JavaScript is disabled in your browser. Please enable JavaScript to view this website.
AB189512

Anti-GBF1 antibody [EPR14889] - C-terminal

5

(1 Review)

|

(2 Publications)

Rabbit Recombinant Monoclonal GBF1 antibody. C-terminal. Suitable for WB, ICC/IF, Flow Cyt (Intra), IHC-P and reacts with Rat, Human, Mouse samples. Cited in 2 publications.

View Alternative Names

KIAA0248, GBF1, Golgi-specific brefeldin A-resistance guanine nucleotide exchange factor 1, BFA-resistant GEF 1

7 Images
Immunohistochemistry (Formalin/PFA-fixed paraffin-embedded sections) - Anti-GBF1 antibody [EPR14889] - C-terminal (AB189512)
  • IHC-P

Supplier Data

Immunohistochemistry (Formalin/PFA-fixed paraffin-embedded sections) - Anti-GBF1 antibody [EPR14889] - C-terminal (AB189512)

Immunohistochemical analysis of paraffin-embedded Human kidney tissue labeling GBF1 with ab189512 at 1/100 dilution followed by prediluted HRP Polymer for Rabbit IgG. Counter stained with Hematoxylin (Inset : negative control).

Perform heat mediated antigen retrieval with Tris/EDTA buffer pH 9.0 before commencing with IHC staining protocol.

Flow Cytometry (Intracellular) - Anti-GBF1 antibody [EPR14889] - C-terminal (AB189512)
  • Flow Cyt (Intra)

Supplier Data

Flow Cytometry (Intracellular) - Anti-GBF1 antibody [EPR14889] - C-terminal (AB189512)

Intracellular flow cytometric analysis of 2% paraformaldehyde-fixedHeLa cells labeling GBF1 with ab189512 at 1/230 dilution (red) compared to a Rabbit monoclonal IgG isotype control (green), followed by Goat anti rabbit IgG (FITC) secondary at 1/150 dilution.

Immunocytochemistry/ Immunofluorescence - Anti-GBF1 antibody [EPR14889] - C-terminal (AB189512)
  • ICC/IF

Supplier Data

Immunocytochemistry/ Immunofluorescence - Anti-GBF1 antibody [EPR14889] - C-terminal (AB189512)

Immunofluorescent analysis of 4% paraformaldehyde-fixed 293 cells labeling GBF1 with ab189512 at 1/250 dilution followed by Goat anti rabbit IgG (Alexa Fluor® 555) secondary antibody at 1/200 dilution. Counter stained with DAPI (blue).

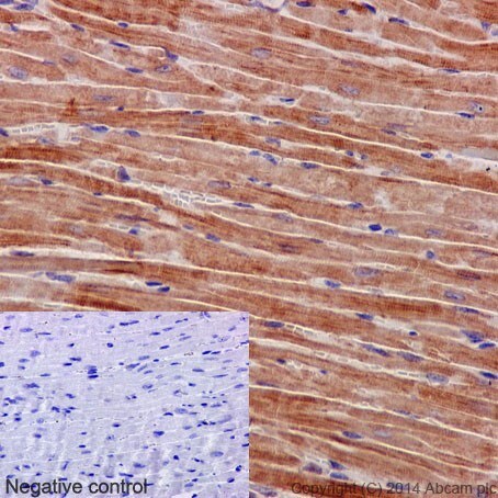
Immunohistochemistry (Formalin/PFA-fixed paraffin-embedded sections) - Anti-GBF1 antibody [EPR14889] - C-terminal (AB189512)
  • IHC-P

Supplier Data

Immunohistochemistry (Formalin/PFA-fixed paraffin-embedded sections) - Anti-GBF1 antibody [EPR14889] - C-terminal (AB189512)

Immunohistochemical analysis of paraffin-embedded Mouse cardiac muscle tissue labeling GBF1 with ab189512 at 1/100 dilution followed by prediluted HRP Polymer for Rabbit IgG. Counter stained with Hematoxylin (Inset : negative control).

Perform heat mediated antigen retrieval with Tris/EDTA buffer pH 9.0 before commencing with IHC staining protocol.

Western blot - Anti-GBF1 antibody [EPR14889] - C-terminal (AB189512)
  • WB

Supplier Data

Western blot - Anti-GBF1 antibody [EPR14889] - C-terminal (AB189512)

All lanes:

Western blot - Anti-GBF1 antibody [EPR14889] - C-terminal (ab189512) at 1/50000 dilution

All lanes:

293 cell lysate at 10 µg

Secondary

All lanes:

Goat Anti-Rabbit IgG, (H+L), Peroxidase conjugate at 1/1000 dilution

Predicted band size: 206 kDa

Observed band size: 250 kDa

false

Western blot - Anti-GBF1 antibody [EPR14889] - C-terminal (AB189512)
  • WB

Supplier Data

Western blot - Anti-GBF1 antibody [EPR14889] - C-terminal (AB189512)

All lanes:

Western blot - Anti-GBF1 antibody [EPR14889] - C-terminal (ab189512) at 1/20000 dilution

Lane 1:

HeLa cell lysate at 20 µg

Lane 2:

Jurkat cell lysate at 20 µg

Secondary

All lanes:

Goat Anti-Rabbit IgG, (H+L), Peroxidase conjugate at 1/1000 dilution

Predicted band size: 206 kDa

Observed band size: 250 kDa

false

Western blot - Anti-GBF1 antibody [EPR14889] - C-terminal (AB189512)
  • WB

Supplier Data

Western blot - Anti-GBF1 antibody [EPR14889] - C-terminal (AB189512)

All lanes:

Western blot - Anti-GBF1 antibody [EPR14889] - C-terminal (ab189512) at 1/5000 dilution

Lane 1:

PC-12 cell lysate at 10 µg

Lane 2:

NIH/3T3 cell lysate at 10 µg

Secondary

All lanes:

Goat anti-rabbit IgG, (H+L), peroxidase conjugated at 1/1000 dilution

Predicted band size: 206 kDa

Observed band size: 250 kDa

false

  • Carrier free

    Anti-GBF1 antibody [EPR14889] - BSA and Azide free

Key facts

Host species

Rabbit

Clonality

Monoclonal

Clone number

EPR14889

Isotype

IgG

Carrier free

No

Reacts with

Mouse, Rat, Human

Applications

WB, IHC-P, ICC/IF, Flow Cyt (Intra)

applications

Immunogen

The exact immunogen used to generate this antibody is proprietary information.

Reactivity data

{ "title": "Reactivity Data", "filters": { "stats": ["", "Species", "Dilution Info", "Notes"], "tabs": { "all-applications": {"fullname" : "All Applications", "shortname": "All Applications"}, "WB" : {"fullname" : "Western blot", "shortname":"WB"}, "ICCIF" : {"fullname" : "Immunocytochemistry/ Immunofluorescence", "shortname":"ICC/IF"}, "FlowCytIntra" : {"fullname" : "Flow Cytometry (Intracellular)", "shortname":"Flow Cyt (Intra)"}, "IHCP" : {"fullname" : "Immunohistochemistry (Formalin/PFA-fixed paraffin-embedded sections)", "shortname":"IHC-P"} }, "product-promise": { "all": "all", "testedAndGuaranteed": "tested", "guaranteed": "expected", "predicted": "predicted", "notRecommended": "not-recommended" } }, "values": { "Human": { "WB-species-checked": "testedAndGuaranteed", "WB-species-dilution-info": "1/10000 - 1/50000", "WB-species-notes": "<p></p>", "ICCIF-species-checked": "testedAndGuaranteed", "ICCIF-species-dilution-info": "1/250 - 1/500", "ICCIF-species-notes": "<p></p>", "FlowCytIntra-species-checked": "testedAndGuaranteed", "FlowCytIntra-species-dilution-info": "1/230", "FlowCytIntra-species-notes": "<p><a href='/en-us/products/primary-antibodies/rabbit-igg-monoclonal-epr25a-isotype-control-ab172730'>ab172730</a> - Rabbit monoclonal IgG, is suitable for use as an isotype control with this antibody.</p>", "IHCP-species-checked": "testedAndGuaranteed", "IHCP-species-dilution-info": "1/50 - 1/100", "IHCP-species-notes": "<p></p>" }, "Mouse": { "WB-species-checked": "guaranteed", "WB-species-dilution-info": "", "WB-species-notes": "", "ICCIF-species-checked": "guaranteed", "ICCIF-species-dilution-info": "", "ICCIF-species-notes": "", "FlowCytIntra-species-checked": "guaranteed", "FlowCytIntra-species-dilution-info": "", "FlowCytIntra-species-notes": "", "IHCP-species-checked": "testedAndGuaranteed", "IHCP-species-dilution-info": "1/50 - 1/100", "IHCP-species-notes": "<p></p>" }, "Rat": { "WB-species-checked": "testedAndGuaranteed", "WB-species-dilution-info": "1/10000 - 1/50000", "WB-species-notes": "<p></p>", "ICCIF-species-checked": "guaranteed", "ICCIF-species-dilution-info": "", "ICCIF-species-notes": "", "FlowCytIntra-species-checked": "guaranteed", "FlowCytIntra-species-dilution-info": "", "FlowCytIntra-species-notes": "", "IHCP-species-checked": "guaranteed", "IHCP-species-dilution-info": "", "IHCP-species-notes": "" } } }

Product details

Patented technology
Our RabMAb® technology is a patented hybridoma-based technology for making rabbit monoclonal antibodies. For details on our patents, please refer to RabMAb® patents.

What are the advantages of a recombinant monoclonal antibody?
This product is a recombinant monoclonal antibody, which offers several advantages including:

  • - High batch-to-batch consistency and reproducibility
  • - Improved sensitivity and specificity
  • - Long-term security of supply
  • - Animal-free batch production

For more information, read more on recombinant antibodies.

Properties and storage information

Form
Liquid
Purification technique
Affinity purification Protein A
Storage buffer
pH: 7.2 - 7.4 Preservative: 0.01% Sodium azide Constituents: PBS, 40% Glycerol (glycerin, glycerine), 0.05% BSA
Shipped at conditions
Blue Ice
Appropriate short-term storage duration
1-2 weeks
Appropriate short-term storage conditions
+4°C
Appropriate long-term storage conditions
-20°C
Aliquoting information
Upon delivery aliquot
Storage information
Avoid freeze / thaw cycle

Supplementary information

This supplementary information is collated from multiple sources and compiled automatically.

The Golgi Brefeldin A-Resistant Guanine Nucleotide Exchange Factor 1 (GBF1) also known by the alternate name ARFGEF1 is a protein that acts mechanically as a guanine nucleotide exchange factor (GEF) for ADP-ribosylation factor (ARF) proteins facilitating the conversion of ARF-GDP to ARF-GTP. This protein has a molecular mass of approximately 206 kDa. GBF1 is mainly expressed in the cytoplasm and localizes to the Golgi apparatus which is a central organelle for protein and lipid transport.
Biological function summary

GBF1 plays a significant role in the regulation of vesicular trafficking between the endoplasmic reticulum and the Golgi apparatus. It is an integral component of the Secretory Pathway where it aids in the recruitment of coat protein complex I (COPI) to budding vesicles. As part of a larger protein complex GBF1 collaborates with ARF proteins to activate the pathways necessary for maintaining Golgi structure and function.

Pathways

GBF1 contributes directly to the Arf protein signal transduction pathway playing a role in maintaining the Golgi structure necessary for cellular transport processes. The protein interacts with several partners within this pathway including large GTPase SAR1 and small GTPase ARF1 essential for vesicle formation. GBF1's involvement in these pathways ensures proper intracellular transport and membrane trafficking activities which are important for cell viability.

GBF1 has shown a connection to disorders such as Alzheimer's disease due to its key role in intracellular trafficking which is important for amyloid precursor protein processing. Disruption in GBF1 function can lead to altered protein and lipid homeostasis linking it to metabolic disorders as well. The protein also interacts with other proteins like ARF3 in pathological conditions and disruptions in these interactions can have significant implications in disease progression.

Product protocols

For this product, it's our understanding that no specific protocols are required. You can visit:

Target data

Guanine-nucleotide exchange factor (GEF) for members of the Arf family of small GTPases involved in trafficking in the early secretory pathway; its GEF activity initiates the coating of nascent vesicles via the localized generation of activated ARFs through replacement of GDP with GTP. Recruitment to cis-Golgi membranes requires membrane association of Arf-GDP and can be regulated by ARF1, ARF3, ARF4 and ARF5. Involved in the recruitment of the COPI coat complex to the endoplasmic reticulum exit sites (ERES), and the endoplasmic reticulum-Golgi intermediate (ERGIC) and cis-Golgi compartments which implicates ARF1 activation. Involved in COPI vesicle-dependent retrograde transport from the ERGIC and cis-Golgi compartments to the endoplasmic reticulum (ER) (PubMed : 12047556, PubMed : 12808027, PubMed : 16926190, PubMed : 17956946, PubMed : 18003980, PubMed : 19039328, PubMed : 24213530). Involved in the trans-Golgi network recruitment of GGA1, GGA2, GGA3, BIG1, BIG2, and the AP-1 adaptor protein complex related to chlathrin-dependent transport; the function requires its GEF activity (probably at least in part on ARF4 and ARF5) (PubMed : 23386609). Has GEF activity towards ARF1 (PubMed : 15616190). Has in vitro GEF activity towards ARF5 (By similarity). Involved in the processing of PSAP (PubMed : 17666033). Required for the assembly of the Golgi apparatus (PubMed : 12808027, PubMed : 18003980). The AMPK-phosphorylated form is involved in Golgi disassembly during mitotis and under stress conditions (PubMed : 18063581, PubMed : 23418352). May be involved in the COPI vesicle-dependent recruitment of PNPLA2 to lipid droplets; however, this function is under debate (PubMed : 19461073, PubMed : 22185782). In neutrophils, involved in G protein-coupled receptor (GPCR)-mediated chemotaxis und superoxide production. Proposed to be recruited by phosphatidylinositol-phosphates generated upon GPCR stimulation to the leading edge where it recruits and activates ARF1, and is involved in recruitment of GIT2 and the NADPH oxidase complex (PubMed : 22573891). Plays a role in maintaining mitochondrial morphology (PubMed : 25190516).
See full target information GBF1

Publications (2)

Recent publications for all applications. Explore the full list and refine your search

Heliyon 9:e21616 PubMed38027820

2023

Secreted proteins in plasma and placenta as novel non-invasive biomarkers for intrahepatic cholestasis of pregnancy: A case-control study.

Applications

Unspecified application

Species

Unspecified reactive species

Lingyan Chen,Jingyang Li,Yilan You,Zhiwen Qian,Jiayu Liu,Ying Jiang,Ying Gu,Jianping Xiao,Yan Zhang

Microscopy and microanalysis : the official journal of Microscopy Society of America, Microbeam Analysis Society, Microscopical Society of Canada 27:400-408 PubMed33478608

2021

Loss of Arf Guanine Nucleotide Exchange Factor GBF1 Activity Disturbs Organelle Dynamics in Mouse Oocytes.

Applications

Unspecified application

Species

Unspecified reactive species

Yuan-Jing Zou,Meng-Meng Shan,Zhen-Nan Pan,Meng-Hao Pan,Xiao-Han Li,Shao-Chen Sun
View all publications

Product promise

We are committed to supporting your work with high-quality reagents, and we're here for you every step of the way. In the unlikely event that one of our products does not perform as expected, you're protected by our Product Promise.
For full details, please see our Terms & Conditions

Please note: All products are 'FOR RESEARCH USE ONLY. NOT FOR USE IN DIAGNOSTIC OR THERAPEUTIC PROCEDURES'.

For licensing inquiries, please contact partnerships@abcam.com