JavaScript is disabled in your browser. Please enable JavaScript to view this website.
AB302608

Anti-GBA (mutated E326K) antibody [EPR24900-273] (BSA and Azide free)

Be the first to review this product! Submit a review

|

(0 Publication)

Rabbit Recombinant Monoclonal GBA mutated E326K antibody. Carrier free. Suitable for Dot, IP, Flow Cyt (Intra), ICC/IF, IHC-P, WB and reacts with Human samples.

View Alternative Names

GBA, GC, GLUC, GBA1, Lysosomal acid glucosylceramidase, Lysosomal acid GCase, Acid beta-glucosidase, Alglucerase, Beta-glucocerebrosidase, Beta-glucosylceramidase 1, Cholesterol glucosyltransferase, Cholesteryl-beta-glucosidase, D-glucosyl-N-acylsphingosine glucohydrolase, Glucosylceramidase beta 1, Imiglucerase, Lysosomal cholesterol glycosyltransferase, Lysosomal galactosylceramidase, Lysosomal glycosylceramidase, Beta-GC, SGTase

6 Images
Immunohistochemistry (Formalin/PFA-fixed paraffin-embedded sections) - Anti-GBA (mutated E326K) antibody [EPR24900-273] (BSA and Azide free) (AB302608)
  • IHC-P

Supplier Data

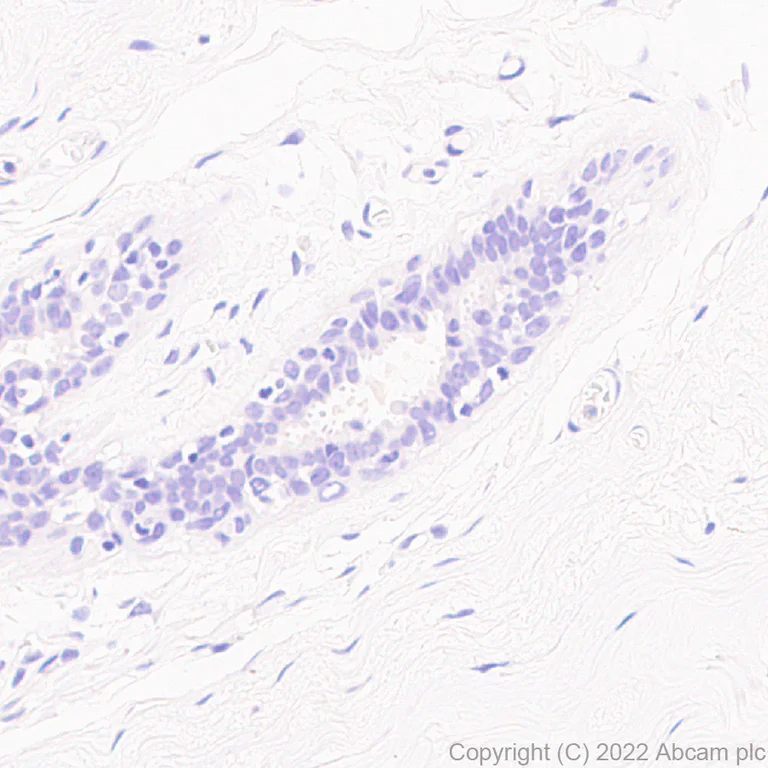
Immunohistochemistry (Formalin/PFA-fixed paraffin-embedded sections) - Anti-GBA (mutated E326K) antibody [EPR24900-273] (BSA and Azide free) (AB302608)

This data was developed using ab302607, the same antibody clone in a different buffer formulation. Immunohistochemical analysis of paraffin-embedded Human breast tissue labeling GBA(mutated E326K) with ab302607 at 1/5000 (0.094 ug/ml) followed by a ready to use LeicaDS9800 (Bond™ Polymer Refine Detection) was used. Negative control : No staining on human breast. The section was incubated with ab302607 for 30 mins at room temperature.The immunostaining was performed on a Leica Biosystems BOND® RX instrument Counterstained with Hematoxylin. Secondary antibody only control : Secondary antibody is a ready to use LeicaDS9800 (Bond™ Polymer Refine Detection) was used. Heat mediated antigen retrieval with Tris-EDTA buffer (pH 9.0, epitope retrieval solution2) for 20 mins

Immunohistochemistry (Formalin/PFA-fixed paraffin-embedded sections) - Anti-GBA (mutated E326K) antibody [EPR24900-273] (BSA and Azide free) (AB302608)
  • IHC-P

Supplier Data

Immunohistochemistry (Formalin/PFA-fixed paraffin-embedded sections) - Anti-GBA (mutated E326K) antibody [EPR24900-273] (BSA and Azide free) (AB302608)

This data was developed using ab302607, the same antibody clone in a different buffer formulation. Immunohistochemical analysis of paraffin-embedded A HEK-293T cells tr tissue labeling GBA(mutated E326K) with ab302607 at 1/5000 (0.094 ug/ml) followed by a ready to use LeicaDS9800 (Bond™ Polymer Refine Detection) was used. Cytoplasmic staining on HEK-293T cells transfected with a human GBA E365K expression vector containing a myc-His tag cell pallet (image A). No staining on HEK-293T cells transfected with a human WT GBA expression vector containing a myc-His tag cell pallet (image B) and 293T transfected with an empty vector cell pallet (image C). The section was incubated with ab302607 for 30 mins at room temperature.The immunostaining was performed on a Leica Biosystems BOND® RX instrument Counterstained with Hematoxylin. Secondary antibody only control : Secondary antibody is a ready to use LeicaDS9800 (Bond™ Polymer Refine Detection) was used. Heat mediated antigen retrieval with Tris-EDTA buffer (pH 9.0, epitope retrieval solution2) for 20 mins

Immunocytochemistry/ Immunofluorescence - Anti-GBA (mutated E326K) antibody [EPR24900-273] (BSA and Azide free) (AB302608)
  • ICC/IF

Supplier Data

Immunocytochemistry/ Immunofluorescence - Anti-GBA (mutated E326K) antibody [EPR24900-273] (BSA and Azide free) (AB302608)

This data was developed using ab302607, the same antibody clone in a different buffer formulation. Immunofluorescent analysis of 4% Paraformaldehyde-fixed, 0.1% TritonX-100 permeabilized HEK-293T (human embryonic kidney epithelial cell) cells labelling GBA(mutated E326K) with ab302607 at 1/1000 (0.472 ug/ml) dilution, followed by ab150081 Goat Anti-Rabbit IgG H&L (Alexa Fluor® 488) preadsorbed antibody at 1/1000 2 ug/mL dilution (Green). Confocal image showing cytoplasmic staining in HEK-293T cells transfected with a human GBA E365K expression vector containing a Myc tag and no staining in HEK-293T cells transfected with a human GBA expression vector containing a Myc tag is observed. Myc-Tag Mouse mAb (Alexa Fluor® 647) was used to counterstain tubulin at 1/100 0.38ug/ml dilution (Red). The Nuclear counterstain was DAPI (Blue). Secondary antibody only control : Secondary antibody is ab150081 Goat Anti-Rabbit IgG H&L (Alexa Fluor® 488) preadsorbed at 1/1000 2 ug/mL dilution.

Flow Cytometry (Intracellular) - Anti-GBA (mutated E326K) antibody [EPR24900-273] (BSA and Azide free) (AB302608)
  • Flow Cyt (Intra)

Supplier Data

Flow Cytometry (Intracellular) - Anti-GBA (mutated E326K) antibody [EPR24900-273] (BSA and Azide free) (AB302608)

This data was developed using ab302607, the same antibody clone in a different buffer formulation. Flow cytometric analysis of 4% paraformaldehyde fixed 90% methanol permeabilized HEK-293T (human embryonic kidney) cells transfected with a human GBA (WT) expression vector containing a myc-his tag (Left) / HEK-293T transfected with a human GBA (mutated E326K) expression vector containing a myc-his tag (Right) cells labelling GBA(mutated E326K) with ab302607 at 1/500 dilution (0.1ug)/ Left and Right (Red) compared with a isotype control and an unlabelled control (cells without incubation with primary antibody and secondary antibody) (Blue). A Goat Anti-Rabbit IgG (Alexa Fluor® 488, ab150081) at 1/2000 dilution was used as the secondary antibody.

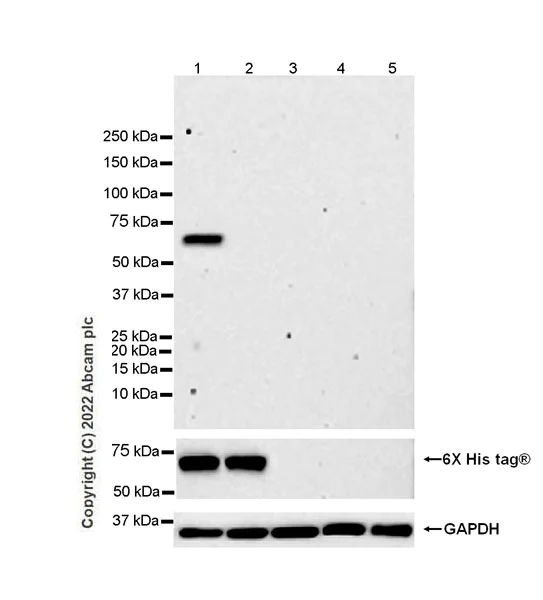
Western blot - Anti-GBA (mutated E326K) antibody [EPR24900-273] (BSA and Azide free) (AB302608)
  • WB

Supplier Data

Western blot - Anti-GBA (mutated E326K) antibody [EPR24900-273] (BSA and Azide free) (AB302608)

This data was developed using ab302607, the same antibody clone in a different buffer Blocking and diluting buffer and concentration : 5% NFDM/TBST Negative in GBA (WT) transfected cells and GBA (WT)-expressing tissues. Exposure time : 3 minutes

All lanes:

Western blot - Anti-GBA (mutated E326K) antibody [EPR24900-273] (<a href='/en-us/products/primary-antibodies/gba-mutated-e326k-antibody-epr24900-273-ab302607'>ab302607</a>) at 1/1000 dilution

Lane 1:

HEK-293T transfected with a human GBA (E326K mutation) expression vector containi a His-tag, whole cell lysate 20 µg

Lane 2:

HEK-293T transfected with a human GBA (WT) expression vector containi a His-tag, whole cell lysate 20 µg

Lane 3:

Human spleen tissue lysate 20 µg

Lane 4:

Human fetal brain tissue lysate 20 µg

Lane 5:

Human adrenal gland tissue lysate 20 µg

Secondary

All lanes:

Western blot - Goat Anti-Rabbit IgG H&L (HRP) (<a href='/en-us/products/secondary-antibodies/goat-rabbit-igg-h-l-hrp-ab97051'>ab97051</a>) at 1/100000 dilution

Observed band size: 60 kDa

false

Exposure time: 3min

Dot Blot - Anti-GBA (mutated E326K) antibody [EPR24900-273] (BSA and Azide free) (AB302608)
  • Dot

Supplier Data

Dot Blot - Anti-GBA (mutated E326K) antibody [EPR24900-273] (BSA and Azide free) (AB302608)

This data was developed using ab302607, the same antibody clone in a different buffer formulation. Dot blot analysis of GBA(mutated E326K) using ab302607 at 1 : 1000 (0.472 ug/ml) followed by a Goat Anti-Rabbit IgG, (H+L), Peroxidase conjugated (ab97051) at 1 : 100,000 dilution. Exposure time : 3 minutes Blocking and diluting buffer and concentration : 5% NFDM/TBST

Key facts

Host species

Rabbit

Clonality

Monoclonal

Clone number

EPR24900-273

Isotype

IgG

Carrier free

Yes

Reacts with

Human

Applications

IP, WB, IHC-P, Flow Cyt (Intra), ICC/IF, Dot

applications

Immunogen

The exact immunogen used to generate this antibody is proprietary information.

Reactivity data

{ "title": "Reactivity Data", "filters": { "stats": ["", "Species", "Dilution Info", "Notes"], "tabs": { "all-applications": {"fullname" : "All Applications", "shortname": "All Applications"}, "Dot" : {"fullname" : "Dot Blot", "shortname":"Dot"}, "IP" : {"fullname" : "Immunoprecipitation", "shortname":"IP"}, "FlowCytIntra" : {"fullname" : "Flow Cytometry (Intracellular)", "shortname":"Flow Cyt (Intra)"}, "ICCIF" : {"fullname" : "Immunocytochemistry/ Immunofluorescence", "shortname":"ICC/IF"}, "IHCP" : {"fullname" : "Immunohistochemistry (Formalin/PFA-fixed paraffin-embedded sections)", "shortname":"IHC-P"}, "WB" : {"fullname" : "Western blot", "shortname":"WB"} }, "product-promise": { "all": "all", "testedAndGuaranteed": "tested", "guaranteed": "expected", "predicted": "predicted", "notRecommended": "not-recommended" } }, "values": { "Human": { "Dot-species-checked": "testedAndGuaranteed", "Dot-species-dilution-info": "", "Dot-species-notes": "<p></p>", "IP-species-checked": "testedAndGuaranteed", "IP-species-dilution-info": "", "IP-species-notes": "<p></p>", "FlowCytIntra-species-checked": "testedAndGuaranteed", "FlowCytIntra-species-dilution-info": "", "FlowCytIntra-species-notes": "<p></p>", "ICCIF-species-checked": "testedAndGuaranteed", "ICCIF-species-dilution-info": "", "ICCIF-species-notes": "<p></p>", "IHCP-species-checked": "testedAndGuaranteed", "IHCP-species-dilution-info": "", "IHCP-species-notes": "<p></p>", "WB-species-checked": "testedAndGuaranteed", "WB-species-dilution-info": "", "WB-species-notes": "<p></p>" } } }

Product details

Want a custom formulation?
This antibody clone is manufactured by Abcam. If you require a custom buffer formulation or conjugation for your experiments, please contact orders@abcam.com

Patented technology
Our RabMAb® technology is a patented hybridoma-based technology for making rabbit monoclonal antibodies. For details on our patents, please refer to RabMAb® patents.

Conjugation ready
Our carrier-free antibodies are typically supplied in a PBS-only formulation, purified and free of BSA, sodium azide and glycerol. This conjugation-ready format is designed for use with fluorochromes, metal isotopes, oligonucleotides, and enzymes, which makes them ideal for antibody labelling, functional and cell-based assays, flow-based assays (e.g. mass cytometry) and Multiplex Imaging applications.

Use our conjugation kits for antibody conjugates that are ready-to-use in as little as 20 minutes with 1 minute hands-on-time and 100% antibody recovery: available for fluorescent dyes, HRP, biotin and gold.

Compatibility
This product is compatible with the Maxpar® Antibody Labeling Kit from Fluidigm, without the need for antibody preparation. Maxpar® is a trademark of Fluidigm Canada Inc.

What are the advantages of a recombinant monoclonal antibody?
This product is a recombinant monoclonal antibody, which offers several advantages including:

  • - High batch-to-batch consistency and reproducibility
  • - Improved sensitivity and specificity
  • - Long-term security of supply
  • - Animal-free batch production

For more information, read more on recombinant antibodies.

Properties and storage information

Form
Liquid
Purification technique
Affinity purification Protein A
Storage buffer
pH: 7.2 - 7.4 Constituents: PBS
Shipped at conditions
Blue Ice
Appropriate short-term storage conditions
+4°C
Appropriate long-term storage conditions
+4°C
Storage information
Do Not Freeze

Supplementary information

This supplementary information is collated from multiple sources and compiled automatically.

GBA also known as glucosylceramidase is a lysosomal enzyme with a molecular mass of approximately 59 kDa. This enzyme breaks down glucosylceramide into glucose and ceramide. GBA is expressed predominantly in tissues with high metabolic activities such as the brain liver and spleen. Its function relies on its catalytic activity where substrates bind to its active site enabling the hydrolysis process necessary for maintaining cellular metabolism.
Biological function summary

GBA plays an important role in sphingolipid metabolism. It participates in the degradation of glycolipids within the lysosome contributing to lipid recycling. It acts independently rather than as a part of a major enzymatic complex. Through its role in degrading glucosylceramide GBA influences cellular homeostasis and bioenergetics ensuring balance in neural and systemic lipid levels.

Pathways

GBA’s enzymatic functions are integral to the glycosphingolipid metabolic pathway. It is involved in the downstream steps of the lysosomal degradation of glycosphingolipids. The pathway operates alongside other important proteins such as beta-glucosidase and CERT-related transfer proteins all of which contribute to membrane lipid organization and signal transduction processes.

GBA mutations are linked with Gaucher disease and Parkinson’s disease. In Gaucher disease deficient GBA activity leads to substrate accumulation resulting in hepatosplenomegaly and other systemic symptoms. Reduced GBA activity is also associated with increased alpha-synuclein aggregation in Parkinson’s disease implicating it in the pathogenesis of neurodegenerative disorders. The enzyme’s function in these diseases highlights its role in maintaining cellular equilibrium and signaling pathways.

Product protocols

For this product, it's our understanding that no specific protocols are required. You can visit:

Target data

Glucosylceramidase that catalyzes, within the lysosomal compartment, the hydrolysis of glucosylceramides/GlcCers (such as beta-D-glucosyl-(1<->1')-N-acylsphing-4-enine) into free ceramides (such as N-acylsphing-4-enine) and glucose (PubMed : 15916907, PubMed : 24211208, PubMed : 32144204, PubMed : 9201993). Plays a central role in the degradation of complex lipids and the turnover of cellular membranes (PubMed : 27378698). Through the production of ceramides, participates in the PKC-activated salvage pathway of ceramide formation (PubMed : 19279011). Catalyzes the glucosylation of cholesterol, through a transglucosylation reaction where glucose is transferred from GlcCer to cholesterol (PubMed : 24211208, PubMed : 26724485, PubMed : 32144204). GlcCer containing mono-unsaturated fatty acids (such as beta-D-glucosyl-N-(9Z-octadecenoyl)-sphing-4-enine) are preferred as glucose donors for cholesterol glucosylation when compared with GlcCer containing same chain length of saturated fatty acids (such as beta-D-glucosyl-N-octadecanoyl-sphing-4-enine) (PubMed : 24211208). Under specific conditions, may alternatively catalyze the reverse reaction, transferring glucose from cholesteryl 3-beta-D-glucoside to ceramide (Probable) (PubMed : 26724485). Can also hydrolyze cholesteryl 3-beta-D-glucoside producing glucose and cholesterol (PubMed : 24211208, PubMed : 26724485). Catalyzes the hydrolysis of galactosylceramides/GalCers (such as beta-D-galactosyl-(1<->1')-N-acylsphing-4-enine), as well as the transfer of galactose between GalCers and cholesterol in vitro, but with lower activity than with GlcCers (PubMed : 32144204). Contrary to GlcCer and GalCer, xylosylceramide/XylCer (such as beta-D-xyosyl-(1<->1')-N-acylsphing-4-enine) is not a good substrate for hydrolysis, however it is a good xylose donor for transxylosylation activity to form cholesteryl 3-beta-D-xyloside (PubMed : 33361282).
See full target information GBA1 mutated E326K

Product promise

We are committed to supporting your work with high-quality reagents, and we're here for you every step of the way. In the unlikely event that one of our products does not perform as expected, you're protected by our Product Promise.
For full details, please see our Terms & Conditions

Please note: All products are 'FOR RESEARCH USE ONLY. NOT FOR USE IN DIAGNOSTIC OR THERAPEUTIC PROCEDURES'.

For licensing inquiries, please contact partnerships@abcam.com