JavaScript is disabled in your browser. Please enable JavaScript to view this website.
AB255787

Anti-GBA2 antibody [4A12] - BSA and Azide free

Be the first to review this product! Submit a review

|

(0 Publication)

Rat Recombinant Monoclonal GBA2 antibody. Carrier free. Suitable for IHC-P and reacts with Mouse samples.

View Alternative Names

Kiaa1605, Gba2, Non-lysosomal glucosylceramidase, NLGase, Beta-glucocerebrosidase 2, Bile acid beta-glucosidase GBA2, Bile acid glucosyl transferase GBA2, Cholesterol glucosyltransferase GBA2, Cholesteryl-beta-glucosidase GBA2, Glucosylceramidase 2, Non-lysosomal cholesterol glycosyltransferase, Non-lysosomal galactosylceramidase, Non-lysosomal glycosylceramidase, Beta-glucosidase 2

2 Images
Immunohistochemistry (Formalin/PFA-fixed paraffin-embedded sections) - Anti-GBA2 antibody [4A12] - BSA and Azide free (AB255787)
  • IHC-P

Supplier Data

Immunohistochemistry (Formalin/PFA-fixed paraffin-embedded sections) - Anti-GBA2 antibody [4A12] - BSA and Azide free (AB255787)

Immunohistochemical analysis of paraffin-embedded mouse testis tissue labeling GBA2 with ab252831 at 0.023μg/ml, followed by ready to use Goat Anti-Rat IgG H&L (HRP polymer) (ab214882). Membranous staining on mouse testis is observed. Counterstained with hematoxylin.

Secondary antibody only control : Used PBS instead of primary antibody, followed by ready to use secondary.

Heat mediated antigen retrieval using ab93684 (Tris/EDTA buffer, pH 9.0).

This data was developed using the same antibody clone in a different buffer formulation containing PBS, BSA, glycerol, and sodium azide (ab252831).

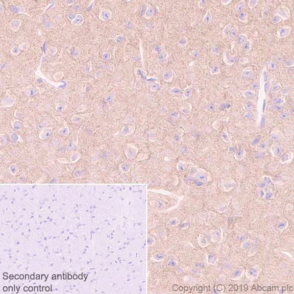
Immunohistochemistry (Formalin/PFA-fixed paraffin-embedded sections) - Anti-GBA2 antibody [4A12] - BSA and Azide free (AB255787)
  • IHC-P

Supplier Data

Immunohistochemistry (Formalin/PFA-fixed paraffin-embedded sections) - Anti-GBA2 antibody [4A12] - BSA and Azide free (AB255787)

Immunohistochemical analysis of paraffin-embedded mouse cerebrum tissue labeling GBA2 with ab252831 at 0.023μg/ml, followed by ready to use Goat Anti-Rat IgG H&L (HRP polymer) (ab214882). Positive staining on mouse cerebrum is observed. Counterstained with hematoxylin.

Secondary antibody only control : Used PBS instead of primary antibody, followed by ready to use secondary.

Heat mediated antigen retrieval using ab93684 (Tris/EDTA buffer, pH 9.0).

This data was developed using the same antibody clone in a different buffer formulation containing PBS, BSA, glycerol, and sodium azide (ab252831).

Key facts

Host species

Rat

Clonality

Monoclonal

Clone number

4A12

Isotype

IgG1

Carrier free

Yes

Reacts with

Mouse

Applications

IHC-P

applications

Immunogen

The exact immunogen used to generate this antibody is proprietary information.

Reactivity data

{ "title": "Reactivity Data", "filters": { "stats": ["", "Species", "Dilution Info", "Notes"], "tabs": { "all-applications": {"fullname" : "All Applications", "shortname": "All Applications"}, "ICCIF" : {"fullname" : "Immunocytochemistry/ Immunofluorescence", "shortname":"ICC/IF"}, "IHCFr" : {"fullname" : "Immunohistochemistry (Frozen sections)", "shortname":"IHC-Fr"}, "IHCP" : {"fullname" : "Immunohistochemistry (Formalin/PFA-fixed paraffin-embedded sections)", "shortname":"IHC-P"} }, "product-promise": { "all": "all", "testedAndGuaranteed": "tested", "guaranteed": "expected", "predicted": "predicted", "notRecommended": "not-recommended" } }, "values": { "Mouse": { "ICCIF-species-checked": "notRecommended", "ICCIF-species-dilution-info": "", "ICCIF-species-notes": "<p></p>", "IHCFr-species-checked": "notRecommended", "IHCFr-species-dilution-info": "", "IHCFr-species-notes": "<p></p>", "IHCP-species-checked": "testedAndGuaranteed", "IHCP-species-dilution-info": "0.023 µg/mL", "IHCP-species-notes": "<p>Heat mediated antigen retrieval using <a href='/en-us/products/buffers/antigen-retrieval-buffer-100x-tris-edta-buffer-ph-90-ab93684'>ab93684</a>.</p>" } } }

Product details

ab255787 is the carrier-free version of ab252831.

What are the advantages of a recombinant monoclonal antibody?
This product is a recombinant monoclonal antibody, which offers several advantages including:

  • - High batch-to-batch consistency and reproducibility
  • - Improved sensitivity and specificity
  • - Long-term security of supply
  • - Animal-free batch production

For more information, read more on recombinant antibodies.

Want a custom formulation?
This antibody clone is manufactured by Abcam. If you require a custom buffer formulation or conjugation for your experiments, please contact orders@abcam.com

Conjugation ready
Our carrier-free antibodies are typically supplied in a PBS-only formulation, purified and free of BSA, sodium azide and glycerol. This conjugation-ready format is designed for use with fluorochromes, metal isotopes, oligonucleotides, and enzymes, which makes them ideal for antibody labelling, functional and cell-based assays, flow-based assays (e.g. mass cytometry) and Multiplex Imaging applications.

Use our conjugation kits for antibody conjugates that are ready-to-use in as little as 20 minutes with 1 minute hands-on-time and 100% antibody recovery: available for fluorescent dyes, HRP, biotin and gold.

Compatibility
This product is compatible with the Maxpar® Antibody Labeling Kit from Fluidigm, without the need for antibody preparation. Maxpar® is a trademark of Fluidigm Canada Inc.

Properties and storage information

Form
Liquid
Purification technique
Affinity purification Protein A
Storage buffer
pH: 7.2 - 7.4 Constituents: PBS
Shipped at conditions
Blue Ice
Appropriate short-term storage conditions
+4°C
Appropriate long-term storage conditions
+4°C
Storage information
Do Not Freeze

Supplementary information

This supplementary information is collated from multiple sources and compiled automatically.

GBA2 also known as non-lysosomal glucosylceramidase is an enzyme responsible for hydrolyzing glucosylceramide into glucose and ceramide. With a molecular mass approximately 118 kDa GBA2 localizes in the endoplasmic reticulum and the cytosol. It is widely expressed in various tissues including the liver brain and testis indicating its diverse physiological roles. Unlike GBA1 which functions in lysosomal degradation GBA2 operates outside lysosomes.
Biological function summary

GBA2 facilitates the metabolism of glycosphingolipids. It functions as part of lipid homeostasis ensuring the balance of ceramide levels. This enzyme plays a role in maintaining cellular functions that require precise lipid composition. Although not characterized as part of a larger complex GBA2 significantly impacts membrane dynamics and cellular signaling processes.

Pathways

GBA2 is integral to the glycosphingolipid metabolism pathway impacting cell signaling and membrane structure. Its activity influences sphingolipid metabolism connecting it with the sphingomyelinase pathway. In this context it relates to enzymes like ceramidases and sphingomyelinases which also contribute to sphingolipid breakdown and ceramide regulation.

Research has associated GBA2 with conditions such as hereditary spastic paraplegia and Niemann-Pick disease type C. Mutations or dysregulation of GBA2 can disturb lipid metabolism leading to neurological impairments observed in these disorders. Connections between GBA2 and other proteins such as NPC1 which is involved in cholesterol transport highlight its relevance in complex metabolic disorders.

Product protocols

For this product, it's our understanding that no specific protocols are required. You can visit:

Target data

Non-lysosomal glucosylceramidase that catalyzes the hydrolysis of glucosylceramides/GlcCers (such as beta-D-glucosyl-(1<->1')-N-acylsphing-4-enine) to free glucose and ceramides (such as N-acylsphing-4-enine) (PubMed : 17080196, PubMed : 23250757). GlcCers are membrane glycosphingolipids that have a wide intracellular distribution (PubMed : 23250757). They are the main precursors of more complex glycosphingolipids that play a role in cellular growth, differentiation, adhesion, signaling, cytoskeletal dynamics and membrane properties (PubMed : 25803043). Also involved in the transglucosylation of cholesterol, transferring glucose from GlcCer, thereby modifying its water solubility and biological properties (PubMed : 26724485, PubMed : 32144204). Under specific conditions, may catalyze the reverse reaction, transferring glucose from cholesteryl-3-beta-D-glucoside to ceramide (such as N-acylsphing-4-enine) (PubMed : 26724485, PubMed : 32144204). May play a role in the metabolism of bile acids (PubMed : 17080196). Able to hydrolyze bile acid 3-O-glucosides as well as to produce bile acid-glucose conjugates thanks to a bile acid glucosyl transferase activity (PubMed : 17080196). Catalyzes the hydrolysis of galactosylceramides/GalCers (such as beta-D-galactosyl-(1<->1')-N-acylsphing-4-enine), as well as galactosyl transfer between GalCers and cholesterol in vitro with lower activity compared with their activity against GlcCers (PubMed : 32144204).
See full target information Gba2

Product promise

We are committed to supporting your work with high-quality reagents, and we're here for you every step of the way. In the unlikely event that one of our products does not perform as expected, you're protected by our Product Promise.
For full details, please see our Terms & Conditions

Please note: All products are 'FOR RESEARCH USE ONLY. NOT FOR USE IN DIAGNOSTIC OR THERAPEUTIC PROCEDURES'.

For licensing inquiries, please contact partnerships@abcam.com