JavaScript is disabled in your browser. Please enable JavaScript to view this website.
AB188472

Anti-GATAD2A antibody [EPR18252]

Be the first to review this product! Submit a review

|

(2 Publications)

Rabbit Recombinant Monoclonal GATAD2A antibody. Suitable for WB, ICC/IF, Flow Cyt (Intra), IHC-P and reacts with Mouse, Human samples. Cited in 2 publications.

View Alternative Names

Transcriptional repressor p66-alpha, Hp66alpha, GATA zinc finger domain-containing protein 2A, GATAD2A

8 Images
Immunocytochemistry/ Immunofluorescence - Anti-GATAD2A antibody [EPR18252] (AB188472)
  • ICC/IF

Lab

Immunocytochemistry/ Immunofluorescence - Anti-GATAD2A antibody [EPR18252] (AB188472)

Immunofluorescent analysis of 4% paraformaldehyde-fixed 0.1% Triton X-100 permeabilized HEK-293 (Human epithelial cells from embryonic kidney) cells labeling GATAD2A with ab188472 at 1/2000 dilution followed by Goat anti-rabbit IgG (Alexa Fluor® 488) (ab150077) secondary antibody at 1/1000 dilution (green). Confocal image showing nuclear staining on HEK-293 cell line. The nuclear counterstain is DAPI (blue). Tubulin is detected with ab7291 (anti-Tubulin mouse mAb) at 1/1000 dilution and ab150120 (AlexaFluor®594 Goat anti-Mouse secondary) at 1/1000 dilution (red).

The negative controls are as follows : -
-ve control 1 : ab188472 at 1/2000 dilution followed by ab150120 (AlexaFluor®594 Goat anti-Mouse secondary) at 1/1000 dilution.
-ve control 2 : ab7291 (anti-Tubulin mouse mAb) at 1/1000 dilution followed by ab150077 (Alexa Fluor®488 Goat Anti-Rabbit IgG H&L) at 1/1000 dilution.

Immunocytochemistry/ Immunofluorescence - Anti-GATAD2A antibody [EPR18252] (AB188472)
  • ICC/IF

Lab

Immunocytochemistry/ Immunofluorescence - Anti-GATAD2A antibody [EPR18252] (AB188472)

Immunofluorescent analysis of 4% paraformaldehyde-fixed 0.1% Triton X-100 permeabilized HeLa (Human epithelial cells from cervix adenocarcinoma) cells labeling GATAD2A with ab188472 at 1/2000 dilution followed by Goat anti-rabbit IgG (Alexa Fluor® 488) (ab150077) secondary antibody at 1/1000 dilution (green). Confocal image showing nuclear staining on HeLa cell line. The nuclear counterstain is DAPI (blue). Tubulin is detected with ab7291 (anti-Tubulin mouse mAb) at 1/1000 dilution and ab150120 (AlexaFluor®594 Goat anti-Mouse secondary) at 1/1000 dilution (red).

The negative controls are as follows : -
-ve control 1 : ab188472 at 1/2000 dilution followed by ab150120 (AlexaFluor®594 Goat anti-Mouse secondary) at 1/1000 dilution.
-ve control 2 : ab7291 (anti-Tubulin mouse mAb) at 1/1000 dilution followed by ab150077 (Alexa Fluor®488 Goat Anti-Rabbit IgG H&L) at 1/1000 dilution.

Flow Cytometry (Intracellular) - Anti-GATAD2A antibody [EPR18252] (AB188472)
  • Flow Cyt (Intra)

Lab

Flow Cytometry (Intracellular) - Anti-GATAD2A antibody [EPR18252] (AB188472)

ab188472 staining GATAD2A in HeLa (human cervix adenocarcinoma) by intracellular flow cytometry. Cells were fixed with 4% paraformaldehyde and permeabilised with 90% methanol. The sample was incubated with the primary antibody at a dilution of 1/120. A goat anti rabbit IgG (Alexa Fluor® 488) at a dilution of 1/2000 was used as the secondary antibody.

Isoytype control : Rabbit monoclonal IgG (Black)

Unlabelled control : Cell without incubation with primary antibody and secondary antibody (Blue)

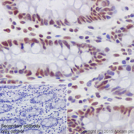
Immunohistochemistry (Formalin/PFA-fixed paraffin-embedded sections) - Anti-GATAD2A antibody [EPR18252] (AB188472)
  • IHC-P

Supplier Data

Immunohistochemistry (Formalin/PFA-fixed paraffin-embedded sections) - Anti-GATAD2A antibody [EPR18252] (AB188472)

Immunohistochemical analysis of paraffin-embedded Human colon tissue labeling GATAD2A with ab188472 at 1/1000 dilution followed by Goat Anti-Rabbit IgG H&L (HRP) (ab97051) at 1/500 dilution. Nucleus staining on Human colon is observed. Counter stained with Hematoxylin.

Secondary antibody only control : Used PBS instead of primary antibody secondary antibody is Goat Anti-Rabbit IgG H&L (HRP) (ab97051) at 1/500 dilution.

Perform heat mediated antigen retrieval with Tris/EDTA buffer pH 9.0 before commencing with IHC staining protocol.

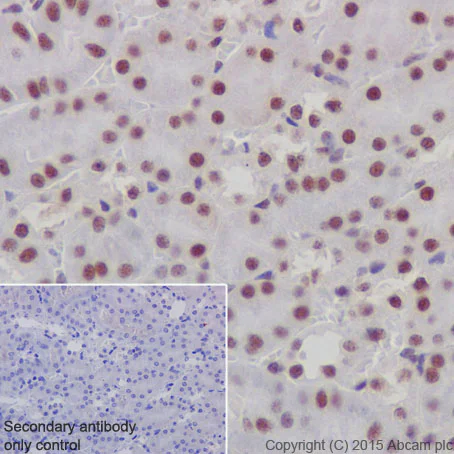
Immunohistochemistry (Formalin/PFA-fixed paraffin-embedded sections) - Anti-GATAD2A antibody [EPR18252] (AB188472)
  • IHC-P

Supplier Data

Immunohistochemistry (Formalin/PFA-fixed paraffin-embedded sections) - Anti-GATAD2A antibody [EPR18252] (AB188472)

Immunohistochemical analysis of paraffin-embedded Mouse kidney tissue labeling GATAD2A with ab188472 at 1/1000 dilution followed by Goat Anti-Rabbit IgG H&L (HRP) (ab97051) at 1/500 dilution. Nucleus staining on mouse kidney is observed. Counter stained with Hematoxylin.

Secondary antibody only control : Used PBS instead of primary antibody secondary antibody is Goat Anti-Rabbit IgG H&L (HRP) (ab97051) at 1/500 dilution.

Perform heat mediated antigen retrieval with Tris/EDTA buffer pH 9.0 before commencing with IHC staining protocol.

Western blot - Anti-GATAD2A antibody [EPR18252] (AB188472)
  • WB

Supplier Data

Western blot - Anti-GATAD2A antibody [EPR18252] (AB188472)

Blocking and diluting buffer and concentration : 5% NFDM/TBST. This antibody does not cross-react with human GATAD2A. In Western blot, anti-GATAD2A antibody (ab188472) staining at 1/1000 dilution, anti-His antibody (ab213204) staining at 1/5000 dilution. Exposure time : 37 seconds

All lanes:

Western blot - Anti-GATAD2B antibody [EPR27329-3] (<a href='/en-us/products/primary-antibodies/gatad2b-antibody-epr27329-3-ab308631'>ab308631</a>) at 1/1000 dilution

Lane 1:

His-tagged human GATAD2A recombinant protein at 20 µg

Lane 2:

His-tagged human GATAD2B recombinant protein at 20 µg

Secondary

All lanes:

Western blot - Goat Anti-Rabbit IgG H&L (HRP) (<a href='/en-us/products/secondary-antibodies/goat-rabbit-igg-h-l-hrp-ab97051'>ab97051</a>) at 1/100000 dilution

Predicted band size: 65 kDa

Observed band size: 72 kDa

false

Exposure time: 37s

Western blot - Anti-GATAD2A antibody [EPR18252] (AB188472)
  • WB

Supplier Data

Western blot - Anti-GATAD2A antibody [EPR18252] (AB188472)

Blocking/Dilution buffer : 5% NFDM/TBST.

Three isoforms of 68 (isoforms 1 and 3) and 65 KDa (isoform 1).

All lanes:

Western blot - Anti-GATAD2A antibody [EPR18252] (ab188472) at 1/2000 dilution

Lane 1:

K562 (Human chronic myelogenous leukemia cells from bone marrow) whole cell lysate at 10 µg

Lane 2:

NCCIT (Human pluripotent embryonic carcinoma) whole cell lysate at 10 µg

Lane 3:

293 (Human epithelial cells from embryonic kidney) whole cell lysate at 10 µg

Lane 4:

HeLa (Human epithelial cells from cervix adenocarcinoma) whole cell lysate at 10 µg

Secondary

All lanes:

Goat Anti-Rabbit IgG, (H+L), Peroxidase conjugated at 1/1000 dilution

Predicted band size: 68 kDa

Observed band size: 65 kDa,68 kDa

false

Exposure time: 5s

Western blot - Anti-GATAD2A antibody [EPR18252] (AB188472)
  • WB

Supplier Data

Western blot - Anti-GATAD2A antibody [EPR18252] (AB188472)

Blocking/Dilution buffer : 5% NFDM/TBST.

All lanes:

Western blot - Anti-GATAD2A antibody [EPR18252] (ab188472) at 1/2000 dilution

Lane 1:

RAW 264.7 (Mouse macrophage cells transformed with Abelson murine leukemia virus) whole cell lysate at 10 µg

Lane 2:

NIH/3T3 (Mouse embyro fibroblast cells) whole cell lysate at 10 µg

Secondary

All lanes:

Goat Anti-Rabbit IgG, (H+L), Peroxidase conjugated at 1/1000 dilution

Predicted band size: 43 kDa,68 kDa

Observed band size: 43 kDa,65 kDa,68 kDa

false

Exposure time: 10s

  • Carrier free

    Anti-GATAD2A antibody [EPR18252] - BSA and Azide free

Key facts

Host species

Rabbit

Clonality

Monoclonal

Clone number

EPR18252

Isotype

IgG

Carrier free

No

Reacts with

Mouse, Human

Applications

WB, IHC-P, ICC/IF, Flow Cyt (Intra)

applications

Immunogen

The exact immunogen used to generate this antibody is proprietary information.

Reactivity data

{ "title": "Reactivity Data", "filters": { "stats": ["", "Species", "Dilution Info", "Notes"], "tabs": { "all-applications": {"fullname" : "All Applications", "shortname": "All Applications"}, "WB" : {"fullname" : "Western blot", "shortname":"WB"}, "ICCIF" : {"fullname" : "Immunocytochemistry/ Immunofluorescence", "shortname":"ICC/IF"}, "FlowCytIntra" : {"fullname" : "Flow Cytometry (Intracellular)", "shortname":"Flow Cyt (Intra)"}, "IHCP" : {"fullname" : "Immunohistochemistry (Formalin/PFA-fixed paraffin-embedded sections)", "shortname":"IHC-P"} }, "product-promise": { "all": "all", "testedAndGuaranteed": "tested", "guaranteed": "expected", "predicted": "predicted", "notRecommended": "not-recommended" } }, "values": { "Human": { "WB-species-checked": "testedAndGuaranteed", "WB-species-dilution-info": "1/2000", "WB-species-notes": "<p></p>", "ICCIF-species-checked": "testedAndGuaranteed", "ICCIF-species-dilution-info": "1/2000", "ICCIF-species-notes": "<p></p>", "FlowCytIntra-species-checked": "testedAndGuaranteed", "FlowCytIntra-species-dilution-info": "", "FlowCytIntra-species-notes": "<p></p>", "IHCP-species-checked": "testedAndGuaranteed", "IHCP-species-dilution-info": "1/1000", "IHCP-species-notes": "<p></p>" }, "Mouse": { "WB-species-checked": "testedAndGuaranteed", "WB-species-dilution-info": "1/2000", "WB-species-notes": "<p></p>", "ICCIF-species-checked": "guaranteed", "ICCIF-species-dilution-info": "", "ICCIF-species-notes": "", "FlowCytIntra-species-checked": "guaranteed", "FlowCytIntra-species-dilution-info": "", "FlowCytIntra-species-notes": "", "IHCP-species-checked": "testedAndGuaranteed", "IHCP-species-dilution-info": "1/1000", "IHCP-species-notes": "<p></p>" } } }

Product details

Patented technology
Our RabMAb® technology is a patented hybridoma-based technology for making rabbit monoclonal antibodies. For details on our patents, please refer to RabMAb® patents.

What are the advantages of a recombinant monoclonal antibody?
This product is a recombinant monoclonal antibody, which offers several advantages including:

  • - High batch-to-batch consistency and reproducibility
  • - Improved sensitivity and specificity
  • - Long-term security of supply
  • - Animal-free batch production

For more information, read more on recombinant antibodies.

Properties and storage information

Form
Liquid
Purification technique
Affinity purification Protein A
Storage buffer
pH: 7.2 - 7.4 Preservative: 0.01% Sodium azide Constituents: PBS, 40% Glycerol (glycerin, glycerine), 0.05% BSA
Shipped at conditions
Blue Ice
Appropriate short-term storage duration
1-2 weeks
Appropriate short-term storage conditions
+4°C
Appropriate long-term storage conditions
-20°C
Aliquoting information
Upon delivery aliquot
Storage information
Avoid freeze / thaw cycle

Supplementary information

This supplementary information is collated from multiple sources and compiled automatically.

The GATAD2A gene encodes a protein also known as P66-alpha weighing approximately 65 kDa. This protein is largely expressed in the nucleus of eukaryotic cells. GATAD2A interacts with other proteins to regulate transcription and is part of the transcription repression complexes. Its expression is seen widely across various tissues indicating its broad regulatory role in gene expression.
Biological function summary

GATAD2A functions by interacting with multiple factors to form the nucleosome remodeling and deacetylase (NuRD) complex. This complex is critical in modifying chromatin to control gene transcription. GATAD2A assists in recruiting this complex to specific genomic regions helping to repress or activate gene expression depending on the cellular context. GATAD2A's involvement in chromatin remodeling highlights its important role in cell cycle regulation and development.

Pathways

GATAD2A participates in epigenetic regulation pathways and the cellular differentiation process. It cooperates with other NuRD complex proteins like MBD2 and CHD4 which play roles in DNA methylation and histone modification. Through these interactions GATAD2A helps in maintaining the balance between gene repression and activation which is necessary for various cellular processes including differentiation and proliferation.

GATAD2A shows associations with neurodevelopmental disorders and certain cancer forms. It has been noted to interact with proteins involved in these conditions such as transcriptional repressors and factors like CDK11 suggesting its role in disease progression. Abnormal GATAD2A function or expression can lead to disrupted chromatin dynamics potentially contributing to the pathogenesis of these disorders.

Product protocols

For this product, it's our understanding that no specific protocols are required. You can visit:

Target data

Transcriptional repressor (PubMed : 12183469, PubMed : 16415179). Acts as a component of the histone deacetylase NuRD complex which participates in the remodeling of chromatin (PubMed : 16428440, PubMed : 28977666). Enhances MBD2-mediated repression (PubMed : 12183469, PubMed : 16415179). Efficient repression requires the presence of GATAD2B (PubMed : 16415179).
See full target information Transcriptional repressor p66-alpha

Publications (2)

Recent publications for all applications. Explore the full list and refine your search

The EMBO journal 44:4962-4983 PubMed40702315

2025

Deletion of EP3 prostaglandin receptor in murine macrophages aggravates diet-induced obesity by suppressing SPARC.

Applications

Unspecified application

Species

Unspecified reactive species

Wenlong Shang,Yinxiu Li,Lu Wang,Jiao Liu,Huiwen Ren,Qian Liu,Shumin Guo,Yuhong Wang,Yubo Ma,Tianyi You,Yujun Shen,Yu Zhou,Danyang Tian,Ying Yu

International journal of oncology 61: PubMed35904180

2022

lncKRT16P6 promotes tongue squamous cell carcinoma progression by sponging miR‑3180 and regulating GATAD2A expression.

Applications

Unspecified application

Species

Unspecified reactive species

Mi Zhang,Ling Wu,Xudong Wang,Jiang Chen
View all publications

Product promise

We are committed to supporting your work with high-quality reagents, and we're here for you every step of the way. In the unlikely event that one of our products does not perform as expected, you're protected by our Product Promise.
For full details, please see our Terms & Conditions

Please note: All products are 'FOR RESEARCH USE ONLY. NOT FOR USE IN DIAGNOSTIC OR THERAPEUTIC PROCEDURES'.

For licensing inquiries, please contact partnerships@abcam.com