JavaScript is disabled in your browser. Please enable JavaScript to view this website.
AB185206

Anti-Gbeta5 antibody [EPR14778]

Be the first to review this product! Submit a review

|

(2 Publications)

Rabbit Recombinant Monoclonal Gbeta5 antibody. Suitable for IP, WB, ICC/IF, Flow Cyt (Intra), IHC-P and reacts with Rat, Mouse, Human samples. Cited in 2 publications.

View Alternative Names

Guanine nucleotide-binding protein subunit beta-5, Gbeta5, Transducin beta chain 5, GNB5

8 Images
Immunocytochemistry/ Immunofluorescence - Anti-Gbeta5 antibody [EPR14778] (AB185206)
  • ICC/IF

Supplier Data

Immunocytochemistry/ Immunofluorescence - Anti-Gbeta5 antibody [EPR14778] (AB185206)

Immunofluorescent analysis of 4% paraformaldehyde-fixed U87-MG cells labeling Gbeta5 with ab185206 at 1/100 dilution. Secondary antibody : Goat anti rabbit IgG (Alexa Fluor®555) at 1/200 dilution. Counterstained with Dapi blue.

Western blot - Anti-Gbeta5 antibody [EPR14778] (AB185206)
  • WB

Supplier Data

Western blot - Anti-Gbeta5 antibody [EPR14778] (AB185206)

All lanes:

Western blot - Anti-Gbeta5 antibody [EPR14778] (ab185206) at 1/10000 dilution

All lanes:

Rat brain lysate at 10 µg

Secondary

All lanes:

Goat Anti-Rabbit IgG, (H+L), Peroxidase conjugated at 1/1000 dilution

Predicted band size: 44 kDa

false

Western blot - Anti-Gbeta5 antibody [EPR14778] (AB185206)
  • WB

Supplier Data

Western blot - Anti-Gbeta5 antibody [EPR14778] (AB185206)

All lanes:

Western blot - Anti-Gbeta5 antibody [EPR14778] (ab185206) at 1/10000 dilution

All lanes:

Mouse brain lysate at 20 µg

Secondary

All lanes:

Goat Anti-Rabbit IgG, (H+L), Peroxidase conjugated at 1/1000 dilution

Predicted band size: 44 kDa

false

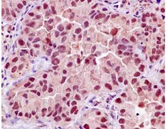
Immunohistochemistry (Formalin/PFA-fixed paraffin-embedded sections) - Anti-Gbeta5 antibody [EPR14778] (AB185206)
  • IHC-P

Supplier Data

Immunohistochemistry (Formalin/PFA-fixed paraffin-embedded sections) - Anti-Gbeta5 antibody [EPR14778] (AB185206)

Immunohistochemical analysis of paraffin-embedded Human lung adenocarcinoma tissue labeling Gbeta5 with ab185206 at 1/250 dilution followed by pre-diluted HRP-conjugated secondary antibody and counter-stained with Hematoxylin.

Perform heat mediated antigen retrieval with EDTA buffer pH 9 before commencing with IHC staining protocol.

Flow Cytometry (Intracellular) - Anti-Gbeta5 antibody [EPR14778] (AB185206)
  • Flow Cyt (Intra)

Supplier Data

Flow Cytometry (Intracellular) - Anti-Gbeta5 antibody [EPR14778] (AB185206)

Intracellular Flow Cytometry analysis of 2% paraformaldehyde fixed HACAT cells labeling Gbeta5 with ab185206 at 1/160 dilution (red) or a rabbit IgG isotype control (green), followed by secondary Goat anti rabbit IgG (FITC) at 1/150 dilution.

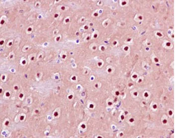
Immunohistochemistry (Formalin/PFA-fixed paraffin-embedded sections) - Anti-Gbeta5 antibody [EPR14778] (AB185206)
  • IHC-P

Supplier Data

Immunohistochemistry (Formalin/PFA-fixed paraffin-embedded sections) - Anti-Gbeta5 antibody [EPR14778] (AB185206)

Immunohistochemical analysis of paraffin-embedded Mouse brain tissue labeling Gbeta5 with ab185206 at 1/250 dilution followed by pre-diluted HRP-conjugated secondary antibody and counter-stained with Hematoxylin.

Perform heat mediated antigen retrieval with EDTA buffer pH 9 before commencing with IHC staining protocol.

Immunoprecipitation - Anti-Gbeta5 antibody [EPR14778] (AB185206)
  • IP

Supplier Data

Immunoprecipitation - Anti-Gbeta5 antibody [EPR14778] (AB185206)

Western blot analysis of Gbeta5 in immunoprecipitation pellets from Rat brain lysate using ab185206 at 1/50 dilution. Secondary antibody Goat Anti-Rabbit IgG, (H+L), Peroxidase conjugated at 1/1000.

All lanes:

Immunoprecipitation - Anti-Gbeta5 antibody [EPR14778] (ab185206)

Predicted band size: 44 kDa

false

Western blot - Anti-Gbeta5 antibody [EPR14778] (AB185206)
  • WB

Supplier Data

Western blot - Anti-Gbeta5 antibody [EPR14778] (AB185206)

All lanes:

Western blot - Anti-Gbeta5 antibody [EPR14778] (ab185206) at 1/2000 dilution

All lanes:

Human cerebellum lysate at 10 µg

Secondary

All lanes:

Goat Anti-Rabbit IgG, (H+L), Peroxidase conjugated at 1/1000 dilution

Predicted band size: 44 kDa

false

  • Carrier free

    Anti-Gbeta5 antibody [EPR14778] - BSA and Azide free

Key facts

Host species

Rabbit

Clonality

Monoclonal

Clone number

EPR14778

Isotype

IgG

Carrier free

No

Reacts with

Mouse, Rat, Human

Applications

IP, Flow Cyt (Intra), ICC/IF, WB, IHC-P

applications

Immunogen

The exact immunogen used to generate this antibody is proprietary information.

Reactivity data

{ "title": "Reactivity Data", "filters": { "stats": ["", "Species", "Dilution Info", "Notes"], "tabs": { "all-applications": {"fullname" : "All Applications", "shortname": "All Applications"}, "IP" : {"fullname" : "Immunoprecipitation", "shortname":"IP"}, "WB" : {"fullname" : "Western blot", "shortname":"WB"}, "ICCIF" : {"fullname" : "Immunocytochemistry/ Immunofluorescence", "shortname":"ICC/IF"}, "FlowCytIntra" : {"fullname" : "Flow Cytometry (Intracellular)", "shortname":"Flow Cyt (Intra)"}, "IHCP" : {"fullname" : "Immunohistochemistry (Formalin/PFA-fixed paraffin-embedded sections)", "shortname":"IHC-P"} }, "product-promise": { "all": "all", "testedAndGuaranteed": "tested", "guaranteed": "expected", "predicted": "predicted", "notRecommended": "not-recommended" } }, "values": { "Human": { "IP-species-checked": "guaranteed", "IP-species-dilution-info": "", "IP-species-notes": "", "WB-species-checked": "testedAndGuaranteed", "WB-species-dilution-info": "1/1000 - 1/10000", "WB-species-notes": "<p></p>", "ICCIF-species-checked": "testedAndGuaranteed", "ICCIF-species-dilution-info": "1/100", "ICCIF-species-notes": "<p></p>", "FlowCytIntra-species-checked": "testedAndGuaranteed", "FlowCytIntra-species-dilution-info": "1/160", "FlowCytIntra-species-notes": "<p><a href='/en-us/products/primary-antibodies/rabbit-igg-monoclonal-epr25a-isotype-control-ab172730'>ab172730</a> - Rabbit monoclonal IgG, is suitable for use as an isotype control with this antibody.</p>", "IHCP-species-checked": "testedAndGuaranteed", "IHCP-species-dilution-info": "1/100 - 1/250", "IHCP-species-notes": "<p></p> Perform heat-mediated antigen retrieval with Tris/EDTA buffer pH 9.0 before commencing with IHC staining protocol." }, "Mouse": { "IP-species-checked": "guaranteed", "IP-species-dilution-info": "", "IP-species-notes": "", "WB-species-checked": "testedAndGuaranteed", "WB-species-dilution-info": "1/1000 - 1/10000", "WB-species-notes": "<p></p> Perform heat-mediated antigen retrieval with Tris/EDTA buffer pH 9.0 before commencing with IHC staining protocol.", "ICCIF-species-checked": "guaranteed", "ICCIF-species-dilution-info": "", "ICCIF-species-notes": "", "FlowCytIntra-species-checked": "guaranteed", "FlowCytIntra-species-dilution-info": "", "FlowCytIntra-species-notes": "", "IHCP-species-checked": "testedAndGuaranteed", "IHCP-species-dilution-info": "1/100 - 1/250", "IHCP-species-notes": "<p></p> Perform heat-mediated antigen retrieval with Tris/EDTA buffer pH 9.0 before commencing with IHC staining protocol." }, "Rat": { "IP-species-checked": "testedAndGuaranteed", "IP-species-dilution-info": "1/40 - 1/60", "IP-species-notes": "<p></p> Perform heat-mediated antigen retrieval with Tris/EDTA buffer pH 9.0 before commencing with IHC staining protocol.", "WB-species-checked": "testedAndGuaranteed", "WB-species-dilution-info": "1/1000 - 1/10000", "WB-species-notes": "<p></p>", "ICCIF-species-checked": "guaranteed", "ICCIF-species-dilution-info": "", "ICCIF-species-notes": "", "FlowCytIntra-species-checked": "guaranteed", "FlowCytIntra-species-dilution-info": "", "FlowCytIntra-species-notes": "", "IHCP-species-checked": "guaranteed", "IHCP-species-dilution-info": "", "IHCP-species-notes": "" } } }

Product details

Patented technology
Our RabMAb® technology is a patented hybridoma-based technology for making rabbit monoclonal antibodies. For details on our patents, please refer to RabMAb® patents.

What are the advantages of a recombinant monoclonal antibody?
This product is a recombinant monoclonal antibody, which offers several advantages including:

  • - High batch-to-batch consistency and reproducibility
  • - Improved sensitivity and specificity
  • - Long-term security of supply
  • - Animal-free batch production

For more information, read more on recombinant antibodies.

Properties and storage information

Form
Liquid
Purification technique
Affinity purification Protein A
Storage buffer
pH: 7.2 - 7.4 Preservative: 0.01% Sodium azide Constituents: 59% PBS, 40% Glycerol (glycerin, glycerine), 0.05% BSA
Shipped at conditions
Blue Ice
Appropriate short-term storage duration
1-2 weeks
Appropriate short-term storage conditions
+4°C
Appropriate long-term storage conditions
-20°C
Aliquoting information
Upon delivery aliquot
Storage information
Avoid freeze / thaw cycle

Supplementary information

This supplementary information is collated from multiple sources and compiled automatically.

Gbeta5 also known as Guanine nucleotide-binding protein subunit beta-5 is a regulatory component of heterotrimeric G-proteins. It has an approximate mass of 37 kDa. Gbeta5 is expressed in multiple tissues with significant levels found in the brain and retina. Mechanically Gbeta5 acts as a modulator for signal transduction pathways partnering with the regulator of G-protein signaling (RGS) proteins to influence neuronal signaling processes.
Biological function summary

Gbeta5 functions as an integral part of the G-protein coupled receptor (GPCR) signaling system. It forms stable complexes with RGS proteins particularly RGS6 RGS7 RGS9 and RGS11. These complexes regulate the deactivation of G-proteins impacting the timing and efficacy of signaling events. The Gbeta5 and RGS complexes contribute to the modulation of neurotransmitter release and synaptic plasticity critical in nervous system functionalities.

Pathways

Gbeta5 plays a significant role in neurotransmission pathways such as the dopaminergic and serotonergic pathways. Its activity is linked to the fine-tuning of neuronal signals by influencing cyclic AMP levels and Ca2+ channel activity. Gbeta5 interacts with proteins like RGS9 which is important in visual and dopaminergic signaling highlighting its importance in these specific pathways.

Mutations or dysregulation in Gbeta5 have associations with neurodegenerative conditions and mood disorders such as Alzheimer's disease and major depressive disorder. The dysregulated activity can lead to altered interaction with proteins like RGS7 and RGS9 affecting normal neuronal signaling and function which may contribute to the pathology of these conditions. Understanding Gbeta5’s role can provide insights into developing therapeutic strategies for these disorders.

Product protocols

For this product, it's our understanding that no specific protocols are required. You can visit:

Target data

Enhances GTPase-activating protein (GAP) activity of regulator of G protein signaling (RGS) proteins, such as RGS7 and RGS9, hence involved in the termination of the signaling initiated by the G protein coupled receptors (GPCRs) by accelerating the GTP hydrolysis on the G-alpha subunits, thereby promoting their inactivation (PubMed : 27677260). Increases RGS7 GTPase-activating protein (GAP) activity, thereby regulating mood and cognition (By similarity). Increases RGS9 GTPase-activating protein (GAP) activity, hence contributes to the deactivation of G protein signaling initiated by D(2) dopamine receptors (PubMed : 27677260). May play an important role in neuronal signaling, including in the parasympathetic, but not sympathetic, control of heart rate (By similarity).
See full target information Guanine nucleotide-binding protein subunit beta-5

Publications (2)

Recent publications for all applications. Explore the full list and refine your search

Frontiers in physiology 10:1573 PubMed31992990

2020

The Gβ1 and Gβ3 Subunits Differentially Regulate Rat Vascular Kv7 Channels.

Applications

Unspecified application

Species

Unspecified reactive species

Iain A Greenwood,Jennifer B Stott

eLife 8: PubMed30864948

2019

Intramolecular domain dynamics regulate synaptic MAGUK protein interactions.

Applications

Unspecified application

Species

Unspecified reactive species

Nils Rademacher,Benno Kuropka,Stella-Amrei Kunde,Markus C Wahl,Christian Freund,Sarah A Shoichet
View all publications

Product promise

We are committed to supporting your work with high-quality reagents, and we're here for you every step of the way. In the unlikely event that one of our products does not perform as expected, you're protected by our Product Promise.
For full details, please see our Terms & Conditions

Please note: All products are 'FOR RESEARCH USE ONLY. NOT FOR USE IN DIAGNOSTIC OR THERAPEUTIC PROCEDURES'.

For licensing inquiries, please contact partnerships@abcam.com