "IP-species-dilution-info": "", "IP-species-notes": "", "WB-species-checked": "predicted", "WB-species-dilution-info": "", "WB-species-notes": "", "ICCIF-species-checked": "predicted", "ICCIF-species-dilution-info": "", "ICCIF-species-notes": "" }, "Gorilla": { "IHCP-species-checked": "predicted", "IHCP-species-dilution-info": "", "IHCP-species-notes": "", "IP-species-checked": "predicted", "IP-species-dilution-info": "", "IP-species-notes": "", "WB-species-checked": "predicted", "WB-species-dilution-info": "", "WB-species-notes": "", "ICCIF-species-checked": "predicted", "ICCIF-species-dilution-info": "", "ICCIF-species-notes": "" }, "Guinea pig": { "IHCP-species-checked": "predicted", "IHCP-species-dilution-info": "", "IHCP-species-notes": "", "IP-species-checked": "predicted", "IP-species-dilution-info": "", "IP-species-notes": "", "WB-species-checked": "predicted", "WB-species-dilution-info": "", "WB-species-notes": "", "ICCIF-species-checked": "predicted", "ICCIF-species-dilution-info": "", "ICCIF-species-notes": "" }, "Horse": { "IHCP-species-checked": "predicted", "IHCP-species-dilution-info": "", "IHCP-species-notes": "", "IP-species-checked": "predicted", "IP-species-dilution-info": "", "IP-species-notes": "", "WB-species-checked": "predicted", "WB-species-dilution-info": "", "WB-species-notes": "", "ICCIF-species-checked": "predicted", "ICCIF-species-dilution-info": "", "ICCIF-species-notes": "" }, "Orangutan": { "IHCP-species-checked": "predicted", "IHCP-species-dilution-info": "", "IHCP-species-notes": "", "IP-species-checked": "predicted", "IP-species-dilution-info": "", "IP-species-notes": "", "WB-species-checked": "predicted", "WB-species-dilution-info": "", "WB-species-notes": "", "ICCIF-species-checked": "predicted", "ICCIF-species-dilution-info": "", "ICCIF-species-notes": "" }, "Pig": { "IHCP-species-checked": "predicted", "IHCP-species-dilution-info": "", "IHCP-species-notes": "", "IP-species-checked": "predicted", "IP-species-dilution-info": "", "IP-species-notes": "", "WB-species-checked": "predicted", "WB-species-dilution-info": "", "WB-species-notes": "", "ICCIF-species-checked": "predicted", "ICCIF-species-dilution-info": "", "ICCIF-species-notes": "" }, "Platypus": { "IHCP-species-checked": "predicted", "IHCP-species-dilution-info": "", "IHCP-species-notes": "", "IP-species-checked": "predicted", "IP-species-dilution-info": "", "IP-species-notes": "", "WB-species-checked": "predicted", "WB-species-dilution-info": "", "WB-species-notes": "", "ICCIF-species-checked": "predicted", "ICCIF-species-dilution-info": "", "ICCIF-species-notes": "" }, "Rabbit": { "IHCP-species-checked": "predicted", "IHCP-species-dilution-info": "", "IHCP-species-notes": "", "IP-species-checked": "predicted", "IP-species-dilution-info": "", "IP-species-notes": "", "WB-species-checked": "predicted", "WB-species-dilution-info": "", "WB-species-notes": "", "ICCIF-species-checked": "predicted", "ICCIF-species-dilution-info": "", "ICCIF-species-notes": "" }, "Rhesus monkey": { "IHCP-species-checked": "predicted", "IHCP-species-dilution-info": "", "IHCP-species-notes": "", "IP-species-checked": "predicted", "IP-species-dilution-info": "", "IP-species-notes": "", "WB-species-checked": "predicted", "WB-species-dilution-info": "", "WB-species-notes": "", "ICCIF-species-checked": "predicted", "ICCIF-species-dilution-info": "", "ICCIF-species-notes": "" }, "Turkey": { "IHCP-species-checked": "predicted", "IHCP-species-dilution-info": "", "IHCP-species-notes": "", "IP-species-checked": "predicted", "IP-species-dilution-info": "", "IP-species-notes": "", "WB-species-checked": "predicted", "WB-species-dilution-info": "", "WB-species-notes": "", "ICCIF-species-checked": "predicted", "ICCIF-species-dilution-info": "", "ICCIF-species-notes": "" } } }

Properties and storage information

Form
Liquid
Purification technique
Affinity purification Immunogen
Storage buffer
pH: 7 - 8 Preservative: 0.09% Sodium azide Constituents: Tris citrate/phosphate
Shipped at conditions
Blue Ice
Appropriate short-term storage conditions
+4°C
Appropriate long-term storage conditions
-20°C
Aliquoting information
Upon delivery aliquot
Storage information
Avoid freeze / thaw cycle

Supplementary information

This supplementary information is collated from multiple sources and compiled automatically.

The GATAD2A gene encodes a protein also known as P66-alpha weighing approximately 65 kDa. This protein is largely expressed in the nucleus of eukaryotic cells. GATAD2A interacts with other proteins to regulate transcription and is part of the transcription repression complexes. Its expression is seen widely across various tissues indicating its broad regulatory role in gene expression.
Biological function summary

GATAD2A functions by interacting with multiple factors to form the nucleosome remodeling and deacetylase (NuRD) complex. This complex is critical in modifying chromatin to control gene transcription. GATAD2A assists in recruiting this complex to specific genomic regions helping to repress or activate gene expression depending on the cellular context. GATAD2A's involvement in chromatin remodeling highlights its important role in cell cycle regulation and development.

Pathways

GATAD2A participates in epigenetic regulation pathways and the cellular differentiation process. It cooperates with other NuRD complex proteins like MBD2 and CHD4 which play roles in DNA methylation and histone modification. Through these interactions GATAD2A helps in maintaining the balance between gene repression and activation which is necessary for various cellular processes including differentiation and proliferation.

GATAD2A shows associations with neurodevelopmental disorders and certain cancer forms. It has been noted to interact with proteins involved in these conditions such as transcriptional repressors and factors like CDK11 suggesting its role in disease progression. Abnormal GATAD2A function or expression can lead to disrupted chromatin dynamics potentially contributing to the pathogenesis of these disorders.

Product protocols

For this product, it's our understanding that no specific protocols are required. You can visit:

Target data

Transcriptional repressor (PubMed : 12183469, PubMed : 16415179). Acts as a component of the histone deacetylase NuRD complex which participates in the remodeling of chromatin (PubMed : 16428440, PubMed : 28977666). Enhances MBD2-mediated repression (PubMed : 12183469, PubMed : 16415179). Efficient repression requires the presence of GATAD2B (PubMed : 16415179).
See full target information Transcriptional repressor p66-alpha

Publications (8)

Recent publications for all applications. Explore the full list and refine your search

Nucleic acids research 52:6811-6829 PubMed38676947

2024

CARM1 hypermethylates the NuRD chromatin remodeling complex to promote cell cycle gene expression and breast cancer development.

Applications

Unspecified application

Species

Unspecified reactive species

Xue Chen,Ming-Feng Huang,Da-Meng Fan,Yao-Hui He,Wen-Juan Zhang,Jian-Cheng Ding,Bing-Ling Peng,Xu Pan,Ya Liu,Jun Du,Ying Li,Zhi-Ying Liu,Bing-Lan Xie,Zhi-Jian Kuang,Jia Yi,Wen Liu

PLoS pathogens 19:e1011477 PubMed37410772

2023

Changes in SUMO-modified proteins in Epstein-Barr virus infection identifies reciprocal regulation of TRIM24/28/33 complexes and the lytic switch BZLF1.

Applications

Unspecified application

Species

Unspecified reactive species

Carlos F De La Cruz-Herrera,Michael H Tatham,Umama Z Siddiqi,Kathy Shire,Edyta Marcon,Jack F Greenblatt,Ronald T Hay,Lori Frappier

Molecular cell 81:845-858.e8 PubMed33406384

2021

SALL4 controls cell fate in response to DNA base composition.

Applications

Unspecified application

Species

Unspecified reactive species

Raphaël Pantier,Kashyap Chhatbar,Timo Quante,Konstantina Skourti-Stathaki,Justyna Cholewa-Waclaw,Grace Alston,Beatrice Alexander-Howden,Heng Yang Lee,Atlanta G Cook,Cornelia G Spruijt,Michiel Vermeulen,Jim Selfridge,Adrian Bird

Journal of virology 93: PubMed31462557

2019

The Epstein-Barr Virus BMRF1 Protein Activates Transcription and Inhibits the DNA Damage Response by Binding NuRD.

Applications

Unspecified application

Species

Unspecified reactive species

Samuel G Salamun,Justine Sitz,Carlos F De La Cruz-Herrera,Jaime Yockteng-Melgar,Edyta Marcon,Jack Greenblatt,Amelie Fradet-Turcotte,Lori Frappier

Haematologica 104:2361-2371 PubMed31004025

2019

Disruption of the MBD2-NuRD complex but not MBD3-NuRD induces high level HbF expression in human adult erythroid cells.

Applications

Unspecified application

Species

Unspecified reactive species

Xiaofei Yu,Alexander Azzo,Stephanie M Bilinovich,Xia Li,Mikhail Dozmorov,Ryo Kurita,Yukio Nakamura,David C Williams,Gordon D Ginder

Cell reports 25:1255-1267.e5 PubMed30380416

2018

TRPS1 Is a Lineage-Specific Transcriptional Dependency in Breast Cancer.

Applications

Unspecified application

Species

Unspecified reactive species

Robert M Witwicki,Muhammad B Ekram,Xintao Qiu,Michalina Janiszewska,Shaokun Shu,Mijung Kwon,Anne Trinh,Elizabeth Frias,Nadire Ramadan,Greg Hoffman,Kristine Yu,Yingtian Xie,Gregory McAllister,Rob McDonald,Javad Golji,Michael Schlabach,Antoine deWeck,Nicholas Keen,Ho Man Chan,David Ruddy,Tomas Rejtar,Sosathya Sovath,Serena Silver,William R Sellers,Zainab Jagani,Michael D Hogarty,Charles Roberts,Myles Brown,Kimberly Stegmaier,Henry Long,Ramesh A Shivdasani,David Pellman,Kornelia Polyak

Nucleic acids research 46:4933-4949 PubMed29547954

2018

Mbd2-CP2c loop drives adult-type globin gene expression and definitive erythropoiesis.

Applications

Unspecified application

Species

Unspecified reactive species

Min Young Kim,Ji Sook Kim,Seung Han Son,Chang Su Lim,Hea Young Eum,Dae Hyun Ha,Mi Ae Park,Eun Jung Baek,Buom-Yong Ryu,Ho Chul Kang,Vladimir N Uversky,Chul Geun Kim

Immunity 46:51-64 PubMed28099864

2017

SATB1 Expression Governs Epigenetic Repression of PD-1 in Tumor-Reactive T Cells.

Applications

Unspecified application

Species

Unspecified reactive species

Tom L Stephen,Kyle K Payne,Ricardo A Chaurio,Michael J Allegrezza,Hengrui Zhu,Jairo Perez-Sanz,Alfredo Perales-Puchalt,Jenny M Nguyen,Ana E Vara-Ailor,Evgeniy B Eruslanov,Mark E Borowsky,Rugang Zhang,Terri M Laufer,Jose R Conejo-Garcia
View all publications

Product promise

We are committed to supporting your work with high-quality reagents, and we're here for you every step of the way. In the unlikely event that one of our products does not perform as expected, you're protected by our Product Promise.
For full details, please see our Terms & Conditions

Please note: All products are 'FOR RESEARCH USE ONLY. NOT FOR USE IN DIAGNOSTIC OR THERAPEUTIC PROCEDURES'.

For licensing inquiries, please contact partnerships@abcam.com