JavaScript is disabled in your browser. Please enable JavaScript to view this website.
AB215260

Anti-GBA antibody [EPR5143(3)] - BSA and Azide free

  • BOND RX™ Validated
  • RabMAb
  • Recombinant
  • KO Validated
  • What is this?

Be the first to review this product! Submit a review

|

(1 Publication)

Rabbit Recombinant Monoclonal GBA antibody. Carrier free. Suitable for IHC-P, WB and reacts with Human, Rat samples. Cited in 1 publication.

View Alternative Names

GBA, GC, GLUC, GBA1, Lysosomal acid glucosylceramidase, Lysosomal acid GCase, Acid beta-glucosidase, Alglucerase, Beta-glucocerebrosidase, Beta-glucosylceramidase 1, Cholesterol glucosyltransferase, Cholesteryl-beta-glucosidase, D-glucosyl-N-acylsphingosine glucohydrolase, Glucosylceramidase beta 1, Imiglucerase, Lysosomal cholesterol glycosyltransferase, Lysosomal galactosylceramidase, Lysosomal glycosylceramidase, Beta-GC, SGTase

8 Images
Immunohistochemistry (Formalin/PFA-fixed paraffin-embedded sections) - Anti-GBA antibody [EPR5143(3)] - BSA and Azide free (AB215260)
  • IHC-P

Unknown

Immunohistochemistry (Formalin/PFA-fixed paraffin-embedded sections) - Anti-GBA antibody [EPR5143(3)] - BSA and Azide free (AB215260)

Clone EPR5143(3) (ab215260) has been successfully conjugated by Abcam. This image was generated using Anti-GBA antibody [EPR5143(3)] (Alexa Fluor® 488). Please refer to ab225151 for protocol details.

IHC image of GBA staining in a section of formalin-fixed paraffin-embedded normal Human Kidney*. The section was pre-treated using heat mediated antigen retrieval with Tris/EDTA buffer (pH9, epitope retrieval solution 2) for 20mins, performed on a Leica BOND. Non-specific protein-protein interactions were then blocked in TBS containing 0.025% (v/v) Triton X-100, 0.3M (w/v) glycine and 1% (w/v) BSA for 1h at room temperature. The section was then incubated overnight at +4°C in TBS containing 0.025% (v/v) Triton X-100 and 1% (w/v) BSA with ab225151 at 1/250 dilution (shown in green). Nuclear DNA was labelled with DAPI (shown in blue). The section was then mounted using Fluoromount®. Image was taken with a confocal microscope (Leica-Microsystems, TCS SP8). For other IHC staining systems (automated and non-automated), customers should optimize variable parameters such as antigen retrieval conditions, antibody concentrations and incubation times.

*Tissue obtained from the Human Research Tissue Bank, supported by the NIHR Cambridge Biomedical Research Centre.

Immunohistochemistry (Formalin/PFA-fixed paraffin-embedded sections) - Anti-GBA antibody [EPR5143(3)] - BSA and Azide free (AB215260)
  • IHC-P

Supplier Data

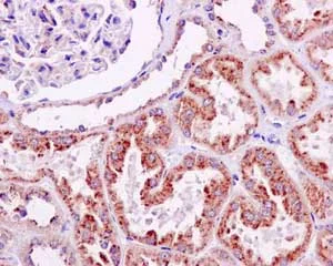
Immunohistochemistry (Formalin/PFA-fixed paraffin-embedded sections) - Anti-GBA antibody [EPR5143(3)] - BSA and Azide free (AB215260)

ab128879 staining GBA in Human kidney tissue sections by Immunohistochemistry (IHC-P - paraformaldehyde-fixed, paraffin-embedded sections). Tissue was fixed and paraffin-embedded, antigen retrieval was by heat mediation in Tris/EDTA buffer pH9. Samples were incubated with primary antibody (1/200). An undiluted HRP-conjugated anti-rabbit IgG was used as the secondary antibody. Tissue counterstained with Hematoxylin.

This data was developed using the same antibody clone in a different buffer formulation containing PBS, BSA, glycerol, and sodium azide (ab128879).

Immunohistochemistry (Formalin/PFA-fixed paraffin-embedded sections) - Anti-GBA antibody [EPR5143(3)] - BSA and Azide free (AB215260)
  • IHC-P

Unknown

Immunohistochemistry (Formalin/PFA-fixed paraffin-embedded sections) - Anti-GBA antibody [EPR5143(3)] - BSA and Azide free (AB215260)

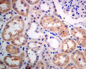
ab128879, unpurified, at a 1/100 dilution, staining GBA in paraffin embedded Human kidney tissue by Immunohistochemistry.

This data was developed using the same antibody clone in a different buffer formulation containing PBS, BSA, glycerol, and sodium azide (ab128879).

Perform heat mediated antigen retrieval before commencing with IHC staining protocol.

Immunohistochemistry (Formalin/PFA-fixed paraffin-embedded sections) - Anti-GBA antibody [EPR5143(3)] - BSA and Azide free (AB215260)
  • IHC-P

Unknown

Immunohistochemistry (Formalin/PFA-fixed paraffin-embedded sections) - Anti-GBA antibody [EPR5143(3)] - BSA and Azide free (AB215260)

Clone EPR5143(3) (ab215260) has been successfully conjugated by Abcam. This image was generated using Anti-GBA antibody [EPR5143(3)] (Alexa Fluor® 647). Please refer to ab225150 for protocol details.

IHC image of GBA staining in a section of formalin-fixed paraffin-embedded normal Human Kidney*. The section was pre-treated using heat mediated antigen retrieval with Tris/EDTA buffer (pH9, epitope retrieval solution 2) for 20mins, performed on a Leica BOND. Non-specific protein-protein interactions were then blocked in TBS containing 0.025% (v/v) Triton X-100, 0.3M (w/v) glycine and 1% (w/v) BSA for 1h at room temperature. The section was then incubated overnight at +4°C in TBS containing 0.025% (v/v) Triton X-100 and 1% (w/v) BSA with ab225150 at 1/2500 dilution (shown in red). Nuclear DNA was labelled with DAPI (shown in blue). The section was then mounted using Fluoromount®. Image was taken with a confocal microscope (Leica-Microsystems, TCS SP8). For other IHC staining systems (automated and non-automated), customers should optimize variable parameters such as antigen retrieval conditions, antibody concentrations and incubation times.

*Tissue obtained from the Human Research Tissue Bank, supported by the NIHR Cambridge Biomedical Research Centre.

Immunohistochemistry (Formalin/PFA-fixed paraffin-embedded sections) - Anti-GBA antibody [EPR5143(3)] - BSA and Azide free (AB215260)
  • IHC-P

Unknown

Immunohistochemistry (Formalin/PFA-fixed paraffin-embedded sections) - Anti-GBA antibody [EPR5143(3)] - BSA and Azide free (AB215260)

ab128879, unpurified, at a 1/100 dilution, staining GBA in paraffin embedded Human thyroid carcinoma tissue by Immunohistochemistry.

This data was developed using the same antibody clone in a different buffer formulation containing PBS, BSA, glycerol, and sodium azide (ab128879).

Perform heat mediated antigen retrieval before commencing with IHC staining protocol.

Western blot - Anti-GBA antibody [EPR5143(3)] - BSA and Azide free (AB215260)
  • WB

Lab

Western blot - Anti-GBA antibody [EPR5143(3)] - BSA and Azide free (AB215260)

This data was developed using the same antibody clone in a different buffer formulation (ab128879).

Lanes 1 - 4 : Merged signal (red and green). Green - ab128879 observed at 60 kDa. Red - loading control, ab8245, observed at 37 kDa.

ab128879 was shown to specifically react with GBA in wild-type HAP1 cells as well as additional cross reactive bands. No bands were observed when GBA knockout samples were used. Wild-type and GBA knockout samples were subjected to SDS-PAGE. ab128879 and ab8245 (Mouse anti GAPDH loading control) were incubated overnight at 4°C at 1/1000 dilution and 1/10,000 dilution respectively. Blots were developed with 800CW Goat anti-Rabbit and 680CW Goat anti-Mouse secondary antibodies at 1/10,000 dilution for 1 hour at room temperature before imaging.

All lanes:

Western blot - Anti-GBA antibody [EPR5143(3)] - BSA and Azide free (ab215260) at 1/1000 dilution

Lane 1:

Wild-type HAP1 whole cell lysate at 20 µg

Lane 2:

GBA knockout HAP1 whole cell lysate at 20 µg

Lane 3:

MCF7 whole cell lysate at 20 µg

Lane 4:

HepG2 whole cell lysate at 20 µg

Predicted band size: 60 kDa

false

Western blot - Anti-GBA antibody [EPR5143(3)] - BSA and Azide free (AB215260)
  • WB

Lab

Western blot - Anti-GBA antibody [EPR5143(3)] - BSA and Azide free (AB215260)

This data was developed using the same antibody clone in a different buffer formulation (ab128879).

Lanes 1- 2 : Merged signal (red and green). Green - ab128879 observed at 60 kDa. Red - Anti-GAPDH antibody [6C5] - Loading Control (ab8245) observed at 37 kDa.

ab128879 was shown to react with GBA in wild-type HeLa cells in western blot. Loss of signal was observed when knockout cell line ab265038 (knockout cell lysate ab256929) was used. Wild-type HeLa and GBA knockout HeLa cell lysates were subjected to SDS-PAGE. Membrane was blocked for 1 hour at room temperature in 0.1% TBST with 3% non-fat dried milk. ab128879 and Anti-GAPDH antibody [6C5] - Loading Control (ab8245) overnight at 4°C at a 1 in 1000 dilution and a 1 in 20000 dilution respectively. Blots were developed with Goat anti-Rabbit IgG H&L (IRDye®800CW) preadsorbed (ab216773) and Goat anti-Mouse IgG H&L (IRDye®680RD) preadsorbed (ab216776) secondary antibodies at 1 in 20000 dilution for 1 hour at room temperature before imaging.

All lanes:

Western blot - Anti-GBA antibody [EPR5143(3)] (<a href='/en-us/products/primary-antibodies/gba-antibody-epr51433-ab128879'>ab128879</a>) at 1/1000 dilution

Lane 1:

Wild-type HeLa cell lysate at 20 µg

Lane 2:

GBA knockout HeLa cell lysate at 20 µg

Lane 2:

Western blot - Human GBA knockout HeLa cell line (<a href='/en-us/products/cell-lines/human-gba-knockout-hela-cell-line-ab265038'>ab265038</a>)

Predicted band size: 60 kDa

Observed band size: 60 kDa

false

OI-RD Scanning - Anti-GBA antibody [EPR5143(3)] - BSA and Azide free (AB215260)
  • OI-RD Scanning

Unknown

OI-RD Scanning - Anti-GBA antibody [EPR5143(3)] - BSA and Azide free (AB215260)

We have systematically measured KD (the equilibrium dissociation constant between the antibody and its antigen), of more than 840 recombinant antibodies to assess not only their individual KD values but also to see the average affinity of antibody. Based on the comparison with published literature values for mouse monoclonal antibodies, Recombinant antibodies appear to be on average 1-2 order of magnitude higher affinity.

Key facts

Host species

Rabbit

Clonality

Monoclonal

Clone number

EPR5143(3)

Isotype

IgG

Carrier free

Yes

Reacts with

Rat, Human

Applications

IHC-P, WB

applications

Immunogen

The exact immunogen used to generate this antibody is proprietary information.

Specificity

The lab re-tested the antibody in mouse samples without obtaining satisfactory results (tissue specific positive and negative results), therefore we are not able to guarantee the antibody in this species. Please contact our Scientific Support if you have any feedback in mouse.

Reactivity data

{ "title": "Reactivity Data", "filters": { "stats": ["", "Species", "Dilution Info", "Notes"], "tabs": { "all-applications": {"fullname" : "All Applications", "shortname": "All Applications"}, "IHCP" : {"fullname" : "Immunohistochemistry (Formalin/PFA-fixed paraffin-embedded sections)", "shortname":"IHC-P"}, "IP" : {"fullname" : "Immunoprecipitation", "shortname":"IP"}, "FlowCyt" : {"fullname" : "Flow Cytometry", "shortname":"Flow Cyt"}, "WB" : {"fullname" : "Western blot", "shortname":"WB"} }, "product-promise": { "all": "all", "testedAndGuaranteed": "tested", "guaranteed": "expected", "predicted": "predicted", "notRecommended": "not-recommended" } }, "values": { "Human": { "IHCP-species-checked": "testedAndGuaranteed", "IHCP-species-dilution-info": "", "IHCP-species-notes": "<p></p>", "IP-species-checked": "notRecommended", "IP-species-dilution-info": "", "IP-species-notes": "<p></p>", "FlowCyt-species-checked": "notRecommended", "FlowCyt-species-dilution-info": "", "FlowCyt-species-notes": "<p></p>", "WB-species-checked": "testedAndGuaranteed", "WB-species-dilution-info": "", "WB-species-notes": "<p></p>" }, "Rat": { "IHCP-species-checked": "guaranteed", "IHCP-species-dilution-info": "", "IHCP-species-notes": "", "IP-species-checked": "notRecommended", "IP-species-dilution-info": "", "IP-species-notes": "<p></p>", "FlowCyt-species-checked": "notRecommended", "FlowCyt-species-dilution-info": "", "FlowCyt-species-notes": "<p></p>", "WB-species-checked": "testedAndGuaranteed", "WB-species-dilution-info": "", "WB-species-notes": "<p></p>" } } }

Product details

ab215260 is the carrier-free version of ab128879.

Patented technology
Our RabMAb® technology is a patented hybridoma-based technology for making rabbit monoclonal antibodies. For details on our patents, please refer to RabMAb® patents.

What are the advantages of a recombinant monoclonal antibody?
This product is a recombinant monoclonal antibody, which offers several advantages including:

  • - High batch-to-batch consistency and reproducibility
  • - Improved sensitivity and specificity
  • - Long-term security of supply
  • - Animal-free batch production

For more information, read more on recombinant antibodies.

Conjugation ready
Our carrier-free antibodies are typically supplied in a PBS-only formulation, purified and free of BSA, sodium azide and glycerol. This conjugation-ready format is designed for use with fluorochromes, metal isotopes, oligonucleotides, and enzymes, which makes them ideal for antibody labelling, functional and cell-based assays, flow-based assays (e.g. mass cytometry) and Multiplex Imaging applications.

Use our conjugation kits for antibody conjugates that are ready-to-use in as little as 20 minutes with 1 minute hands-on-time and 100% antibody recovery: available for fluorescent dyes, HRP, biotin and gold.

Compatibility
This product is compatible with the Maxpar® Antibody Labeling Kit from Fluidigm, without the need for antibody preparation. Maxpar® is a trademark of Fluidigm Canada Inc.

Properties and storage information

Form
Liquid
Purification technique
Affinity purification Protein A
Storage buffer
pH: 7.2 - 7.4 Constituents: PBS
Shipped at conditions
Blue Ice
Appropriate short-term storage conditions
+4°C
Appropriate long-term storage conditions
+4°C
Storage information
Do Not Freeze

Supplementary information

This supplementary information is collated from multiple sources and compiled automatically.

GBA also known as glucosylceramidase is a lysosomal enzyme with a molecular mass of approximately 59 kDa. This enzyme breaks down glucosylceramide into glucose and ceramide. GBA is expressed predominantly in tissues with high metabolic activities such as the brain liver and spleen. Its function relies on its catalytic activity where substrates bind to its active site enabling the hydrolysis process necessary for maintaining cellular metabolism.
Biological function summary

GBA plays an important role in sphingolipid metabolism. It participates in the degradation of glycolipids within the lysosome contributing to lipid recycling. It acts independently rather than as a part of a major enzymatic complex. Through its role in degrading glucosylceramide GBA influences cellular homeostasis and bioenergetics ensuring balance in neural and systemic lipid levels.

Pathways

GBA’s enzymatic functions are integral to the glycosphingolipid metabolic pathway. It is involved in the downstream steps of the lysosomal degradation of glycosphingolipids. The pathway operates alongside other important proteins such as beta-glucosidase and CERT-related transfer proteins all of which contribute to membrane lipid organization and signal transduction processes.

GBA mutations are linked with Gaucher disease and Parkinson’s disease. In Gaucher disease deficient GBA activity leads to substrate accumulation resulting in hepatosplenomegaly and other systemic symptoms. Reduced GBA activity is also associated with increased alpha-synuclein aggregation in Parkinson’s disease implicating it in the pathogenesis of neurodegenerative disorders. The enzyme’s function in these diseases highlights its role in maintaining cellular equilibrium and signaling pathways.

Product protocols

For this product, it's our understanding that no specific protocols are required. You can visit:

Target data

Glucosylceramidase that catalyzes, within the lysosomal compartment, the hydrolysis of glucosylceramides/GlcCers (such as beta-D-glucosyl-(1<->1')-N-acylsphing-4-enine) into free ceramides (such as N-acylsphing-4-enine) and glucose (PubMed : 15916907, PubMed : 24211208, PubMed : 32144204, PubMed : 39395789, PubMed : 9201993). Plays a central role in the degradation of complex lipids and the turnover of cellular membranes (PubMed : 27378698). Through the production of ceramides, participates in the PKC-activated salvage pathway of ceramide formation (PubMed : 19279011). Catalyzes the glucosylation of cholesterol, through a transglucosylation reaction where glucose is transferred from GlcCer to cholesterol (PubMed : 24211208, PubMed : 26724485, PubMed : 32144204). GlcCer containing mono-unsaturated fatty acids (such as beta-D-glucosyl-N-(9Z-octadecenoyl)-sphing-4-enine) are preferred as glucose donors for cholesterol glucosylation when compared with GlcCer containing same chain length of saturated fatty acids (such as beta-D-glucosyl-N-octadecanoyl-sphing-4-enine) (PubMed : 24211208). Under specific conditions, may alternatively catalyze the reverse reaction, transferring glucose from cholesteryl 3-beta-D-glucoside to ceramide (Probable) (PubMed : 26724485). Can also hydrolyze cholesteryl 3-beta-D-glucoside producing glucose and cholesterol (PubMed : 24211208, PubMed : 26724485, PubMed : 39395789). Catalyzes the hydrolysis of galactosylceramides/GalCers (such as beta-D-galactosyl-(1<->1')-N-acylsphing-4-enine), as well as the transfer of galactose between GalCers and cholesterol in vitro, but with lower activity than with GlcCers (PubMed : 32144204). Contrary to GlcCer and GalCer, xylosylceramide/XylCer (such as beta-D-xyosyl-(1<->1')-N-acylsphing-4-enine) is not a good substrate for hydrolysis, however it is a good xylose donor for transxylosylation activity to form cholesteryl 3-beta-D-xyloside (PubMed : 33361282). Can also metabolize plant glycosyl phytosterols such as glucosylstigmasterol (PubMed : 39395789).
See full target information GBA1

Publications (1)

Recent publications for all applications. Explore the full list and refine your search

International journal of molecular sciences 23: PubMed35806053

2022

Synthesis and Biological Evaluation of Small Molecules as Potential Anticancer Multitarget Agents.

Applications

Unspecified application

Species

Unspecified reactive species

Alberto Pla-López,Raquel Castillo,Rocío Cejudo-Marín,Olaya García-Pedrero,Mariam Bakir-Laso,Eva Falomir,Miguel Carda
View all publications

Product promise

We are committed to supporting your work with high-quality reagents, and we're here for you every step of the way. In the unlikely event that one of our products does not perform as expected, you're protected by our Product Promise.
For full details, please see our Terms & Conditions

Please note: All products are 'FOR RESEARCH USE ONLY. NOT FOR USE IN DIAGNOSTIC OR THERAPEUTIC PROCEDURES'.

For licensing inquiries, please contact partnerships@abcam.com