JavaScript is disabled in your browser. Please enable JavaScript to view this website.
AB205064

Anti-GBA2 antibody

1

(2 Reviews)

|

(3 Publications)

Rabbit Polyclonal GBA2 antibody. Suitable for WB, IHC-P and reacts with Human samples. Cited in 3 publications. Immunogen corresponding to Recombinant Fragment Protein within Human GBA2 aa 700 to C-terminus.

View Alternative Names

KIAA1605, SPG46, AD035, GBA2, Non-lysosomal glucosylceramidase, NLGase, Beta-glucocerebrosidase 2, Bile acid beta-glucosidase GBA2, Bile acid glucosyl transferase GBA2, Cholesterol glucosyltransferase GBA2, Cholesteryl-beta-glucosidase GBA2, Glucosylceramidase 2, Non-lysosomal cholesterol glycosyltransferase, Non-lysosomal galactosylceramidase, Non-lysosomal glycosylceramidase, Beta-glucosidase 2

2 Images
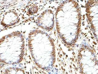
Immunohistochemistry (Formalin/PFA-fixed paraffin-embedded sections) - Anti-GBA2 antibody (AB205064)
  • IHC-P

Supplier Data

Immunohistochemistry (Formalin/PFA-fixed paraffin-embedded sections) - Anti-GBA2 antibody (AB205064)

Immunohistochemical analysis of formalin-fixed, paraffin-embedded Human fetal colon tissue labeling GBA2 with ab205064 at 1/100 dilution.

Western blot - Anti-GBA2 antibody (AB205064)
  • WB

Supplier Data

Western blot - Anti-GBA2 antibody (AB205064)

All lanes:

Western blot - Anti-GBA2 antibody (ab205064) at 1/500 dilution

Lane 1:

HeLa cell lysate

Lane 2:

HepG2 cell lysate

Predicted band size: 105 kDa

Observed band size: 98 kDa

false

Key facts

Host species

Rabbit

Clonality

Polyclonal

Isotype

IgG

Carrier free

No

Reacts with

Human

Applications

IHC-P, WB

applications

Immunogen

Recombinant Fragment Protein within Human GBA2 aa 700 to C-terminus. The exact immunogen used to generate this antibody is proprietary information.

Q9HCG7

Reactivity data

{ "title": "Reactivity Data", "filters": { "stats": ["", "Species", "Dilution Info", "Notes"], "tabs": { "all-applications": {"fullname" : "All Applications", "shortname": "All Applications"}, "WB" : {"fullname" : "Western blot", "shortname":"WB"}, "IHCP" : {"fullname" : "Immunohistochemistry (Formalin/PFA-fixed paraffin-embedded sections)", "shortname":"IHC-P"} }, "product-promise": { "all": "all", "testedAndGuaranteed": "tested", "guaranteed": "expected", "predicted": "predicted", "notRecommended": "not-recommended" } }, "values": { "Human": { "WB-species-checked": "testedAndGuaranteed", "WB-species-dilution-info": "1/200 - 1/1000", "WB-species-notes": "<p></p>", "IHCP-species-checked": "testedAndGuaranteed", "IHCP-species-dilution-info": "1/100 - 1/500", "IHCP-species-notes": "<p></p>" }, "Mouse": { "WB-species-checked": "predicted", "WB-species-dilution-info": "", "WB-species-notes": "", "IHCP-species-checked": "predicted", "IHCP-species-dilution-info": "", "IHCP-species-notes": "" } } }

Properties and storage information

Form
Lyophilized
Reconstitution
reconstitute with water at 200µL
Purification technique
Affinity purification Immunogen
Storage buffer
pH: 7.2 Preservative: 0.02% Sodium azide Constituents: PBS, 1% BSA
Shipped at conditions
Blue Ice
Appropriate short-term storage duration
1-2 weeks
Appropriate short-term storage conditions
+4°C
Appropriate long-term storage conditions
-20°C
Aliquoting information
Upon delivery aliquot
Storage information
Avoid freeze / thaw cycle

Supplementary information

This supplementary information is collated from multiple sources and compiled automatically.

GBA2 also known as non-lysosomal glucosylceramidase is an enzyme responsible for hydrolyzing glucosylceramide into glucose and ceramide. With a molecular mass approximately 118 kDa GBA2 localizes in the endoplasmic reticulum and the cytosol. It is widely expressed in various tissues including the liver brain and testis indicating its diverse physiological roles. Unlike GBA1 which functions in lysosomal degradation GBA2 operates outside lysosomes.
Biological function summary

GBA2 facilitates the metabolism of glycosphingolipids. It functions as part of lipid homeostasis ensuring the balance of ceramide levels. This enzyme plays a role in maintaining cellular functions that require precise lipid composition. Although not characterized as part of a larger complex GBA2 significantly impacts membrane dynamics and cellular signaling processes.

Pathways

GBA2 is integral to the glycosphingolipid metabolism pathway impacting cell signaling and membrane structure. Its activity influences sphingolipid metabolism connecting it with the sphingomyelinase pathway. In this context it relates to enzymes like ceramidases and sphingomyelinases which also contribute to sphingolipid breakdown and ceramide regulation.

Research has associated GBA2 with conditions such as hereditary spastic paraplegia and Niemann-Pick disease type C. Mutations or dysregulation of GBA2 can disturb lipid metabolism leading to neurological impairments observed in these disorders. Connections between GBA2 and other proteins such as NPC1 which is involved in cholesterol transport highlight its relevance in complex metabolic disorders.

Product protocols

For this product, it's our understanding that no specific protocols are required. You can visit:

Target data

Non-lysosomal glucosylceramidase that catalyzes the hydrolysis of glucosylceramides/GlcCers (such as beta-D-glucosyl-(1<->1')-N-acylsphing-4-enine) to free glucose and ceramides (such as N-acylsphing-4-enine) (PubMed : 17105727, PubMed : 30308956, PubMed : 32144204). GlcCers are membrane glycosphingolipids that have a wide intracellular distribution (By similarity). They are the main precursors of more complex glycosphingolipids that play a role in cellular growth, differentiation, adhesion, signaling, cytoskeletal dynamics and membrane properties (By similarity). Involved in the transglucosylation of cholesterol, transfers glucose from GlcCer to cholesterol, thereby modifying its water solubility and biological properties (PubMed : 32144204). Under specific conditions, may catalyze the reverse reaction, transferring glucose from cholesteryl-3-beta-D-glucoside to ceramide (such as N-acylsphing-4-enine) (Probable). May play a role in the metabolism of bile acids (PubMed : 11489889, PubMed : 17080196, PubMed : 9111029). Able to hydrolyze bile acid 3-O-glucosides as well as to produce bile acid-glucose conjugates thanks to a bile acid glucosyl transferase activity (PubMed : 11489889, PubMed : 17080196, PubMed : 9111029). Catalyzes the hydrolysis of galactosylceramides/GalCers (such as beta-D-galactosyl-(1<->1')-N-acylsphing-4-enine), as well as the galactosyl transfer between GalCers and cholesterol in vitro with lower activity compared with their activity against GlcCers (PubMed : 32144204).
See full target information GBA2

Publications (3)

Recent publications for all applications. Explore the full list and refine your search

The Turkish journal of gastroenterology : the official journal of Turkish Society of Gastroenterology 35:61-72 PubMed38454278

2024

Identification of Novel Prognostic Biomarkers for Colorectal Cancer by Bioinformatics Analysis.

Applications

Unspecified application

Species

Unspecified reactive species

Chao Niu,Xiaogang Li,Xian Lei Luo,Hongwei Wan,Wendi Jin,Zhiping Zhang,Wanfu Zhang,Bo Li

Molecular neurobiology 60:6896-6915 PubMed37516663

2023

Amplifying the Heat Shock Response Ameliorates ALS and FTD Pathology in Mouse and Human Models.

Applications

Unspecified application

Species

Unspecified reactive species

Mhoriam Ahmed,Charlotte Spicer,Jasmine Harley,J Paul Taylor,Michael Hanna,Rickie Patani,Linda Greensmith

The Journal of biological chemistry 295:5257-5277 PubMed32144204

2020

Glucocerebrosidases catalyze a transgalactosylation reaction that yields a newly-identified brain sterol metabolite, galactosylated cholesterol.

Applications

Unspecified application

Species

Unspecified reactive species

Hisako Akiyama,Mitsuko Ide,Yasuko Nagatsuka,Tomoko Sayano,Etsuro Nakanishi,Norihito Uemura,Kohei Yuyama,Yoshiki Yamaguchi,Hiroyuki Kamiguchi,Ryosuke Takahashi,Johannes M F G Aerts,Peter Greimel,Yoshio Hirabayashi
View all publications

Product promise

We are committed to supporting your work with high-quality reagents, and we're here for you every step of the way. In the unlikely event that one of our products does not perform as expected, you're protected by our Product Promise.
For full details, please see our Terms & Conditions

Please note: All products are 'FOR RESEARCH USE ONLY. NOT FOR USE IN DIAGNOSTIC OR THERAPEUTIC PROCEDURES'.

For licensing inquiries, please contact partnerships@abcam.com