JavaScript is disabled in your browser. Please enable JavaScript to view this website.
AB223799

Anti-GBE1 antibody

Be the first to review this product! Submit a review

|

(2 Publications)

Rabbit Polyclonal GBE1 antibody. Suitable for WB, IHC-P and reacts with Mouse, Human samples. Cited in 2 publications. Immunogen corresponding to Recombinant Fragment Protein within Human 1,4-alpha-glucan-branching enzyme aa 1-300.

View Alternative Names

Brancher enzyme, Glycogen-branching enzyme, GBE1

3 Images
Western blot - Anti-GBE1 antibody (AB223799)
  • WB

Supplier Data

Western blot - Anti-GBE1 antibody (AB223799)

All lanes:

Western blot - Anti-GBE1 antibody (ab223799) at 1/1000 dilution

All lanes:

Mouse liver lysate

Secondary

All lanes:

Goat polyclonal to rabbit at 1/10000 dilution

Predicted band size: 80 kDa

Observed band size: 80 kDa

false

Immunohistochemistry (Formalin/PFA-fixed paraffin-embedded sections) - Anti-GBE1 antibody (AB223799)
  • IHC-P

Supplier Data

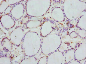
Immunohistochemistry (Formalin/PFA-fixed paraffin-embedded sections) - Anti-GBE1 antibody (AB223799)

Paraffin-embedded human thyroid tissue stained for GBE1 using ab223799 at 1/100 dilution in immunohistochemical analysis.

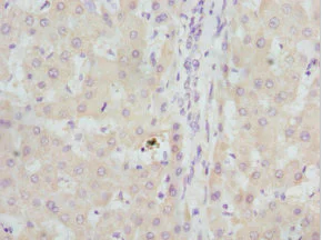
Immunohistochemistry (Formalin/PFA-fixed paraffin-embedded sections) - Anti-GBE1 antibody (AB223799)
  • IHC-P

Supplier Data

Immunohistochemistry (Formalin/PFA-fixed paraffin-embedded sections) - Anti-GBE1 antibody (AB223799)

Paraffin-embedded human liver tissue stained for GBE1 using ab223799 at 1/100 dilution in immunohistochemical analysis.

Key facts

Host species

Rabbit

Clonality

Polyclonal

Isotype

IgG

Carrier free

No

Reacts with

Mouse, Human

Applications

IHC-P, WB

applications

Immunogen

Recombinant Fragment Protein within Human 1,4-alpha-glucan-branching enzyme aa 1-300. The exact immunogen used to generate this antibody is proprietary information.

Q04446

Reactivity data

{ "title": "Reactivity Data", "filters": { "stats": ["", "Species", "Dilution Info", "Notes"], "tabs": { "all-applications": {"fullname" : "All Applications", "shortname": "All Applications"}, "WB" : {"fullname" : "Western blot", "shortname":"WB"}, "IHCP" : {"fullname" : "Immunohistochemistry (Formalin/PFA-fixed paraffin-embedded sections)", "shortname":"IHC-P"} }, "product-promise": { "all": "all", "testedAndGuaranteed": "tested", "guaranteed": "expected", "predicted": "predicted", "notRecommended": "not-recommended" } }, "values": { "Human": { "WB-species-checked": "guaranteed", "WB-species-dilution-info": "", "WB-species-notes": "", "IHCP-species-checked": "testedAndGuaranteed", "IHCP-species-dilution-info": "1/20 - 1/200", "IHCP-species-notes": "<p></p>" }, "Mouse": { "WB-species-checked": "testedAndGuaranteed", "WB-species-dilution-info": "1/1000 - 1/5000", "WB-species-notes": "<p></p>", "IHCP-species-checked": "guaranteed", "IHCP-species-dilution-info": "", "IHCP-species-notes": "" } } }

Properties and storage information

Form
Liquid
Purification technique
Affinity purification Immunogen
Storage buffer
pH: 7.3 Preservative: 0.02% Sodium azide Constituents: PBS, 50% Glycerol (glycerin, glycerine)
Shipped at conditions
Blue Ice
Appropriate short-term storage duration
1-2 weeks
Appropriate short-term storage conditions
+4°C
Appropriate long-term storage conditions
-20°C
Aliquoting information
Upon delivery aliquot
Storage information
Avoid freeze / thaw cycle

Supplementary information

This supplementary information is collated from multiple sources and compiled automatically.

The GBE1 protein also known as glycogen branching enzyme 1 plays an important role in glycogen metabolism. It has a molecular mass of approximately 83 kDa. The enzyme catalyzes the formation of alpha-16-glycosidic linkages in glycogen adding branches to the linear chains of glucose residues. This branching increases the solubility of glycogen and improves its accessibility for degradation. GBE1 expression occurs mainly in the liver and muscle tissues where glycogen storage and metabolism are vital for energy balance and function.
Biological function summary

The enzyme's activity ensures the efficient storage and mobilization of glycogen serving an important role in energy regulation. It does not operate as part of a larger enzymatic complex but works alone to modify the structure of glycogen. Its activity impacts the balance between corticosteroid glucose production and glycogen storage thereby playing a part in maintaining glucose homeostasis in the body.

Pathways

GBE1 participates in the glycogen biosynthesis pathway which is vital for energy storage in organisms. The protein acts alongside others like glycogen synthase to ensure proper glycogen formation which serves as a significant energy reserve. Also GBE1 relates to the gluconeogenesis/glycogenolysis pathway where its role in structuring glycogen ensures substrates are readily available when needed for energy production during fasting or rigorous activity.

Mutations or malfunctions in the GBE1 gene can lead to Glycogen Storage Disease type IV (Andersen's disease) a disorder affecting glycogen metabolism. Symptoms can include hepatic and muscular dysfunctions due to improperly structured glycogen. The condition is associated with another protein glycogen synthase because both contribute to abnormal glycogen accumulation. Also research links enzyme deficits to adult polyglucosan body disease where abnormal glycogen bodies accumulate in the nervous system leading to neurological issues.

Product protocols

For this product, it's our understanding that no specific protocols are required. You can visit:

Target data

Glycogen-branching enzyme participates in the glycogen biosynthetic process along with glycogenin and glycogen synthase. Generates alpha-1,6-glucosidic branches from alpha-1,4-linked glucose chains, to increase solubility of the glycogen polymer (PubMed : 26199317, PubMed : 8463281, PubMed : 8613547).
See full target information 1,4-alpha-glucan-branching enzyme

Publications (2)

Recent publications for all applications. Explore the full list and refine your search

Frontiers in oncology 11:781344 PubMed35155189

2022

GBE1 Is an Independent Prognostic Marker and Associated With CD163 Tumor-Associated Macrophage Infiltration in Lung Adenocarcinoma.

Applications

Unspecified application

Species

Unspecified reactive species

Yicheng Liang,Yangyang Lei,Mei Liang,Minjun Du,Zixu Liu,Xingkai Li,Xiangzhi Meng,Boxuan Zhou,Yushun Gao

Oncology letters 13:1609-1618 PubMed28454298

2017

Expression and prognostic relevance of MAGE-A3 and MAGE-C2 in non-small cell lung cancer.

Applications

Unspecified application

Species

Unspecified reactive species

Xinfeng Chen,Liping Wang,Jinyan Liu,Lan Huang,Li Yang,Qun Gao,Xiaojuan Shi,Jieyao Li,Feng Li,Zhen Zhang,Song Zhao,Bin Zhang,Pierre Van der Bruggen,Yi Zhang
View all publications

Product promise

We are committed to supporting your work with high-quality reagents, and we're here for you every step of the way. In the unlikely event that one of our products does not perform as expected, you're protected by our Product Promise.
For full details, please see our Terms & Conditions

Please note: All products are 'FOR RESEARCH USE ONLY. NOT FOR USE IN DIAGNOSTIC OR THERAPEUTIC PROCEDURES'.

For licensing inquiries, please contact partnerships@abcam.com